相关产品推荐更多 >
万千商家帮你免费找货
0 人在求购买到急需产品
- 详细信息
- 文献和实验
- 技术资料
- 供应商:
上海联迈生物工程有限公司
- 库存:
大量
- 目录编号:
LM-7777R
- 克隆性:
多克隆
- 抗原来源:
Rabbit
- 保质期:
1年
- 抗体英文名:
VPS4a
- 抗体名:
液泡分选蛋白4抗体
- 宿主:
Rabbit
- 适应物种:
Human, Mouse, Rat, Dog, Pig, Rabbit, Zebrafish
- 免疫原:
KLH conjugated synthetic peptide derived from human VPS4a:351-437/437
- 亚型:
IgG
- 形态:
Lyophilized or Liquid
- 应用范围:
WB=1:500-2000 ELISA=1:500-1000 IHC-P=1:400-800 IHC-F=1:400-800 IF=1:100-500 (石蜡切片需做抗原修复)
- 浓度:
1mg/ml
- 保存条件:
Store at -20 °C
- 规格:
100ul 200ul
| 英文名称 | VPS4a |
| 中文名称 | 液泡分选蛋白4抗体 |
| 别 名 | hVPS4; SKD1; SKD1 homolog; SKD2; Vacuolar protein sorting 4 homolog A; vacuolar sorting protein 4; VPS4. |
| 规格价格 | 100ul/1380元 购买 200ul/2200元 购买 大包装/询价 |
| 说 明 书 | 100ul 200ul |
| 研究领域 | 细胞生物 细胞周期蛋白 细胞分化 |
| 抗体来源 | Rabbit |
| 克隆类型 | Polyclonal |
| 交叉反应 | Human, Mouse, Rat, Dog, Pig, Rabbit, Zebrafish |
| 产品应用 | WB=1:500-2000 ELISA=1:500-1000 IHC-P=1:400-800 IHC-F=1:400-800 IF=1:100-500 (石蜡切片需做抗原修复) not yet tested in other applications. optimal dilutions/concentrations should be determined by the end user. |
| 分 子 量 | 48kDa |
| 细胞定位 | 细胞浆 细胞膜 |
| 性 状 | Lyophilized or Liquid |
| 浓 度 | 1mg/ml |
| 免 疫 原 | KLH conjugated synthetic peptide derived from human VPS4a:351-437/437 |
| 亚 型 | IgG |
| 纯化方法 | affinity purified by Protein A |
| 储 存 液 | 0.01M TBS(pH7.4) with 1% BSA, 0.03% Proclin300 and 50% Glycerol. |
| 保存条件 | Store at -20 °C for one year. Avoid repeated freeze/thaw cycles. The lyophilized antibody is stable at room temperature for at least one month and for greater than a year when kept at -20°C. When reconstituted in sterile pH 7.4 0.01M PBS or diluent of antibody the antibody is stable for at least two weeks at 2-4 °C. |
| PubMed | PubMed |
| 产品介绍 | background: Involved in intracellular protein transport probably out of a prevacuolar endosomal compartment. May be involved in the release of components of the bilayered coat from the endosomal membrane. The association with ESCRT-III complex mediates the ATP-dependent disassembly of the ESCRT-III complex. In case of infection, the HIV-1 virus takes advantage of it for budding and exocytic cargos of viral proteins. Function: Involved in late steps of the endosomal multivesicular bodies (MVB) pathway. Recognizes membrane-associated ESCRT-III assemblies and catalyzes their disassembly, possibly in combination with membrane fission. Redistributes the ESCRT-III components to the cytoplasm for further rounds of MVB sorting. MVBs contain intraluminal vesicles (ILVs) that are generated by invagination and scission from the limiting membrane of the endosome and mostly are delivered to lysosomes enabling degradation of membrane proteins, such as stimulated growth factor receptors, lysosomal enzymes and lipids. In conjunction with the ESCRT machinery also appears to function in topologically equivalent membrane fission events, such as the terminal stages of cytokinesis and enveloped virus budding (HIV-1 and other lentiviruses). Involved in cytokinesis. Subunit: Proposed