相关产品推荐更多 >
万千商家帮你免费找货
0 人在求购买到急需产品
- 详细信息
- 文献和实验
- 技术资料
- 供应商:
上海联迈生物工程有限公司
- 库存:
大量
- 目录编号:
LM-7791R
- 克隆性:
多克隆
- 抗原来源:
Rabbit
- 保质期:
1年
- 抗体英文名:
CKS2
- 抗体名:
细胞周期蛋白依赖性激酶调节亚基2抗体
- 宿主:
Rabbit
- 适应物种:
Human, Mouse, Rat, Rabbit, Sheep,
- 免疫原:
KLH conjugated synthetic peptide derived from humna CKS2:21-79/79
- 亚型:
IgG
- 形态:
Lyophilized or Liquid
- 应用范围:
ELISA=1:500-1000 IHC-P=1:400-800 IHC-F=1:400-800 IF=1:100-500 (石蜡切片需做抗原修复)
- 浓度:
1mg/ml
- 保存条件:
Store at -20 °C
- 规格:
100ul 200ul
| 英文名称 | CKS2 |
| 中文名称 | 细胞周期蛋白依赖性激酶调节亚基2抗体 |
| 别 名 | CDC28; CDC28 protein kinase 2; CDC28 protein kinase regulatory subunit 2; CKS 2; CKS-2; CKS1(S. cerevisiae Cdc28/Cdc2 kinase subunit) homolog 2; Cks2; CKS2_HUMAN; CKSHS2; Cyclin dependent kinases regulatory subunit 2; Cyclin-dependent kinases regulatory subunit 2. |
| 规格价格 | 100ul/1380元 购买 200ul/2200元 购买 大包装/询价 |
| 说 明 书 | 100ul 200ul |
| 研究领域 | 细胞生物 细胞周期蛋白 激酶和磷酸酶 |
| 抗体来源 | Rabbit |
| 克隆类型 | Polyclonal |
| 交叉反应 | Human, Mouse, Rat, Rabbit, Sheep, |
| 产品应用 | ELISA=1:500-1000 IHC-P=1:400-800 IHC-F=1:400-800 IF=1:100-500 (石蜡切片需做抗原修复) not yet tested in other applications. optimal dilutions/concentrations should be determined by the end user. |
| 分 子 量 | 10kDa |
| 细胞定位 | 细胞核 细胞浆 细胞外基质 分泌型蛋白 |
| 性 状 | Lyophilized or Liquid |
| 浓 度 | 1mg/ml |
| 免 疫 原 | KLH conjugated synthetic peptide derived from humna CKS2:21-79/79 |
| 亚 型 | IgG |
| 纯化方法 | affinity purified by Protein A |
| 储 存 液 | 0.01M TBS(pH7.4) with 1% BSA, 0.03% Proclin300 and 50% Glycerol. |
| 保存条件 | Store at -20 °C for one year. Avoid repeated freeze/thaw cycles. The lyophilized antibody is stable at room temperature for at least one month and for greater than a year when kept at -20°C. When reconstituted in sterile pH 7.4 0.01M PBS or diluent of antibody the antibody is stable for at least two weeks at 2-4 °C. |
| PubMed | PubMed |
| 产品介绍 | background: CKS2 protein binds to the catalytic subunit of the cyclin dependent kinases and is essential for their biological function. The CKS2 mRNA is found to be expressed in different patterns through the cell cycle in HeLa cells, which reflects specialized role for the encoded protein. [provided by RefSeq, Jul 2008]. Function: Binds to the catalytic subunit of the cyclin dependent kinases and is essential for their biological function. Subunit: Forms a homohexamer that can probably bind six kinase subunits. Similarity: Belongs to the CKS family. SWISS: P33552 Gene ID: 1164 Database links: Entrez Gene: 1164 Human Entrez Gene: 66197 Mouse Entrez Gene: 498709 Rat Omim: 116901 Human SwissProt: P33552 Human SwissProt: P56390 Mouse Unigene: 83758 Human Unigene: 222228 Mouse Unigene: 6116 Rat Important Note: This product as supplied is intended for research use only, not for use in human, therapeutic or diagnostic applications. |
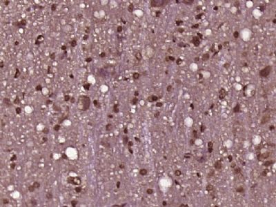
| 产品图片 |
Paraformaldehyde-fixed, paraffin embedded (Rat brain); Antigen retrieval by boiling in sodium citrate buffer (pH6.0) for 15min; Block endogenous peroxidase by 3% hydrogen peroxide for 20 minutes; Blocking buffer (normal goat serum) at 37°C for 30min; Antibody incubation with (CKS2) Polyclonal Antibody, Unconjugated (bs-7791R) at 1:400 overnight at 4°C, followed by operating according to SP Kit(Rabbit) (sp-0023) instructions and DAB staining.
|
风险提示:丁香通仅作为第三方平台,为商家信息发布提供平台空间。用户咨询产品时请注意保护个人信息及财产安全,合理判断,谨慎选购商品,商家和用户对交易行为负责。对于医疗器械类产品,请先查证核实企业经营资质和医疗器械产品注册证情况。
文献和实验3 篇 Nature 连发,解决世纪难题,周期蛋白的毁灭调控蕴含癌症患者的新生
细胞周期是细胞生命活动的基本过程,受到细胞内外信号交互作用的精密调控。D 型细胞周期蛋白 (cyclin D1, D2 和 D3) 与细胞周期蛋白依赖性激酶(cyclin-dependent kinases,CDKs)是整个细胞周期调控机制中的核心分子,驱动细胞增殖。细胞周期失调是人类癌症的一个共同特征,其中 cyclin D-CDK4/6 复合物的水平和活性与不受约束的细胞增殖密切相关。自从 20 世纪 90 年代发现 cyclin D 以来,人们就对其进行了深入研究,但是关于 cyclin
参与细胞周期调控的蛋白,并且其浓度在细胞周期中是浮动的,呈周期性变化。随着细胞周期阶段的不同,有时浓度高大几千倍,有时有降为零。周期蛋白作为一种调节亚基,与周期蛋白依赖性的蛋白激酶结合并将之激活。
成熟促进因子(maturation promoting factor,MPF)
能够促使染色体凝集,使细胞由G2期进入M期的因子。在结构上,它是一种复合物,由周期蛋白依赖性蛋白激酶(Cdk)和G2期周期蛋白组成,其中,周期蛋白对蛋白激酶起激活作用,周期蛋白依赖性蛋白激酶是催化亚基, 它能够将磷酸基团从ATP转移到特定底物的丝氨酸和苏氨酸残基上。酵母细胞周期中只有一种Cdk,而哺乳动物的细胞周期中有多种Cdk,所以哺乳动物的MPF是由Cdk1和周期蛋白B组成的复合物。
技术资料暂无技术资料 索取技术资料











