相关产品推荐更多 >
万千商家帮你免费找货
0 人在求购买到急需产品
- 详细信息
- 文献和实验
- 技术资料
- 供应商:
上海联迈生物工程有限公司
- 库存:
大量
- 目录编号:
LM-4632R
- 克隆性:
多克隆
- 抗原来源:
Rabbit
- 保质期:
1年
- 抗体英文名:
HOMER2
- 抗体名:
HOMER2抗体
- 宿主:
Rabbit
- 适应物种:
Human, Mouse, Rat, Pig, Cow, Rabbit,
- 免疫原:
KLH conjugated synthetic peptide derived from human HOMER2:
- 亚型:
IgG
- 形态:
Lyophilized or Liquid
- 应用范围:
WB=1:500-2000 ELISA=1:500-1000 IHC-P=1:400-800 IHC-F=1:400-800 ICC=1:100-500 IF=1:100-500 (石蜡切片需做抗原修复)
- 浓度:
1mg/ml
- 保存条件:
Store at -20 °C
- 规格:
100ul 200ul
| 英文名称 | HOMER2 |
| 中文名称 | HOMER2抗体 |
| 别 名 | ACPD; CPD; Cupidin; HOME2_HUMAN; HOMER 2; HOMER 2A; HOMER 2B; Homer homolog 2 (Drosophila); Homer homolog 3; Homer neuronal immediate early gene 2; Homer protein homolog 2; Homer-2; Homer2; HOMER2A; HOMER2B; Vesl 2; Vesl2. |
| 规格价格 | 100ul/1380元 购买 200ul/2200元 购买 大包装/询价 |
| 说 明 书 | 100ul 200ul |
| 研究领域 | 免疫学 染色质和核信号 神经生物学 信号转导 细胞凋亡 G蛋白偶联受体 |
| 抗体来源 | Rabbit |
| 克隆类型 | Polyclonal |
| 交叉反应 | Human, Mouse, Rat, Pig, Cow, Rabbit, |
| 产品应用 | WB=1:500-2000 ELISA=1:500-1000 IHC-P=1:400-800 IHC-F=1:400-800 ICC=1:100-500 IF=1:100-500 (石蜡切片需做抗原修复) not yet tested in other applications. optimal dilutions/concentrations should be determined by the end user. |
| 分 子 量 | 39kDa |
| 细胞定位 | 细胞浆 细胞膜 细胞外基质 |
| 性 状 | Lyophilized or Liquid |
| 浓 度 | 1mg/ml |
| 免 疫 原 | KLH conjugated synthetic peptide derived from human HOMER2: |
| 亚 型 | IgG |
| 纯化方法 | affinity purified by Protein A |
| 储 存 液 | 0.01M TBS(pH7.4) with 1% BSA, 0.03% Proclin300 and 50% Glycerol. |
| 保存条件 | Store at -20 °C for one year. Avoid repeated freeze/thaw cycles. The lyophilized antibody is stable at room temperature for at least one month and for greater than a year when kept at -20°C. When reconstituted in sterile pH 7.4 0.01M PBS or diluent of antibody the antibody is stable for at least two weeks at 2-4 °C. |
| PubMed | PubMed |
| 产品介绍 | background: This gene encodes a member of the homer family of dendritic proteins. Members of this family regulate group 1 metabotrophic glutamate receptor function. The encoded protein is a postsynaptic density scaffolding protein. Alternative splicing results in multiple transcript variants. Two related pseudogenes have been identified on chromosome 14. [provided by RefSeq, Jun 2011] Function: Postsynaptic density scaffolding protein. Binds and cross-links cytoplasmic regions of GRM1, GRM5, ITPR1, DNM3, RYR1, RYR2, SHANK1 and SHANK3. By physically linking GRM1 and GRM5 with ER-associated ITPR1 receptors, it aids the coupling of surface receptors to intracellular