相关产品推荐更多 >
万千商家帮你免费找货
0 人在求购买到急需产品
- 详细信息
- 文献和实验
- 技术资料
- 供应商:
上海联迈生物工程有限公司
- 库存:
大量
- 目录编号:
LM-3875R
- 克隆性:
多克隆
- 抗原来源:
Rabbit
- 保质期:
1年
- 抗体英文名:
Peroxiredoxin 1
- 抗体名:
过氧化还原酶1抗体
- 宿主:
Rabbit
- 适应物种:
Human, Mouse, Rat, Dog, Cow, Horse, Rabbit,
- 免疫原:
KLH conjugated synthetic peptide derived from human PRDX1 (51-95aa):1-100/199
- 亚型:
IgG
- 形态:
Lyophilized or Liquid
- 应用范围:
WB=1:500-2000 ELISA=1:500-1000 IHC-P=1:400-800 IHC-F=1:400-800 Flow-Cyt=1μg/Test IF=1:100-500 (石蜡切片需做抗原修复)
- 浓度:
1mg/ml
- 保存条件:
Store at -20 °C
- 规格:
100ul 200ul
| 英文名称 | Peroxiredoxin 1 |
| 中文名称 | 过氧化还原酶1抗体 |
| 别 名 | Peroxiredoxin-1; Peroxiredoxin 1; Prdx 1; Prdx1; PRDX1_HUMAN; Hbp23; Heme binding 23 kDa protein; Macrophage 23 Kd stress protein; Macrophage 23kDa stress protein; Macrophase stress protein 22kDa; Macrophase stress protein 23 kd; MSP23; Natural killer cell enhancing factor A; Natural killer cell-enhancing factor A; Natural killer enhancing factor A; NKEF A; NKEF-A; NkefA; OSF3; Osteoblast specific factor 3; PAG; Paga; PAGB; Proliferation associated gene A; Proliferation associated protein PAG; Proliferation-associated gene protein; PrxI; Tdpx 2; Tdpx2; TDX2; Thioredoxin dependent peroxide reductase 2; Thioredoxin peroxidase 2; Thioredoxin-dependent peroxide reductase 2; TPxA; Trx dependent peroxide reductase 2. |
![]() |
Specific References (2) | bs-3875R has been referenced in 2 publications. [IF=2.86] Fu, Qiang, et al. "Proteome Profile and Quantitative Proteomic Analysis of Buffalo (Bubalusbubalis) Follicular Fluid during Follicle Development."International Journal of Molecular Sciences 17.5 (2016): 618. WB ; Other Species. PubMed:27136540 [IF=2.15] Sun, Qi-Kai, et al. "Diagnostic and prognostic significance of peroxiredoxin 1 expression in human hepatocellular carcinoma." Medical Oncology 31.1 (2014): 1-9. IHC-P ; Human. PubMed:24297309 |
| 规格价格 | 100ul/1380元 购买 200ul/2200元 购买 大包装/询价 |
| 说 明 书 | 100ul 200ul |
| 研究领域 | 肿瘤 细胞生物 免疫学 |
| 抗体来源 | Rabbit |
| 克隆类型 | Polyclonal |
| 交叉反应 | Human, Mouse, Rat, Dog, Cow, Horse, Rabbit, |
| 产品应用 | WB=1:500-2000 ELISA=1:500-1000 IHC-P=1:400-800 IHC-F=1:400-800 Flow-Cyt=1μg/Test IF=1:100-500 (石蜡切片需做抗原修复) not yet tested in other applications. optimal dilutions/concentrations should be determined by the end user. |
| 分 子 量 | 22kDa |
| 细胞定位 | 细胞浆 细胞膜 |
| 性 状 | Lyophilized or Liquid |
| 浓 度 | 1mg/ml |
| 免 疫 原 | KLH conjugated synthetic peptide derived from human PRDX1 (51-95aa):1-100/199 |
| 亚 型 | IgG |
| 纯化方法 | affinity purified by Protein A |
| 储 存 液 | 0.01M TBS(pH7.4) with 1% BSA, 0.03% Proclin300 and 50% Glycerol. |
| 保存条件 | Store at -20 °C for one year. Avoid repeated freeze/thaw cycles. The lyophilized antibody is stable at room temperature for at least one month and for greater than a year when kept at -20°C. When reconstituted in sterile pH 7.4 0.01M PBS or diluent of antibody the antibody is stable for at least two weeks at 2-4 °C. |
| PubMed | PubMed |
| 产品介绍 | background: This gene encodes a member of the peroxiredoxin family of antioxidant enzymes, which reduce hydrogen peroxide and alkyl hydroperoxides. The encoded protein may play an antioxidant protective role in cells, and may contribute to the antiviral activity of CD8(+) T-cells. This protein may have a proliferative effect and play a role in cancer development or progression. Four transcript variants encoding the same protein have been identified for this gene. [provided by RefSeq, Jan 2011]. Function: Involved in redox regulation of the cell. Reduces peroxides with reducing equivalents