相关产品推荐更多 >
万千商家帮你免费找货
0 人在求购买到急需产品
- 详细信息
- 技术资料
- 供应商:
上海联迈生物工程有限公司
- 库存:
大量
- 目录编号:
LM-8112R
- 克隆性:
多克隆
- 抗原来源:
Rabbit
- 保质期:
1年
- 抗体英文名:
CCDC117
- 抗体名:
卷曲螺旋结构域蛋白117抗体
- 宿主:
Rabbit
- 适应物种:
Human, Mouse, Rat, Dog, Cow, Horse, Sheep,
- 免疫原:
KLH conjugated synthetic peptide derived from Human CCDC117:148-250/279
- 亚型:
IgG
- 形态:
Lyophilized or Liquid
- 应用范围:
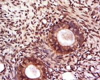
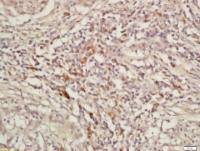
WB=1:500-2000 ELISA=1:500-1000 IHC-P=1:400-800 IHC-F=1:400-800 IF=1:100-500 (石蜡切片需做抗原修复)
- 浓度:
1mg/ml
- 保存条件:
Store at -20 °C
- 规格:
100ul 200ul
CCDC117卷曲螺旋结构域蛋白117抗体
| 英文名称 | CCDC117 |
| 中文名称 | 卷曲螺旋结构域蛋白117抗体 |
| 别 名 | CC117_HUMAN; Ccdc117; Coiled-coil domain-containing protein 117. |
| 规格价格 | 100ul/1380元 购买 200ul/2200元 购买 大包装/询价 |
| 说 明 书 | 100ul 200ul |
| 研究领域 | 细胞生物 免疫学 |
| 抗体来源 | Rabbit |
| 克隆类型 | Polyclonal |
| 交叉反应 | Human, Mouse, Rat, Dog, Cow, Horse, Sheep, |
| 产品应用 | WB=1:500-2000 ELISA=1:500-1000 IHC-P=1:400-800 IHC-F=1:400-800 IF=1:100-500 (石蜡切片需做抗原修复) not yet tested in other applications. optimal dilutions/concentrations should be determined by the end user. |
| 分 子 量 | 31kDa |
| 细胞定位 | 细胞核 细胞浆 |
| 性 状 | Lyophilized or Liquid |
| 浓 度 | 1mg/ml |
| 免 疫 原 | KLH conjugated synthetic peptide derived from Human CCDC117:148-250/279 |
| 亚 型 | IgG |
| 纯化方法 | affinity purified by Protein A |
| 储 存 液 | 0.01M TBS(pH7.4) with 1% BSA, 0.03% Proclin300 and 50% Glycerol. |
| 保存条件 | Store at -20 °C for one year. Avoid repeated freeze/thaw cycles. The lyophilized antibody is stable at room temperature for at least one month and for greater than a year when kept at -20°C. When reconstituted in sterile pH 7.4 0.01M PBS or diluent of antibody the antibody is stable for at least two weeks at 2-4 °C. |
| PubMed | PubMed |
| 产品介绍 | background: CCDC117 is a 279 amino acid protein that is expressed as multiple alternatively spliced isoforms and is encoded by a gene which maps to human chromosome 22. Chromosome 22 houses over 500 genes and is the second smallest human chromosome. Mutations in several of the genes that map to chromosome 22 are involved in the development of Phelan-McDermid syndrome, Neurofibromatosis type 2, autism and schizophrenia. Additionally, translocations between chromosomes 9 and 22 may lead to the formation of the Philadelphia chromosome and the subsequent production of the novel fusion protein Bcr-Abl, a potent cell proliferation activator found in several types of leukemias. SWISS: Q8IWD4 Gene ID: 150275 Database links: Entrez Gene: 150275 Human Entrez Gene: 104479 Mouse Entrez Gene: 498404 Rat SwissProt: Q8IWD4 Human SwissProt: Q6PB51 Mouse SwissProt: Q5M9G5 Rat Unigene: 406460 Human Unigene: 210403 Mouse Unigene: 20126 Rat Important Note: This product as supplied is intended for research use only, not for use in human, therapeutic or diagnostic applications. |
风险提示:丁香通仅作为第三方平台,为商家信息发布提供平台空间。用户咨询产品时请注意保护个人信息及财产安全,合理判断,谨慎选购商品,商家和用户对交易行为负责。对于医疗器械类产品,请先查证核实企业经营资质和医疗器械产品注册证情况。
技术资料暂无技术资料 索取技术资料
CCDC117卷曲螺旋结构域蛋白117抗体
¥1380 - 2200