calcium release. May also couple GRM1 to PI3 kinase through its interaction with AGAP2. Isoforms can be differently regulated and may play an important role in maintaining the plasticity at glutamatergic synapses. Subunit: Isoform 1 and isoform 2 encode coiled-coil structures that mediate homo- and heteromultimerization. Subcellular Location: Cytoplasm. Cell junction, synapse, postsynaptic cell membrane, postsynaptic density. Cell junction, synapse. Note=Postsynaptic density of neuronal cells. The stabilization and clustering of the metabotropic glutamate receptors appears to be mediated by isoform 1 and isoform 2 at the cell surface. Similarity: Belongs to the Homer family. Contains 1 WH1 domain. SWISS: Q9NSB8 Gene ID: 9455 Database links: Entrez Gene: 510811 Cow Entrez Gene: 9455 Human Entrez Gene: 26557 Mouse Entrez Gene: 29547 Rat Omim: 604799 Human SwissProt: Q9NSB8 Human SwissProt: Q9QWW1 Mouse SwissProt: O88801 Rat Unigene: 578443 Human Unigene: 228 Mouse Unigene: 30014 Rat Important Note: This product as supplied is intended for research use only, not for use in human, therapeutic or diagnostic applications. |
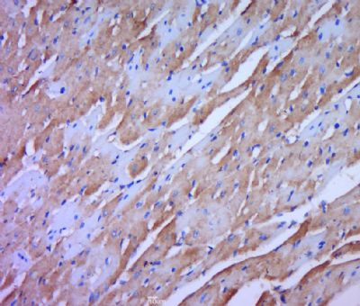
| 产品图片 | ![]() Paraformaldehyde-fixed, paraffin embedded (rat heart tissue); Antigen retrieval by boiling in sodium citrate buffer (pH6.0) for 15min; Block endogenous peroxidase by 3% hydrogen peroxide for 20 minutes; Blocking buffer (normal goat serum) at 37°C for 30min; Antibody incubation with (HOMER2) Polyclonal Antibody, Unconjugated (bs4632R) at 1:400 overnight at 4°C, followed by a conjugated secondary (sp-0023) for 20 minutes and DAB staining. |
风险提示:丁香通仅作为第三方平台,为商家信息发布提供平台空间。用户咨询产品时请注意保护个人信息及财产安全,合理判断,谨慎选购商品,商家和用户对交易行为负责。对于医疗器械类产品,请先查证核实企业经营资质和医疗器械产品注册证情况。
文献和实验抗体的结构决定了其对应的功能,同一抗体的V区和C区的氨基酸组成和顺序不同,决定了其功能上的差异。V区和C区的组成和结构,决定了抗体的生物学功能。 图1:抗体的主要功能(图片来源:Abbas et al: Cellular and Molecular Immunology, 7e.) 1、特异性识别功能 抗体可以通过其结构上的可变区域与抗原结合,同时,具有极高的特异性。这种特异性识别功能可以使抗体识别和结合到感染的病原体,肿瘤细胞等不同种类的分子,帮助免疫系统识别并定位到这些分子,进而启动
在生命科学和医学基础研究中,或多或少都需要用到抗体。抗体的应用场景不同、标记物众多,且针对同一标记物市场上往往有多个抗体可供选择,那么,我们如何从成百万上千万种抗体中,挑选出我们想要的那支呢? 在我们6月份的关于抗体的调研活动中,我们发现,大家更多的是去参考文献或专利中的材料和方法部分,这无疑很大程度上保证了抗体的有效性。其次有45%和34%的受访者会用到百度和谷歌,然而这两个搜索引擎覆盖面颇广,经常会出现抗体无关的搜索结果,而专业用于查找抗体的网站,大家却知之甚少。 因此,本次文章中
第一代抗体—— 血清多克隆抗体(PcAb) 20世纪初期发现血清抗体和细菌毒素的作用,可用于多种疾病的治疗。多克隆抗体生产过程遇到免疫动物制备的血清抗体具有免疫原性和非均质性的特点,给抗体的研究和应用造成困难,但是由于血清多克隆抗体识别抗原的广谱性,以及识别不同表位的各种抗体或识别同种抗原表位的不同克隆的抗体可协同作用,因而能高效地识别抗原和阻断抗原对机体的危害,所以血清抗体至今仍为诊治疾病和生命科学研究重要制剂。 第二代抗体——单克隆抗体(McAb) 将经绵阳红细胞免疫后的小鼠
技术资料暂无技术资料 索取技术资料











