相关产品推荐更多 >
万千商家帮你免费找货
0 人在求购买到急需产品
- 详细信息
- 文献和实验
- 技术资料
- 供应商:
上海联迈生物工程有限公司
- 库存:
大量
- 目录编号:
LM-5973R
- 克隆性:
多克隆
- 抗原来源:
Rabbit
- 保质期:
1年
- 抗体英文名:
SIRT7
- 抗体名:
沉默调节样蛋白SirT7抗体
- 宿主:
Rabbit
- 适应物种:
Human, Mouse, Rat, Chicken, Dog, Pig,
- 免疫原:
KLH conjugated synthetic peptide derived from human SIRT7:231-330/400
- 亚型:
IgG
- 形态:
Lyophilized or Liquid
- 应用范围:
WB=1:500-2000 ELISA=1:500-1000 IHC-P=1:400-800 IHC-F=1:400-800 Flow-Cyt=1μg/Test IF=1:100-500 (石蜡切片需做抗原修复)
- 浓度:
1mg/ml
- 保存条件:
Store at -20 °C
- 规格:
100ul 200ul
| 英文名称 | SIRT7 |
| 中文名称 | 沉默调节样蛋白SirT7抗体 |
| 别 名 | NAD dependent deacetylase sirtuin 7; NAD-dependent deacetylase sirtuin-7; Silent mating type information regulation 2 homolog; Silent mating type information regulation 2 S.cerevisiae homolog 7; SIR2 L7; SIR2 like protein 7; Sir2 related protein type 7; SIR2, S.CEREVISIAE, HOMOLOG-LIKE 7; SIR2-like protein 7; SIR2L 7; SIR2L7; SIRT 7; SIRT7; SIR7_HUMAN; Sirtuin 7; Sirtuin type 7; Sirtuin7. |
![]() |
Specific References (2) | bs-5973R has been referenced in 2 publications. [IF=1.11] Takumida, Masaya, Hiroshi Takumida, and Matti Anniko. "Localization of sirtuins in the mouse inner ear." Acta Oto-Laryngologica 0 (2014): 1-8. IHC-F ; Mouse. PubMed:24460154 [IF=3.06] Wronska, A., et al. "Age-Related Changes in Sirtuin 7 Expression in Calorie-Restricted and Refed Rats." Gerontology (2015). WB ; PubMed:26595207 |
| 规格价格 | 100ul/1380元 购买 200ul/2200元 购买 大包装/询价 |
| 说 明 书 | 100ul 200ul |
| 研究领域 | 肿瘤 心血管 免疫学 染色质和核信号 信号转导 细胞凋亡 转录调节因子 激酶和磷酸酶 结合蛋白 表观遗传学 |
| 抗体来源 | Rabbit |
| 克隆类型 | Polyclonal |
| 交叉反应 | Human, Mouse, Rat, Chicken, Dog, Pig, |
| 产品应用 | WB=1:500-2000 ELISA=1:500-1000 IHC-P=1:400-800 IHC-F=1:400-800 Flow-Cyt=1μg/Test IF=1:100-500 (石蜡切片需做抗原修复) not yet tested in other applications. optimal dilutions/concentrations should be determined by the end user. |
| 分 子 量 | 45kDa |
| 细胞定位 | 细胞核 细胞浆 |
| 性 状 | Lyophilized or Liquid |
| 浓 度 | 1mg/ml |
| 免 疫 原 | KLH conjugated synthetic peptide derived from human SIRT7:231-330/400 |
| 亚 型 | IgG |
| 纯化方法 | affinity purified by Protein A |
| 储 存 液 | 0.01M TBS(pH7.4) with 1% BSA, 0.03% Proclin300 and 50% Glycerol. |
| 保存条件 | Store at -20 °C for one year. Avoid repeated freeze/thaw cycles. The lyophilized antibody is stable at room temperature for at least one month and for greater than a year when kept at -20°C. When reconstituted in sterile pH 7.4 0.01M PBS or diluent of antibody the antibody is stable for at least two weeks at 2-4 °C. |
| PubMed | PubMed |
| 产品介绍 | background: SIRT7 is a member of the sirtuin family of proteins, homologs to the yeast Sir2 protein. Members of the sirtuin family are characterized by a sirtuin core domain and grouped into four classes. The functions of human sirtuins have not yet been determined; however, yeast sirtuin proteins are known to regulate epigenetic gene silencing and suppress recombination of rDNA. Studies suggest that the human sirtuins may function as intracellular regulatory proteins with mono-ADP-ribosyltransferase activity. The protein encoded by this gene is included in class IV of the sirtuin family. Function: NAD-dependent protein deacetylase. Required to restore the transcription of ribosomal RNA (rRNA) at the exit from mitosis. Promotes the association