相关产品推荐更多 >
万千商家帮你免费找货
0 人在求购买到急需产品
- 详细信息
- 文献和实验
- 技术资料
- 供应商:
上海联迈生物工程有限公司
- 库存:
大量
- 目录编号:
LM-1383R
- 克隆性:
多克隆
- 抗原来源:
Rabbit
- 保质期:
1年
- 抗体英文名:
CD13
- 抗体名:
CD13氨肽酶N抗体
- 宿主:
Rabbit
- 适应物种:
Human, Mouse, Rat,
- 免疫原:
KLH conjugated synthetic peptide derived from human CD13:344-444/444 <Cytoplasmic>
- 亚型:
IgG
- 形态:
Lyophilized or Liquid
- 应用范围:
ELISA=1:500-1000 IHC-P=1:400-800 IHC-F=1:400-800 Flow-Cyt=1µg/Test IF=1:100-500 (石蜡切片需做抗原修复)
- 浓度:
1mg/ml
- 保存条件:
Store at -20 °C
- 规格:
50ul 100ul 200ul
| 英文名称 | CD13 |
| 中文名称 | CD13氨肽酶N抗体 |
| 别 名 | ANPEN; Aminopeptidase N; Alanyl aminopeptidase; Alanyl membrane aminopeptidase; Aminopeptidase M; Aminopeptidase N; ANPEP; APN; CD 13; CD13 antigen; gp150; hAPN; Lap 1; Lap1; Alanyl (membrane) aminopeptidase; AMPN_HUMAN; AP M; AP N; AP-M; AP-N; CD13; LAP 1; LAP1; PEPN; Microsomal aminopeptidase; Myeloid plasma membrane glycoprotein CD13; p150. |
| 规格价格 | 50ul/780元 购买 100ul/1380元 购买 200ul/2200元 购买 大包装/询价 |
| 说 明 书 | 50ul 100ul 200ul |
| 研究领域 | 肿瘤 细胞生物 干细胞 细胞表面分子 |
| 抗体来源 | Rabbit |
| 克隆类型 | Polyclonal |
| 交叉反应 | Human, Mouse, Rat, |
| 产品应用 | ELISA=1:500-1000 IHC-P=1:400-800 IHC-F=1:400-800 Flow-Cyt=1µg/Test IF=1:100-500 (石蜡切片需做抗原修复) not yet tested in other applications. optimal dilutions/concentrations should be determined by the end user. |
| 分 子 量 | 109kDa |
| 细胞定位 | 细胞膜 |
| 性 状 | Lyophilized or Liquid |
| 浓 度 | 1mg/ml |
| 免 疫 原 | KLH conjugated synthetic peptide derived from human CD13:344-444/444 <Cytoplasmic> |
| 亚 型 | IgG |
| 纯化方法 | affinity purified by Protein A |
| 储 存 液 | 0.01M TBS(pH7.4) with 1% BSA, 0.03% Proclin300 and 50% Glycerol. |
| 保存条件 | Store at -20 °C for one year. Avoid repeated freeze/thaw cycles. The lyophilized antibody is stable at room temperature for at least one month and for greater than a year when kept at -20°C. When reconstituted in sterile pH 7.4 0.01M PBS or diluent of antibody the antibody is stable for at least two weeks at 2-4 °C. |
| PubMed | PubMed |
| 产品介绍 | background: Broad specificity aminopeptidase. Plays a role in the final digestion of peptides generated from hydrolysis of proteins by gastric and pancreatic proteases. May play a critical role in the pathogenesis of cholesterol gallstone disease. May be involved in the metabolism of regulatory peptides of diverse cell types including small intestinal and tubular epithelial cells, macrophages, granulocytes and synaptic membranes from the CNS. Found to cleave antigen peptides bound to major histocompatibility complex class II molecules of presenting cells and to degrade neurotransmitters at synaptic junctions. Is also implicated as a regulator of IL-8 bioavailability in the endometrium, and therefore may contribute to the regulation of angiogenesis. Is used as a marker for acute myeloid leukemia and plays a role in tumor invasion. In case of human coronavirus 