相关产品推荐更多 >
万千商家帮你免费找货
0 人在求购买到急需产品
- 详细信息
- 文献和实验
- 技术资料
- 供应商:
上海联迈生物工程有限公司
- 库存:
大量
- 目录编号:
LM-5143R
- 克隆性:
多克隆
- 抗原来源:
Rabbit
- 保质期:
1年
- 抗体英文名:
DP1
- 抗体名:
转录因子DP1抗体
- 宿主:
Rabbit
- 适应物种:
Human, Mouse, Rat, Chicken, Dog, Cow, Horse, Rabbit,
- 免疫原:
KLH conjugated synthetic peptide derived from human TFDP1:221-320/410
- 亚型:
IgG
- 形态:
Lyophilized or Liquid
- 应用范围:
WB=1:500-2000 ELISA=1:500-1000 IHC-P=1:400-800 IHC-F=1:400-800 IF=1:100-500 (石蜡切片需做抗原修复)
- 浓度:
1mg/ml
- 保存条件:
Store at -20 °C
- 规格:
100ul 200ul
| 英文名称 | DP1 |
| 中文名称 | 转录因子DP1抗体 |
| 别 名 | DRTF1; DRTF 1; DRTF-1; TFDP1; TFDP 1; TFDP-1; Transcription factor Dp-1; DRTF1-polypeptide 1; E2F dimerization partner 1; TFDP1_HUMAN. |
| 规格价格 | 100ul/1380元 购买 200ul/2200元 购买 大包装/询价 |
| 说 明 书 | 100ul 200ul |
| 研究领域 | 免疫学 信号转导 转录调节因子 |
| 抗体来源 | Rabbit |
| 克隆类型 | Polyclonal |
| 交叉反应 | Human, Mouse, Rat, Chicken, Dog, Cow, Horse, Rabbit, |
| 产品应用 | WB=1:500-2000 ELISA=1:500-1000 IHC-P=1:400-800 IHC-F=1:400-800 IF=1:100-500 (石蜡切片需做抗原修复) not yet tested in other applications. optimal dilutions/concentrations should be determined by the end user. |
| 分 子 量 | 45kDa |
| 细胞定位 | 细胞核 |
| 性 状 | Lyophilized or Liquid |
| 浓 度 | 1mg/ml |
| 免 疫 原 | KLH conjugated synthetic peptide derived from human TFDP1:221-320/410 |
| 亚 型 | IgG |
| 纯化方法 | affinity purified by Protein A |
| 储 存 液 | 0.01M TBS(pH7.4) with 1% BSA, 0.03% Proclin300 and 50% Glycerol. |
| 保存条件 | Store at -20 °C for one year. Avoid repeated freeze/thaw cycles. The lyophilized antibody is stable at room temperature for at least one month and for greater than a year when kept at -20°C. When reconstituted in sterile pH 7.4 0.01M PBS or diluent of antibody the antibody is stable for at least two weeks at 2-4 °C. |
| PubMed | PubMed |
| 产品介绍 | background: This gene encodes a member of a family of transcription factors that heterodimerize with E2F proteins to enhance their DNA-binding activity and promote transcription from E2F target genes. The encoded protein functions as part of this complex to control the transcriptional activity of numerous genes involved in cell cycle progression from G1 to S phase. Alternative splicing results in multiple transcript variants. Pseudogenes of this gene are found on chromosomes 1, 15, and X.[provided by RefSeq, Jan 2009] Function: The DP2/E2F complex functions in the control of cell-cycle progression from G1 to S phase. The E2F-1/DP complex appears to mediate both cell proliferation and apoptosis. Subunit: Component of the E2F/DP transcription factor complex. Forms heterodimers with E2F family members. The complex can interact with hypophosphorylated retinoblastoma protein RB1 and related proteins (RBL1 and RBL2) that inhibit the E2F transactivation domain. This repression involves recruitment of histone deacetylase (HDAC). During the cell cycle, from mid-to-late G1 phase, RB family members become phosphorylated, detach from the DRTF1/E2F complex to render E2F