相关产品推荐更多 >
万千商家帮你免费找货
0 人在求购买到急需产品
- 详细信息
- 文献和实验
- 技术资料
- 供应商:
上海联迈生物工程有限公司
- 库存:
大量
- 目录编号:
LM-8203R
- 克隆性:
多克隆
- 抗原来源:
Rabbit
- 保质期:
1年
- 抗体英文名:
Nestin
- 抗体名:
巢蛋白/神经上皮干细胞蛋白抗体
- 宿主:
Rabbit
- 适应物种:
Human, Cow,
- 免疫原:
KLH conjugated synthetic peptide derived from human Nestin:21-120/1621
- 亚型:
IgG
- 形态:
Lyophilized or Liquid
- 应用范围:
ELISA=1:500-1000 IHC-P=1:400-800 IHC-F=1:400-800 Flow-Cyt=1μg/Test ICC=1:100-500 IF=1:100-500 (石蜡切片需做抗原修复)
- 浓度:
1mg/ml
- 保存条件:
Store at -20 °C
- 规格:
100ul 200ul
Nestin巢蛋白/神经上皮干细胞蛋白抗体
| 英文名称 | Nestin |
| 中文名称 | 巢蛋白/神经上皮干细胞蛋白抗体 |
| 别 名 | ESTM 46; FLJ 21841; FLJ21841; Intermediate filament protein; Nbla00170; Nes; NEST_RAT; Nestin. |
| 规格价格 | 100ul/1380元 购买 200ul/2200元 购买 大包装/询价 |
| 说 明 书 | 100ul 200ul |
| 研究领域 | 细胞生物 发育生物学 神经生物学 干细胞 细胞类型标志物 |
| 抗体来源 | Rabbit |
| 克隆类型 | Polyclonal |
| 交叉反应 | Human, Cow, |
| 产品应用 | ELISA=1:500-1000 IHC-P=1:400-800 IHC-F=1:400-800 Flow-Cyt=1μg/Test ICC=1:100-500 IF=1:100-500 (石蜡切片需做抗原修复) not yet tested in other applications. optimal dilutions/concentrations should be determined by the end user. |
| 分 子 量 | 177kDa |
| 细胞定位 | 细胞浆 |
| 性 状 | Lyophilized or Liquid |
| 浓 度 | 1mg/ml |
| 免 疫 原 | KLH conjugated synthetic peptide derived from human Nestin:21-120/1621 |
| 亚 型 | IgG |
| 纯化方法 | affinity purified by Protein A |
| 储 存 液 | 0.01M TBS(pH7.4) with 1% BSA, 0.03% Proclin300 and 50% Glycerol. |
| 保存条件 | Store at -20 °C for one year. Avoid repeated freeze/thaw cycles. The lyophilized antibody is stable at room temperature for at least one month and for greater than a year when kept at -20°C. When reconstituted in sterile pH 7.4 0.01M PBS or diluent of antibody the antibody is stable for at least two weeks at 2-4 °C. |
| PubMed | PubMed |
| 产品介绍 | background: Nestin is a Class VI intermediate filament expressed in the developing central nervous system (CNS) in early embryonic neuroepithelial stem cells. This protein has been widely used as a predominant marker for stem / progenitor cells, glioma cells, and tumor endothelial cells in the mammalian CNS. Furthermore, it is a superior angiogenic marker to evaluate neovascularity of endothelial cells in tumor. Function: Required for brain and eye development (By similarity). Promotes the disassembly of phosphorylated vimentin intermediate filaments (IF) during mitosis and may play a role in the trafficking and distribution of IF proteins and other cellular factors to daughter cells during progenitor cell division. Required for survival, renewal and mitogen-stimulated proliferation of neural progenitor cells. Subunit: Forms homodimers and homotetramers in vitro. In mixtures with other intermediate filament proteins such as vimentin and alpha-internexin, this protein preferentially forms heterodimers which can assemble to form intermediate filaments if nestin does not exceed 25%. Interacts with FHOD3. Subcellular Location: Forms