相关产品推荐更多 >
万千商家帮你免费找货
0 人在求购买到急需产品
- 详细信息
- 文献和实验
- 技术资料
- 供应商:
上海联迈生物工程有限公司
- 库存:
大量
- 目录编号:
LM-9095R
- 克隆性:
多克隆
- 抗原来源:
Rabbit
- 保质期:
1年
- 抗体英文名:
AGXT2L2
- 抗体名:
AGXT2L2蛋白抗体
- 宿主:
Rabbit
- 适应物种:
Human, Mouse, Rat, Sheep,
- 免疫原:
KLH conjugated synthetic peptide derived from human AGXT2L2:381-450/450
- 亚型:
IgG
- 形态:
Lyophilized or Liquid
- 应用范围:
WB=1:500-2000 ELISA=1:500-1000 IHC-P=1:400-800 IHC-F=1:400-800 IF=1:50-200 (石蜡切片需做抗原修复)
- 浓度:
1mg/ml
- 保存条件:
Store at -20 °C
- 规格:
100ul 200ul
| 英文名称 | AGXT2L2 |
| 中文名称 | AGXT2L2蛋白抗体 |
| 别 名 | Alanine glyoxylate aminotransferase 2 like 2; MGC117348; AT2L2_HUMAN. |
| 规格价格 | 100ul/1380元 购买 200ul/2200元 购买 大包装/询价 |
| 说 明 书 | 100ul 200ul |
| 研究领域 | 心血管 细胞生物 免疫学 糖尿病 |
| 抗体来源 | Rabbit |
| 克隆类型 | Polyclonal |
| 交叉反应 | Human, Mouse, Rat, Sheep, |
| 产品应用 | WB=1:500-2000 ELISA=1:500-1000 IHC-P=1:400-800 IHC-F=1:400-800 IF=1:50-200 (石蜡切片需做抗原修复) not yet tested in other applications. optimal dilutions/concentrations should be determined by the end user. |
| 分 子 量 | 50kDa |
| 细胞定位 | 细胞浆 |
| 性 状 | Lyophilized or Liquid |
| 浓 度 | 1mg/ml |
| 免 疫 原 | KLH conjugated synthetic peptide derived from human AGXT2L2:381-450/450 |
| 亚 型 | IgG |
| 纯化方法 | affinity purified by Protein A |
| 储 存 液 | 0.01M TBS(pH7.4) with 1% BSA, 0.03% Proclin300 and 50% Glycerol. |
| 保存条件 | Store at -20 °C for one year. Avoid repeated freeze/thaw cycles. The lyophilized antibody is stable at room temperature for at least one month and for greater than a year when kept at -20°C. When reconstituted in sterile pH 7.4 0.01M PBS or diluent of antibody the antibody is stable for at least two weeks at 2-4 °C. |
| PubMed | PubMed |
| 产品介绍 | background: Members of the class-III pyridoxal-phosphate-dependent aminotransferase family, such as AGXT2, catalyze the conversion of glyoxylate to glycine using L-alanine as the amino donor. AGXT2 protects from asymmetric dimethylarginine (ADMA)-induced inhibition in nitric oxide (NO) production. Elevated blood concentrations of ADMA, a methyl derivate of the amino acid arginine and an endogenous inhibitor of nitric oxide (NO) synthase, is produced by the physiological degradation of methylated proteins and is found in association with diabetes, hypertension, congestive heart failure and atherosclerosis. AGXT2L2 (alanine-glyoxylate aminotransferase 2-like 2) is a 450 amino acid pyridoxal phosphate that exists as a homotetramer. Belonging to the class-III pyridoxal-phosphate-dependent aminotransferase family, AGXT2L2 localizes to the mitochondria and exists as three alternatively