相关产品推荐更多 >
万千商家帮你免费找货
0 人在求购买到急需产品
- 详细信息
- 文献和实验
- 技术资料
- 供应商:
上海联迈生物工程有限公司
- 库存:
大量
- 目录编号:
LM-20784R
- 克隆性:
多克隆
- 抗原来源:
Rabbit
- 保质期:
1年
- 抗体英文名:
PEDF
- 抗体名:
色素上皮源性因子抗体
- 宿主:
Rabbit
- 适应物种:
Human, Mouse, Pig, Cow, Sheep,
- 免疫原:
KLH conjugated synthetic peptide derived from human PEDF:101-200/417
- 亚型:
IgG
- 形态:
Lyophilized or Liquid
- 应用范围:
WB=1:500-2000 ELISA=1:500-1000 IHC-P=1:400-800 IHC-F=1:400-800 ICC=1:100-500 IF=1:100-500 (石蜡切片需做抗原修复)
- 浓度:
1mg/ml
- 保存条件:
Store at -20 °C
- 规格:
100ul 200ul
| 英文名称 | PEDF |
| 中文名称 | 色素上皮源性因子抗体 |
| 别 名 | pigment epithelium-derived factor; Serpin-F1; Stromal cell-derived factor 3; SDF-3; Caspin; Alpha 2 antiplasmin; EPC 1; EPC1; PIG 35; PIG35; Pigment epithelium derived factor; Proliferation inducing protein 35; SERPIN F1; Serpin peptidase inhibitor clade F member 1; SERPINF 1; SERPINF1; PEDF_HUMAN. |
| 规格价格 | 100ul/1380元 购买 200ul/2200元 购买 大包装/询价 |
| 说 明 书 | 100ul 200ul |
| 研究领域 | 肿瘤 细胞生物 免疫学 神经生物学 生长因子和激素 |
| 抗体来源 | Rabbit |
| 克隆类型 | Polyclonal |
| 交叉反应 | Human, Mouse, Pig, Cow, Sheep, |
| 产品应用 | WB=1:500-2000 ELISA=1:500-1000 IHC-P=1:400-800 IHC-F=1:400-800 ICC=1:100-500 IF=1:100-500 (石蜡切片需做抗原修复) not yet tested in other applications. optimal dilutions/concentrations should be determined by the end user. |
| 分 子 量 | 46kDa |
| 细胞定位 | 分泌型蛋白 |
| 性 状 | Lyophilized or Liquid |
| 浓 度 | 1mg/ml |
| 免 疫 原 | KLH conjugated synthetic peptide derived from human PEDF:101-200/417 |
| 亚 型 | IgG |
| 纯化方法 | affinity purified by Protein A |
| 储 存 液 | 0.01M TBS(pH7.4) with 1% BSA, 0.03% Proclin300 and 50% Glycerol. |
| 保存条件 | Store at -20 °C for one year. Avoid repeated freeze/thaw cycles. The lyophilized antibody is stable at room temperature for at least one month and for greater than a year when kept at -20°C. When reconstituted in sterile pH 7.4 0.01M PBS or diluent of antibody the antibody is stable for at least two weeks at 2-4 °C. |
| PubMed | PubMed |
| 产品介绍 | background: Pigment epithelium derived factor, originally identified in conditioned medium of cultured human fetal retinal pigment epithelial (RPE) cells, is a neurotrophic protein that induces extensive neuronal differentiation in human Y79 retinoblastoma cells, a neoplastic counterpart of normal retinoblasts. It has been suggested that PEDF is synthesized by RPE cells and secreted into the retina interphotoreceptor matrix where it may influence development/differentiation of the neural retina. PEDF is a potent inhibitor of angiogenesis. As it does not undergo the S (stressed) to R (relaxed) conformational transition characteristic of active serpins, it exhibits no serine protease inhibitory activity. The PEDF gene is a member of the serpin gene family. Serpins are a group of serine protease inhibitors, some of which have also been reported to exhibit neurotrophic activity. Function: Neurotrophic protein; induces extensive neuronal differentiation in retinoblastoma cells. Potent inhibitor of angiogenesis. As it does not undergo the S (stressed) to R (relaxed) conformational transition characteristic of active serpins, it exhibits no serine protease inhibitory activity. Subcellular Location: Secreted. Melanosome. Enriched in stage I melanosomes. Tissue Specificity: Retinal pigment epithelial cells and blood plasma. Post-translational modifications: The N-terminus is blocked. Extracellular phosphorylation enhances antiangiogenic