相关产品推荐更多 >
万千商家帮你免费找货
0 人在求购买到急需产品
- 详细信息
- 文献和实验
- 技术资料
- 供应商:
上海联迈生物工程有限公司
- 库存:
大量
- 目录编号:
LM-5880R
- 克隆性:
多克隆
- 抗原来源:
Rabbit
- 保质期:
1年
- 抗体英文名:
CDCP1
- 抗体名:
CD318抗体
- 宿主:
Rabbit
- 适应物种:
Human, Mouse, Rat, Chicken,
- 免疫原:
KLH conjugated synthetic peptide derived from human CDCP1/CD318:251-350/836 <Extracellular>
- 亚型:
IgG
- 形态:
Lyophilized or Liquid
- 应用范围:
WB=1:500-2000 ELISA=1:500-1000 IHC-P=1:400-800 IHC-F=1:400-800 ICC=1:100-500 IF=1:100-500 (石蜡切片需做抗原修复)
- 浓度:
1mg/ml
- 保存条件:
Store at -20 °C
- 规格:
100ul 200ul
| 英文名称 | CDCP1 |
| 中文名称 | CD318抗体 |
| 别 名 | CD 318; CD318; CD318 antigen; CDCP 1; Cdcp1; CDCP1_HUMAN; CUB domain containing protein 1; CUB domain-containing protein 1; Membrane glycoprotein gp140; SIMA 135; SIMA135; Subtractive immunization M plus HEp3 associated 135 kDa protein; Subtractive immunization M plus HEp3-associated 135 kDa protein; Transmembrane and associated with src kinases; TRASK. |
| 规格价格 | 100ul/1380元 购买 200ul/2200元 购买 大包装/询价 |
| 说 明 书 | 100ul 200ul |
| 研究领域 | 肿瘤 免疫学 干细胞 细胞表面分子 |
| 抗体来源 | Rabbit |
| 克隆类型 | Polyclonal |
| 交叉反应 | Human, Mouse, Rat, Chicken, |
| 产品应用 | WB=1:500-2000 ELISA=1:500-1000 IHC-P=1:400-800 IHC-F=1:400-800 ICC=1:100-500 IF=1:100-500 (石蜡切片需做抗原修复) not yet tested in other applications. optimal dilutions/concentrations should be determined by the end user. |
| 分 子 量 | 90kDa |
| 细胞定位 | 细胞膜 分泌型蛋白 |
| 性 状 | Lyophilized or Liquid |
| 浓 度 | 1mg/ml |
| 免 疫 原 | KLH conjugated synthetic peptide derived from human CDCP1/CD318:251-350/836 <Extracellular> |
| 亚 型 | IgG |
| 纯化方法 | affinity purified by Protein A |
| 储 存 液 | 0.01M TBS(pH7.4) with 1% BSA, 0.03% Proclin300 and 50% Glycerol. |
| 保存条件 | Store at -20 °C for one year. Avoid repeated freeze/thaw cycles. The lyophilized antibody is stable at room temperature for at least one month and for greater than a year when kept at -20°C. When reconstituted in sterile pH 7.4 0.01M PBS or diluent of antibody the antibody is stable for at least two weeks at 2-4 °C. |
| PubMed | PubMed |
| 产品介绍 | background: May be involved in cell adhesion and cell matrix association. May play a role in the regulation of anchorage versus migration or proliferation versus differentiation via its phosphorylation. May be a novel marker for leukemia diagnosis and for immature hematopoietic stem cell subsets. Belongs to the tetraspanin web involved in tumor progression and metastasis. Function: May be involved in cell adhesion and cell matrix association. May play a role in the regulation of anchorage versus migration or proliferation versus differentiation via its phosphorylation. May be a novel marker for leukemia diagnosis and for immature hematopoietic stem cell subsets. Belongs to the tetraspanin web involved in tumor progression and metastasis. Subunit: Interacts with CDH2/N-cadherin, CDH3/P-cadherin, SDC1/syndecan-1, SDC4/syndecan-4 and the serine protease ST14/MT-SP1. Also interacts with SRC and PRKCG/protein kinase C gamma. Subcellular Location: Secreted and Cell membrane. Shedding may also lead to a soluble peptide. Tissue Specificity: Highly expressed in mitotic cells with low expression during interphase. Detected at highest levels in skeletal muscle and colon with lower levels in kidney, small intestine, placenta and lung. Up-regulated