相关产品推荐更多 >
万千商家帮你免费找货
0 人在求购买到急需产品
- 详细信息
- 文献和实验
- 技术资料
- 供应商:
上海联迈生物工程有限公司
- 库存:
大量
- 目录编号:
LM-7926R
- 克隆性:
多克隆
- 抗原来源:
Rabbit
- 保质期:
1年
- 抗体英文名:
ANKRD28
- 抗体名:
锚蛋白重复域28抗体
- 宿主:
Rabbit
- 适应物种:
Human, Mouse, Rat, Pig, Cow, Horse, Rabbit, Sheep,
- 免疫原:
KLH conjugated synthetic peptide derived from human ANKRD28:430-530/1053
- 亚型:
IgG
- 形态:
Lyophilized or Liquid
- 应用范围:
WB=1:500-2000 ELISA=1:500-1000 IHC-P=1:400-800 IHC-F=1:400-800 IF=1:100-500 (石蜡切片需做抗原修复)
- 浓度:
1mg/ml
- 保存条件:
Store at -20 °C
- 规格:
100ul 200ul
| 英文名称 | ANKRD28 |
| 中文名称 | 锚蛋白重复域28抗体 |
| 别 名 | ANKRD 28; ANKRD-28; Ankyrin repeat domain 28; KIAA0379; Phosphatase interactor targeting K protein; Phosphatase interactor targeting protein hnRNP K; PITK; ANR28_HUMAN. |
| 规格价格 | 100ul/1380元 购买 200ul/2200元 购买 大包装/询价 |
| 说 明 书 | 100ul 200ul |
| 研究领域 | 细胞生物 信号转导 细胞周期蛋白 激酶和磷酸酶 表观遗传学 |
| 抗体来源 | Rabbit |
| 克隆类型 | Polyclonal |
| 交叉反应 | Human, Mouse, Rat, Pig, Cow, Horse, Rabbit, Sheep, |
| 产品应用 | WB=1:500-2000 ELISA=1:500-1000 IHC-P=1:400-800 IHC-F=1:400-800 IF=1:100-500 (石蜡切片需做抗原修复) not yet tested in other applications. optimal dilutions/concentrations should be determined by the end user. |
| 分 子 量 | 113kDa |
| 细胞定位 | 细胞核 |
| 性 状 | Lyophilized or Liquid |
| 浓 度 | 1mg/ml |
| 免 疫 原 | KLH conjugated synthetic peptide derived from human ANKRD28:430-530/1053 |
| 亚 型 | IgG |
| 纯化方法 | affinity purified by Protein A |
| 储 存 液 | 0.01M TBS(pH7.4) with 1% BSA, 0.03% Proclin300 and 50% Glycerol. |
| 保存条件 | Store at -20 °C for one year. Avoid repeated freeze/thaw cycles. The lyophilized antibody is stable at room temperature for at least one month and for greater than a year when kept at -20°C. When reconstituted in sterile pH 7.4 0.01M PBS or diluent of antibody the antibody is stable for at least two weeks at 2-4 °C. |
| PubMed | PubMed |
| 产品介绍 | background: ANKRD28 selectively inhibits the phosphatase activity of PPP1C and targets PPP1C to modulate HNRPK phosphorylation. It contains twenty seven ANK repeats. There are two named isoforms. Function: Putative regulatory subunit of protein phosphatase 6 (PP6) that may be involved in the recognition of phosphoprotein substrates. Involved in the PP6-mediated dephosphorylation of NFKBIE opposing its degradation in response to TNF-alpha. Selectively inhibits the phosphatase activity of PPP1C. Targets PPP1C to modulate HNRPK phosphorylation. Subunit: Protein phosphatase 6 (PP6) holoenzyme is proposed to be a