相关产品推荐更多 >
万千商家帮你免费找货
0 人在求购买到急需产品
- 详细信息
- 文献和实验
- 技术资料
- 供应商:
上海联迈生物工程有限公司
- 库存:
大量
- 目录编号:
LM-8679R
- 克隆性:
多克隆
- 抗原来源:
Rabbit
- 保质期:
1年
- 抗体英文名:
Ferritin Heavy Chain
- 抗体名:
铁蛋白重链抗体
- 宿主:
Rabbit
- 适应物种:
Human, Mouse, Rat, Chicken, Dog, Cow, Horse, Rabbit, Sheep,
- 免疫原:
KLH conjugated synthetic peptide derived from human Ferritin Heavy Chain:31-130/183
- 亚型:
IgG
- 形态:
Lyophilized or Liquid
- 应用范围:
ELISA=1:500-1000 IHC-P=1:400-800 IHC-F=1:400-800 ICC=1:100-500 IF=1:100-500 (石蜡切片需做抗原修复)
- 浓度:
1mg/ml
- 保存条件:
Store at -20 °C
- 规格:
100ul 200ul
| 英文名称 | Ferritin Heavy Chain |
| 中文名称 | 铁蛋白重链抗体 |
| 别 名 | Apoferritin; Cell proliferation inducing gene 15 protein; F HC; Ferritin H subunit; Ferritin heavy chain; Ferritin heavy polypeptide 1; FHC; FRIH; FTH 1; FTH; FTH1; FTH1 protein; FTHL 6; FTHL6; Iron overload autosomal dominant; MGC104426; OK/SW-cl.84; PIG 15; PIG15; Placenta immunoregulatory factor; PLIF; Proliferation inducing gene 15 protein; Proliferation inducing protein 15; FRIH_HUMAN. |
| 规格价格 | 100ul/1380元 购买 200ul/2200元 购买 大包装/询价 |
| 说 明 书 | 100ul 200ul |
| 研究领域 | 肿瘤 心血管 细胞生物 神经生物学 |
| 抗体来源 | Rabbit |
| 克隆类型 | Polyclonal |
| 交叉反应 | Human, Mouse, Rat, Chicken, Dog, Cow, Horse, Rabbit, Sheep, |
| 产品应用 | ELISA=1:500-1000 IHC-P=1:400-800 IHC-F=1:400-800 ICC=1:100-500 IF=1:100-500 (石蜡切片需做抗原修复) not yet tested in other applications. optimal dilutions/concentrations should be determined by the end user. |
| 分 子 量 | 21kDa |
| 细胞定位 | 细胞核 细胞浆 细胞外基质 |
| 性 状 | Lyophilized or Liquid |
| 浓 度 | 1mg/ml |
| 免 疫 原 | KLH conjugated synthetic peptide derived from human Ferritin Heavy Chain:31-130/183 |
| 亚 型 | IgG |
| 纯化方法 | affinity purified by Protein A |
| 储 存 液 | 0.01M TBS(pH7.4) with 1% BSA, 0.03% Proclin300 and 50% Glycerol. |
| 保存条件 | Store at -20 °C for one year. Avoid repeated freeze/thaw cycles. The lyophilized antibody is stable at room temperature for at least one month and for greater than a year when kept at -20°C. When reconstituted in sterile pH 7.4 0.01M PBS or diluent of antibody the antibody is stable for at least two weeks at 2-4 °C. |
| PubMed | PubMed |
| 产品介绍 | background: Mammalian ferritins consist of 24 subunits made up of two types of poly-peptide chains, ferritin heavy chain and ferritin light chain, which each have unique functions. Ferritin heavy chains catalyze the first step in iron storage, the oxidation of FeII, whereas ferritin light chains promote the nucleation of ferrihydrite, enabling storage of FeIII. The most prominent role of mamma-lian ferritins is to provide iron-buffering capacity to cells. In addition to iron buffering, heavy chain ferritin is also involved in the regulation of thymidine biosynthesis via increased expression of cytoplasmic serine hydroxymethyltransferase, which is a limiting factor in thymidylate synthesis in MCF-7 cells. Light chain ferritin is involved in cataracts by at least two mechanisms: hereditary hyperferritinemia cataract syndrome, in which light chain ferritin is overexpressed; and oxidative stress, an important factor in the development of aging-related cataracts. Function: Ferritin is a ubiquitous and highly conserved protein which plays a major role in iron homeostasis by sequestering and storing iron in