相关产品推荐更多 >
万千商家帮你免费找货
0 人在求购买到急需产品
- 详细信息
- 询价记录
- 文献和实验
- 技术资料
- 供应商:
上海联迈生物工程有限公司
- 库存:
大量
- 目录编号:
LM-6417R
- 克隆性:
多克隆
- 抗原来源:
Rabbit
- 保质期:
1年
- 抗体英文名:
phospho-PI3 Kinase p110 beta(Ser1070)
- 抗体名:
磷酸化磷脂酰肌醇激酶(PI3Kβ)抗体
- 宿主:
Rabbit
- 适应物种:
Human, Mouse, Rat, Chicken, Dog, Pig, Cow, Horse, Guinea Pig,
- 免疫原:
KLH conjugated synthesised phosphopeptide derived from human PI3 Kinase p110 beta around the phosphorylation site of Ser1070:YR(p-S)
- 亚型:
IgG
- 形态:
Lyophilized or Liquid
- 应用范围:
ELISA=1:500-1000 IHC-P=1:400-800 IHC-F=1:400-800 IF=1:100-500 (石蜡切片需做抗原修复)
- 浓度:
1mg/ml
- 保存条件:
Store at -20 °C
- 规格:
100ul
| 英文名称 | phospho-PI3 Kinase p110 beta(Ser1070) |
| 中文名称 | 磷酸化磷脂酰肌醇激酶(PI3Kβ)抗体 |
| 别 名 | p-PI3Kβ(Ser1070); PI 3-kinase C2β; p110 BETA; p110Beta; Phosphatidylinositol 3 kinase catalytic beta polypeptide; Phosphatidylinositol 4 5 bisphosphate 3 kinase 110 kDa catalytic subunit beta; Phosphatidylinositol 4 5 bisphosphate 3 kinase catalytic subunit beta isoform; Phosphatidylinositol-4; Phosphoinositide 3 kinase catalytic beta polypeptide; PI3 kinase p110 subunit beta; PI3-kinase subunit beta; PI3K; PI3K beta; PI3K-beta; PI3Kbeta; PI3KCB; PIK3C1; Pik3cb; PK3CB_HUMAN; PtdIns 3 kinase p110; PtdIns-3-kinase subunit beta; PtdIns-3-kinase subunit p110-beta; 5-bisphosphate 3-kinase 110 kDa catalytic subunit beta; 5-bisphosphate 3-kinase catalytic subunit beta isoform. |
| 规格价格 | 100ul/1580元 购买 大包装/询价 |
| 说 明 书 | 100ul |
| 产品类型 | 磷酸化抗体 |
| 研究领域 | 肿瘤 细胞生物 免疫学 信号转导 细胞周期蛋白 激酶和磷酸酶 |
| 抗体来源 | Rabbit |
| 克隆类型 | Polyclonal |
| 交叉反应 | Human, Mouse, Rat, Chicken, Dog, Pig, Cow, Horse, Guinea Pig, |
| 产品应用 | ELISA=1:500-1000 IHC-P=1:400-800 IHC-F=1:400-800 IF=1:100-500 (石蜡切片需做抗原修复) not yet tested in other applications. optimal dilutions/concentrations should be determined by the end user. |
| 分 子 量 | 110-123kDa |
| 细胞定位 | 细胞核 细胞浆 |
| 性 状 | Lyophilized or Liquid |
| 浓 度 | 1mg/ml |
| 免 疫 原 | KLH conjugated synthesised phosphopeptide derived from human PI3 Kinase p110 beta around the phosphorylation site of Ser1070:YR(p-S) |
| 亚 型 | IgG |
| 纯化方法 | affinity purified by Protein A |
| 储 存 液 | 0.01M TBS(pH7.4) with 1% BSA, 0.03% Proclin300 and 50% Glycerol. |
| 保存条件 | Store at -20 °C for one year. Avoid repeated freeze/thaw cycles. The lyophilized antibody is stable at room temperature for at least one month and for greater than a year when kept at -20°C. When reconstituted in sterile pH 7.4 0.01M PBS or diluent of antibody the antibody is stable for at least two weeks at 2-4 °C. |
| PubMed | PubMed |
