相关产品推荐更多 >
万千商家帮你免费找货
0 人在求购买到急需产品
- 详细信息
- 文献和实验
- 技术资料
- 供应商:
上海联迈生物工程有限公司
- 库存:
大量
- 目录编号:
LM-9260R
- 克隆性:
多克隆
- 抗原来源:
Rabbit
- 保质期:
1年
- 抗体英文名:
RNF170
- 抗体名:
环指蛋白170抗体
- 宿主:
Rabbit
- 适应物种:
Human, Mouse, Rat, Chicken, Dog, Cow, Horse, Rabbit, Sheep,
- 免疫原:
KLH conjugated synthetic peptide derived from human RNF170:101-200/258
- 亚型:
IgG
- 形态:
Lyophilized or Liquid
- 应用范围:
ELISA=1:500-1000 IHC-P=1:400-800 IHC-F=1:400-800 IF=1:50-200 (石蜡切片需做抗原修复)
- 浓度:
1mg/ml
- 保存条件:
Store at -20 °C
- 规格:
100ul 200ul
| 英文名称 | RNF170 |
| 中文名称 | 环指蛋白170抗体 |
| 别 名 | Putative LAG1 interacting protein; Ring finger protein 170; RN170_HUMAN. |
| 规格价格 | 100ul/1380元 购买 200ul/2200元 购买 大包装/询价 |
| 说 明 书 | 100ul 200ul |
| 研究领域 | 细胞生物 免疫学 |
| 抗体来源 | Rabbit |
| 克隆类型 | Polyclonal |
| 交叉反应 | Human, Mouse, Rat, Chicken, Dog, Cow, Horse, Rabbit, Sheep, |
| 产品应用 | ELISA=1:500-1000 IHC-P=1:400-800 IHC-F=1:400-800 IF=1:50-200 (石蜡切片需做抗原修复) not yet tested in other applications. optimal dilutions/concentrations should be determined by the end user. |
| 分 子 量 | 30kDa |
| 细胞定位 | 细胞浆 细胞膜 |
| 性 状 | Lyophilized or Liquid |
| 浓 度 | 1mg/ml |
| 免 疫 原 | KLH conjugated synthetic peptide derived from human RNF170:101-200/258 |
| 亚 型 | IgG |
| 纯化方法 | affinity purified by Protein A |
| 储 存 液 | 0.01M TBS(pH7.4) with 1% BSA, 0.03% Proclin300 and 50% Glycerol. |
| 保存条件 | Store at -20 °C for one year. Avoid repeated freeze/thaw cycles. The lyophilized antibody is stable at room temperature for at least one month and for greater than a year when kept at -20°C. When reconstituted in sterile pH 7.4 0.01M PBS or diluent of antibody the antibody is stable for at least two weeks at 2-4 °C. |
| PubMed | PubMed |
| 产品介绍 | background: The ring finger is a specialized type of zinc finger of 40 to 60 residues that binds two atoms of zinc and mediates protein-protein interactions. There are five known isoforms of RNF170. Function: E3 ubiquitin-protein ligase that plays an essential role in stimulus-induced inositol 1,4,5-trisphosphate receptor type 1 (ITPR1) ubiquitination and degradation via the endoplasmic reticulum-associated degradation (ERAD) pathway. Also involved in ITPR1 turnover in resting cells. Subunit: Constitutively associated with the ERLIN1/ERLIN 2 complex. Interacts with activated ITPR1. Subcellular Location: Endoplasmic reticulum membrane; Multi-pass membrane protein (By similarity). Tissue Specificity: Expressed in the spinal chord. DISEASE: Defects in RNF170 are the cause of ataxia, sensory, type 1, autosomal dominant (SNAX1) [MIM:608984]. A rare disease characterized