in a number of human tumor cell lines, as well as in colorectal cancer, breast carcinoma and lung cancer. Also expressed in cells with phenotypes reminiscent of mesenchymal stem cells and neural stem cells. Post-translational modifications: Phosphorylated on tyrosine by kinases of the SRC family such as SRC and YES as well as by the protein kinase C gamma/PRKCG. Dephosphorylated by phosphotyrosine phosphatases. Also phosphorylated by suramin, a heparin analog. Tyrosine phosphorylated in response to dissociation of integrin alpha-6 beta-4 from laminin-5. N-glycosylated. A soluble form may also be produced by proteolytic cleavage at the cell surface (shedding). Another peptide of 80 kDa (p80) is present in cultured keratinocytes probably due to tryptic cleavage at an unidentified site on its N-terminal side. Converted to p80 by plasmin, a trypsin-like protease. Similarity: Contains 1 CUB domain. SWISS: Q9H5V8 Gene ID: 64866 Database links: Entrez Gene: 484797 Dog Entrez Gene: 64866 Human Entrez Gene: 109332 Mouse Entrez Gene: 100512497 Pig Entrez Gene: 100347983 Rabbit Entrez Gene: 301082 Rat Omim: 611735 Human SwissProt: Q9H5V8 Human SwissProt: Q5U462 Mouse Unigene: 476093 Human Unigene: 27519 Mouse Unigene: 7729 Rat Important Note: This product as supplied is intended for research use only, not for use in human, therapeutic or diagnostic applications. |
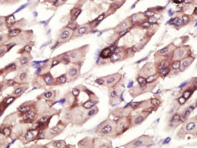
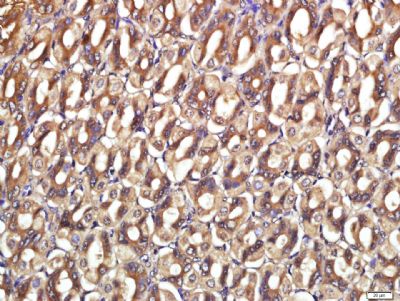
| 产品图片 | ![]() Paraformaldehyde-fixed, paraffin embedded (Mouse stomach); Antigen retrieval by boiling in sodium citrate buffer (pH6.0) for 15min; Block endogenous peroxidase by 3% hydrogen peroxide for 20 minutes; Blocking buffer (normal goat serum) at 37°C for 30min; Antibody incubation with (CDCP1) Polyclonal Antibody, Unconjugated (bs-5880R) at 1:400 overnight at 4°C, followed by operating according to SP Kit(Rabbit) (sp-0023) instructionsand DAB staining. ![]() Paraformaldehyde-fixed, paraffin embedded (mouse stomach); Antigen retrieval by boiling in sodium citrate buffer (pH6.0) for 15min; Block endogenous peroxidase by 3% hydrogen peroxide for 20 minutes; Blocking buffer (normal goat serum) at 37°C for 30min; Antibody incubation with (CDCP1) Polyclonal Antibody, Unconjugated (bs-5880R) at 1:400 overnight at 4°C, followed by a conjugated secondary (sp-0023) for 20 minutes and DAB staining. |
风险提示:丁香通仅作为第三方平台,为商家信息发布提供平台空间。用户咨询产品时请注意保护个人信息及财产安全,合理判断,谨慎选购商品,商家和用户对交易行为负责。对于医疗器械类产品,请先查证核实企业经营资质和医疗器械产品注册证情况。
文献和实验【摘要】目的 构建和表达抗CD3/抗Pgp微型双功能抗体,并测定该微型双功能抗体的生物学活性。方法 采用PCR和overlap PCR方法构建抗CD3/抗CD20微型双功能抗体,并用双脱氧终止法测定DNA序列;采用亲和层析法纯化该产物,并用Western blot和分子排阻层析鉴定纯化产物;采用免疫荧光法、放射免疫分析法和玫瑰花环试验鉴定纯化产物与靶细胞的结合活性。结果 DNA序列测定结果表明:抗CD3/抗Pgp微型双功能抗体已构建成功,表达可溶性产物的产量达2mg/l以上,纯化产物中二
人血小板膜糖蛋白IIbIIIa(GP-IIbIIIa/CD41+CD61)抗体
人血小板膜糖蛋白IIbIIIa(GP-IIbIIIa/CD41+CD61) 抗体 酶联免疫分析试剂盒使用说明书 本试剂仅供研究使用 目的:本试剂盒用于测定人血清,血浆及相关液体样本中血小板膜糖蛋白IIbIIIa(GP-IIbIIIa/CD41+CD61) 抗体 的含量。 实验原理: 本试剂盒应用双抗原夹心法测定标本中人血小板膜糖蛋白 IIbIIIa(GP-IIbIIIa/CD41+CD61) 抗体
水平。结论嵌合抗CD20抗体片段Fab’能抑制Raji细胞生长和诱导细胞凋亡,其作用机制与bcl-2蛋白表达的下降有关。【关键词】抗CD20抗体 B淋巴瘤 Bcl-2【中图分类号】R318 R733CD20对B淋巴细胞的分化增殖具有调节作用[ 1 ] 。CD20是治疗B淋巴细胞瘤的理想靶点。CD20在前B细胞及成熟B细胞中有表达,而浆细胞、造血干细胞及T细胞则无CD20的表达;CD20比较暴露不为其它表面分子所掩盖,易与抗体结合;CD20和抗CD20抗体结合后不发生内吞作用,因而细胞表面CD20数量并不
技术资料暂无技术资料 索取技术资料