| 产品介绍 | background: Phosphoinositide 3-kinases (PI 3-Ks) phosphorylate the 3’- OH position of the inositol ring of inositol lipids. They act as participants in signaling pathways that regulate cell growth by virtue of their activation in response to various mitogenic stimuli. PI 3-Ks are composed of a catalytic subunit, such as PI 3-kinase C2∫ (PIK3CB) and an adaptor subunit. PI 3-kinase C2∫ , also known as p110-∫, is a 1,070 amino acid protein that shares 42% identity with p110 of cow origin. It is expressed in several human and rodent cell lines. Studies predict that PI 3-kinase C2∫ has a role in modulating the formation and stability of å2B (ITGA2B)/∫3 (ITGB3) Integrin adhesion bonds, which are essential in shear force-induced platelet activation. Phosphorylates PtdIns, PtdIns4P and PtdIns(4,5)P2 with a preference for PtdIns(4,5)P2. Subunit: Heterodimer of a catalytic subunit PIK3CB and a p85 regulatory subunit (PIK3R1, PIK3R2 or PIK3R3). Interaction with PIK3R2 is required for nuclear localization and nuclear export. Part of a complex with PIK3R1 and PTEN. Binding to PTEN may antagonize the lipid kinase activity under normal growth conditions. Part of a complex involved in autophagosome formation composed of PIK3C3 and PIK3R4 (By similarity). Interacts with BECN1, ATG14 and RAB5A. Subcellular Location: Cytoplasm. Nucleus. Note=Interaction with PIK3R2 is required for nuclear localization and export. Tissue Specificity: Expressed ubiquitously. Similarity: Belongs to the PI3/PI4-kinase family. Contains 1 C2 PI3K-type domain. Contains 1 PI3K-ABD domain. Contains 1 PI3K-RBD domain. Contains 1 PI3K/PI4K domain. Contains 1 PIK helical domain. SWISS: P42338 Gene ID: 5291 Database links: Entrez Gene: 5291 Human Entrez Gene: 74769 Mouse Entrez Gene: 85243 Rat Omim: 602925 Human SwissProt: P42338 Human SwissProt: Q24JU2 Human SwissProt: Q3U4Q1 Mouse SwissProt: Q8BTI9 Mouse SwissProt: Q9Z1L0 Rat Unigene: 239818 Human Unigene: 213128 Mouse Unigene: 44268 Rat Important Note: This product as supplied is intended for research use only, not for use in human, therapeutic or diagnostic applications. |
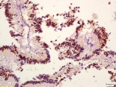
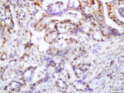
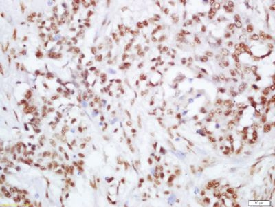
| 产品图片 | ![]() Paraformaldehyde-fixed, paraffin embedded (Mouse brain); Antigen retrieval by boiling in sodium citrate buffer (pH6.0) for 15min; Block endogenous peroxidase by 3% hydrogen peroxide for 20 minutes; Blocking buffer (normal goat serum) at 37°C for 30min; Antibody incubation with (phospho-PI3 Kinase p110 beta(Ser1070)) Polyclonal Antibody, Unconjugated (bs-6417R) at 1:500 overnight at 4°C, followed by a conjugated secondary (sp-0023) for 20 minutes and DAB staining. ![]() Tissue/cell: human colon carcinoma; 4% Paraformaldehyde-fixed and paraffin-embedded; Antigen retrieval: citrate buffer ( 0.01M, pH 6.0 ), Boiling bathing for 15min; Block