to be monomeric or homodimeric in nucleotide-free form and to oligomerize upon binding to ATP to form two stacked hexameric or heptameric rings with a central pore through which ESCRT-III substrates are translocated in an ATP-dependent manner (By similarity). Interacts with CHMP1A, CHMP1B, CHMP2A, CHMP2B, CHMP3, CHMP4A, CHMP4B, CHMP4C and CHMP6. Interacts with VPS4B; the interaction suggests a heteromeric assembly with VPS4B. Interacts with SPAST. Interacts with IST1. Subcellular Location: Prevacuolar compartment membrane; Peripheral membrane protein. Late endosome membrane; Peripheral membrane protein (Probable). Note=Membrane-associated in the prevacuolar endosomal compartment. Localizes to the midbody of dividing cells. Localized in two distinct rings on either side of the Fleming body. Tissue Specificity: Ubiquitously expressed. Similarity: Belongs to the AAA ATPase family. Contains 1 MIT domain. SWISS: Q9UN37 Gene ID: 27183 Database links: Entrez Gene: 27183 Human Entrez Gene: 116733 Mouse Entrez Gene: 246772 Rat Omim: 609982 Human SwissProt: Q9UN37 Human SwissProt: Q8VEJ9 Mouse SwissProt: Q793F9 Rat Unigene: 128420 Human Unigene: 236004 Mouse Unigene: 12477 Rat Important Note: This product as supplied is intended for research use only, not for use in human, therapeutic or diagnostic applications. |
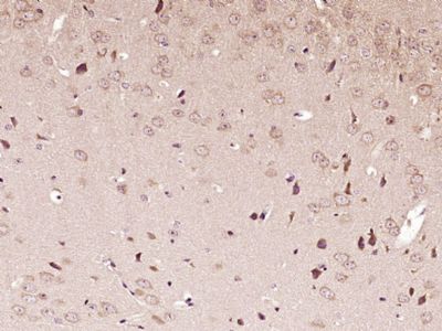
| 产品图片 | ![]() Sample: U-87MG(Human) Cell Lysate at 30 ug NIH/3T3(Mouse) Cell Lysate at 30 ug Primary: Anti-VPS4a (bs-7777R) at 1/500 dilution Secondary: IRDye800CW Goat Anti-Rabbit IgG at 1/20000 dilution Predicted band size: 48 kD Observed band size: 48 kD ![]() Paraformaldehyde-fixed, paraffin embedded (Mouse brain); Antigen retrieval by boiling in sodium citrate buffer (pH6.0) for 15min; Block endogenous peroxidase by 3% hydrogen peroxide for 20 minutes; Blocking buffer (normal goat serum) at 37°C for 30min; Antibody incubation with (VPS4a) Polyclonal Antibody, Unconjugated (bs-7777R) at 1:400 overnight at 4°C, followed by operating according to SP Kit(Rabbit) (sp-0023) instructionsand DAB staining. |
风险提示:丁香通仅作为第三方平台,为商家信息发布提供平台空间。用户咨询产品时请注意保护个人信息及财产安全,合理判断,谨慎选购商品,商家和用户对交易行为负责。对于医疗器械类产品,请先查证核实企业经营资质和医疗器械产品注册证情况。
文献和实验免疫亲和层析法常用于蛋白质等生物大分子的纯化。但你是否想过,一根亲和层析柱子也能用来进行细胞分选,而且还不使用高亲和力抗体? 在细胞分选中,我们常常利用免疫识别特性来进行,比如流式分选(FACS)和免疫磁分选(MACS)。 免疫细胞的划分是依据表面标志 CD 分子,可以被抗体识别。比如针对 CD4 + T 细胞这一特定类群,表面含有 CD45、CD3 和 CD4 标记。而表达 CD4 就是辅助性 T 细胞的特征。 由此而来,免疫磁分选利用特定抗体偶联磁珠来捕获细胞。细胞与磁珠
MACSQuant Tyto 细胞分选仪助力开发 COVID-19 新疗法
它来从 HIV 阳性患者材料中分选 CD4+T 细胞亚群。然而面对最近的 COVID-19 危机,我们将研究方向转向 SARS-CoV-2,目的是开发一种基于抗体的新治疗方法。 我们计划的工作流程是从 COVID-19 康复患者身上获取血浆,与病毒一起孵育,并测量中和水平。如果我们发现很好的中和抗体,我们也会测试他们对 2002 年的非典型肺炎病毒中和疗效。下一步,我们将尝试从那些能同时感染两种病毒的病人身上分离出 B 细胞。 通过这种方式,我们希望获得可以用于治疗的抗体。我们也用它与荧光团结合的刺突蛋白
免疫亲和层析法常用于蛋白质等生物大分子的纯化。但你是否想过,一根亲和层析柱子也能用来进行细胞分选,而且还不使用高亲和力抗体? 在细胞分选中,我们常常利用免疫识别特性来进行,比如流式分选 (FACS)和免疫磁分选 (MACS)。 免疫细胞的划分是依据表面标志 CD 分子,可以被抗体识别。比如针对 CD4 + T 细胞这一特定类群,表面含有 CD45、CD3 和 CD4 标记。而表达 CD4 就是辅助性 T 细胞的特征。 由此而来,免疫磁分选利用特定抗体偶联磁珠来捕获细胞。细胞
技术资料暂无技术资料 索取技术资料












