相关产品推荐更多 >
万千商家帮你免费找货
0 人在求购买到急需产品
- 详细信息
- 文献和实验
- 技术资料
- 供应商:
上海联迈生物工程有限公司
- 库存:
大量
- 目录编号:
LM-2487R
- 克隆性:
多克隆
- 抗原来源:
Rabbit
- 保质期:
1年
- 抗体英文名:
CD5L
- 抗体名:
CD5L抗体
- 宿主:
Rabbit
- 适应物种:
Human, Mouse, Rat,
- 免疫原:
KLH conjugated synthetic peptide derived from human CD5L:221-347/347
- 亚型:
IgG
- 形态:
Lyophilized or Liquid
- 应用范围:
WB=1:500-2000 ELISA=1:500-1000 IHC-P=1:400-800 IHC-F=1:400-800 IF=1:100-500 (石蜡切片需做抗原修复)
- 浓度:
1mg/ml
- 保存条件:
Store at -20 °C
- 规格:
100ul 200ul
| 英文名称 | CD5L |
| 中文名称 | CD5L抗体 |
| 别 名 | AAC-11; AIM; API6; Api6; APOPTOSIS INHIBITOR 6; APOPTOSIS INHIBITOR OF MACROPHAGES; CD5 antigen like (scavenger receptor cysteine rich family); CD5 antigen-like; Cd5l; CD5L_HUMAN; CT 2; CT-2; Highly similar to ANTIGEN WC1.1 [Bos taurus]; IgM associated peptide; IgM-associated peptide; Pdp; PRO229; SCAVENGER RECEPTOR CYSTEINE-RICH FAMILY; SP ALPHA; SP-alpha; Spalpha. |
| 规格价格 | 100ul/1380元 购买 200ul/2200元 购买 大包装/询价 |
| 说 明 书 | 100ul 200ul |
| 研究领域 | 细胞生物 免疫学 细胞凋亡 |
| 抗体来源 | Rabbit |
| 克隆类型 | Polyclonal |
| 交叉反应 | Human, Mouse, Rat, |
| 产品应用 | WB=1:500-2000 ELISA=1:500-1000 IHC-P=1:400-800 IHC-F=1:400-800 IF=1:100-500 (石蜡切片需做抗原修复) not yet tested in other applications. optimal dilutions/concentrations should be determined by the end user. |
| 分 子 量 | 36kDa |
| 细胞定位 | 分泌型蛋白 |
| 性 状 | Lyophilized or Liquid |
| 浓 度 | 1mg/ml |
| 免 疫 原 | KLH conjugated synthetic peptide derived from human CD5L:221-347/347 |
| 亚 型 | IgG |
| 纯化方法 | affinity purified by Protein A |
| 储 存 液 | 0.01M TBS(pH7.4) with 1% BSA, 0.03% Proclin300 and 50% Glycerol. |
| 保存条件 | Store at -20 °C for one year. Avoid repeated freeze/thaw cycles. The lyophilized antibody is stable at room temperature for at least one month and for greater than a year when kept at -20°C. When reconstituted in sterile pH 7.4 0.01M PBS or diluent of antibody the antibody is stable for at least two weeks at 2-4 °C. |
| PubMed | PubMed |
| 产品介绍 | background: CD5L is a member of the scavenger receptor cysteine-rich domain superfamily (SRCR-SF) initially identified as an inducible cell surface ligand of CD5. It was shown that CD5L functions in the thymus as the inducer of resistance to apoptosis within CD4+/CD8+ thymocytes and as the supporter of the viability of these cells before thymic selection. CD5L was also shown to support macrophage survival and enhance their phagocytic function. More recent experiments using recombinant CD5L significantly inhibited apoptosis of NKT and T cells obtained from C. parvum-stimulated livers in vitro, suggesting that CD5L functions to induce resistance to apoptosis in these cells and supports host defense against inflammation during infection. Expressed