相关产品推荐更多 >
万千商家帮你免费找货
0 人在求购买到急需产品
- 详细信息
- 文献和实验
- 技术资料
- 供应商:
上海联迈生物工程有限公司
- 库存:
大量
- 目录编号:
LM-5092R
- 克隆性:
多克隆
- 抗原来源:
Rabbit
- 保质期:
1年
- 抗体英文名:
TNFSF15
- 抗体名:
肿瘤坏死因子配体超家族成员15抗体
- 宿主:
Rabbit
- 适应物种:
Human, Mouse, Rat, Dog, Pig, Cow, Horse, Rabbit, Guinea Pig,
- 免疫原:
KLH conjugated synthetic peptide derived from human TNFSF15:161-251/251 <Extracellular>
- 亚型:
IgG
- 形态:
Lyophilized or Liquid
- 应用范围:
WB=1:500-2000 ELISA=1:500-1000 IHC-P=1:400-800 IHC-F=1:400-800 IF=1:100-500 (石蜡切片需做抗原修复)
- 浓度:
1mg/ml
- 保存条件:
Store at -20 °C
- 规格:
100ul 200ul
| 英文名称 | TNFSF15 |
| 中文名称 | 肿瘤坏死因子配体超家族成员15抗体 |
| 别 名 | TL1A; TL1 A; TL 1A; TL-1A; tl1; tl1a; tnf ligand related molecule 1; TNF ligand-related molecule 1; tnf superfamily ligand tl1a; TNF15_HUMAN; Tumor necrosis factor ligand superfamily member 15; Vascular endothelial cell growth inhibitor; Vascular endothelial growth inhibitor 192a; Vascular endothelial growth inhibitor; vegi; VEGI192A antibodysecreted form; MGC129934; MGC129935. |
![]() |
Specific References (1) | bs-5092R has been referenced in 1 publications. [IF=3.71] Ślebioda, Tomasz Jerzy, et al. "TL1A as a potential local inducer of IL17A Expression in colon mucosa of inflammatory bowel disease patients."Scandinavian Journal of Immunology (2015). IHC-P ; Human. PubMed:26072972 |
| 规格价格 | 100ul/1380元 购买 200ul/2200元 购买 大包装/询价 |
| 说 明 书 | 100ul 200ul |
| 研究领域 | 肿瘤 细胞生物 免疫学 转录调节因子 细胞膜受体 血管内皮细胞 |
| 抗体来源 | Rabbit |
| 克隆类型 | Polyclonal |
| 交叉反应 | Human, Mouse, Rat, Dog, Pig, Cow, Horse, Rabbit, Guinea Pig, |
| 产品应用 | WB=1:500-2000 ELISA=1:500-1000 IHC-P=1:400-800 IHC-F=1:400-800 IF=1:100-500 (石蜡切片需做抗原修复) not yet tested in other applications. optimal dilutions/concentrations should be determined by the end user. |
| 分 子 量 | 28kDa |
| 细胞定位 | 细胞膜 分泌型蛋白 |
| 性 状 | Lyophilized or Liquid |
| 浓 度 | 1mg/ml |
| 免 疫 原 | KLH conjugated synthetic peptide derived from human TNFSF15:161-251/251 <Extracellular> |
| 亚 型 | IgG |
| 纯化方法 | affinity purified by Protein A |
| 储 存 液 | 0.01M TBS(pH7.4) with 1% BSA, 0.03% Proclin300 and 50% Glycerol. |
| 保存条件 | Store at -20 °C for one year. Avoid repeated freeze/thaw cycles. The lyophilized antibody is stable at room temperature for at least one month and for greater than a year when kept at -20°C. When reconstituted in sterile pH 7.4 0.01M PBS or diluent of antibody the antibody is stable for at least two weeks at 2-4 °C. |
| PubMed | PubMed |
