相关产品推荐更多 >
万千商家帮你免费找货
0 人在求购买到急需产品
- 详细信息
- 文献和实验
- 技术资料
- 供应商:
上海联迈生物工程有限公司
- 库存:
大量
- 目录编号:
LM-5181R
- 克隆性:
多克隆
- 抗原来源:
Rabbit
- 保质期:
1年
- 抗体英文名:
phospho-AXL (Tyr698+Tyr702+Tyr703)
- 抗体名:
磷酸化粘附相关激酶抗体
- 宿主:
Rabbit
- 适应物种:
Human, Mouse, Rat, Dog, Pig, Cow, Horse, Rabbit,
- 免疫原:
KLH conjugated Synthesised phosphopeptide derived from human AXL around the phosphorylation site of Tyr698+Tyr702+Tyr703:KI(p-Y)NGD(p-Y)(p-Y)RQ <Cytoplasmic>
- 亚型:
IgG
- 形态:
Lyophilized or Liquid
- 应用范围:
WB=1:500-2000 ELISA=1:500-1000 IHC-P=1:400-800 IHC-F=1:400-800 IF=1:100-500 (石蜡切片需做抗原修复)
- 浓度:
1mg/ml
- 保存条件:
Store at -20 °C
- 规格:
100ul
| 英文名称 | phospho-AXL (Tyr698+Tyr702+Tyr703) |
| 中文名称 | 磷酸化粘附相关激酶抗体 |
| 别 名 | Adhesion related kinase; AI323647; Ark; Axl; AXL oncogene; AXL receptor tyrosine kinase; AXL transforming gene; AXL transforming sequence/gene; EC 2.7.10.1; JTK11; Oncogene AXL; Tyro7; Tyrosine protein kinase receptor UFO; Tyrosine-protein kinase receptor UFO; UFO; UFO_HUMAN. |
| 规格价格 | 100ul/1580元 购买 大包装/询价 |
| 说 明 书 | 100ul |
| 产品类型 | 磷酸化抗体 |
| 研究领域 | 肿瘤 细胞生物 免疫学 信号转导 细胞周期蛋白 激酶和磷酸酶 细胞膜受体 细胞类型标志物 |
| 抗体来源 | Rabbit |
| 克隆类型 | Polyclonal |
| 交叉反应 | Human, Mouse, Rat, Dog, Pig, Cow, Horse, Rabbit, |
| 产品应用 | WB=1:500-2000 ELISA=1:500-1000 IHC-P=1:400-800 IHC-F=1:400-800 IF=1:100-500 (石蜡切片需做抗原修复) not yet tested in other applications. optimal dilutions/concentrations should be determined by the end user. |
| 分 子 量 | 95kDa |
| 细胞定位 | 细胞膜 |
| 性 状 | Lyophilized or Liquid |
| 浓 度 | 1mg/ml |
| 免 疫 原 | KLH conjugated Synthesised phosphopeptide derived from human AXL around the phosphorylation site of Tyr698+Tyr702+Tyr703:KI(p-Y)NGD(p-Y)(p-Y)RQ <Cytoplasmic> |
| 亚 型 | IgG |
| 纯化方法 | affinity purified by Protein A |
| 储 存 液 | 0.01M TBS(pH7.4) with 1% BSA, 0.03% Proclin300 and 50% Glycerol. |
| 保存条件 | Store at -20 °C for one year. Avoid repeated freeze/thaw cycles. The lyophilized antibody is stable at room temperature for at least one month and for greater than a year when kept at -20°C. When reconstituted in sterile pH 7.4 0.01M PBS or diluent of antibody the antibody is stable for at least two weeks at 2-4 °C. |
| PubMed | PubMed |
| 产品介绍 | background: The protein encoded by this gene is a member of the receptor tyrosine kinase subfamily. Although it is similar to other receptor tyrosine kinases, the Axl protein represents a unique structure of the extracellular region that juxtaposes IgL and FNIII repeats. It transduces signals from the extracellular matrix into the cytoplasm by binding growth factors such as vitamin K dependent protein growth arrest specific gene 6. It is involved in the stimulation of cell proliferation. This receptor can also mediate cell aggregation by homophilic binding. Axl is a chronic myelogenous leukemia associated oncogene and also associated with colon cancer and melanoma.The Axl gene is evolutionarily conserved between vertebrate species. This gene has two different alternatively spliced transcript variants (AXL1 and AXL2). Function: Receptor tyrosine kinase that transduces signals from the extracellular matrix into the cytoplasm by binding growth factor GAS6 and which is thus regulating many physiological processes including cell survival, cell proliferation, migration and differentiation. Ligand binding at the cell surface induces dimerization and autophosphorylation of AXL. Following activation by ligand, ALX binds and induces tyrosine phosphorylation of PI3-kinase subunits PIK3R1, PIK3R2 and PIK3R3; but also GRB2, PLCG1, LCK and PTPN11. Other downstream substrate candidates for AXL are CBL, NCK2, SOCS1 and TENC1. Recruitment of GRB2 and phosphatidylinositol-3 kinase regulatory subunits by AXL leads to the downstream activation of the AKT kinase. GAS6/AXL signaling plays a role in various