相关产品推荐更多 >
万千商家帮你免费找货
0 人在求购买到急需产品
- 详细信息
- 文献和实验
- 技术资料
- 供应商:
上海联迈生物工程有限公司
- 库存:
大量
- 目录编号:
LM-6566R
- 克隆性:
多克隆
- 抗原来源:
Rabbit
- 保质期:
1年
- 抗体英文名:
PRSS3
- 抗体名:
脑胰蛋白酶3抗体
- 宿主:
Rabbit
- 适应物种:
Human, Mouse, Rat,
- 免疫原:
KLH conjugated synthetic peptide derived from human PRSS3:101-200/304
- 亚型:
IgG
- 形态:
Lyophilized or Liquid
- 应用范围:
WB=1:500-2000 ELISA=1:500-1000 IHC-P=1:400-800 IHC-F=1:400-800 IF=1:100-500 (石蜡切片需做抗原修复)
- 浓度:
1mg/ml
- 保存条件:
Store at -20 °C
- 规格:
100ul 200ul
| 英文名称 | PRSS3 |
| 中文名称 | 脑胰蛋白酶3抗体 |
| 别 名 | Brain trypsinogen; Mesotrypsin; Mesotrypsinogen; MTG; Pancreatic trypsinogen III; Protease, serine, 3; Protease, serine, 4 (trypsin 4, brain); PRSS3; PRSS4; Serine protease 3; Serine protease 4; T9; TRY3; TRY3_HUMAN; TRY4; Trypsin 3; Trypsin III; Trypsin IV; Trypsin-3; Trypsinogen 4; Trypsinogen 5; Trypsinogen IV. |
| 规格价格 | 100ul/1380元 购买 200ul/2200元 购买 大包装/询价 |
| 说 明 书 | 100ul 200ul |
| 研究领域 | 肿瘤 细胞生物 肿瘤细胞生物标志物 |
| 抗体来源 | Rabbit |
| 克隆类型 | Polyclonal |
| 交叉反应 | Human, Mouse, Rat, |
| 产品应用 | WB=1:500-2000 ELISA=1:500-1000 IHC-P=1:400-800 IHC-F=1:400-800 IF=1:100-500 (石蜡切片需做抗原修复) not yet tested in other applications. optimal dilutions/concentrations should be determined by the end user. |
| 分 子 量 | 33kDa |
| 细胞定位 | 分泌型蛋白 |
| 性 状 | Lyophilized or Liquid |
| 浓 度 | 1mg/ml |
| 免 疫 原 | KLH conjugated synthetic peptide derived from human PRSS3:101-200/304 |
| 亚 型 | IgG |
| 纯化方法 | affinity purified by Protein A |
| 储 存 液 | 0.01M TBS(pH7.4) with 1% BSA, 0.03% Proclin300 and 50% Glycerol. |
| 保存条件 | Store at -20 °C for one year. Avoid repeated freeze/thaw cycles. The lyophilized antibody is stable at room temperature for at least one month and for greater than a year when kept at -20°C. When reconstituted in sterile pH 7.4 0.01M PBS or diluent of antibody the antibody is stable for at least two weeks at 2-4 °C. |
| PubMed | PubMed |
| 产品介绍 | background: Function; Digestive protease specialized for the degradation of trypsin inhibitors. Tissue specificity; Pancreas and brain. Sequence similarities; Belongs to the peptidase S1 family. Contains 1 peptidase S1 domain. Cellular localization; Secreted. Function: Digestive protease specialized for the degradation of trypsin inhibitors. Subcellular Location: Secreted. Tissue Specificity: Pancreas and brain. Similarity: Belongs to the peptidase S1 family. Contains 1 peptidase S1 domain. SWISS: P35030 Gene ID: 5646 Database links: Entrez Gene: 5646 Human Entrez Gene: 22073 Mouse Entrez Gene: 286911 Rat Omim: 613578 Human SwissProt: P35030 Human SwissProt: P08426 Rat Unigene: 654513 Human Unigene: 425318 Mouse Unigene: 9817 Rat Important Note: This product as supplied is intended for research use only, not for use in human, therapeutic or diagnostic applications. |
