相关产品推荐更多 >
万千商家帮你免费找货
0 人在求购买到急需产品
- 详细信息
- 文献和实验
- 技术资料
- 供应商:
上海联迈生物工程有限公司
- 库存:
大量
- 目录编号:
LM-7166R
- 克隆性:
多克隆
- 抗原来源:
Rabbit
- 保质期:
1年
- 抗体英文名:
MUC5AC
- 抗体名:
胃粘液素抗体
- 宿主:
Rabbit
- 适应物种:
Human, Mouse, Rat, Dog, Horse,
- 免疫原:
KLH conjugated synthetic peptide derived from human MUC5AC/Mucin 5AC:601-700/5030
- 亚型:
IgG
- 形态:
Lyophilized or Liquid
- 应用范围:
ELISA=1:500-1000 IHC-P=1:400-800 IHC-F=1:400-800 ICC=1:100-500 IF=1:100-500 (石蜡切片需做抗原修复)
- 浓度:
1mg/ml
- 保存条件:
Store at -20 °C
- 规格:
50ul 100ul 200ul
| 英文名称 | MUC5AC |
| 中文名称 | 胃粘液素抗体 |
| 别 名 | MUC5AC Glycoprotein; Gastric Mucin M1; Apomucin; Major Airway Glycoprotein; MUC 5; MUC5; Mucin 5 subtype AC tracheobronchial; Mucin 5 Subtypes A And C; Mucin 5 subtypes A and C tracheobronchial/gastric; TBM; Tracheobronchial Mucin. |
| 规格价格 | 50ul/780元 购买 100ul/1380元 购买 200ul/2200元 购买 大包装/询价 |
| 说 明 书 | 50ul 100ul 200ul |
| 研究领域 | 肿瘤 细胞生物 免疫学 转录调节因子 |
| 抗体来源 | Rabbit |
| 克隆类型 | Polyclonal |
| 交叉反应 | Human, Mouse, Rat, Dog, Horse, |
| 产品应用 | ELISA=1:500-1000 IHC-P=1:400-800 IHC-F=1:400-800 ICC=1:100-500 IF=1:100-500 (石蜡切片需做抗原修复) not yet tested in other applications. optimal dilutions/concentrations should be determined by the end user. |
| 分 子 量 | 523kDa |
| 细胞定位 | 细胞浆 细胞膜 细胞外基质 分泌型蛋白 |
| 性 状 | Lyophilized or Liquid |
| 浓 度 | 1mg/ml |
| 免 疫 原 | KLH conjugated synthetic peptide derived from human MUC5AC/Mucin 5AC:601-700/5030 |
| 亚 型 | IgG |
| 纯化方法 | affinity purified by Protein A |
| 储 存 液 | 0.01M TBS(pH7.4) with 1% BSA, 0.03% Proclin300 and 50% Glycerol. |
| 保存条件 | Store at -20 °C for one year. Avoid repeated freeze/thaw cycles. The lyophilized antibody is stable at room temperature for at least one month and for greater than a year when kept at -20°C. When reconstituted in sterile pH 7.4 0.01M PBS or diluent of antibody the antibody is stable for at least two weeks at 2-4 °C. |
| PubMed | PubMed |
| 产品介绍 | background: Mucin is a high M.W. (>1,000 kDa) glycoprotein, expressed by mucus cells of the gastric epithelium and by goblet cells of the fetal, precancerous and cancerous colon, but not by those of the normal colon. It also appears in other epithelial tissues, which are embryologically derived from the foregut (epigastric and bronchial epithelium) and in Müller ducts (mucus cells of the endocervix and urethral epithelium near the prostatic utriculus). The expression of MUC5AC has been frequently observed in gastric carcinomas and may be used as a marker of gastric differentiation. Function: Gel-forming glycoprotein of gastric and respiratoy tract epithelia that protects the mucosa from infection and chemical damage by binding to inhaled microrganisms and particles that are subsequently removed by the mucocilary system. Subunit: Multimeric. Interacts with H.pylori in the gastric epithelium, Barrett's esophagus as well as in gastric metaplasia of the duodenum (GMD). Subcellular Location: Secreted; Cytoplasmic and cell surface Tissue Specificity: Highly expressed in surface mucosal cells of respiratory tract and stomach epithelia. Overexpressed in a number of carcinomas. Also expressed in Barrett's esophagus epithelium and in the proximal duodenum. Post-translational