相关产品推荐更多 >
万千商家帮你免费找货
0 人在求购买到急需产品
- 详细信息
- 文献和实验
- 技术资料
- 供应商:
上海联迈生物工程有限公司
- 库存:
大量
- 目录编号:
LM-3953R
- 克隆性:
多克隆
- 抗原来源:
Rabbit
- 保质期:
1年
- 抗体英文名:
COX1/MTCO1
- 抗体名:
细胞色素c氧化酶1抗体
- 宿主:
Rabbit
- 适应物种:
Human, Mouse, Rat, Chicken, Dog, Pig, Cow, Horse, Rabbit,
- 免疫原:
KLH conjugated synthetic peptide derived from human COX1:401-500/513
- 亚型:
IgG
- 形态:
Lyophilized or Liquid
- 应用范围:
WB=1:500-2000 ELISA=1:500-1000 IHC-P=1:400-800 IHC-F=1:400-800 ICC=1:100-500 IF=1:100-500 (石蜡切片需做抗原修复)
- 浓度:
1mg/ml
- 保存条件:
Store at -20 °C
- 规格:
50ul 100ul 200ul
| 英文名称 | COX1/MTCO1 |
| 中文名称 | 细胞色素c氧化酶1抗体 |
| 别 名 | COI; COX I; COXI; Cytochrome oxidase 1; Cytochrome c oxidase polypeptide I; Cytochrome C Oxidase subunit I; Mitochondrially encoded cytochrome c oxidase I; MT CO1; MTCO 1; MTCO1; MT-CO1; MTCO1; Cytochrome c oxidase subunit 1; COX1_HUMAN. |
| 规格价格 | 50ul/780元 购买 100ul/1380元 购买 200ul/2200元 购买 大包装/询价 |
| 说 明 书 | 50ul 100ul 200ul |
| 研究领域 | 肿瘤 细胞生物 免疫学 转录调节因子 激酶和磷酸酶 线粒体 |
| 抗体来源 | Rabbit |
| 克隆类型 | Polyclonal |
| 交叉反应 | Human, Mouse, Rat, Chicken, Dog, Pig, Cow, Horse, Rabbit, |
| 产品应用 | WB=1:500-2000 ELISA=1:500-1000 IHC-P=1:400-800 IHC-F=1:400-800 ICC=1:100-500 IF=1:100-500 (石蜡切片需做抗原修复) not yet tested in other applications. optimal dilutions/concentrations should be determined by the end user. |
| 分 子 量 | 57kDa |
| 细胞定位 | 细胞浆 细胞膜 线粒体 |
| 性 状 | Lyophilized or Liquid |
| 浓 度 | 1mg/ml |
| 免 疫 原 | KLH conjugated synthetic peptide derived from human COX1:401-500/513 |
| 亚 型 | IgG |
| 纯化方法 | affinity purified by Protein A |
| 储 存 液 | 0.01M TBS(pH7.4) with 1% BSA, 0.03% Proclin300 and 50% Glycerol. |
| 保存条件 | Store at -20 °C for one year. Avoid repeated freeze/thaw cycles. The lyophilized antibody is stable at room temperature for at least one month and for greater than a year when kept at -20°C. When reconstituted in sterile pH 7.4 0.01M PBS or diluent of antibody the antibody is stable for at least two weeks at 2-4 °C. |
| PubMed | PubMed |
| 产品介绍 | background: Cytochrome c oxidase subunit I (COI or MTCO1) is one of three mitochondrial DNA (mtDNA) encoded subunits (MTCO1, MTCO2, MTCO3) of respiratory Complex IV. Complex IV is located within the mitochondrial inner membrane and is the third and final enzyme of the electron transport chain of mitochondrial oxidative phosphorylation. Complex IV is composed of 13 polypeptides. Subunits I, II, and III (MTCO1, MTCO2, MTCO3) are encoded by mtDNA while subunits IV, Va, Vb, VIa, VIb, VIc, VIIa, VIIb, VIIc, and VIII are nuclear encoded. Mammalian MTCO1 has 12 membrane-spanning alpha-helices (I to XII). Function: Cytochrome c oxidase is the component of the respiratory chain that catalyzes the reduction of oxygen to water. Subunits 1-3 form the functional core of the enzyme complex. CO I is the catalytic subunit of the enzyme. Electrons originating in cytochrome c are transferred via the copper A center of subunit 2 and heme A of subunit 1 to the bimetallic center formed by heme A3 and copper B. Subcellular Location: Mitochondrion inner membrane; Multi-pass membrane protein. DISEASE: Defects in MT-CO1 are a cause of Leber hereditary optic neuropathy (LHON) [MIM:535000]. LHON is a maternally inherited disease resulting in acute or subacute loss of central vision, due to optic nerve dysfunction. Cardiac conduction defects and neurological defects have also been described in some patients. LHON results from primary mitochondrial DNA mutations affecting the respiratory chain complexes. Note=MT-CO1 may play a role in the pathogenesis of acquired idiopathic