相关产品推荐更多 >
万千商家帮你免费找货
0 人在求购买到急需产品
- 详细信息
- 文献和实验
- 技术资料
- 供应商:
上海联迈生物工程有限公司
- 库存:
大量
- 目录编号:
LM-5035R
- 克隆性:
多克隆
- 抗原来源:
Rabbit
- 保质期:
1年
- 抗体英文名:
Apolipoprotein A V
- 抗体名:
载脂蛋白A5抗体
- 宿主:
Rabbit
- 适应物种:
Human, Mouse, Rat, Dog, Horse, Rabbit,
- 免疫原:
KLH conjugated synthetic peptide derived from human APOA5:201-300/366
- 亚型:
IgG
- 形态:
Lyophilized or Liquid
- 应用范围:
ELISA=1:500-1000 IHC-P=1:400-800 IHC-F=1:400-800 IF=1:100-500 (石蜡切片需做抗原修复)
- 浓度:
1mg/ml
- 保存条件:
Store at -20 °C
- 规格:
100ul 200ul
| 英文名称 | Apolipoprotein A V |
| 中文名称 | 载脂蛋白A5抗体 |
| 别 名 | APOA5; Apolipoprotein A V; Apo-AV; ApoA-V; Apoa5; APOA5_HUMAN; ApoAV; Apolipoprotein A-V; Apolipoprotein A5; RAP3; Regeneration associated protein 3; Regeneration-associated protein 3. |
| 规格价格 | 100ul/1380元 购买 200ul/2200元 购买 大包装/询价 |
| 说 明 书 | 100ul 200ul |
| 研究领域 | 肿瘤 细胞生物 免疫学 转录调节因子 |
| 抗体来源 | Rabbit |
| 克隆类型 | Polyclonal |
| 交叉反应 | Human, Mouse, Rat, Dog, Horse, Rabbit, |
| 产品应用 | ELISA=1:500-1000 IHC-P=1:400-800 IHC-F=1:400-800 IF=1:100-500 (石蜡切片需做抗原修复) not yet tested in other applications. optimal dilutions/concentrations should be determined by the end user. |
| 分 子 量 | 39kDa |
| 细胞定位 | 分泌型蛋白 |
| 性 状 | Lyophilized or Liquid |
| 浓 度 | 1mg/ml |
| 免 疫 原 | KLH conjugated synthetic peptide derived from human APOA5:201-300/366 |
| 亚 型 | IgG |
| 纯化方法 | affinity purified by Protein A |
| 储 存 液 | 0.01M TBS(pH7.4) with 1% BSA, 0.03% Proclin300 and 50% Glycerol. |
| 保存条件 | Store at -20 °C for one year. Avoid repeated freeze/thaw cycles. The lyophilized antibody is stable at room temperature for at least one month and for greater than a year when kept at -20°C. When reconstituted in sterile pH 7.4 0.01M PBS or diluent of antibody the antibody is stable for at least two weeks at 2-4 °C. |
| PubMed | PubMed |
| 产品介绍 | background: The protein encoded by this gene is an apolipoprotein that plays an important role in regulating the plasma triglyceride levels, a major risk factor for coronary artery disease. It is a component of high density lipoprotein and is highly similar to a rat protein that is upregulated in response to liver injury. Mutations in this gene have been associated with hypertriglyceridemia and hyperlipoproteinemia type 5. This gene is located proximal to the apolipoprotein gene cluster on chromosome 11q23. Alternatively spliced transcript variants encoding the same protein have been identified. [provided by RefSeq, Oct 2009]. Function: Minor apolipoprotein mainly associated with HDL and to a lesser extent with VLDL. May also be associated with chylomicrons. Important determinant of plasma triglyceride (TG) levels by both being a potent stimulator of apo-CII lipoprotein lipase (LPL) TG hydrolysis and a inhibitor of the hepatic VLDL-TG production rate (without affecting the VLDL-apoB production rate). Activates poorly lecithin:cholesterol acyltransferase (LCAT) and does not enhance efflux of cholesterol from macrophages. Subunit: Interacts with GPIHBP1. Subcellular Location: Secreted. Tissue Specificity: Liver and plasma. Post-translational modifications: Phosphorylation sites are present in the extracellular medium. DISEASE: Defects in APOA5 are a cause of hyperlipoproteinemia type 5 (HLPP5) [MIM:144650]. HLPP5 is characterized by increased amounts of chylomicrons and very low density lipoprotein (VLDL) and decreased low density lipoprotein (LDL) and high density lipoprotein (HDL) in the plasma after a fast. Numerous conditions cause this phenotype, including insulin-dependent diabetes mellitus, contraceptive steroids, alcohol abuse, and glycogen storage disease type 1A (GSD1A) [MIM:232200]. Similarity: Belongs to the apolipoprotein A1/A4/E family. SWISS: Q6Q788 Gene ID: 116519 Database links: Entrez Gene: 116519 Human Omim: 606368 Human SwissProt: Q6Q788 Human Unigene: 283923 Human Important Note: This product as supplied is intended for research use only, not for use in human, therapeutic or diagnostic applications. |
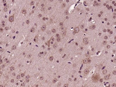
| 产品图片 | ![]() Paraformaldehyde-fixed, paraffin embedded (Mouse brain); Antigen retrieval by boiling in sodium citrate buffer (pH6.0) for 15min; Block endogenous peroxidase by 3% hydrogen peroxide for 20 minutes; Blocking buffer (normal goat serum) at 37°C for 30min; Antibody incubation with (Apolipoprotein A V) Polyclonal Antibody, Unconjugated (bs-5035R) at 1:400 overnight at 4°C, followed by operating according to SP Kit(Rabbit) (sp-0023) instructionsand DAB staining. |
风险提示:丁香通仅作为第三方平台,为商家信息发布提供平台空间。用户咨询产品时请注意保护个人信息及财产安全,合理判断,谨慎选购商品,商家和用户对交易行为负责。对于医疗器械类产品,请先查证核实企业经营资质和医疗器械产品注册证情况。
文献和实验of apolipoprotein AI and B,Clin Chem,1991,37:1676 10.陶义训主编.免疫学和免疫学检验,北京:人民卫生出版社,1989 11.刘秉文.载脂蛋白AⅠ及B测定标准化问题第一次调查报告.生命的化学,1991,11:41 12.钱士匀,周新.光谱技术.见:王霞文主编.临床生化检验技术.南京:南京大学出版,1995,1~15 13.贺小玲等.双试剂双波长检测载脂蛋白AⅠ,B-100、CⅡ的方法学探讨,中国实验临床免疫学杂志,1997 14.Edward SG
技术资料暂无技术资料 索取技术资料