homodimers and homotetramers in vitro. In mixtures with other intermediate filament proteins such as vimentin and alpha-internexin, tis protein preferentially forms heterodimers which can assemble to form intermediate filaments if nestin does not exceed 25%. Interacts with FHOD3 Tissue Specificity: CNS stem cells. Post-translational modifications: Constitutively phosphorylated. This increases during mitosis when the cytoplasmic intermediate filament network is reorganized. Similarity: Belongs to the intermediate filament family. SWISS: P48681 Gene ID: 10763 Database links: Entrez Gene: 10763 Human Entrez Gene: 18008 Mouse Entrez Gene: 25491 Rat Omim: 600915 Human SwissProt: P48681 Human SwissProt: Q6P5H2 Mouse SwissProt: P21263 Rat Unigene: 527971 Human Unigene: 331129 Mouse Unigene: 9701 Rat Important Note: This product as supplied is intended for research use only, not for use in human, therapeutic or diagnostic applications. 神经干细胞标志物 在动物体早期发育过程中,中枢神经系统发育尤为重要 。Nestin是一种中等纤维蛋白,它在哺乳动物神经前体细胞中表达较高,目前已被广泛用于神经前体细胞的重要标志分子。研究Nestin的表达调控规律,将有助于人们认识神经前体细胞的生物特性。此抗体还表达中枢神经系统干细胞及神经上皮细胞。 |
| 产品图片 |
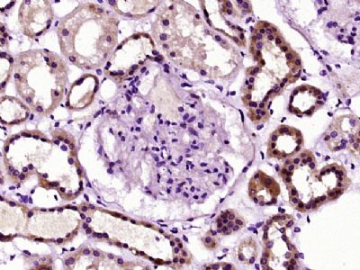
Paraformaldehyde-fixed, paraffin embedded (Human kidney tissue); Antigen retrieval by boiling in sodium citrate buffer (pH6.0) for 15min; Block endogenous peroxidase by 3% hydrogen peroxide for 20 minutes; Blocking buffer (normal goat serum) at 37°C for 30min; Antibody incubation with (Nestin) Polyclonal Antibody, Unconjugated (bs-8203R) at 1:400 overnight at 4°C, followed by operating according to SP Kit(Rabbit) (sp-0023) instructionsand DAB staining.
Paraformaldehyde-fixed, paraffin embedded (human brain glioma); Antigen retrieval by boiling in sodium citrate buffer (pH6.0) for 15min; Block endogenous peroxidase by 3% hydrogen peroxide for 20 minutes; Blocking buffer (normal goat serum) at 37°C for 30min; Antibody incubation with (Nestin) Polyclonal Antibody, Unconjugated (bs-8203R) at 1:400 overnight at 4°C, followed by operating according to SP Kit(Rabbit) (sp-0023) instructionsand DAB staining.
Blank control (blue line): U251 (fixed with 2% paraformaldehyde (10 min)and then permeabilized with 0.1% PBS-Tween for 20 min at room temperature).
Primary Antibody (green line): Rabbit Anti-Nestin antibody (bs-8203R),Dilution: 1μg /10^6 cells; Isotype Control Antibody (orange line): Rabbit IgG . Secondary Antibody (white blue line): Goat anti-rabbit IgG-PE,Dilution: 1μg /test. |
风险提示:丁香通仅作为第三方平台,为商家信息发布提供平台空间。用户咨询产品时请注意保护个人信息及财产安全,合理判断,谨慎选购商品,商家和用户对交易行为负责。对于医疗器械类产品,请先查证核实企业经营资质和医疗器械产品注册证情况。
文献和实验相关实验
growth factor, bFGF)、表皮生长因子(epidermal growth factor, EGF)和多聚赖氨酸均为Sigma公司产品;抗波形蛋白单克隆抗体(Dako ,1 :100)、抗神经微丝200(NF200)单克隆抗体(Dako,1:100);胎牛血清(FBS);抗巢蛋白(nestin)多克隆抗体(1:100,武汉博士德公司);抗S100单克隆抗体、抗胶质纤维酸性蛋白(GFAP)单克隆抗体、抗髓鞘基础蛋白单克隆抗体、抗半乳糖脑苷脂单克隆抗体和抗βⅢ型管蛋白单克隆抗体(1:500
技术资料暂无技术资料 索取技术资料
Nestin巢蛋白/神经上皮干细胞蛋白抗体
¥1380 - 2200













