相关产品推荐更多 >
万千商家帮你免费找货
0 人在求购买到急需产品
- 详细信息
- 文献和实验
- 技术资料
- 供应商:
上海联迈生物工程有限公司
- 库存:
大量
- 目录编号:
LM-4496R
- 克隆性:
多克隆
- 抗原来源:
Rabbit
- 保质期:
1年
- 抗体英文名:
Atp1a2
- 抗体名:
钠/钾离子转运ATP酶α2抗体
- 宿主:
Rabbit
- 适应物种:
Human, Mouse, Rat, Chicken, Dog, Pig, Cow, Rabbit, Sheep,
- 免疫原:
KLH conjugated synthetic peptide derived from human Atp1a2:851-950/1020
- 亚型:
IgG
- 形态:
Lyophilized or Liquid
- 应用范围:
ELISA=1:500-1000 IHC-P=1:400-800 IHC-F=1:400-800 ICC=1:100-500 IF=1:100-500 (石蜡切片需做抗原修复)
- 浓度:
1mg/ml
- 保存条件:
Store at -20 °C
- 规格:
100ul 200ul
| 英文名称 | Atp1a2 |
| 中文名称 | 钠/钾离子转运ATP酶α2抗体 |
| 别 名 | AT1A2_HUMAN ; Atp1a2 ; FHM2 ; KIAA0778 ; MHP2 ; Na(+)/K(+) ATPase alpha-2 subunit ; Na+/K+ ATPase alpha 2 subunit ; Sodium potassium ATPase ; Sodium pump subunit alpha 2 ; Sodium pump subunit alpha-2 ; Sodium/potassium transporting ATPase alpha 2 chain ; Sodium/potassium transporting ATPase subunit alpha 2 ; Sodium/potassium-transporting ATPase subunit alpha-2。 |
| 规格价格 | 100ul/1380元 购买 200ul/2200元 购买 大包装/询价 |
| 说 明 书 | 100ul 200ul |
| 研究领域 | 肿瘤 细胞生物 信号转导 转运蛋白 |
| 抗体来源 | Rabbit |
| 克隆类型 | Polyclonal |
| 交叉反应 | Human, Mouse, Rat, Chicken, Dog, Pig, Cow, Rabbit, Sheep, |
| 产品应用 | ELISA=1:500-1000 IHC-P=1:400-800 IHC-F=1:400-800 ICC=1:100-500 IF=1:100-500 (石蜡切片需做抗原修复) not yet tested in other applications. optimal dilutions/concentrations should be determined by the end user. |
| 分 子 量 | 112kDa |
| 细胞定位 | 细胞膜 |
| 性 状 | Lyophilized or Liquid |
| 浓 度 | 1mg/ml |
| 免 疫 原 | KLH conjugated synthetic peptide derived from human Atp1a2:851-950/1020 |
| 亚 型 | IgG |
| 纯化方法 | affinity purified by Protein A |
| 储 存 液 | 0.01M TBS(pH7.4) with 1% BSA, 0.03% Proclin300 and 50% Glycerol. |
| 保存条件 | Store at -20 °C for one year. Avoid repeated freeze/thaw cycles. The lyophilized antibody is stable at room temperature for at least one month and for greater than a year when kept at -20°C. When reconstituted in sterile pH 7.4 0.01M PBS or diluent of antibody the antibody is stable for at least two weeks at 2-4 °C. |
| PubMed | PubMed |
| 产品介绍 | background: The protein encoded by this gene belongs to the family of P-type cation transport ATPases, and to the subfamily of Na+/K+ -ATPases. Na+/K+ -ATPase is an integral membrane protein responsible for establishing and maintaining the electrochemical gradients of Na and K ions across the plasma membrane. These gradients are essential for osmoregulation, for sodium-coupled transport of a variety of organic and inorganic molecules, and for electrical excitability of nerve and muscle. This enzyme is composed of two subunits, a large catalytic subunit (alpha) and a smaller glycoprotein subunit (beta). The catalytic subunit of Na+/K+ -ATPase is encoded by multiple genes. This gene encodes an alpha 2 subunit. Mutations in this gene result in familial basilar or hemiplegic migraines, and in a rare syndrome known as