sideroblastic anemia, a disease characterized by inadequate formation of heme and excessive accumulation of iron in mitochondria. Mitochondrial iron overload may be attributable to mutations of mitochondrial DNA because these can cause respiratory chain dysfunction, thereby impairing reduction of ferric iron to ferrous iron. The reduced form of iron is essential to the last step of mitochondrial heme biosynthesis. Defects in MT-CO1 are a cause of mitochondrial complex IV deficiency (MT-C4D) [MIM:220110]; also known as cytochrome c oxidase deficiency. A disorder of the mitochondrial respiratory chain with heterogeneous clinical manifestations, ranging from isolated myopathy to severe multisystem disease affecting several tissues and organs. Features include hypertrophic cardiomyopathy, hepatomegaly and liver dysfunction, hypotonia, muscle weakness, excercise intolerance, developmental delay, delayed motor development and mental retardation. A subset of patients manifest Leigh syndrome. Defects in MT-CO1 are associated with recurrent myoglobinuria mitochondrial (RM-MT) [MIM:550500]. Recurrent myoglobinuria is characterized by recurrent attacks of rhabdomyolysis (necrosis or disintegration of skeletal muscle) associated with muscle pain and weakness, and followed by excretion of myoglobin in the urine. Defects in MT-CO1 are a cause of deafness sensorineural mitochondrial (DFNM) [MIM:500008]. DFNM is a form of non-syndromic deafness with maternal inheritance. Affected individuals manifest progressive, postlingual, sensorineural hearing loss involving high frequencies. Defects in MT-CO1 are a cause of colorectal cancer (CRC) [MIM:114500]. Similarity: Belongs to the heme-copper respiratory oxidase family. SWISS: P00395 Gene ID: 4512 Database links: Entrez Gene: 281919 Cow Entrez Gene: 4512 Human Entrez Gene: 17708 Mouse Entrez Gene: 26195 Rat Entrez Gene: 140539 Zebrafish Omim: 516030 Human SwissProt: P00396 Cow SwissProt: P00395 Human SwissProt: P00397 Mouse SwissProt: P05503 Rat SwissProt: Q9MIY8 Zebrafish Important Note: This product as supplied is intended for research use only, not for use in human, therapeutic or diagnostic applications. |
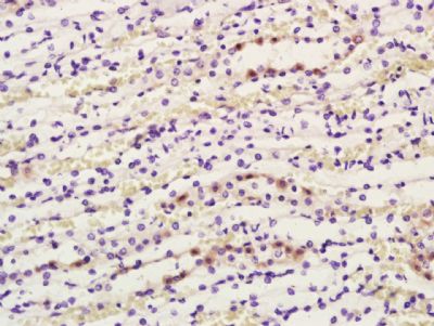
| 产品图片 | ![]() Paraformaldehyde-fixed, paraffin embedded (Rat kidney); Antigen retrieval by boiling in sodium citrate buffer (pH6.0) for 15min; Block endogenous peroxidase by 3% hydrogen peroxide for 20 minutes; Blocking buffer (normal goat serum) at 37°C for 30min; Antibody incubation with (COX1) Polyclonal Antibody, Unconjugated (bs-3953R) at 1:500 overnight at 4°C, followed by a conjugated secondary (sp-0023) for 20 minutes and DAB staining. |
风险提示:丁香通仅作为第三方平台,为商家信息发布提供平台空间。用户咨询产品时请注意保护个人信息及财产安全,合理判断,谨慎选购商品,商家和用户对交易行为负责。对于医疗器械类产品,请先查证核实企业经营资质和医疗器械产品注册证情况。
文献和实验一、铜 成人体内含铜量约100-50mg,在肝、肾、心、毛发及脑中含量较高。人体每日需要量约1.5-2.0mg,而推荐量为2-3mg。 食物中铜主要在胃和小肠上部吸收,吸收后送至肝脏,在肝脏中参与铜蓝蛋白(coruloplasmin)的组成。肝脏是调节体内铜代谢的主要器官。铜可经胆汁排出,极少部分由尿排出。 体内铜除参与构成铜兰蛋白(见血液生化)外,还参与多种酶的构成,如细胞色素C氧化酶、酪氨酸酶、赖氨酸氧化酶,多巴胺β羟化酶、单胺氧化酶、超氧
指出不同的看家基因,让您用来确保质量。Moehlenbrock表示:“在某些情况下,我们会提供分析的建议。”例如,Sigma-Aldrich Mitochondria Isolation Kit的技术指南建议检查细胞色素c氧化酶活性和柠檬酸合酶活性,以确认外膜和内膜的完整性。 Cell Signaling Technology也提供Cell Fractionation Antibody Sampler Kit,作为分级分离试剂盒的伴随产品。生产科学家Jim Cormier介绍,当您在运行
删除突变的drs基因分析揭示,C末端区以及3个一致重复的N末端区都出现凋亡。Caspase-12、Caspase –9以及Caspase-3都继续被drs激活,Caspase--3,和Caspase-9的抑制剂都抑制drs引起的凋亡。在凋亡过程中没有看到因drs引起线粒体细胞色素C释放到细胞质去,这表明线粒体途径不是drs介导的凋亡,而且,研究人员发现,Drs蛋白能与定位在内质网的凋亡蛋白ASY/Nogo-B/RTN-x(S)结合,并且这些基因共同表达增加了凋亡的效果。这项研究结果提示,由ASY
技术资料暂无技术资料 索取技术资料











