相关产品推荐更多 >
万千商家帮你免费找货
0 人在求购买到急需产品
- 详细信息
- 文献和实验
- 技术资料
- 供应商:
上海联迈生物工程有限公司
- 库存:
大量
- 目录编号:
LM-9584R
- 克隆性:
多克隆
- 抗原来源:
Rabbit
- 保质期:
1年
- 抗体英文名:
STAT1 p84+p91
- 抗体名:
信号转导与转录激活因子1抗体
- 宿主:
Rabbit
- 适应物种:
Human, Mouse, Rat, Dog, Pig, Cow, Horse, Sheep,
- 免疫原:
KLH conjugated synthetic peptide derived from human STAT1:251-350/750
- 亚型:
IgG
- 形态:
Lyophilized or Liquid
- 应用范围:
WB=1:500-2000 ELISA=1:500-1000 IHC-P=1:400-800 IHC-F=1:400-800 ICC=1:100-500 IF=1:100-500 (石蜡切片需做抗原修复)
- 浓度:
1mg/ml
- 保存条件:
Store at -20 °C
- 规格:
100ul 200ul
| 英文名称 | STAT1 |
| 中文名称 | 信号转导与转录激活因子1抗体 |
| 别 名 | STAT1-p84/p91; STAT1 p84+p91; STAT 91; STAT 84; signal transducers and activators of transcription 1; DKFZp686B04100; ISGF 3; Signal transducer and activator of transcription 1 91kDa; Signal transducer and activator of transcription 1 alpha/beta; STAT 1; STAT 91; STAT91; Transcription factor ISGF 3 components p91 p84; STAT1_HUMAN. |
| 规格价格 | 100ul/1380元 购买 200ul/2200元 购买 大包装/询价 |
| 说 明 书 | 100ul 200ul |
| 研究领域 | 肿瘤 细胞生物 信号转导 转录调节因子 激酶和磷酸酶 表观遗传学 |
| 抗体来源 | Rabbit |
| 克隆类型 | Polyclonal |
| 交叉反应 | Human, Mouse, Rat, Dog, Pig, Cow, Horse, Sheep, |
| 产品应用 | WB=1:500-2000 ELISA=1:500-1000 IHC-P=1:400-800 IHC-F=1:400-800 ICC=1:100-500 IF=1:100-500 (石蜡切片需做抗原修复) not yet tested in other applications. optimal dilutions/concentrations should be determined by the end user. |
| 分 子 量 | 84kDa |
| 细胞定位 | 细胞核 细胞浆 |
| 性 状 | Lyophilized or Liquid |
| 浓 度 | 1mg/ml |
| 免 疫 原 | KLH conjugated synthetic peptide derived from human STAT1:251-350/750 |
| 亚 型 | IgG |
| 纯化方法 | affinity purified by Protein A |
| 储 存 液 | 0.01M TBS(pH7.4) with 1% BSA, 0.03% Proclin300 and 50% Glycerol. |
| 保存条件 | Store at -20 °C for one year. Avoid repeated freeze/thaw cycles. The lyophilized antibody is stable at room temperature for at least one month and for greater than a year when kept at -20°C. When reconstituted in sterile pH 7.4 0.01M PBS or diluent of antibody the antibody is stable for at least two weeks at 2-4 °C. |
| PubMed | PubMed |
| 产品介绍 | background: Membrane receptor signaling by various ligands, including interferons and growth hormones such as EGF, induces activation of JAK kinases which then leads to tyrosine phosphorylation of the various Stat transcription factors. Stat1 and Stat2 are induced by IFN-å and form a heterodimer which is part of the ISGF3 transcription factor complex. Although early reports indicate Stat3 activation by EGF and IL-6, it has been shown that Stat3∫ appears to be activated by both while Stat3å is activated by EGF, but not by IL-6. Highest expression of Stat4 is seen in testis and myeloid cells. IL-12 has been identified as an activator of Stat4. Stat5 has been shown to be activated by Prolactin and by IL-3. Stat6 is involved in IL-4 activated signaling pathways. Function: Signal transducer and activator of transcription that mediates signaling by interferons (IFNs). Following type I IFN (IFN-alpha and IFN-beta) binding to cell surface receptors, Jak kinases (TYK2 and JAK1) are activated, leading to tyrosine phosphorylation of STAT1 and STAT2. The phosphorylated STATs dimerize, associate with ISGF3G/IRF-9 to form a complex termed ISGF3 transcription factor, that enters the nucleus. ISGF3 binds to the IFN stimulated response element (ISRE) to activate the transcription of interferon stimulated genes, which drive the cell in an antiviral state. In response to type II IFN (IFN-gamma), STAT1 is tyrosine- and serine-phosphorylated. It then forms a homodimer termed IFN-gamma-activated factor (GAF), migrates into the nucleus and binds to the IFN gamma activated sequence (GAS) to drive the expression of the target genes, inducing a cellular antiviral state. Subunit: Isoform alpha homodimerizes upon IFN-gamma induced phosphorylation. Heterodimer with STAT2 upon IFN-alpha/beta induced phosphorylation. Interacts with NMI. Interacts with Sendai virus C', C, Y1 and Y2 proteins, Nipah virus P, V and W proteins, and rabies virus phosphoprotein preventing activation of ISRE and GAS promoter. Interacts with HCV core