229E (HCoV-229E) infection, serves as receptor for HCoV-229E spike glycoprotein. Mediates as well human cytomegalovirus (HCMV) infection. Expressed in epithelial cells. Belongs to the peptidase M1 family. Function: Broad specificity aminopeptidase. Plays a role in the final digestion of peptides generated from hydrolysis of proteins by gastric and pancreatic proteases. May play a critical role in the pathogenesis of cholesterol gallstone disease. May be involved in the metabolism of regulatory peptides of diverse cell types, responsible for the processing of peptide hormones, such as angiotensin III and IV, neuropeptides, and chemokines. Found to cleave antigen peptides bound to major histocompatibility complex class II molecules of presenting cells and to degrade neurotransmitters at synaptic junctions. Is also implicated as a regulator of IL-8 bioavailability in the endometrium, and therefore may contribute to the regulation of angiogenesis. Is used as a marker for acute myeloid leukemia and plays a role in tumor invasion. In case of human coronavirus 229E (HCoV-229E) infection, serves as receptor for HCoV-229E spike glycoprotein. Mediates as well human cytomegalovirus (HCMV) infection. Subunit: Homodimer. Interacts with the S1 domain of HCoV-229E spike protein. Subcellular Location: Cell membrane; Single-pass type II membrane protein. Cytoplasm, cytosol (Potential). Note=A soluble form has also been detected. Tissue Specificity: Expressed in epithelial cells of the kidney, intestine, and respiratory tract; granulocytes, monocytes, fibroblasts, endothelial cells, cerebral pericytes at the blood-brain barrier, synaptic membranes of cells in the CNS. Also expressed in endometrial stromal cells, but not in the endometrial glandular cells. Found in the vasculature of tissues that undergo angiogenesis and in malignant gliomas and lymph node metastases from multiple tumor types but not in blood vessels of normal tissues. A soluble form has been found in plasma. It is found to be elevated in plasma and effusions of cancer patients. Post-translational modifications: Sulfated. N- and O-glycosylated. May undergo proteolysis and give rise to a soluble form. Similarity: Belongs to the peptidase M1 family. SWISS: P15144 Gene ID: 290 Database links: Entrez Gene: 290 Human Entrez Gene: 16790 Mouse Entrez Gene: 81641 Rat Omim: 151530 Human SwissProt: P15144 Human SwissProt: P97449 Mouse SwissProt: P15684 Rat Unigene: 1239 Human Unigene: 4487 Mouse Unigene: 11132 Rat Unigene: 179371 Rat Important Note: This product as supplied is intended for research use only, not for use in human, therapeutic or diagnostic applications. 氨肽酶N(又称CD13)是氨肽酶系列的一种,氨肽酶是从蛋白质多肽链氨基端催化降解氨基酸残基的水解蛋白酶。是多种冠状病毒的受体,目前在肿瘤侵袭、转移、免疫调节和病毒感染等多方面受人们的关注.它在肿瘤细胞表面高水平表达,对肿瘤细胞外基底膜起到降解作用引发肿瘤的侵袭和转移。主要分布于小肠和肾脏,巨噬细胞、粒细胞和中枢神经系统的突触膜也表达CD13. |
