相关产品推荐更多 >
万千商家帮你免费找货
0 人在求购买到急需产品
- 详细信息
- 询价记录
- 文献和实验
- 技术资料
- 供应商:
上海联迈生物工程有限公司
- 库存:
大量
- 目录编号:
LM-0781R
- 克隆性:
多克隆
- 抗原来源:
Rabbit
- 保质期:
1年
- 抗体英文名:
IL-6
- 抗体名:
白介素6抗体
- 宿主:
Rabbit
- 适应物种:
Human
- 免疫原:
KLH conjugated synthetic peptide derived from human IL-6 (26-50aa):26-50/212
- 亚型:
IgG
- 形态:
Lyophilized or Liquid
- 应用范围:
ELISA=1:500-1000 IHC-P=1:400-800 IHC-F=1:400-800 IF=1:100-500 (石蜡切片需做抗原修复)
- 浓度:
1mg/ml
- 保存条件:
Store at -20 °C
- 规格:
50ul 100ul 200ul
| 英文名称 | IL-6 |
| 中文名称 | 白介素6抗体 |
| 别 名 | IL6; Interleukin BSF 2; B cell differentiation factor; B cell stimulatory factor 2; BSF 2; BSF2; CDF; CTL differentiation factor; Cytotoxic T cell differentiation factor; Hepatocyte stimulating factor; HGF; HPGF; HSF; Hybridoma growth factor; Hybridoma plasmacytoma growth factor; IFNB2; IL 6; IL6 protein; Interferon beta 2; Interleukin 6 (interferon beta 2); Interleukin 6; Interleukin-6; IL6_HUMAN; Interleukin6. |
![]() |
Specific References (4) | bs-0781R has been referenced in 4 publications.
[IF=4.87] Lozhkin, Andrey, et al. "NADPH oxidase 4 regulates vascular inflammation in aging and atherosclerosis." Journal of Molecular and Cellular Cardiology (2016). IHC-F ; Mouse.
PubMed:27986445
[IF=5.01] Liu, Ping-Zhen, et al. "Electrochemiluminescence immunosensor based on graphene oxide nanosheets/polyaniline nanowires/CdSe quantum dots nanocomposites for ultrasensitive determination of human interleukin-6." Electrochimica Acta (2013). other ;
PubMed:23910957
[IF=3.78] Liu, Ping-Zhen, et al. "Electrochemiluminescence immunosensor based on graphene oxide nanosheets/polyaniline nanowires/CdSe quantum dots nanocomposites for ultrasensitive determination of human interleukin-6." Electrochimica Acta (2013).
PubMed:not posted yet
[IF=3.33] Xu, Hong-Wu, et al. "The expression of cytoglobin as a prognostic factor in gliomas: a retrospective analysis of 88 patients." BMC cancer 13.1 (2013): 247. IHC-P ; Human.
PubMed:23688241
|
| 规格价格 | 50ul/780元 购买 100ul/1380元 购买 200ul/2200元 购买 大包装/询价 |
| 说 明 书 | 50ul 100ul 200ul |
| 研究领域 | 肿瘤 细胞生物 免疫学 神经生物学 信号转导 生长因子和激素 激酶和磷酸酶 糖蛋白 |
| 抗体来源 | Rabbit |
| 克隆类型 | Polyclonal |
| 交叉反应 | Human, |
| 产品应用 | ELISA=1:500-1000 IHC-P=1:400-800 IHC-F=1:400-800 IF=1:100-500 (石蜡切片需做抗原修复) not yet tested in other applications. optimal dilutions/concentrations should be determined by the end user. |
| 分 子 量 | 23kDa |
| 细胞定位 | 细胞膜 分泌型蛋白 |
| 性 状 | Lyophilized or Liquid |
| 浓 度 | 1mg/ml |
| 免 疫 原 | KLH conjugated synthetic peptide derived from human IL-6 (26-50aa):26-50/212 |
| 亚 型 | IgG |
| 纯化方法 | affinity purified by Protein A |
| 储 存 液 | 0.01M TBS(pH7.4) with 1% BSA, 0.03% Proclin300 and 50% Glycerol. |
| 保存条件 | Store at -20 °C for one year. Avoid repeated freeze/thaw cycles. The lyophilized antibody is stable at room temperature for at least one month and for greater than a year when kept at -20°C. When reconstituted in sterile pH 7.4 0.01M PBS or diluent of antibody the antibody is stable for at least two weeks at 2-4 °C. |
| PubMed | PubMed |
| 产品介绍 | background: This gene encodes a cytokine that functions in inflammation and the maturation of B cells. In addition, the encoded protein has been shown to be an endogenous pyrogen capable of inducing fever in people with autoimmune diseases or infections. The protein is primarily produced at sites of acute and chronic inflammation, where it is secreted into the serum and induces a transcriptional inflammatory response through interleukin 6 receptor, alpha. The functioning of this gene is implicated in a wide variety of inflammation-associated disease states, including suspectibility to diabetes mellitus and systemic juvenile rheumatoid arthritis. [provided by RefSeq, Jun 2011]. Function: Cytokine with a wide variety of biological functions. It is a potent inducer of the