transcriptionally active. Viral oncoproteins, notably E1A, T-antigen and HPV E7, are capable of sequestering RB protein, thus releasing the active complex. Part of the E2F6.com-1 complex in G0 phase is composed of E2F6, MGA, MAX, TFDP1, CBX3, BAT8, EUHMTASE1, RING1, RNF2, MBLR, L3MBTL2 YAF2. Component of the DREAM complex (also named LINC complex) at least composed of E2F4, E2F5, LIN9, LIN37, LIN52, LIN54, MYBL1, MYBL2, RBL1, RBL2, RBBP4, TFDP1 and TFDP2. The complex exists in quiescent cells where it represses cell cycle-dependent genes. It dissociates in S phase when LIN9, LIN37, LIN52 and LIN54 form a subcomplex that binds to MYBL2. Subcellular Location: Nucleus. Tissue Specificity: Highest levels in muscle. Also expressed in brain, placenta, liver and kidney. Lower levels in lung and pancreas. Post-translational modifications: Phosphorylation by E2F-1-bound cyclin A-CDK2, in the S phase, inhibits E2F-mediated DNA binding and transactivation. Similarity: Belongs to the E2F/DP family. SWISS: Q14186 Gene ID: 7027 Database links: Entrez Gene: 7027 Human Entrez Gene: 21781 Mouse Entrez Gene: 290878 Rat Omim: 189902 Human SwissProt: Q14186 Human SwissProt: Q5JSB4 Human SwissProt: Q08639 Mouse SwissProt: Q3V3X3 Mouse SwissProt: Q9CYZ7 Mouse SwissProt: Q9D297 Mouse Unigene: 79353 Human Unigene: 925 Mouse Important Note: This product as supplied is intended for research use only, not for use in human, therapeutic or diagnostic applications. |
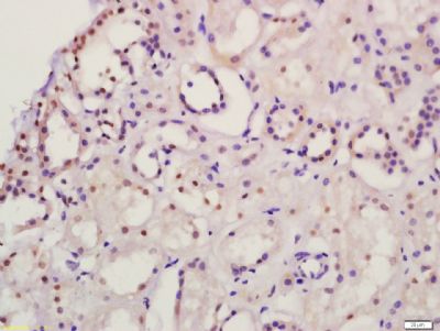
| 产品图片 | ![]() Tissue/cell: human kidney tissue; 4% Paraformaldehyde-fixed and paraffin-embedded; Antigen retrieval: citrate buffer ( 0.01M, pH 6.0 ), Boiling bathing for 15min; Block endogenous peroxidase by 3% Hydrogen peroxide for 30min; Blocking buffer (normal goat serum,C-0005) at 37℃ for 20 min; Incubation: Anti-DP1/TFDP1 Polyclonal Antibody, Unconjugated(bs-5143R) 1:200, overnight at 4°C, followed by conjugation to the secondary antibody(SP-0023) and DAB(C-0010) staining |
风险提示:丁香通仅作为第三方平台,为商家信息发布提供平台空间。用户咨询产品时请注意保护个人信息及财产安全,合理判断,谨慎选购商品,商家和用户对交易行为负责。对于医疗器械类产品,请先查证核实企业经营资质和医疗器械产品注册证情况。
文献和实验HPV 并不是宫颈癌唯一的「元凶」?这种微生物化身「帮凶」,共同促进癌症发生
修复通路 由于 E2F 转录因子家族(参与细胞增殖和生长停滞的几个基因的重要调节因子)被沙眼衣原体和共感染下调,研究人员进一步分析了 E2F 转录因子家族在衣原体感染细胞中发挥的作用。 RB 样、E2F4、多种外阴 B 类蛋白和二聚化伴侣(DP1)通过形成 DREAM 复合物,可介导基因抑制促进静止。若失去细胞周期检查点基因表达,DREAM 复合物介导的调控将会中断,进而打破细胞周期的平衡,从静止切换到增殖,这在癌症中经常观察到。 该研究分析显示,许多 DREAM 复合靶基因被衣原体下调,在合并感染中
的酵母菌株在缺乏尿嘧啶的选择性培养基上只有当“ 诱饵” 和“ 猎物” 相互作用激活URA3 基因的表达才能生长。在含有5-FOA 的完全培养基上“ 诱饵” 和“ 猎物” 的相互作用则抑制细胞的生长。然而如果目的蛋白,即与DB 或AD 融合的蛋白质发生了突变或者由于外加药物的干扰不再相互作用,URA3 基因不表达,则细胞能在含有5-FOA 的完全培养基上生长。通过这种方法,Vidal 等人筛选到了转录因子E2F1 的突变物,这些突变物仍然能结合视网膜母细胞瘤蛋白RB,但是丧失了同另外一种称为DP1
基因表达调控的重点。现在的基因数据库信息丰富,拿到基因及其启动子序列非常简单。那么问题又来了,拿到启动子序列以后,下一步怎么找相关的调控蛋白/转录因子呢?生物信息学方法预测?你会得到很多可能的目标调控蛋白/转录因子,还要做实验一个一个验证。凝胶迁移(EMSA),染色质免疫共沉淀(ChIP)?只能针对已知能与启动子结合的调控蛋白/转录因子,而且还需要相应探针/抗体,对于大量筛选无能为力。美国Signosis的转录因子(结合启动子)微孔板芯片检测试剂可以方便、高效地解决这一问题。该方法专门用于筛查与特定DNA序列
技术资料暂无技术资料 索取技术资料