processes such as endothelial cell survival during acidification by preventing apoptosis, optimal cytokine signaling during human natural killer cell development, hepatic regeneration, gonadotropin-releasing hormone neuron survival and migration, platelet activation, or regulation of thrombotic responses. Plays also an important role in inhibition of Toll-like receptors (TLRs)-mediated innate immune response. In case of filovirus infection, seems to function as a cell entry factor. Subunit: Heterodimer and heterotetramer with ligand GAS6. Interacts with CBL, GRB2, LCK, NCK2, PIK3R1, PIK3R2, PIK3R3, PLCG1, SOCS1 and TENC1. Part a complex including AXL, TNK2 and GRB2, in which GRB2 promotes AXL recruitment by TNK2. Subcellular Location: Cell membrane; Single-pass type I membrane protein. Tissue Specificity: Highly expressed in metastatic colon tumors. Expressed in primary colon tumors. Weakly expressed in normal colon tissue. Post-translational modifications: Phosphorylated at tyrosine residues by autocatalysis, which activates kinase activity. DISEASE: Note=AXL and its ligand GAS6 are highly expressed in thyroid carcinoma tissues, and might thus be involved in thiroid tumorigenesis. Overexpression of AXL and its ligand was also detected in many other cancers such as myeloptoliferative disorders, prostatic carcinoma cells, or breast cancer. Similarity: Belongs to the protein kinase superfamily. Tyr protein kinase family. AXL/UFO subfamily. Contains 2 fibronectin type-III domains. Contains 2 Ig-like C2-type (immunoglobulin-like) domains. Contains 1 protein kinase domain. SWISS: P30530 Gene ID: 558 Database links: Entrez Gene: 558 Human Omim: 109135 Human SwissProt: P30530 Human Unigene: 590970 Human Important Note: This product as supplied is intended for research use only, not for use in human, therapeutic or diagnostic applications. |
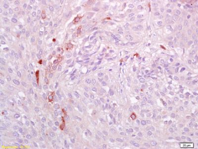
| 产品图片 | ![]() Sample: SW480 Cell (Human) Lysate at 40 ug Primary: Anti-phospho-AXL (Tyr698+Tyr702+Tyr703) (bs-5181R) at 1/300 dilution Secondary: IRDye800CW Goat Anti-Rabbit IgG at 1/20000 dilution Predicted band size: 95 kD Observed band size: 120 kD ![]() Sample:MCF-7 Cell (Human) Lysate at 40 ug Primary: Anti-phospho-AXL (Tyr698+Tyr702+Tyr703) (bs-5181R) at 1/300 dilution Secondary: IRDye800CW Goat Anti-Rabbit IgG at 1/20000 dilution Predicted band size: 95 kD Observed band size: 120 kD ![]() Tissue/cell: human lung carcinoma; 4% Paraformaldehyde-fixed and paraffin-embedded; Antigen retrieval: citrate buffer ( 0.01M, pH 6.0 ), Boiling bathing for 15min; Block endogenous peroxidase by 3% Hydrogen peroxide for 30min; Blocking buffer (normal goat serum,C-0005) at 37℃ for 20 min; Incubation: Anti-phospho-AXL(Tyr698+Tyr702+Tyr703) Polyclonal Antibody, Unconjugated (bs-5181R) 1:200, overnight at 4°C, followed by conjugation to the secondary antibody(SP-0023) and DAB(C-0010) staining |
风险提示:丁香通仅作为第三方平台,为商家信息发布提供平台空间。用户咨询产品时请注意保护个人信息及财产安全,合理判断,谨慎选购商品,商家和用户对交易行为负责。对于医疗器械类产品,请先查证核实企业经营资质和医疗器械产品注册证情况。
文献和实验运用Cell Based Elisa检测信号通路蛋白和磷酸化蛋白
results of phosphorylated proteins磷酸化的试剂盒中的抗体是经过大量筛选,选取了高特异性和低背景的抗体。p-P38MAPK抗体是基于P38的磷酸化Thr180到Tyr182这个位点多肽片段所制备。P-JNK抗体是基于人的Thr183和Tyr185.这个抗体可以同时识别P-JNK1和P-JNK2.我们在运用Cell Based Elisa P38和JNK两个试剂盒做检测的同时,又用传统的WB方式来验证这个结果。经过反复验证,都得出了同样的结果, Cell Based
(3)同上。两个磷酸化位点都要做,但是可能在不同的病理条件下,侧重点有所不同,这主要体现在你的论文的讨论中。因此建议实验前多做论文研究,查阅一下别人的发表文章,看看与你的病理模型更相关的是哪个位点。 真爱满行囊 非常感谢你 的回复,现在我遇到的问题是我做出来蛋白总量还有216位点是有变化的,9位因为买的是santa curz的抗体,现在死活做不出来,很头痛,我要说明的问题是他的活性降低,我也看到216位点磷酸化水平降低了,可是现在没有第九位的结果(就是没有办法得到第九
,但当细胞活化时这个残基则发生去磷酸化,随之发生激酶的活化以及Tyr394的自身磷酸化。目前研究认为,CD45通过使Tyr505去磷酸化对p56 lck 起正调控作用;而p50 csk 是使Tyr505发生磷酸化对p56 lck 则起负调控作用。CD45和p50 csk 对其它src家族PTKs也发挥着同样的调节作用。 (二)p56 lck 与CD4/CD8分子
技术资料暂无技术资料 索取技术资料