by progressive ataxia caused by degeneration of the posterior columns of the spinal cord. Affected individuals have a reduced ability to feel pain, temperature and vibration, particularly in the hands and feet. Their most prominent feature is an ataxic gait resulting from a severe loss of proprioception. Thus, patients rely on visual cues for maintaining proper body posture, such that they are unable to remain upright if their eyes are closed (Romberg sign). Similarity: Contains 1 RING-type zinc finger. SWISS: Q96K19 Gene ID: 81790 Database links: Entrez Gene: 81790 Human Entrez Gene: 77733 Mouse SwissProt: Q96K19 Human SwissProt: Q8CBG9 Mouse Unigene: 696153 Human Important Note: This product as supplied is intended for research use only, not for use in human, therapeutic or diagnostic applications. |
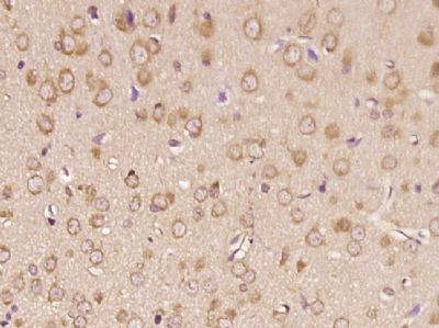
| 产品图片 | ![]() Paraformaldehyde-fixed, paraffin embedded (rat brain tissue); Antigen retrieval by boiling in sodium citrate buffer (pH6.0) for 15min; Block endogenous peroxidase by 3% hydrogen peroxide for 20 minutes; Blocking buffer (normal goat serum) at 37°C for 30min; Antibody incubation with (RNF170) Polyclonal Antibody, Unconjugated (bs-9260R) at 1:400 overnight at 4°C, followed by operating according to SP Kit(Rabbit) (sp-0023) instructionsand DAB staining. ![]() Paraformaldehyde-fixed, paraffin embedded (rat testis tissue); Antigen retrieval by boiling in sodium citrate buffer (pH6.0) for 15min; Block endogenous peroxidase by 3% hydrogen peroxide for 20 minutes; Blocking buffer (normal goat serum) at 37°C for 30min; Antibody incubation with (RNF170) Polyclonal Antibody, Unconjugated (bs-9260R) at 1:400 overnight at 4°C, followed by operating according to SP Kit(Rabbit) (sp-0023) instructionsand DAB staining. |
风险提示:丁香通仅作为第三方平台,为商家信息发布提供平台空间。用户咨询产品时请注意保护个人信息及财产安全,合理判断,谨慎选购商品,商家和用户对交易行为负责。对于医疗器械类产品,请先查证核实企业经营资质和医疗器械产品注册证情况。
文献和实验(100μM)15高糖+D药物(100μM)+B药物(1mM) 免疫沉淀过程实验试剂:A抗体(santa cruz,IP浓度 1:100);B抗体(santa cruz,IP浓度 1:100);Protein A+G Agarose(上海维景生物)蛋白样品的准备:1).对于10厘米细胞培养皿中的贴壁细胞,吸除细胞培养液,PBS洗涤一次,然后加入500微升至2毫升细胞裂解液裂解细胞。可以使用嘉美生物Western及IP细胞裂解液或各种RIPA裂解液等进行细胞的裂解。 2).对于组织样品参考贴壁细胞使用
CD70 分子 CD70 常用单克隆抗体或代号: Ki- 24;(CD27L) 主要表达细胞: Tsub,Ba,RS [NL] 分子质量(kDa)和结构: gp55,75,95,110,170 功 能: CD27的配体,淋巴细胞活化 CD70 Aka CD27 ligand Role in T cell activation; induces T cell
.1, 171.8,179.0,173.9,172.7,166.2,170.8,171.8,172.1,168.5。试计算其均数。 (二)加权法 当观察值个数较多时,可先将各观察值分组归纳成频数表,用加权法求均数。其计算步骤如例18.2。 例18.2 某地1993年随机测量了该地110名20岁健康男大学生的身高(cm),资料如下,试计算其均数。 173.9 173
技术资料暂无技术资料 索取技术资料