protein; the interaction results in STAT1 degradation. Interacts with PIAS1; the interaction requires phosphorylation on Ser-727 and inhibits STAT1 activation. Interacts with IFNAR1; the interaction requires the phosphorylation of IFNAR1 at 'Tyr-466'. Interacts with IFNAR2. Interacts with PIAS1 (dimethylated on arginine); the interaction results in release of STAT1 from its target gene. Interacts with SRC. Interacts with ERBB4 (phosphorylated). Interacts with PTK2/FAK1. Subcellular Location: Cytoplasm. Nucleus. Translocated into the nucleus in response to IFN-gamma-induced tyrosine phosphorylation and dimerization. Post-translational modifications: Phosphorylated on tyrosine and serine residues in response to a variety of cytokines/growth hormones including IFN-alpha, IFN-gamma, PDGF and EGF. Activated KIT promotes phosphorylation on tyrosine residues and subsequent translocation to the nucleus. Tyrosine phosphorylated in response to constitutively activated FGFR1, FGFR2, FGFR3 and FGFR4. Upon EGF stimulation, phosphorylation on Tyr-701 (lacking in beta form) by JAK1, JAK2 or TYK2 promotes dimerization and subsequent translocation to the nucleus. Growth hormone (GH) activates STAT1 signaling only via JAK2. PHosphorylation on Ser-727 by several kinases including MAPK14, ERK1/2 and CAMKII on IFN-gamma stimulation, regulates STAT1 transcriptional activity. Phosphorylation on Ser-727 promotes sumoylation though increasing interaction with PIAS. Phosphorylation on Ser-727 by PKCdelta induces apoptosis in response to DNA-damaging agents. Phosphorylated on tyrosine residues when PTK2/FAK1 is activated; most likely this is catalyzed by a SRC family kinase. Sumoylated with SUMO1, SUMO2 and SUMO3. Sumoylation is enhanced by IFN-gamma-induced phosphorylation on Ser-727, and by interaction with PIAS proteins. Enhances the transactivation activity. ISGylated. DISEASE: Defects in STAT1 are the cause of STAT1 deficiency complete (STAT1D) [MIM:613796]. STAT1D is a disorder characterized by susceptibility to severe mycobacterial and viral infections. Affected individuals can develop disseminated infections and die of viral illness. Defects in STAT1 are a cause of mendelian susceptibility to mycobacterial disease (MSMD) [MIM:209950]; also known as familial disseminated atypical mycobacterial infection. This rare condition confers predisposition to illness caused by moderately virulent mycobacterial species, such as Bacillus Calmette-Guerin (BCG) vaccine and environmental non-tuberculous mycobacteria, and by the more virulent Mycobacterium tuberculosis. Other microorganisms rarely cause severe clinical disease in individuals with susceptibility to mycobacterial infections, with the exception of Salmonella which infects less than 50% of these individuals. The pathogenic mechanism underlying MSMD is the impairment of interferon-gamma mediated immunity whose severity determines the clinical outcome. Some patients die of overwhelming mycobacterial disease with lepromatous-like lesions in early childhood, whereas others develop, later in life, disseminated but curable infections with tuberculoid granulomas. MSMD is a genetically heterogeneous disease with autosomal recessive, autosomal dominant or X-linked inheritance. Defects in STAT1 are the cause of familial candidiasis type 7 (CANDF7) [MIM:614162]. A primary immunodeficiency disorder with altered immune responses and impaired clearance of fungal infections, selective against Candida. It is characterized by persistent and/or recurrent infections of the skin, nails and mucous membranes caused by organisms of the genus Candida, mainly Candida albicans. Note=STAT1 mutations in patients with autosomal dominant candidiasis lead to defective responses of type 1 and type 17 helper T-cells, characterized by reduced production of interferon-alpha, interleukin-17, and interleukin-22. These cytokines are crucial for the antifungal defense of skin and mucosa (PubMed:21714643). Similarity: Belongs to the transcription factor STAT family. Contains 1 SH2 domain. SWISS: P42224 Gene ID: 6772 Database links: Entrez Gene: 6772 Human Entrez Gene: 20846 Mouse Entrez Gene: 25124 Rat Omim: 600555 Human SwissProt: P42224 Human SwissProt: P42225 Mouse Unigene: 642990 Human Unigene: 743244 Human Unigene: 277406 Mouse Unigene: 33229 Rat Important Note: This product as supplied is intended for research use only, not for use in human, therapeutic or diagnostic applications. |
