相关产品推荐更多 >
万千商家帮你免费找货
0 人在求购买到急需产品
- 详细信息
- 文献和实验
- 技术资料
- 供应商:
上海联迈生物工程有限公司
- 库存:
大量
- 目录编号:
LM-7040R
- 克隆性:
多克隆
- 抗原来源:
Rabbit
- 保质期:
1年
- 抗体英文名:
Kidins220
- 抗体名:
220kDa蛋白激酶D相互作用蛋白抗体
- 宿主:
Rabbit
- 适应物种:
Human, Mouse, Rat, Cow, Rabbit,
- 免疫原:
KLH conjugated synthetic peptide derived from human Kidins220:651-750/1771 <Cytoplasmic>
- 亚型:
IgG
- 形态:
Lyophilized or Liquid
- 应用范围:
ELISA=1:500-1000 IHC-P=1:400-800 IHC-F=1:400-800 Flow-Cyt=1ug/Test IF=1:100-500 (石蜡切片需做抗原修复)
- 浓度:
1mg/ml
- 保存条件:
Store at -20 °C
- 规格:
100ul 200ul
| 英文名称 | Kidins220 |
| 中文名称 | 220kDa蛋白激酶D相互作用蛋白抗体 |
| 别 名 | Ankyrin repeat-rich membrane-spanning protein; arms; KDIS_HUMAN; Kidins220; Kinase D interacting substance of 220 kDa; Kinase D-interacting substrate of 220 kDa; rgd 619949. |
| 规格价格 | 100ul/1380元 购买 200ul/2200元 购买 大包装/询价 |
| 说 明 书 | 100ul 200ul |
| 研究领域 | 心血管 细胞生物 神经生物学 信号转导 细胞凋亡 转录调节因子 激酶和磷酸酶 细胞膜受体 |
| 抗体来源 | Rabbit |
| 克隆类型 | Polyclonal |
| 交叉反应 | Human, Mouse, Rat, Cow, Rabbit, |
| 产品应用 | ELISA=1:500-1000 IHC-P=1:400-800 IHC-F=1:400-800 Flow-Cyt=1ug/Test IF=1:100-500 (石蜡切片需做抗原修复) not yet tested in other applications. optimal dilutions/concentrations should be determined by the end user. |
| 分 子 量 | 196kDa |
| 细胞定位 | 细胞膜 |
| 性 状 | Lyophilized or Liquid |
| 浓 度 | 1mg/ml |
| 免 疫 原 | KLH conjugated synthetic peptide derived from human Kidins220:651-750/1771 <Cytoplasmic> |
| 亚 型 | IgG |
| 纯化方法 | affinity purified by Protein A |
| 储 存 液 | 0.01M TBS(pH7.4) with 1% BSA, 0.03% Proclin300 and 50% Glycerol. |
| 保存条件 | Store at -20 °C for one year. Avoid repeated freeze/thaw cycles. The lyophilized antibody is stable at room temperature for at least one month and for greater than a year when kept at -20°C. When reconstituted in sterile pH 7.4 0.01M PBS or diluent of antibody the antibody is stable for at least two weeks at 2-4 °C. |
| PubMed | PubMed |
| 产品介绍 | background: Promotes a prolonged MAP-kinase signaling by neurotrophins through activation of a Rap1-dependent mechanism. Provides a docking site for the CRKL-C3G complex, resulting in Rap1-dependent sustained ERK activation. May play an important role in regulating postsynaptic signal transduction through the syntrophin-mediated localization of receptor tyrosine kinases such as EPHA4. In cooperation with SNTA1 can enhance EPHA4-induced JAK/STAT activation. May play a role in neurotrophin- and ephrin-mediated neuronal outgrowth and in axon guidance during neural development and in neuronal regeneration (By similarity). Modulates stress-induced apoptosis of melanoma cells via regulation of the MEK/ERK signaling pathway. Function: Promotes a prolonged MAP-kinase signaling byneurotrophins through activation of a Rap1-dependent mechanism.Provides a docking site for the CRKL-C3G complex, resulting inRap1-dependent sustained ERK activation. May play an important rolein regulating postsynaptic signal transduction through thesyntrophin-mediated localization of receptor tyrosine kinases suchas EPHA4. In cooperation with SNTA1 can enhance EPHA4-inducedJAK/STAT activation. May play a role in neurotrophin- andephrin-mediated neuronal outgrowth and in axon guidance duringneural development and in neuronal regeneration (By similarity).Modulates stress-induced apoptosis of melanoma cells via regulationof the MEK/ERK signaling pathway. Subunit: Interacts with NTRK1, NTRK2, NTRK3, ERKL and NGFR. Can form a ternary complex with NGFR and NTRK1 and this complex is affected by the expression levels of KIDINS220/ARMS. An increase in