heterotrimeric complex formed by the catalytic subunit, a SAPS domain-containing subunit (PP6R) and an ankyrin repeat-domain containing regulatory subunit (ARS). Interacts with PPP1C and HNRPK. Interacts with PPP6C, PPP6R1 and PPP6R3. Subcellular Location: Nucleus, nucleoplasm. Note=Seems to be excluded from nucleoli. Similarity: Contains 27 ANK repeats. SWISS: O15084 Gene ID: 23243 Database links: UniProtKB/Swiss-Prot: O15084.5 Important Note: This product as supplied is intended for research use only, not for use in human, therapeutic or diagnostic applications. |
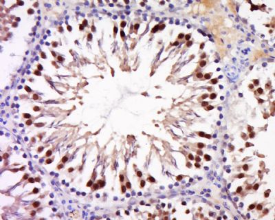
| 产品图片 | ![]() Tissue/cell: Rat brain tissue; 4% Paraformaldehyde-fixed and paraffin-embedded; Antigen retrieval: citrate buffer ( 0.01M, pH 6.0 ), Boiling bathing for 15min; Block endogenous peroxidase by 3% Hydrogen peroxide for 30min; Blocking buffer (normal goat serum,C-0005) at 37℃ for 20 min; Incubation: Anti-ANKRD28 Polyclonal Antibody, Unconjugated(bs-7926R) 1:500, overnight at 4°C, followed by conjugation to the secondary antibody(SP-0023) and DAB(C-0010) staining ![]() Tissue/cell: Rat testis tissue; 4% Paraformaldehyde-fixed and paraffin-embedded; Antigen retrieval: citrate buffer ( 0.01M, pH 6.0 ), Boiling bathing for 15min; Block endogenous peroxidase by 3% Hydrogen peroxide for 30min; Blocking buffer (normal goat serum,C-0005) at 37℃ for 20 min; Incubation: Anti-ANKRD28 Polyclonal Antibody, Unconjugated(bs-7926R) 1:500, overnight at 4°C, followed by conjugation to the secondary antibody(SP-0023) and DAB(C-0010) staining |
风险提示:丁香通仅作为第三方平台,为商家信息发布提供平台空间。用户咨询产品时请注意保护个人信息及财产安全,合理判断,谨慎选购商品,商家和用户对交易行为负责。对于医疗器械类产品,请先查证核实企业经营资质和医疗器械产品注册证情况。
文献和实验人心肌锚蛋白重复域1(ANKRD1)酶联免疫分析(ELISA)
人心肌锚蛋白重复域1 (ANKRD1 ) 酶联免疫分析(ELISA ) 试剂盒使用说明书 本试剂仅供研究使用 目的:本试剂盒用于测定人血清,血浆及相关液体样本中心肌锚蛋白重复域1 (ANKRD1 )的 含量。 实验原理: 本试剂盒应用双抗体夹心法测定标本中人 心肌锚蛋白重复域 1 ( ANKRD1 ) 水平。用纯化的人 心肌锚蛋白重复域 1 ( ANKRD1 ) 抗体包被微孔板,制成固相抗体,往包
细胞而被代谢清除。LRP是一种由相对分子质量为515 000和85 000两个亚基组成的巨型细胞膜糖蛋白,属低密度脂蛋白受体家族成员,能够介导多种血浆蛋白在肝细胞内的分解代谢。LRP的胞外区,即相对分子质量为515 000亚基,由4个串联的配体结合结构域组成,分别称之为clusters I、Ⅱ、Ⅲ、Ⅳ。每个配体结合结构域又分别由一定数目的LDL受体A型亚结构域(为A型半胱氨酸重复序列)组成。TFPI通过K3和C末端与LRP分子的dustersⅡ和clustersⅣ结合,其中clustersⅡ的C3―C7
充分的准备是实验成功的关键,那么,qPCR 实验需要提前做好哪些了解呢? 试剂的储存条件 市面上大多数 qPCR 试剂推荐 - 20 ℃ 避光长期储存。 Vazyme 的 ChamQTM 和 AceQ® 两个系列的 qPCR Master Mix,长期储存应置于 - 20 ℃ 避光,解冻后可于 4 ℃ 短暂存放;避免反复冻融。 原始模版稀释倍数 尽量选择 Ct 值落在 15 - 28 范围的稀释倍数作为原始模板稀释度。 反应体系与次数 推荐 20 μl 体系,Vazyme
技术资料暂无技术资料 索取技术资料