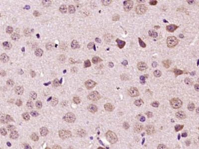
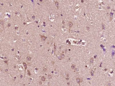
| 产品图片 | ![]() Sample: A549(Human) Cell Lysate at 40 ug Primary: Anti-PRSS3 (bs-6566R) at 1/300 dilution Secondary: IRDye800CW Goat Anti-Rabbit IgG at 1/20000 dilution Predicted band size: 33 kD Observed band size: 33 kD ![]() Paraformaldehyde-fixed, paraffin embedded (Mouse brain); Antigen retrieval by boiling in sodium citrate buffer (pH6.0) for 15min; Block endogenous peroxidase by 3% hydrogen peroxide for 20 minutes; Blocking buffer (normal goat serum) at 37°C for 30min; Antibody incubation with (PRSS3) Polyclonal Antibody, Unconjugated (bs-6566R) at 1:400 overnight at 4°C, followed by operating according to SP Kit(Rabbit) (sp-0023) instructionsand DAB staining. ![]() Paraformaldehyde-fixed, paraffin embedded (Human brain glioma); Antigen retrieval by boiling in sodium citrate buffer (pH6.0) for 15min; Block endogenous peroxidase by 3% hydrogen peroxide for 20 minutes; Blocking buffer (normal goat serum) at 37°C for 30min; Antibody incubation with (PRSS3) Polyclonal Antibody, Unconjugated (bs-6566R) at 1:400 overnight at 4°C, followed by operating according to SP Kit(Rabbit) (sp-0023) instructionsand DAB staining. |
风险提示:丁香通仅作为第三方平台,为商家信息发布提供平台空间。用户咨询产品时请注意保护个人信息及财产安全,合理判断,谨慎选购商品,商家和用户对交易行为负责。对于医疗器械类产品,请先查证核实企业经营资质和医疗器械产品注册证情况。
文献和实验反应发生的抗原 (1)人类AB()血型抗原:AB()血型抗原不仅分布于红细胞表面,也表达于肝、肾等组织细胞和血管内皮细胞表面。因此,供、受者间朋()血型不合也可引起移植排斥反应,特别是受者血清中血型抗体可与供者移植物血管内皮细胞表面AB()抗原结合,通过激活补体而引起血管内皮细胞损伤和血管内凝血,导致超急性排斥反应。 (2)组织特异性抗原:指特异性表达于某一器官、组织或细胞表面的抗原。目前已获如下初步认识:同种异体不同组织器官移植后发生排斥反应的强度各异,从强到弱依次为皮肤、肾、心、胰、肝
铁蛋白,主要由H亚单位组成,等电点4.8~5.2.与心肌铁蛋白抗体结合力强;脾型铁蛋白为碱性铁蛋白,主要由L亚单位组成。等电点5.3~5.8,与睥铁蛋白抗体结合力强:肾铁蛋白介于两者之闻。碱性铁蛋白存在于正常成人肝细胞厦肝、脾、骨髓等网状内皮细胞中。酸性铁蛋白见于正常成人心肌,肾,胰及胎肝中。血清铁蛋白主要由网状内皮系统的吞噬细胞释放出来。由碱性铁蛋白和微量酸性铁蛋白所组成。在血循环中半寿期为27~30小时。为肝实质细胞所清除。正常人外周血细饱内铁蛋白含量甚微,红细咆内铁蛋白台量碱性铁
部上皮组织发生的恶性肿瘤。在我国,鼻咽癌居各种恶性肿瘤的第8位,在头颈部的恶性肿瘤中鼻咽癌的发病率则居首位,是我国重点防治的十大肿瘤之一。广东、广西、福建、湖南、四川、台湾及香港等地鼻咽癌的发病率较高,男性患者为女性患者的2~3倍,发病年龄多在40~50岁之间。临床上,患者常有涕中带血、鼻塞、鼻衄、耳鸣、听力减退、头痛、颈淋巴结肿大及脑神经受损等症状。 病因 鼻咽癌的病因尚未完全查明。可能与环境、遗传、病毒等方面因素有关。经研究发现,有些化学物质,如多环芳烃类、亚硝胺类、微量元素镍
技术资料暂无技术资料 索取技术资料