endogenous peroxidase by 3% Hydrogen peroxide for 30min; Blocking buffer (normal goat serum,C-0005) at 37℃ for 20 min; Incubation: Anti-phospho-PI3 Kinase p110 beta(Ser1070) Polyclonal Antibody, Unconjugated (bs-6417R) 1:200, overnight at 4°C, followed by conjugation to the secondary antibody(SP-0023) and DAB(C-0010) staining ![]() Tissue/cell: human gastric carcinoma; 4% Paraformaldehyde-fixed and paraffin-embedded; Antigen retrieval: citrate buffer ( 0.01M, pH 6.0 ), Boiling bathing for 15min; Block endogenous peroxidase by 3% Hydrogen peroxide for 30min; Blocking buffer (normal goat serum,C-0005) at 37℃ for 20 min; Incubation: Anti-phospho-PI3 Kinase p110 beta(Ser1070) Polyclonal Antibody, Unconjugated (bs-6417R) 1:200, overnight at 4°C, followed by conjugation to the secondary antibody(SP-0023) and DAB(C-0010) staining ![]() Tissue/cell: human lung carcinoma; 4% Paraformaldehyde-fixed and paraffin-embedded; Antigen retrieval: citrate buffer ( 0.01M, pH 6.0 ), Boiling bathing for 15min; Block endogenous peroxidase by 3% Hydrogen peroxide for 30min; Blocking buffer (normal goat serum,C-0005) at 37℃ for 20 min; Incubation: Anti-phospho-PI3 Kinase p110 beta(Ser1070) Polyclonal Antibody, Unconjugated (bs-6417R) 1:200, overnight at 4°C, followed by conjugation to the secondary antibody(SP-0023) and DAB(C-0010) staining ![]() Tissue/cell: human lung carcinoma; 4% Paraformaldehyde-fixed and paraffin-embedded; Antigen retrieval: citrate buffer ( 0.01M, pH 6.0 ), Boiling bathing for 15min; Block endogenous peroxidase by 3% Hydrogen peroxide for 30min; Blocking buffer (normal goat serum,C-0005) at 37℃ for 20 min; Incubation: Anti-phospho-PI3 Kinase p110 beta(Ser1070) Polyclonal Antibody, Unconjugated (bs-6417R) 1:200, overnight at 4°C, followed by conjugation to the secondary antibody(SP-0023) and DAB(C-0010) staining |
风险提示:丁香通仅作为第三方平台,为商家信息发布提供平台空间。用户咨询产品时请注意保护个人信息及财产安全,合理判断,谨慎选购商品,商家和用户对交易行为负责。对于医疗器械类产品,请先查证核实企业经营资质和医疗器械产品注册证情况。
- 作者
- 内容
- 询问日期
文献和实验的关系理不出头绪。GSK-3 beta 总蛋白减少,p-GSK-3 beta (ser 9)增加,是不是足以说明有活性的GSK-3 beta 减少更多,这样理解不知道对不对,希望给以指点。 galaxy22 楼主你好,请问你做出结果的tyr216的抗体是哪个公司的。。。我做出来总量是减少的,active B catenin是减少的,那我有必要做ser9 和tyr216的磷酸化形式吗?我想研究wnt和akt。。。 棉花糖的温柔
; 磷脂酰肌醇3-激酶(PI3Ks)信号参与增殖、分化、凋亡和葡萄糖转运等多种细胞功能的调节. 近年来发现, IA型PI3K和其下游分子蛋白激酶B(PKB或Akt)所组成的信号通路 与人类肿瘤的发生发展密切相关. 该通路调节肿瘤细胞的增殖和存活, 其活性异常不仅能导致细胞恶性转化, 而且与肿瘤细胞的迁移、黏附、肿瘤血管生成以及细胞外基质的降解等相关, 目前以PI3K-Akt信号通路关键分子为靶点的肿瘤治疗策略正在发展中. 在PI3K家族中, 研究最广泛的是能被细胞表面受体所激活
PI3K ― Akt 信号通路PI3K是一个复杂的大家族,根据其结构可分为3类:I型、Ⅱ型、Ⅲ型。 I型PI3K又分为IA和IB两个亚型,他们分别从酪氨酸激酶连接受体和G蛋白连接受体传递信号,其作用是催化磷脂酰肌醇(P1)在D3位的磷酸化,把底物PIP2转化为PIP3。IA型P13K是由催化亚单位Pll0和调节亚单位P85所组成的二聚体蛋白,具有类脂激酶和蛋白激酶的双重活性。在正常细胞中,P13K的活性是受许多机制严格控制的。一般认为,在静息细胞中,无活性的P85―P1lo复合物普遍
技术资料暂无技术资料 索取技术资料