activity. N- and O-glycosylated. O-glycosylated with a core 1 or possibly core 8 glycan. DISEASE: Defects in SERPINF1 are the cause of osteogenesis imperfecta type 12 (OI12) [MIM:613982]. OI12 is a connective tissue disorder characterized by bone fragility, low bone mass, and recurrent fractures. OI12 is characterized by features compatible with osteogenesis imperfecta type III in the Sillence classification. Patients have normal grayish sclerae and fractures of long bones and severe vertebral compression fractures, with resulting deformities observed as early as the first year of life. Similarity: Belongs to the serpin family. SWISS: P36955 Gene ID: 5176 Database links: Entrez Gene: 5176 Human Entrez Gene: 20317 Mouse Omim: 172860 Human SwissProt: P36955 Human SwissProt: P97298 Mouse Unigene: 532768 Human Unigene: 2044 Mouse Important Note: This product as supplied is intended for research use only, not for use in human, therapeutic or diagnostic applications. |
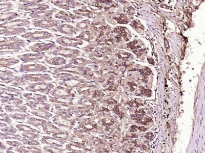
| 产品图片 | ![]() Sample: Liver (Mouse) Lysate at 40 ug Primary: Anti-PEDF (bs-20784R) at 1/300 dilution Secondary: IRDye800CW Goat Anti-Rabbit IgG at 1/20000 dilution Predicted band size: 46 kD Observed band size: 46 kD ![]() Paraformaldehyde-fixed, paraffin embedded (Mouse stomach); Antigen retrieval by boiling in sodium citrate buffer (pH6.0) for 15min; Block endogenous peroxidase by 3% hydrogen peroxide for 20 minutes; Blocking buffer (normal goat serum) at 37°C for 30min; Antibody incubation with (PEDF) Polyclonal Antibody, Unconjugated (bs-20784R) at 1:500 overnight at 4°C, followed by a conjugated secondary (sp-0023) for 20 minutes and DAB staining. ![]() Paraformaldehyde-fixed, paraffin embedded (Human glioma); Antigen retrieval by boiling in sodium citrate buffer (pH6.0) for 15min; Block endogenous peroxidase by 3% hydrogen peroxide for 20 minutes; Blocking buffer (normal goat serum) at 37°C for 30min; Antibody incubation with (PEDF) Polyclonal Antibody, Unconjugated (bs-20784R) at 1:500 overnight at 4°C, followed by a conjugated secondary (sp-0023) for 20 minutes and DAB staining. ![]() Paraformaldehyde-fixed, paraffin embedded (Mouse brain); Antigen retrieval by boiling in sodium citrate buffer (pH6.0) for 15min; Block endogenous peroxidase by 3% hydrogen peroxide for 20 minutes; Blocking buffer (normal goat serum) at 37°C for 30min; Antibody incubation with (PEDF) Polyclonal Antibody, Unconjugated (bs-20784R) at 1:500 overnight at 4°C, followed by a conjugated secondary (sp-0023) for 20 minutes and DAB staining. |
风险提示:丁香通仅作为第三方平台,为商家信息发布提供平台空间。用户咨询产品时请注意保护个人信息及财产安全,合理判断,谨慎选购商品,商家和用户对交易行为负责。对于医疗器械类产品,请先查证核实企业经营资质和医疗器械产品注册证情况。
文献和实验上海西唐生物科技有限公司 021-55229872, 65333639 www.westang.com 人 色素上皮细胞衍生因子 ( PEDF )ELISA 试剂盒 ( 用于血清、血浆、细胞培养上清液和唾液等其它生物体液内 ) 原理 本实验采用双抗体夹心 ABC-ELISA 法。用抗人 PEDF 单抗包被于酶标板上,标准品和样品中的 PEDF与单抗结合,加入生物素化的抗人
小鼠色素上皮细胞衍生因子(PEDF)ELISA试剂盒 说明书
上海西唐生物科技有限公司 021-55229872, 65333639 www.westang.com 小鼠 色素上皮细胞衍生因子 ( PEDF )ELISA 试剂盒 ( 用于血清、血浆、细胞培养上清液和唾液等其它生物体液内 ) 原理 本实验采用双抗体夹心 ABC-ELISA 法。用抗小鼠 PEDF 单抗包被于酶标板上,标准品和样品中的 PEDF与单抗结合,加入生物
在 Am J Physiol Cell Physiol 上的一篇研究论文。题目:High glucose promotes the migration of retinal pigment epithelial cellsthrough increased oxidative stress and PEDF expression。从题目中,我们就可以看出,本文主要讲的就是高糖通过增加氧化应激和 PEDF 表达促进视网膜色素上皮细胞的迁移。题目有点长,其实文章内容也很多,多达 17 页!对于初学
技术资料暂无技术资料 索取技术资料














