相关产品推荐更多 >
万千商家帮你免费找货
0 人在求购买到急需产品
- 详细信息
- 文献和实验
- 技术资料
- 供应商:
上海联迈生物工程有限公司
- 库存:
大量
- 目录编号:
LM-7518R
- 克隆性:
多克隆
- 抗原来源:
Rabbit
- 保质期:
1年
- 抗体英文名:
Ribonuclease Inhibitor
- 抗体名:
核糖核酸酶抑制因子1抗体
- 宿主:
Rabbit
- 适应物种:
Human, Mouse, Rat, Pig, Cow,
- 免疫原:
KLH conjugated synthetic peptide derived from hu Ribonuclease Inhibitor:101-200/461
- 亚型:
IgG
- 形态:
Lyophilized or Liquid
- 应用范围:
WB=1:500-2000 ELISA=1:500-1000 IHC-P=1:400-800 IHC-F=1:400-800 Flow-Cyt=1ug/Test IF=1:100-500 (石蜡切片需做抗原修复)
- 浓度:
1mg/ml
- 保存条件:
Store at -20 °C
- 规格:
100ul 200ul
| 英文名称 | Ribonuclease Inhibitor |
| 中文名称 | 核糖核酸酶抑制因子1抗体 |
| 别 名 | Placental ribonuclease inhibitor; RNH; RNH1; Placental RNase inhibitor; PRI; RAI; RI antibody Ribonuclease inhibitor; Ribonuclease/angiogenin inhibitor 1; Ribonuclease/angiogenin inhibitor; RINI_HUMAN; RNase inhibitor; RNH 1; Rnh1 ribonuclease/angiogenin inhibitor 1. |
![]() |
Specific References (1) | bs-7518R has been referenced in 1 publications. [IF=1.60] Tang, Y., et al. "Overexpression of ribonuclease inhibitor defines good prognosis and suppresses proliferation and metastasis in human colorectal cancer cells via PI3K/AKT pathway." Clinical and Translational Oncology: 1-8. IHC-P ; Human. PubMed:25257839 |
| 规格价格 | 100ul/1380元 购买 200ul/2200元 购买 大包装/询价 |
| 说 明 书 | 100ul 200ul |
| 研究领域 | 细胞生物 信号转导 表观遗传学 |
| 抗体来源 | Rabbit |
| 克隆类型 | Polyclonal |
| 交叉反应 | Human, Mouse, Rat, Pig, Cow, |
| 产品应用 | WB=1:500-2000 ELISA=1:500-1000 IHC-P=1:400-800 IHC-F=1:400-800 Flow-Cyt=1ug/Test IF=1:100-500 (石蜡切片需做抗原修复) not yet tested in other applications. optimal dilutions/concentrations should be determined by the end user. |
| 分 子 量 | 50kDa |
| 细胞定位 | 细胞浆 |
| 性 状 | Lyophilized or Liquid |
| 浓 度 | 1mg/ml |
| 免 疫 原 | KLH conjugated synthetic peptide derived from hu Ribonuclease Inhibitor:101-200/461 |
| 亚 型 | IgG |
| 纯化方法 | affinity purified by Protein A |
| 储 存 液 | 0.01M TBS(pH7.4) with 1% BSA, 0.03% Proclin300 and 50% Glycerol. |
| 保存条件 | Store at -20 °C for one year. Avoid repeated freeze/thaw cycles. The lyophilized antibody is stable at room temperature for at least one month and for greater than a year when kept at -20°C. When reconstituted in sterile pH 7.4 0.01M PBS or diluent of antibody the antibody is stable for at least two weeks at 2-4 °C. |
| PubMed | PubMed |
| 产品介绍 | background: Ribonuclease inhibitor which inhibits RNASE1, RNASE2 and ANG. May play role in redox homeostasis. Subunit: Forms high-affinity heterodimers with RNASE1, ANG and RNASE2. Subcellular Location: Cytoplasm. Post-translational modifications: The N-terminus is blocked. At least 30 of the 32 cysteine residues are in the reduced form. Similarity: Contains 15 LRR (leucine-rich) repeats. SWISS: P13489 Gene ID: 6050 Important Note: This product as supplied is intended for research use only, not for use in human, therapeutic or diagnostic applications. |
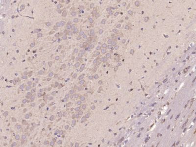
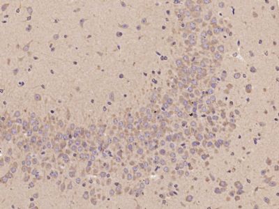
| 产品图片 | ![]() Paraformaldehyde-fixed, paraffin embedded (Rat brain); Antigen retrieval by microwave in sodium citrate buffer (pH6.0) ; Block endogenous peroxidase by 3% hydrogen peroxide for 30 minutes; Blocking buffer (3% BSA) at RT for 30min; Antibody incubation with (Ribonuclease Inhibitor) Polyclonal Antibody, Unconjugated (bs-7518R) at 1:400 overnight at 4℃, followed by conjugation to the secondary antibody (labeled with HRP)and DAB staining. ![]() Paraformaldehyde-fixed, paraffin embedded (Mouse brain); Antigen retrieval by microwave in sodium citrate buffer (pH6.0) ; Block endogenous peroxidase by 3% hydrogen peroxide for 30 minutes; Blocking buffer (3% BSA) at RT for 30min; Antibody incubation with (Ribonuclease Inhibitor) Polyclonal Antibody, Unconjugated (bs-7518R) at 1:400 overnight at 4℃, followed by conjugation to the secondary antibody (labeled with HRP)and DAB staining. ![]() Blank control(blue): Hela cells(fixed with 2% paraformaldehyde (10 min) , then permeabilized with 90% ice-cold methanol for 30 min on ice). Primary Antibody:Rabbit Anti- Ribonuclease Inhibitor antibody(bs-1638R), Dilution: 1μg in 100 μL 1X PBS containing 0.5% BSA; Isotype Control Antibody: Rabbit IgG(orange) ,used under the same conditions ); Secondary Antibody: Goat anti-rabbit IgG-PE(white blue), Dilution: 1:200 in 1 X PBS containing 0.5% BSA. |
风险提示:丁香通仅作为第三方平台,为商家信息发布提供平台空间。用户咨询产品时请注意保护个人信息及财产安全,合理判断,谨慎选购商品,商家和用户对交易行为负责。对于医疗器械类产品,请先查证核实企业经营资质和医疗器械产品注册证情况。
文献和实验The ribonuclease protection assay (RPA)
The ribonuclease protection assay (RPA) is a highly sensitive and specific method for the detection of mRNA species. The assay was made possible by the discovery and characterization of DNA-dependant RNA polymerases from the bacteriophages SP6, T
The ribonuclease protection assay (RPA) is a sensitive technique for the analysis of total cellular RNA. It involves generating a specific antisense riboprobe, hybridizing the probe to total RNA, removing unprotected RNA by RNases, and finally
(Mg2+ , Mn2+ ), an RNA sample is most likely to be rapidly degraded by a contaminating ribonuclease (RNase). RNases are difficult to completely remove or inactivate during RNA isolation procedures, and they may be introduced into the sample
技术资料暂无技术资料 索取技术资料