acute phase response. Plays an essential role in the final differentiation of B-cells into Ig-secreting cells Involved in lymphocyte and monocyte differentiation. It induces myeloma and plasmacytoma growth and induces nerve cells differentiation Acts on B-cells, T-cells, hepatocytes, hematopoeitic progenitor cells and cells of the CNS. Also acts as a myokine. It is discharged into the bloodstream after muscle contraction and acts to increase the breakdown of fats and to improve insulin resistance. Subcellular Location: Secreted. Post-translational modifications: N- and O-glycosylated. DISEASE: Genetic variations in IL6 are associated with susceptibility to rheumatoid arthritis systemic juvenile (RASJ) [MIM:604302]. An inflammatory articular disorder with systemic-onset beginning before the age of 16. It represents a subgroup of juvenile arthritis associated with severe extraarticular features and occasionally fatal complications. During active phases of the disorder, patients display a typical daily spiking fever, an evanescent macular rash, lymphadenopathy, hepatosplenomegaly, serositis, myalgia and arthritis. Note=A IL6 promoter polymorphism is associated with a lifetime risk of development of Kaposi sarcoma in HIV-infected men. Similarity: Belongs to the IL-6 superfamily. SWISS: P05231 Gene ID: 3569 Database links: Entrez Gene: 3569 Human Entrez Gene: 16193 Mouse Entrez Gene: 24498 Rat Omim: 147620 Human SwissProt: P05231 Human SwissProt: P08505 Mouse SwissProt: P20607 Rat Unigene: 654458 Human Unigene: 1019 Mouse Unigene: 9873 Rat Important Note: This product as supplied is intended for research use only, not for use in human, therapeutic or diagnostic applications. 白介素-6是一种多功能细胞因子,既可由淋巴细胞产生,也能由非淋巴细胞合成。在体内免疫反应调节、血细胞的增生、防御机制和急性期反应中起重要作用。 IL6是一种糖蛋白,它既可诱导急性期时相关蛋白的产生,也是β细胞终末分化并分泌抗体的必需因子,在免疫调节中发挥重要作用,人的IL-6的前体有212个氨基酸。成熟形态为185个氨基酸。 白细胞介素6的分子量:21KD-28KD |
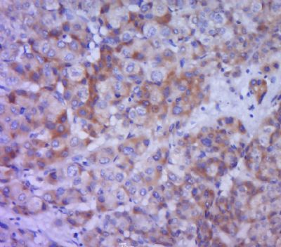
| 产品图片 |
Paraformaldehyde-fixed, paraffin embedded (human liver carcinoma); Antigen retrieval by boiling in sodium citrate buffer (pH6.0) for 15min; Block endogenous peroxidase by 3% hydrogen peroxide for 20 minutes; Blocking buffer (normal goat serum) at 37°C for 30min; Antibody incubation with (IL-6) Polyclonal Antibody, Unconjugated (bs-0781R) at 1:400 overnight at 4°C, followed by a conjugated secondary (sp-0023) for 20 minutes and DAB staining.
Tissue/cell: Human oral mucosa; 4% Paraformaldehyde-fixed and paraffin-embedded;
Antigen retrieval: citrate buffer ( 0.01M, pH 6.0 ), Boiling bathing for 15min; Block endogenous peroxidase by 3% Hydrogen peroxide for 30min; Blocking buffer (normal goat serum,C-0005) at 37℃ for 20 min; Incubation: Anti-IL-6(human) Polyclonal Antibody, Unconjugated(bs-0781R) 1:200, overnight at 4°C, followed by conjugation to the secondary antibody(SP-0023) and DAB(C-0010) staining |
风险提示:丁香通仅作为第三方平台,为商家信息发布提供平台空间。用户咨询产品时请注意保护个人信息及财产安全,合理判断,谨慎选购商品,商家和用户对交易行为负责。对于医疗器械类产品,请先查证核实企业经营资质和医疗器械产品注册证情况。
- 作者
- 内容
- 询问日期
文献和实验Science:从娘胎带来的免疫记忆!后代的肠道免疫力可以被
可以通过在子宫内传输以及通过母乳喂养的方式转移其免疫调节因子(包括来自母体的抗体和免疫细胞)来保护后代免受病原体侵害。母体免疫激活也与后代全身性 T 细胞反应的改变有关。然而,从长远来看,母亲在怀孕期间所经历的感染如何塑造后代的免疫系统,仍然知之甚少。针对这一问题,来自美国国立健康研究所(NIH)的 Yasmine Belkaid 教授团队展开了深入研究,其相关结果于 2021 年 8 月 27 日发表在顶尖期刊 Science 杂志上。该研究探讨了母体在怀孕期间经历的感染如何长期影响后代免疫系统。基于子宫
肝内存在的枯否细胞(Kupffercells,KC)实际是位于肝窦内的巨噬细胞,此类细胞的特点是其内质网及核膜上的内源性过氧化物酶活性。KC除具有吞噬、消灭病原微生物、清除机体内的内毒素、调节免疫和炎症反应等功能外,还能调控组织和基质修复、调控肝细胞、肝储脂细胞的增殖和合成细胞外基质等。 这些功能是通过枯否细胞所分泌的多种生物活性因子(如转化生长因子TGF、肝细胞生长因子HGF、胰岛素样生长因子ⅡIGFⅡ、转化生长因子βTGFβ、白介素6IL-6、白介素-1IL-1、肿瘤
肝内存在的枯否细胞(Kupffercells,KC)实际是位于肝窦内的巨噬细胞,此类细胞的特点是其内质网及核膜上的内源性过氧化物酶活性。KC除具有吞噬、消灭病原微生物、清除机体内的内毒素、调节免疫和炎症反应等功能外,医学|教育网搜集整理还能调控组织和基质修复、调控肝细胞、肝储脂细胞的增殖和合成细胞外基质等。 这些功能是通过枯否细胞所分泌的多种生物活性因子(如转化生长因子TGF、肝细胞生长因子HGF、胰岛素样生长因子ⅡIGFⅡ、转化生长因子βTGFβ、白介素6IL-6、白介素-1IL
技术资料暂无技术资料 索取技术资料