alternating hemiplegia of childhood. [provided by RefSeq, Oct 2008] Function: This is the catalytic component of the active enzyme, which catalyzes the hydrolysis of ATP coupled with the exchange of sodium and potassium ions across the plasma membrane. This action creates the electrochemical gradient of sodium and potassium, providing the energy for active transport of various nutrients. Subcellular Location: Membrane. Cell membrane. DISEASE: Defects in ATP1A2 are the cause of migraine familial hemiplegic type 2 (FHM2) [MIM:602481]. FHM2 is a rare, severe, autosomal dominant subtype of migraine characterized by aura and some hemiparesis. Defects in ATP1A2 are a cause of alternating hemiplegia of childhood (AHC) [MIM:104290]. AHC is typically distinguished from familial hemiplegic migraine by infantile onset of the symptoms and high prevalence of associated neurological deficits that become increasingly obvious with age. Similarity: Belongs to the cation transport ATPase (P-type) (TC 3.A.3) family. Type IIC subfamily. SWISS: P50993 Gene ID: 477 Database links: Entrez Gene: 477 Human Entrez Gene: 98660 Mouse Entrez Gene: 24212 Rat Omim: 182340 Human SwissProt: P50993 Human SwissProt: Q6PIE5 Mouse SwissProt: P06686 Rat Unigene: 34114 Human Unigene: 207432 Mouse Unigene: 1042 Rat Unigene: 214222 Rat Important Note: This product as supplied is intended for research use only, not for use in human, therapeutic or diagnostic applications. |
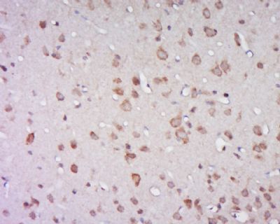
| 产品图片 | ![]() Tissue/cell: rat brain tissue; 4% Paraformaldehyde-fixed and paraffin-embedded; Antigen retrieval: citrate buffer ( 0.01M, pH 6.0 ), Boiling bathing for 15min; Block endogenous peroxidase by 3% Hydrogen peroxide for 30min; Blocking buffer (normal goat serum,C-0005) at 37℃ for 20 min; Incubation: Anti-Atp1a2 Polyclonal Antibody, Unconjugated(bs-4496R) 1:500, overnight at 4°C, followed by conjugation to the secondary antibody(SP-0023) and DAB(C-0010) staining |
风险提示:丁香通仅作为第三方平台,为商家信息发布提供平台空间。用户咨询产品时请注意保护个人信息及财产安全,合理判断,谨慎选购商品,商家和用户对交易行为负责。对于医疗器械类产品,请先查证核实企业经营资质和医疗器械产品注册证情况。
文献和实验尔化学奖。第二节、主动运输 主动运输的特点是: ①逆浓度梯度(逆化学梯度)运输; ②需要能量; ③都有载体蛋白。 主动运输所需的能量来源主要有: ①协同运输中的离子梯度动力; ②ATP驱动的泵通过水解ATP获得能量; ③光驱动的泵利用光能运输物质,见于细菌。 一、钠钾泵 构成:由2个大亚基、2个小亚基组成的4聚体,实际上就是Na+-K+ATP酶,分布于动物细胞的质膜。 工作原理: Na+-K+ATP酶通过磷酸化和去磷酸化过程发生构象的变化,导致与Na+、K+的亲和力发生变化。在膜
.5 g 氟化钠。贮存在室温,最多保存一个月。 ( 6 ) 0.2 mol/L pH 7.8 的磷酸盐缓冲液贮存液:在 50 ml 的水中溶解 1.4 g KH2PO4。在 500 ml 的水中溶解 17.4 g K2HPO4。混合两种贮存液,配制成 550 ml 的 0.2 mol/L 磷酸盐缓冲液,pH 7.8。贮存在 -20°C,可放置数月。 2. 缓冲液 ( 1 ) 悬浮细胞的洗涤缓冲液(WBSC ):20 mmol/L 氯化钾,5 mmol/L EDTA。这个缓冲液是从
。 ③钠、钾、钙与高血压临床与实验材料证明,食盐与高血压的发生有密切关系:例如①食盐摄入量与本病发病率呈正相关,摄取食盐多的地区(如日本本士和我国北京地区)发病率较食盐较少地区(如阿拉斯加的爱斯基摩人和我国广州地区)高;而牙买加某岛上居民食盐摄入量每人<2g/d,就无高血压发生。②给SHR大鼠喂低盐饮食,仅发生轻度高血压;但给予高盐饮食则迅速出现重度高血压。③限制食盐的摄入量或服用利尿药增加排钠量,对某原发性高血压患者有较好的降压作用。 关于食盐引起高血压的机制,尚不
技术资料暂无技术资料 索取技术资料