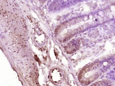
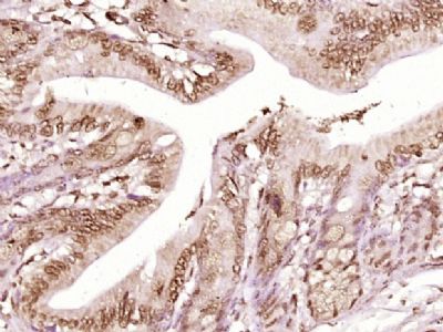
| 产品图片 | ![]() Sample: MCF-7(Human) Cell Lysate at 30 ug Primary: Anti-STAT1 p84+p91 (bs-9584R) at 1/300 dilution Secondary: IRDye800CW Goat Anti-Rabbit IgG at 1/20000 dilution Predicted band size: 84 kD Observed band size: 84 kD ![]() Paraformaldehyde-fixed, paraffin embedded (Rat intestine); Antigen retrieval by boiling in sodium citrate buffer (pH6.0) for 15min; Block endogenous peroxidase by 3% hydrogen peroxide for 20 minutes; Blocking buffer (normal goat serum) at 37°C for 30min; Antibody incubation with (STAT1 p84+p91) Polyclonal Antibody, Unconjugated (bs-9584R) at 1:400 overnight at 4°C, followed by operating according to SP Kit(Rabbit) (sp-0023) instructionsand DAB staining. ![]() Paraformaldehyde-fixed, paraffin embedded (Mouse brain); Antigen retrieval by boiling in sodium citrate buffer (pH6.0) for 15min; Block endogenous peroxidase by 3% hydrogen peroxide for 20 minutes; Blocking buffer (normal goat serum) at 37°C for 30min; Antibody incubation with (STAT1 p84+p91) Polyclonal Antibody, Unconjugated (bs-9584R) at 1:400 overnight at 4°C, followed by operating according to SP Kit(Rabbit) (sp-0023) instructionsand DAB staining. ![]() Paraformaldehyde-fixed, paraffin embedded (Human brain glioma); Antigen retrieval by boiling in sodium citrate buffer (pH6.0) for 15min; Block endogenous peroxidase by 3% hydrogen peroxide for 20 minutes; Blocking buffer (normal goat serum) at 37°C for 30min; Antibody incubation with (STAT1 p84+p91) Polyclonal Antibody, Unconjugated (bs-9584R) at 1:400 overnight at 4°C, followed by operating according to SP Kit(Rabbit) (sp-0023) instructionsand DAB staining. ![]() Paraformaldehyde-fixed, paraffin embedded (Rat brain); Antigen retrieval by boiling in sodium citrate buffer (pH6.0) for 15min; Block endogenous peroxidase by 3% hydrogen peroxide for 20 minutes; Blocking buffer (normal goat serum) at 37°C for 30min; Antibody incubation with (STAT1 p84+p91) Polyclonal Antibody, Unconjugated (bs-9584R) at 1:400 overnight at 4°C, followed by operating according to SP Kit(Rabbit) (sp-0023) instructionsand DAB staining. ![]() Paraformaldehyde-fixed, paraffin embedded (Rat colon); Antigen retrieval by boiling in sodium citrate buffer (pH6.0) for 15min; Block endogenous peroxidase by 3% hydrogen peroxide for 20 minutes; Blocking buffer (normal goat serum) at 37°C for 30min; Antibody incubation with (STAT1 p84+p91) Polyclonal Antibody, Unconjugated (bs-9584R) at 1:400 overnight at 4°C, followed by operating according to SP Kit(Rabbit) (sp-0023) instructionsand DAB staining. |
风险提示:丁香通仅作为第三方平台,为商家信息发布提供平台空间。用户咨询产品时请注意保护个人信息及财产安全,合理判断,谨慎选购商品,商家和用户对交易行为负责。对于医疗器械类产品,请先查证核实企业经营资质和医疗器械产品注册证情况。
文献和实验fengbozhang 各位大侠:最近投了一个paper,是关于一个细胞因子激活STAT1通路,抑制ERK1/2通路而抑制肿瘤细胞生长的。 老外的回修意见中,要求我做一个简单的小示意图,来说明作用信号传导通路。本人检索众多文献,发现无论STAT1还是ERK1/2,都很复杂,设计到很多的分子、染色体等,这个图该怎么简单说明一下呢?本人是搞临床的,弄这个东西实在很挠头啊!***高招! kern6549 审稿人的意思应该
Assessing Sequence-Specific DNA Binding and Transcriptional Activity of STAT1 Transcription Factor
and carrier-independent transport pathways, and it was previously shown that STAT1 exits the nucleus only after its prior enzymatic dephosphorylation by nuclear phosphatases. The identification of different transport pathways for unphosphorylated and tyrosine
「七分饱」抗衰老又添科学证据!研究揭示限制饮食可改善由衰老引起的炎症反应
,而短期和长期 DR 则可显著下调其至年轻时水平或是更低的水平。 Stat1 是干扰素信号转导的重要组成部分,它介导多种细胞反应通路,包括响应不同的炎症细胞因子和生长因子的刺激。在衰老过程中,Stat1 在血液、肾脏、大脑、肌肉和肺中显著上调。有意思的是,在 LTDR 和 STDR 的干预后,肝脏、血液、肾脏和肺中的 Stat1 均出现下调。接着,他们在蛋白质水平上也验证了这一结论。 图片来源:Cell Reports 最后,为了再次证实上述基于转录组数据发现的关键转录因子(Irf
技术资料暂无技术资料 索取技术资料
