a non-toxic and soluble form. It forms a holoenzyme of ~450 kDa, consisting of 24 subunits of two types, H (heavy; 21 kDa) and L (light; 19 kDa), and is capable of storing up to 4,500 atoms of ferric iron. Depending on the tissue type and physiological status of the cell, the ratio of H to L subunits in ferritin can vary widely. Ferritin is found in the liver, spleen, kidney and heart, with smaller amounts being found in blood. Serum ferritin levels serve as an indicator of the amount of iron stored in the body. Serum ferritin is the most sensitive test for anaemia, and is also used as a marker for restless leg syndrome, hemochromatosis and porphyria. As ferritin is an acute-phase reactant, it is often elevated during infection. Defects in ferritin proteins are associated with several neurodegenerative diseases. Subunit: Oligomer of 24 subunits. There are two types of subunits: L (light) chain and H (heavy) chain. The major chain can be light or heavy, depending on the species and tissue type. The functional molecule forms a roughly spherical shell with a diameter of 12 nm and contains a central cavity into which the insoluble mineral iron core is deposited. Subcellular Location: Cytoplasmic. Tissue Specificity: In human liver the heavy chain is the major chain. Similarity: Belongs to the ferritin family. Contains 1 ferritin-like diiron domain. SWISS: P02794 Gene ID: 2495 Database links: Entrez Gene: 654516 Cat Entrez Gene: 100499480 Dog Entrez Gene: 403631 Dog Entrez Gene: 2495 Human Entrez Gene: 14319 Mouse Omim: 134770 Human SwissProt: Q2MHN2 Cat SwissProt: Q95MP7 Dog SwissProt: P02794 Human SwissProt: P09528 Mouse Unigene: 524910 Human Unigene: 645560 Human Unigene: 1776 Mouse Important Note: This product as supplied is intended for research use only, not for use in human, therapeutic or diagnostic applications. |
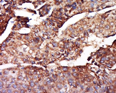
| 产品图片 | ![]() Tissue/cell: human liver cancer; 4% Paraformaldehyde-fixed and paraffin-embedded; Antigen retrieval: citrate buffer ( 0.01M, pH 6.0 ), Boiling bathing for 15min; Block endogenous peroxidase by 3% Hydrogen peroxide for 30min; Blocking buffer (normal goat serum,C-0005) at 37℃ for 20 min; Incubation: Anti-FHC Polyclonal Antibody, Unconjugated(bs-8679R) 1:500, overnight at 4°C, followed by conjugation to the secondary antibody(SP-0023) and DAB(C-0010) staining |
风险提示:丁香通仅作为第三方平台,为商家信息发布提供平台空间。用户咨询产品时请注意保护个人信息及财产安全,合理判断,谨慎选购商品,商家和用户对交易行为负责。对于医疗器械类产品,请先查证核实企业经营资质和医疗器械产品注册证情况。
文献和实验铁蛋白抗体技术 ferritin antibody technique
为了在电镜下识别细胞及组织内的抗原部位而采用铁蛋白作标记的抗体的免疫细胞化学技术之一。铁蛋白是含有多量(约 20%)铁的结合蛋白,由直径约 10毫微米的蛋白质外壳及位于中心的直径 5.5毫微米的分子团组成。由于此分子团分成直径 3毫微米的 4个亚单位,在电镜下根据电子密度高的铁颗粒四角形排列是容易辨认其存在的。一般是将同铁蛋白结合的抗体(铁蛋白抗体)作用于先行固定的细胞后,制成超薄切片,用电镜观察。由于铁蛋白是大分子,具有不易透进细胞内这一难题。
是一种含铁的复合蛋白质,存在于脾脏,小肠粘膜,肝脏和红骨髓中。可从这些脏器分离到其红褐色的结晶,含有 20-24%的 Fe和 1.2-2%的磷。并认为 Fe是以( FeO· OH) 8 ( FeO· OPO3 H2 )的组成形态存在的。用连次亚硫酸钠处理,能够把不含 Fe的无色蛋白质部分(缺铁铁蛋白)和亚铁分开,得到脱铁的铁蛋白( apo-ferritin)结晶,分子量约 48万(由 20个分子量为 2万 4千个亚基组成)。并认为,在生物体内,铁蛋白是参与铁的贮藏及消化时铁
人铁蛋白 (Ferritin) 酶联免疫分析 试剂盒使用说明书 本试剂仅供研究使用 目的:本试剂盒用于测定人血清,血浆, 组织及相关液体样本中 铁蛋白 (Ferritin) 的含量。 实验原理: 本试剂盒应用双抗体夹心法测定标本中人 铁蛋白 (Ferritin) 水平。用纯化的人 铁蛋白 (Ferritin) 抗体包被微孔板,制成固相抗体,往包被单抗的微孔中依次加入 铁蛋白 (Ferritin
技术资料暂无技术资料 索取技术资料