provided through the thioredoxin system but not from glutaredoxin. May play an important role in eliminating peroxides generated during metabolism. Might participate in the signaling cascades of growth factors and tumor necrosis factor-alpha by regulating the intracellular concentrations of H(2)O(2). Reduces an intramolecular disulfide bond in GDPD5 that gates the ability to GDPD5 to drive postmitotic motor neuron differentiation. Subunit: Homodimer; disulfide-linked, upon oxidation. May form heterodimers with AOP2. Interacts with GDPD5; forms a mixed-disulfide with GDPD5 (By similarity). Subcellular Location: Cytoplasm. Melanosome. Post-translational modifications: Phosphorylated on Thr-90 during the M-phase, which leads to a more than 80% decrease in enzymatic activity. Similarity: Belongs to the AhpC/TSA family. Contains 1 thioredoxin domain. SWISS: Q06830 Gene ID: 5052 Database links: Entrez Gene: 281997 Cow Entrez Gene: 5052 Human Entrez Gene: 18477 Mouse Entrez Gene: 117254 Rat Omim: 176763 Human SwissProt: Q9JKY1 Chinese Hamster SwissProt: Q06830 Human SwissProt: P35700 Mouse SwissProt: Q63716 Rat Unigene: 180909 Human Unigene: 30929 Mouse Unigene: 2845 Rat Important Note: This product as supplied is intended for research use only, not for use in human, therapeutic or diagnostic applications. 该蛋白定位于细胞质。 |
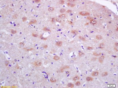
| 产品图片 | ![]() Tissue/cell: Rat brain; 4% Paraformaldehyde-fixed and paraffin-embedded; Antigen retrieval: citrate buffer ( 0.01M, pH 6.0 ), Boiling bathing for 15min; Block endogenous peroxidase by 3% Hydrogen peroxide for 30min; Blocking buffer (normal goat serum,C-0005) at 37℃ for 20 min; Incubation: Anti-PRDX1 Polyclonal Antibody, Unconjugated(bs-3875R) 1:200, overnight at 4°C, followed by conjugation to the secondary antibody(SP-0023) and DAB(C-0010) staining ![]() Blank control (Black line): Mouse spleen (Black). Primary Antibody (green line): Rabbit Anti-Peroxiredoxin 1 antibody (bs-3875R) Dilution: 1μg /10^6 cells; Isotype Control Antibody (orange line): Rabbit IgG . Dilution: 3μg /test. Protocol The cells were fixed with 4% PFA (10min at room temperature)and then permeabilized with 20% PBST for 20 min at room temperature. The cells were then incubated in 5%BSA to block non-specific protein-protein interactions for 30 min at room temperature .Cells stained with Primary Antibody for 30 min at room temperature. Acquisition of 20,000 events was performed. ![]() Blank control: mouse splenocytes(blue) Isotype Control Antibody: Rabbit IgG(orange) ; Secondary Antibody: Goat anti-rabbit IgG-FITC(white blue), Dilution: 1:100 in 1 X PBS containing 0.5% BSA ; Primary Antibody Dilution: 1μl in 100 μL1X PBS containing 0.5% BSA(green). |
风险提示:丁香通仅作为第三方平台,为商家信息发布提供平台空间。用户咨询产品时请注意保护个人信息及财产安全,合理判断,谨慎选购商品,商家和用户对交易行为负责。对于医疗器械类产品,请先查证核实企业经营资质和医疗器械产品注册证情况。
文献和实验氧化还原酶 oxidoreductase 催化氧化还原的酶。酶分类中的主群之一。 IUB酶命名委员会的酶编号的第 1位以 I表示。生物体内的氧化还原反应的类型存在着氢原子对的移动(传递)、电子的移动,或氧原子添加型。可以认为氢原子( H)是氢离子( H ) 电子,并与电子等价;起着还原剂的作用。给出电子或 H使本身氧化的物质称为电子供体或氢供体。将起氧化剂作用的,并将电子或氢接受下来、本身被还原的物质称为电子受体或氢受体。氧化还原酶对于电子供体和受体的一方或两方都有特异性。并根据其特异
上海西唐生物科技有限公司 021-55229872, 65333639 www.westang.com 大鼠氧化还原酶 -1(NQO-1)ELISA 试剂盒 ( 用于血清、血浆、细胞培养上清液和尿液生物体液内 ) 原理 本实验采用双抗体夹心 ABC-ELISA 法。用抗大鼠 NQO-1 单抗包被于酶标板上,标准品和样品中的 NQO-1 与单抗结合,加入生物素化的抗大鼠 NQO-1 ,形成免疫复合物连接
上海西唐生物科技有限公司 021-55229872, 65333639 www.westang.com 人 26S 蛋白酶体 (26S PSM)ELISA 试剂盒 ( 用于血清、血浆、细胞培养上清液和尿液、唾液生物体液内 ) 原理 本实验采用双抗体夹心 ABC-ELISA 法。用抗人 26S PSM 单抗包被于酶标板上,标准品和样品中的 26S PSM 与单抗结合,加入生物素化的抗人 26S PSM
技术资料暂无技术资料 索取技术资料