in spleen, lymph node, thymus, bone marrow, and fetal liver, but not in non-lymphoid tissues. Function: May play a role in the regulation of the immune system. Seems to play a role as an inhibitor of apoptosis. Subunit: Associated with IgM. Subcellular Location: Secreted. Tissue Specificity: Expressed in spleen, lymph node, thymus, bone marrow, and fetal liver, but not in non-lymphoid tissues. Similarity: Contains 3 SRCR domains. SWISS: O43866 Gene ID: 922 Database links: Entrez Gene: 922 Human Entrez Gene: 11801 Mouse Omim: 602592 Human SwissProt: O43866 Human SwissProt: Q9QWK4 Mouse Unigene: 134035 Human Unigene: 6676 Mouse Important Note: This product as supplied is intended for research use only, not for use in human, therapeutic or diagnostic applications. |
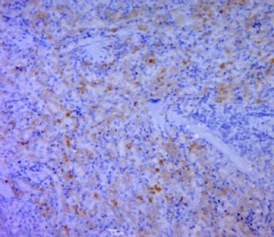
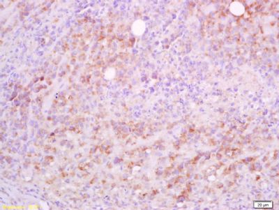
| 产品图片 | ![]() Paraformaldehyde-fixed, paraffin embedded (rat spleen tissue); Antigen retrieval by boiling in sodium citrate buffer (pH6.0) for 15min; Block endogenous peroxidase by 3% hydrogen peroxide for 20 minutes; Blocking buffer (normal goat serum) at 37°C for 30min; Antibody incubation with (CD5L) Polyclonal Antibody, Unconjugated (bs-2487R) at 1:400 overnight at 4°C, followed by a conjugated secondary (sp-0023) for 20 minutes and DAB staining. ![]() Tissue/cell: mouse lymphoma tissue; 4% Paraformaldehyde-fixed and paraffin-embedded; Antigen retrieval: citrate buffer ( 0.01M, pH 6.0 ), Boiling bathing for 15min; Block endogenous peroxidase by 3% Hydrogen peroxide for 30min; Blocking buffer (normal goat serum,C-0005) at 37℃ for 20 min; Incubation: Anti-CD5L/Api6 Polyclonal Antibody, Unconjugated(bs-2487R) 1:200, overnight at 4°C, followed by conjugation to the secondary antibody(SP-0023) and DAB(C-0010) staining |
风险提示:丁香通仅作为第三方平台,为商家信息发布提供平台空间。用户咨询产品时请注意保护个人信息及财产安全,合理判断,谨慎选购商品,商家和用户对交易行为负责。对于医疗器械类产品,请先查证核实企业经营资质和医疗器械产品注册证情况。
文献和实验抗体的结构决定了其对应的功能,同一抗体的V区和C区的氨基酸组成和顺序不同,决定了其功能上的差异。V区和C区的组成和结构,决定了抗体的生物学功能。 图1:抗体的主要功能(图片来源:Abbas et al: Cellular and Molecular Immunology, 7e.) 1、特异性识别功能 抗体可以通过其结构上的可变区域与抗原结合,同时,具有极高的特异性。这种特异性识别功能可以使抗体识别和结合到感染的病原体,肿瘤细胞等不同种类的分子,帮助免疫系统识别并定位到这些分子,进而启动
在生命科学和医学基础研究中,或多或少都需要用到抗体。抗体的应用场景不同、标记物众多,且针对同一标记物市场上往往有多个抗体可供选择,那么,我们如何从成百万上千万种抗体中,挑选出我们想要的那支呢? 在我们6月份的关于抗体的调研活动中,我们发现,大家更多的是去参考文献或专利中的材料和方法部分,这无疑很大程度上保证了抗体的有效性。其次有45%和34%的受访者会用到百度和谷歌,然而这两个搜索引擎覆盖面颇广,经常会出现抗体无关的搜索结果,而专业用于查找抗体的网站,大家却知之甚少。 因此,本次文章中
第一代抗体—— 血清多克隆抗体(PcAb) 20世纪初期发现血清抗体和细菌毒素的作用,可用于多种疾病的治疗。多克隆抗体生产过程遇到免疫动物制备的血清抗体具有免疫原性和非均质性的特点,给抗体的研究和应用造成困难,但是由于血清多克隆抗体识别抗原的广谱性,以及识别不同表位的各种抗体或识别同种抗原表位的不同克隆的抗体可协同作用,因而能高效地识别抗原和阻断抗原对机体的危害,所以血清抗体至今仍为诊治疾病和生命科学研究重要制剂。 第二代抗体——单克隆抗体(McAb) 将经绵阳红细胞免疫后的小鼠
技术资料暂无技术资料 索取技术资料