| 产品介绍 | background: Receptor for TNFRSF25 and TNFRSF6B. Mediates activation of NF-kappa-B. Inhibits vascular endothelial growth and angiogenesis (in vitro). Promotes activation of caspases and apoptosis. Function: Receptor for TNFRSF25 and TNFRSF6B. Mediates activation of NF-kappa-B. Inhibits vascular endothelial growth and angiogenesis (in vitro). Promotes activation of caspases and apoptosis. Subunit: Homotrimer. Subcellular Location: Membrane; Single-pass type II membrane protein (Probable). Tumor necrosis factor ligand superfamily member 15, secreted form: Secreted. Tissue Specificity: Specifically expressed in endothelial cells. Detected in monocytes, placenta, lung, liver, kidney, skeletal muscle, pancreas, spleen, prostate, small intestine and colon. Similarity: Belongs to the tumor necrosis factor family. SWISS: O95150 Gene ID: 9966 Database links: Entrez Gene: 9966 Human Entrez Gene: 326623 Mouse Entrez Gene: 252878 Rat Omim: 604052 Human SwissProt: O95150 Human SwissProt: Q5UBV8 Mouse SwissProt: Q8K3Y7 Rat Unigene: 241382 Human Unigene: 208152 Mouse Unigene: 84873 Rat Important Note: This product as supplied is intended for research use only, not for use in human, therapeutic or diagnostic applications. |
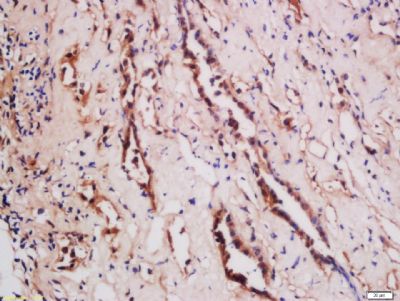
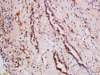
| 产品图片 | ![]() Sample: bone(mouse) Lysate at 40 ug Primary: Anti-TNFSF15 (bs-5092R) at 1/300 dilution Secondary: IRDye800CW Goat Anti-Rabbit IgG at 1/20000 dilution Predicted band size: 28kD Observed band size: 38 kD ![]() Tissue/cell: human kidney tissue; 4% Paraformaldehyde-fixed and paraffin-embedded; Antigen retrieval: citrate buffer ( 0.01M, pH 6.0 ), Boiling bathing for 15min; Block endogenous peroxidase by 3% Hydrogen peroxide for 30min; Blocking buffer (normal goat serum,C-0005) at 37℃ for 20 min; Incubation: Anti-TNFSF15 Polyclonal Antibody, Unconjugated(bs-5092R) 1:200, overnight at 4°C, followed by conjugation to the secondary antibody(SP-0023) and DAB(C-0010) staining |
风险提示:丁香通仅作为第三方平台,为商家信息发布提供平台空间。用户咨询产品时请注意保护个人信息及财产安全,合理判断,谨慎选购商品,商家和用户对交易行为负责。对于医疗器械类产品,请先查证核实企业经营资质和医疗器械产品注册证情况。
文献和实验膜蛋白超家族的研究。目前,这一大家族含有28个受体和18个配体。TNF受体超家族的成员都含有富含胱氨酸的胞外结构域(cysteine rich extracellular domain)。基于受体胞内部分不同,TNF超家族又分为两大类:死亡受体家族和非死亡受体家族。肿瘤坏死因子超家族在免疫与炎症反应中有重要作用,以下着重介绍与细胞凋亡关系密切的死亡受体家族。 (一)死亡受体家族(DeathReceptorFamily) 该家族的胞内部分都含有约80个氨基酸残基组成的介导凋亡区域,即死亡
相关专题 细胞凋亡专题 Fas/Fas L信号通路 最早被证明在细胞凋亡 中起着重要的作用。Fas是一种跨膜蛋白,属于肿瘤坏死因子受体超家族成员,它与FasL结合可以启动凋亡信号的转导引起细胞凋亡 。它的活化包括一系列步骤:首先配体诱导受体三聚体化,然后在细胞膜 上形成凋亡诱导复合物,这个复合物中包括带有死亡结构域的Fas相关蛋白FADD。Fas一旦和配体FasL结合,可通过Fas分子 启动致死性信号转导,最终
-Trp基序和另外三个保守的半胱氨酸残基;②Ⅲ型纤连蛋白(FN3)型结构域:含有Trp-Ser-x-Trp-Ser(WSXWS)的保守序列,是结合配体和信号转导的基础;③免疫球蛋白C2型样(Ig样)结构域:每一个结构域大约有100个氨基酸残基。Ck和FN3结构域与Ig样结构域的空间结构相似。 细胞因子受体超家族结构图 主要包括免疫球蛋白受体超家族(1gR―SF)、I型细胞因子受体家族、Ⅱ型细胞因子受体家族(干扰素受体家族)、Ⅲ型细胞因子受体家族(肿瘤坏死因子受体
技术资料暂无技术资料 索取技术资料