spliced isoforms. Encoded by a gene located on human chromosome 5q35.3, AGXT2L2 may have similar functions as AGXT2. Function: Catalyzes the pyridoxal-phosphate-dependent breakdown of 5-phosphohydroxy-L-lysine, converting it to ammonia, inorganic phosphate and 2-aminoadipate semialdehyde. Subunit: Homotetramer. Subcellular Location: Mitochondrial Similarity: Belongs to the class-III pyridoxal-phosphate-dependent aminotransferase family. SWISS: Q8IUZ5 Gene ID: 85007 Database links: Entrez Gene: 85007 Human Entrez Gene: 72947 Mouse Entrez Gene: 100169747 Rat Omim: 614683 Human SwissProt: Q8IUZ5 Human SwissProt: Q8R1K4 Mouse Unigene: 248746 Human Unigene: 490267 Mouse Unigene: 217734 Rat Important Note: This product as supplied is intended for research use only, not for use in human, therapeutic or diagnostic applications. |
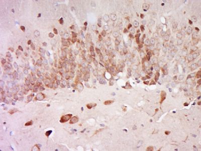
| 产品图片 | ![]() Sample: Kidney (Mouse) Lysate at 40 ug Primary: Anti-AGXT2L2 (bs-9095R) at 1/300 dilution Secondary: IRDye800CW Goat Anti-Rabbit IgG at 1/20000 dilution Predicted band size: 50 kD Observed band size: 48 kD ![]() Sample: Heart (mouse) Lysate at 40 ug Primary: Anti- AGXT2L2 (bs-9095R)at 1/300 dilution Secondary: IRDye800CW Goat Anti-Rabbit IgG at 1/20000 dilution Predicted band size: 50kD Observed band size: 50 kD ![]() Tissue/cell: Rat brain tissue; 4% Paraformaldehyde-fixed and paraffin-embedded; Antigen retrieval: citrate buffer ( 0.01M, pH 6.0 ), Boiling bathing for 15min; Block endogenous peroxidase by 3% Hydrogen peroxide for 30min; Blocking buffer (normal goat serum,C-0005) at 37∩ for 20 min; Incubation: Anti-AGXT2L2 Polyclonal Antibody, Unconjugated(bs-9095R) 1:500, overnight at 4∑C, followed by conjugation to the secondary antibody(SP-0023) and DAB(C-0010) staining |
风险提示:丁香通仅作为第三方平台,为商家信息发布提供平台空间。用户咨询产品时请注意保护个人信息及财产安全,合理判断,谨慎选购商品,商家和用户对交易行为负责。对于医疗器械类产品,请先查证核实企业经营资质和医疗器械产品注册证情况。
文献和实验人 抗麦胶蛋白抗体 ( AGA) 酶联免疫分析 试剂盒使用说明书 本试剂仅供研究使用 目的:本试剂盒用于测定人血清,血浆及相关液体样本中 抗麦胶蛋白抗体( AGA) 的 含量。 实验原理: 本试剂盒应用双抗原夹心法测定标本中人 抗麦胶蛋白抗体( AGA) 的 水平。用纯化的 抗原 包被微孔板,制成固相抗原,往包被抗原的微孔中依次加入 抗麦胶蛋白抗体( AGA) ,再与 HRP 标记的 抗原 结合
sunchangzheng 我打算用此抗体通过流式检测细胞表面P糖蛋白的表达量差异。 说明书中说是多抗,这种抗体有单抗的吧? 用于FCM: 1:20-100,这是说用于流式的稀释倍数,是不是稀释倍数越小越好呢? 同型对照抗体是不是必须要做的?如何选择阴型同型对照抗体呢! 我用的抗体是FITC标记的P-糖蛋白抗体 谢谢交流与帮助! freecell 抗体的稀释倍数是需要优化
载脂蛋白抗体的制备 抗原免疫动物产生的抗体是血清γ-球蛋白的一部分。抗体的理化性质及结构与γ-球蛋白相近似。γ-球蛋白是一组结构相似,但又有差异的蛋白质,通称为免疫球蛋白(immunoglobulin,Ig),按其结构和免疫化学性质的差异,又可分为五类,分别称为IgG、IgA、IgM、IgD和IgE。载脂蛋白抗体以IgG最为稳定。因载脂蛋白的体液中含量不同以及分离纯化的难易的差别,可分别采用多克隆抗体制备法和单克隆抗体制备法。 1.多克隆抗体的制备 (1)抗原
技术资料暂无技术资料 索取技术资料