KIDINS220/ARMS expression leads to a decreased association of NGFR and NTRK1. Interacts with SNTA1 and SNTB2 and binds to their PDZ domains. Interacts with EPHA4 and PRKD1. Subcellular Location: Membrane; Multi-pass membrane protein (Potential). Tissue Specificity: Expressed in developing nervous system and in highly plastic areas of the adult brain. Also expressed in neuroendocrine cells, where it concentrates at the tip of neurites. Expressed in developing muscle and is concentrated at the neuromuscular junction (NMS). SNTA1 can regulate its localization in the NMS. Post-translational modifications: Tyrosine phosphorylated by NTRK1, NTRK2, EPHB2 and EPHA4.Phosphorylation at Ser-918 is induced by phorbol ester treatment.Phosphorylation by NTRK2 is induced by brain-derived neurotrophicfactor (BDNF) and neurotrophin-4/5. Phosphorylation by NTRK1 isinduced by nerve growth factor (NGF) (By similarity). Similarity: Contains 12 ANK repeats. Contains 1 KAP NTPase domain. SWISS: Q9ULH0 Gene ID: 57498 Database links: Entrez Gene: 57498 Human Entrez Gene: 77480 Mouse Entrez Gene: 116478 Rat SwissProt: Q9ULH0 Human SwissProt: Q9EQG6 Rat Unigene: 9873 Human Unigene: 250641 Mouse Unigene: 21470 Rat Important Note: This product as supplied is intended for research use only, not for use in human, therapeutic or diagnostic applications. |
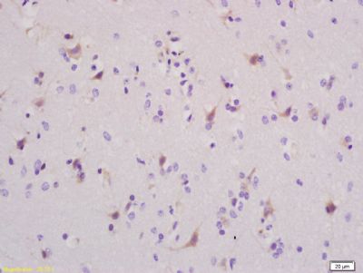
| 产品图片 | ![]() Tissue/cell: rat brain tissue; 4% Paraformaldehyde-fixed and paraffin-embedded; Antigen retrieval: citrate buffer ( 0.01M, pH 6.0 ), Boiling bathing for 15min; Block endogenous peroxidase by 3% Hydrogen peroxide for 30min; Blocking buffer (normal goat serum,C-0005) at 37℃ for 20 min; Incubation: Anti-Kidins220 Polyclonal Antibody, Unconjugated(bs-7040R) 1:200, overnight at 4°C, followed by conjugation to the secondary antibody(SP-0023) and DAB(C-0010) staining ![]() Blank control(blue): RSC96 (fixed with 2% paraformaldehyde (10 min)). Primary Antibody:Rabbit Anti- Kidins220 antibody(bs-7040R), Dilution: 1μg in 100 μL 1X PBS containing 0.5% BSA; Isotype Control Antibody: Rabbit IgG(orange) ,used under the same conditions ); Secondary Antibody: Goat anti-rabbit IgG-PE(white blue), Dilution: 1:200 in 1 X PBS containing 0.5% BSA. ![]() Blank control: Hela(blue), the cells were fixed with 2% paraformaldehyde (10 min). Isotype Control Antibody: Rabbit IgG(orange) ; Secondary Antibody: Goat anti-rabbit IgG-FITC(white blue), Dilution: 1:100 in 1 X PBS containing 0.5% BSA ; Primary Antibody Dilution: 1μg in 100 μL1X PBS containing 0.5% BSA(green). |
风险提示:丁香通仅作为第三方平台,为商家信息发布提供平台空间。用户咨询产品时请注意保护个人信息及财产安全,合理判断,谨慎选购商品,商家和用户对交易行为负责。对于医疗器械类产品,请先查证核实企业经营资质和医疗器械产品注册证情况。
文献和实验功能障碍。这种急性危重疾病发病机制仍然很大程度上未知。 在秀丽隐杆线虫中,热应激通过钙网蛋白和蛋白酶钙蛋白酶导致普遍的坏死细胞死亡——这些蛋白质的消耗限制了热应激引起的这些线虫的致死率。在脊椎动物中,程序性细胞坏死是由混合谱系激酶域样 (MLKL) 或 gasdermin 家族蛋白(例如 gasdermin D)介导的,它们在激活时会在细胞质或细胞内膜上形成孔。 热应激触发 RIPK3 依赖性细胞死亡(图源自 Science ) MLKL 被受体相互作用蛋白激酶 3 (RIPK3) 依赖
和其它甲虫荧光素酶是分子量相对较大的酶,分子量大小约为 60kDa,底物为 D-荧光素,需要辅助因子 ATP 和 Mg2+。FLuc 发出的是黄红光,发射光峰值为 560nm。 海肾荧光素酶(RLuc)是一种从 Renilla reniformis 分离的分子量大小为 36 kDa 的荧光素酶。与 FLuc 相比,海肾荧光素酶的底物和辅助因子需求不同。RLuc 在氧气存在下催化腔肠素,产生 480 nm 的蓝光。海肾萤光素酶因其与 FLuc 在底物要求和光输出方面的差异而可用于双重报告检测。 近年
Mol Cell:杨薇等揭示 DNA-PK 的激活机制以及自磷酸化对 NHEJ 通路的重要作用
DNA 双链断裂可由外在因素(电离辐射和活性氧等)或内在因素(DNA 复制错误和 V(D)J 重组等)造成,从而激发 DNA 损伤应答,包括 DNA 修复、细胞周期调控、细胞衰老和细胞凋亡等。 DNA 损伤应答由 PIKK(phosphoinositide-3-kinase-related kinase)家族蛋白激酶催化下游蛋白的磷酸化而启动,包括 DNA-PK(DNA 依赖性蛋白激酶)、ATM(Ataxia Telangiectasia Mutated)和 ATR(ATM-Related
技术资料暂无技术资料 索取技术资料













