相关产品推荐更多 >
万千商家帮你免费找货
0 人在求购买到急需产品
- 详细信息
- 技术资料
- 靶点:
IKK alpha
- 克隆性:
多克隆
- 抗体英文名:
Anti-IKK alpha + IKK beta
- 抗体名:
KB抑制蛋白激酶α/β抗体
- 免疫原:
KLH conjugated synthetic peptide derived from human IKK alpha + IKK beta
- 亚型:
IgG
- 形态:
冻干或液体
- 应用范围:
WB,ELISA,IP,ICC等
- 浓度:
1mg/1ml
- 保存条件:
-20 °C
- 规格:
0.2ml/200μg
KB抑制蛋白激酶α/β抗体产品描述:
英文名称 KB抑制蛋白激酶α/β抗体
中文名称 Anti-IKK alpha + IKK beta
别 名 IKK alpha+IKK beta; I kappa B kinase 1; I kappa B kinase 2; IkBKA; IkBKB; IKK beta; IKK1; IKK2; IKKA; NFKBIKA; NFKBIKB; I Kappa B kinase alpha; I Kappa B kinase beta; IKK alpha; IKKB; IKKA_HUMAN; IKKB_HUMAN.
浓 度 1mg/1ml
规 格 0.2ml/200μg
抗体来源 Rabbit
克隆类型 polyclonal
交叉反应 Human, Mouse, Rat, Chicken, Dog, Pig, Cow, Horse
产品类型 一抗
研究领域 心血管 免疫学 信号转导 激酶和磷酸酶 表观遗传学
蛋白分子量 predicted molecular weight:
83kDa
性 状 Lyophilized or Liquid
免 疫 原 KLH conjugated synthetic peptide derived from human IKK alpha + IKK beta
亚 型 IgG
纯化方法 affinity purified by Protein A
储 存 液 Preservative: 15mM Sodium Azide, Constituents: 1% BSA, 0.01M PBS, pH 7.4
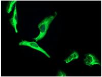
产品应用 WB=1:100-500 ELISA=1:500-1000 IP=1:20-100 IHC-P=1:100-500 IHC-F=1:100-500 IF=1:100-500
KB抑制蛋白激酶α/β抗体订购说明:
几种抗体概述:
1.抗角蛋白抗体(AKA),又称为抗丝集蛋白抗体或抗角质层抗体。AKA是类风湿关节炎早期诊断和判断预后的指标之一,其对RA患者的诊断的特异性为94% ,而其敏感性为47% ,并是一种鉴别RA和与多发性关节炎相关的丙型肝炎患者的有效检验标记物。
2.抗核周因子( APF), 是定位于口腔黏附膜细胞胞质内的颗粒性蛋白复合物。可在RA患者的血清和关节液中测出,与性别、年龄无关。APF显示了较强的特异性(73%~99%)和敏感性。用间接免疫荧光法检测,方法精密度较差。
3.抗环瓜氨酸肽抗体(CCP),具有相对好的敏感度和特异性。其实,抗核周因子和抗角蛋白抗体,与CCP在化学结构上具有相关性,它们的表位都含有瓜氨酸,称为瓜氨酸相关自身免疫系统。
KB抑制蛋白激酶α/β抗体实验流程:
公司还提供:
IL-22 白介素-22抗体规格: 0.1ml
兔抗MAPK10多克隆抗体
英文名:Anti-MAPK10rabbitpolyclonalantiboy
冷冻(-20℃)避光
兔抗NFKBI多克隆抗体
英文名:Anti-NFKBIrabbitpolyclonalantiboy
冷冻(-20℃)避光
CYP450 细胞色素P450单氧化酶抗体规格: 0.1mlHERG/KCNH2/ERG 特异性钾离子通道蛋白抗体规格: 0.1ml
兔抗ASF1A多克隆抗体
英文名:Anti-ASF1Arabbitpolyclonalantiboy
冷冻(-20℃)避光
兔抗SYT13多克隆抗体
英文名:Anti-SYT13rabbitpolyclonalantiboy
冷冻(-20℃)避光
兔抗PRCP多克隆抗体
英文名:Anti-PRCPrabbitpolyclonalantiboy
冷冻(-20℃)避光
KB抑制蛋白激酶α/β抗体大鼠骨成型蛋白4(BMP-4)ELISA试剂盒 英文名: BMP-4 ELISA Kit
大鼠泛素结合酶(E2/UBCE)ELISA试剂盒 英文名: E2/UBCE ELISA Kit
大鼠雌激素受体(ER)ELISA试剂盒 英文名: ER ELISA Kit
大鼠白介素2可溶性受体α链(IL-2sRα/CD25)ELISA试剂盒 英文名: IL-2sRα/CD25 ELISA Kit
大鼠α谷胱甘肽S转移酶(α-GST)ELISA试剂盒 英文名: α-GST ELISA Kit
大鼠CD117分子(CD117)ELISA试剂盒 英文名: CD117 ELISA Kit
大鼠可溶性CD80(sCD80/B7-1)ELISA试剂盒 英文名: sCD80/B7-1 ELISA Kit
大鼠脂肪酸转运蛋白5(FATP5)ELISA试剂盒 英文名: FATP5 ELISA Kit
英文名称 KB抑制蛋白激酶α/β抗体
中文名称 Anti-IKK alpha + IKK beta
别 名 IKK alpha+IKK beta; I kappa B kinase 1; I kappa B kinase 2; IkBKA; IkBKB; IKK beta; IKK1; IKK2; IKKA; NFKBIKA; NFKBIKB; I Kappa B kinase alpha; I Kappa B kinase beta; IKK alpha; IKKB; IKKA_HUMAN; IKKB_HUMAN.