of RNA polymerase I with the rDNA promoter region and coding region. Stimulates transcription activity of the RNA polymerase I complex. Subunit: Interacts with UBTF and the RNA polymerase I complex. Interacts with histone H2A and/or histone H2B. Subcellular Location: Cytoplasm. Nucleus, nucleolus. Note=Located close to the nuclear membrane when in the cytoplasm. Associated with chromatin. Associated with rDNA promoter and transcribed region. Associated with nucleolar organizer regions during mitosis. Post-translational modifications: Phosphorylated during mitosis (Probable). Similarity: Belongs to the sirtuin family. Class IV subfamily. Contains 1 deacetylase sirtuin-type domain. SWISS: Q9NRC8 Gene ID: 51547 Database links: Entrez Gene: 505662 Cow Entrez Gene: 51547 Human Entrez Gene: 209011 Mouse Omim: 606212 Human SwissProt: Q0P595 Cow SwissProt: Q9NRC8 Human SwissProt: Q8BKJ9 Mouse Unigene: 514636 Human Unigene: 292957 Mouse Important Note: This product as supplied is intended for research use only, not for use in human, therapeutic or diagnostic applications. |
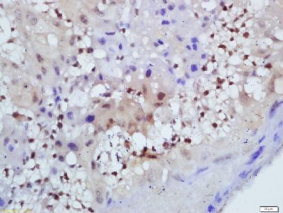
| 产品图片 | ![]() Sample:Small intestine (Mouse)Lysate at 40 ug Primary: Anti-SIRT7(bs-5973R)at 1/300 dilution Secondary: IRDye800CW Goat Anti-RabbitIgG at 1/20000 dilution Predicted band size: 45kD Observed band size: 50kD ![]() Sample:Lymph node (Mouse)Lysate at 40 ug Primary: Anti-SIRT7(bs-5973R)at 1/300 dilution Secondary: IRDye800CW Goat Anti-RabbitIgG at 1/20000 dilution Predicted band size: 45kD Observed band size: 50kD ![]() Tissue/cell: mouse placenta tissue; 4% Paraformaldehyde-fixed and paraffin-embedded; Antigen retrieval: citrate buffer ( 0.01M, pH 6.0 ), Boiling bathing for 15min; Block endogenous peroxidase by 3% Hydrogen peroxide for 30min; Blocking buffer (normal goat serum,C-0005) at 37℃ for 20 min; Incubation: Anti-SIRT7 Polyclonal Antibody, Unconjugated(bs-5973R) 1:200, overnight at 4°C, followed by conjugation to the secondary antibody(SP-0023) and DAB(C-0010) staining ![]() Blank control: mouse splenocytes(blue) Isotype Control Antibody: Rabbit IgG(orange) ; Secondary Antibody: Goat anti-rabbit IgG-FITC(white blue), Dilution: 1:100 in 1 X PBS containing 0.5% BSA ; Primary Antibody Dilution: 1μl in 100 μL1X PBS containing 0.5% BSA(green). |
风险提示:丁香通仅作为第三方平台,为商家信息发布提供平台空间。用户咨询产品时请注意保护个人信息及财产安全,合理判断,谨慎选购商品,商家和用户对交易行为负责。对于医疗器械类产品,请先查证核实企业经营资质和医疗器械产品注册证情况。
文献和实验去乙酰化酶 (HDAC) 酶是共抑制因子,通过降低赖氨酸乙酰化水平和增加染色体凝聚而逆转乙酰化的作用。Sirtuins(沉默信息调节因子)是一组 NAD 依赖性去乙酰化酶,靶向组蛋白。顾名思义,它们通过低乙酰化组蛋白维持基因沉默,据报道有助于维持基因组稳定性。而乙酰化最早是在组蛋白中检测到的,胞浆蛋白也被报道是乙酰化的,因此乙酰化似乎在细胞生物学中发挥着比单纯的转录调控更大的作用。此外,乙酰化修饰和其他翻译后修饰,包括磷酸化、泛素化和甲基化之间的串扰,可以改变乙酰化蛋白的生物学功能。可通过使用乙酰赖氨酸特异性抗体
细胞因子是由免疫细胞分泌的一类小分子可溶性多肽蛋白,通过结合相应受体在细胞间发挥相互调控作用,调节细胞生长分化和效应,调控免疫应答,根据结构和功能分为白细胞介素(interleukin,IL)、集落刺激因子(colony-stimulating factor,CSF)、干扰素(interferon,IFN)、肿瘤坏死因子(tumor necrosis factor,TNF)家族、生长因子(growth factor,GF)和趋化因子(chemokine)。细胞因子风暴的发生与新冠病毒感染重症化
中科院高福院士课题组 2020 年发表了哪些重要的研究成果?
的冠状病毒株。因此,研究数据增加了更多的证据来支持蝙蝠是 MERS-CoV 和类似病毒的库,并且进一步强调了调查蝙蝠中 MERS-CoV 和其他 CoV 的必要性。图源:Journal of Virology 2、揭示了狂犬病毒股 PH 依赖的构象变化及其与中和抗体的相互作用https://doi.org/10.1016/j.chom.2019.12.012狂犬病致死性疾病的病原体狂犬病病毒(RABV)是一种致命的人畜共患病原体。RABV 糖蛋白(RABV-G)是介导病毒进入的关键因素,也是中和抗体
技术资料暂无技术资料 索取技术资料