modifications: C-, O- and N-glycosylated. O-glycosylated on the Thr-/Ser-rich tandem repeats. C-mannosylation in the Cys-rich subdomains may be required for proper folding of these regions and for export from the endoplasmic reticulum during biosynthesis. Proteolytic cleavage in the C-terminal is initiated early in the secretory pathway and does not involve a serine protease. The extent of cleavage is increased in the acidic parts of the secretory pathway. Cleavage generates a reactive group which could link the protein to a primary amide. Similarity: Contains 1 CTCK (C-terminal cystine knot-like) domain. Contains 2 VWFC domains. Contains 4 VWFD domains. SWISS: P98088 Gene ID: 4586 Database links: Entrez Gene: 4586 Human Entrez Gene: 17833 Mouse Entrez Gene: 682837 Rat Omim: 158373 Human SwissProt: P98088 Human Unigene: 534332 Human Unigene: 10789 Rat Important Note: This product as supplied is intended for research use only, not for use in human, therapeutic or diagnostic applications. |
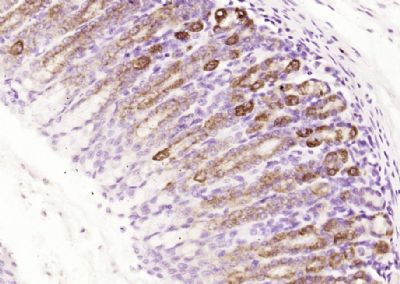
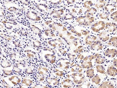
| 产品图片 | ![]() Paraformaldehyde-fixed, paraffin embedded (mouse stomach tissue); Antigen retrieval by boiling in sodium citrate buffer (pH6.0) for 15min; Block endogenous peroxidase by 3% hydrogen peroxide for 20 minutes; Blocking buffer (normal goat serum) at 37°C for 30min; Antibody incubation with (MUC5AC) Polyclonal Antibody, Unconjugated (bs-7166R) at 1:400 overnight at 4°C, followed by operating according to SP Kit(Rabbit) (sp-0023) instructionsand DAB staining. ![]() Paraformaldehyde-fixed, paraffin embedded (Rat stomach); Antigen retrieval by boiling in sodium citrate buffer (pH6.0) for 15min; Block endogenous peroxidase by 3% hydrogen peroxide for 20 minutes; Blocking buffer (normal goat serum) at 37°C for 30min; Antibody incubation with (MUC5AC) Polyclonal Antibody, Unconjugated (bs-7166R) at 1:400 overnight at 4°C, followed by operating according to SP Kit(Rabbit) (sp-0023) instructions and DAB staining. ![]() Paraformaldehyde-fixed, paraffin embedded (Human stomach); Antigen retrieval by microwave in sodium citrate buffer (pH6.0) ; Block endogenous peroxidase by 3% hydrogen peroxide for 30 minutes; Blocking buffer (3% BSA) at RT for 30min; Antibody incubation with (MUC5AC) Polyclonal Antibody, Unconjugated (bs-7166R) at 1:400 overnight at 4°C, followed by conjugation to the secondary antibody (labeled with HRP)and DAB staining. |
风险提示:丁香通仅作为第三方平台,为商家信息发布提供平台空间。用户咨询产品时请注意保护个人信息及财产安全,合理判断,谨慎选购商品,商家和用户对交易行为负责。对于医疗器械类产品,请先查证核实企业经营资质和医疗器械产品注册证情况。
文献和实验上海西唐生物科技有限公司 021-55229872, 65333639 www.westang.com 大鼠粘蛋白 (MUC5AC)ELISA 试剂盒 ( 用于血清、血浆、细胞培养上清液和其它生物体液内 ) 原理 本实验采用双抗体夹心 ABC-ELISA 法。用抗大鼠 MUC5AC 单抗包被于酶标板上,标准品和样品中的 MUC5AC 与单抗结合,加入生物素化的抗大鼠 MUC5AC ,形成免疫复合物连接
上海西唐生物科技有限公司 021-55229872, 65333639 www.westang.com 人粘蛋白 ( MUC5AC )ELISA 试剂盒 ( 用于血清、血浆、细胞培养上清液和其它生物体液内 ) 原理 本实验采用双抗体夹心 ABC-ELISA 法。用抗人 MUC5AC 单抗包被于酶标板上,标准品和样品中的 MUC5AC与单抗结合,加入生物素化的抗人 MUC5AC
上海西唐生物科技有限公司 021-55229872, 65333639 www.westang.com 小鼠粘蛋白 ( MUC5AC )ELISA 试剂盒 ( 用于血清、血浆、细胞培养上清液和其它生物体液内 ) 原理 本实验采用双抗体夹心 ABC-ELISA 法。用抗小鼠 MUC5AC 单抗包被于酶标板上,标准品和样品中的 MUC5AC与单抗结合,加入生物
技术资料暂无技术资料 索取技术资料