浓 度 1mg/1ml
规 格 0.2ml/200μg
抗体来源 Rabbit
克隆类型 polyclonal
交叉反应 Human, Mouse, Rat, Chicken, Dog, Pig, Cow, Horse
产品类型 一抗
研究领域 心血管 免疫学 信号转导 激酶和磷酸酶 表观遗传学
蛋白分子量 predicted molecular weight:
83kDa
性 状 Lyophilized or Liquid
免 疫 原 KLH conjugated synthetic peptide derived from human IKK alpha + IKK beta
亚 型 IgG
纯化方法 affinity purified by Protein A
储 存 液 Preservative: 15mM Sodium Azide, Constituents: 1% BSA, 0.01M PBS, pH 7.4
产品应用 WB=1:100-500 ELISA=1:500-1000 IP=1:20-100 IHC-P=1:100-500 IHC-F=1:100-500 IF=1:100-500
KB抑制蛋白激酶α/β抗体订购说明:
| 价格 | 价格以市场走向为准,准确的报价还请客户向我们咨询; |
| 供应 | 我司产品一般都是现货直销,但不排除供应紧张的情况,无论新老客户,提前订购,都能够百分百获得新出厂的批次; |
| 运输 | 支持快递包邮,当天下单即可当天发货; |
| 售后 | 我司提供周到的售后服务,支持退换货,后期如遇技术难题,还可获取我司的技术咨询和帮助。 |
几种抗体概述:
1.抗角蛋白抗体(AKA),又称为抗丝集蛋白抗体或抗角质层抗体。AKA是类风湿关节炎早期诊断和判断预后的指标之一,其对RA患者的诊断的特异性为94% ,而其敏感性为47% ,并是一种鉴别RA和与多发性关节炎相关的丙型肝炎患者的有效检验标记物。
2.抗核周因子( APF), 是定位于口腔黏附膜细胞胞质内的颗粒性蛋白复合物。可在RA患者的血清和关节液中测出,与性别、年龄无关。APF显示了较强的特异性(73%~99%)和敏感性。用间接免疫荧光法检测,方法精密度较差。
3.抗环瓜氨酸肽抗体(CCP),具有相对好的敏感度和特异性。其实,抗核周因子和抗角蛋白抗体,与CCP在化学结构上具有相关性,它们的表位都含有瓜氨酸,称为瓜氨酸相关自身免疫系统。
KB抑制蛋白激酶α/β抗体实验流程:
公司还提供:
IL-22 白介素-22抗体规格: 0.1ml
兔抗MAPK10多克隆抗体
英文名:Anti-MAPK10rabbitpolyclonalantiboy
冷冻(-20℃)避光
兔抗NFKBI多克隆抗体
英文名:Anti-NFKBIrabbitpolyclonalantiboy
冷冻(-20℃)避光
CYP450 细胞色素P450单氧化酶抗体规格: 0.1mlHERG/KCNH2/ERG 特异性钾离子通道蛋白抗体规格: 0.1ml
兔抗ASF1A多克隆抗体
英文名:Anti-ASF1Arabbitpolyclonalantiboy
冷冻(-20℃)避光
兔抗SYT13多克隆抗体
英文名:Anti-SYT13rabbitpolyclonalantiboy
冷冻(-20℃)避光
兔抗PRCP多克隆抗体
英文名:Anti-PRCPrabbitpolyclonalantiboy
冷冻(-20℃)避光
KB抑制蛋白激酶α/β抗体大鼠骨成型蛋白4(BMP-4)ELISA试剂盒 英文名: BMP-4 ELISA Kit
大鼠泛素结合酶(E2/UBCE)ELISA试剂盒 英文名: E2/UBCE ELISA Kit
大鼠雌激素受体(ER)ELISA试剂盒 英文名: ER ELISA Kit
大鼠白介素2可溶性受体α链(IL-2sRα/CD25)ELISA试剂盒 英文名: IL-2sRα/CD25 ELISA Kit
大鼠α谷胱甘肽S转移酶(α-GST)ELISA试剂盒 英文名: α-GST ELISA Kit
大鼠CD117分子(CD117)ELISA试剂盒 英文名: CD117 ELISA Kit
大鼠可溶性CD80(sCD80/B7-1)ELISA试剂盒 英文名: sCD80/B7-1 ELISA Kit
大鼠脂肪酸转运蛋白5(FATP5)ELISA试剂盒 英文名: FATP5 ELISA Kit
风险提示:丁香通仅作为第三方平台,为商家信息发布提供平台空间。用户咨询产品时请注意保护个人信息及财产安全,合理判断,谨慎选购商品,商家和用户对交易行为负责。对于医疗器械类产品,请先查证核实企业经营资质和医疗器械产品注册证情况。
技术资料暂无技术资料 索取技术资料
KB抑制蛋白激酶α/β抗体
询价