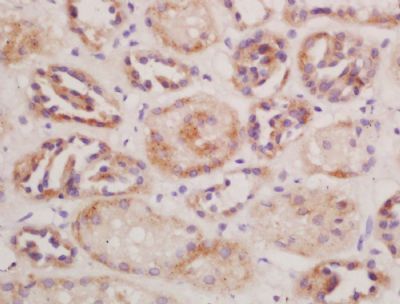
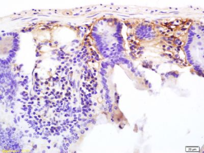
| 产品图片 | ![]() Tissue/cell: mouse kidney tissue; 4% Paraformaldehyde-fixed and paraffin-embedded; Antigen retrieval: citrate buffer ( 0.01M, pH 6.0 ), Boiling bathing for 15min; Block endogenous peroxidase by 3% Hydrogen peroxide for 30min; Blocking buffer (normal goat serum,C-0005) at 37℃ for 20 min; Incubation: Anti-CD13/APN/ANPEN Polyclonal Antibody, Unconjugated(bs-1383R) 1:200, overnight at 4°C, followed by conjugation to the secondary antibody(SP-0023) and DAB(C-0010) staining ![]() Tissue/cell: mouse colon tissue; 4% Paraformaldehyde-fixed and paraffin-embedded; Antigen retrieval: citrate buffer ( 0.01M, pH 6.0 ), Boiling bathing for 15min; Block endogenous peroxidase by 3% Hydrogen peroxide for 30min; Blocking buffer (normal goat serum,C-0005) at 37℃ for 20 min; Incubation: Anti-CD13/APN/ANPEN Polyclonal Antibody, Unconjugated(bs-1383R) 1:200, overnight at 4°C, followed by conjugation to the secondary antibody(SP-0023) and DAB(C-0010) staining ![]() Paraformaldehyde-fixed, paraffin embedded (Rat intestine); Antigen retrieval by boiling in sodium citrate buffer (pH6.0) for 15min; Block endogenous peroxidase by 3% hydrogen peroxide for 20 minutes; Blocking buffer (normal goat serum) at 37°C for 30min; Incubation: Anti-CD13 Antibody, conjugated (bs-1383R-FITC) at 1:100 overnight at 4°C; DAPI (5ug/ml, blue, C-0033) was used to stain the cell nuclei. ![]() Blank control: U937 (blue). Primary Antibody:Rabbit Anti- CD13 antibody(bs-1383R), Dilution: 1μg in 100 μL 1X PBS containing 0.5% BSA; Isotype Control Antibody: Rabbit IgG(orange) ,used under the same conditions ); Secondary Antibody: Goat anti-rabbit IgG-PE(white blue), Dilution: 1:200 in 1 X PBS containing 0.5% BSA. Protocol The cells were fixed with 2% paraformaldehyde (10 min). Primary antibody (bs-1383R, 1μg /1x10^6 cells) were incubated for 30 min on the ice, followed by 1 X PBS containing 0.5% BSA + 1 0% goat serum (15 min) to block non-specific protein-protein interactions. Then the Goat Anti-rabbit IgG/PE antibody was added into the blocking buffer mentioned above to react with the primary antibody at 1/200 dilution for 30 min on ice. Acquisition of 20,000 events was performed. |
风险提示:丁香通仅作为第三方平台,为商家信息发布提供平台空间。用户咨询产品时请注意保护个人信息及财产安全,合理判断,谨慎选购商品,商家和用户对交易行为负责。对于医疗器械类产品,请先查证核实企业经营资质和医疗器械产品注册证情况。
文献和实验CD13 分子 CDl3 常用单克隆抗体或代号:MY7,MOU28 主要表达细胞:M,G,En,Ep[M] 分子质量(kDa)和结构:gp150一170(Ⅱ型膜分子) 功 能:氨肽酶,冠状病毒受体,参与人CMV与靶细胞的结合,抗CDl3自身抗体与GVHD有关 CD13 Aka AminoPeptidase N, APN Myeloid antigen
CD33 分子 CD33 常用单克隆抗体或代号: MY9,H153,L4F3 主要表达细胞: My,BM [M] 分子质量(kDa)和结构: gp67(IgSF) 功 能: 参与造血 CD33 Myeloid cell antigen (also CD13); a sialoadhesin that may mediate cell-to-cell adhesion, acts
FCM通过对外周血细胞或骨髓细胞表面抗原和DNA的检测分析,对各种血液病的诊断、预后判断和治疗起着举足轻重的作用。 (1)白血病的诊断和治疗:FCM采用各种抗血细胞表面分化抗原(CD)的单克隆抗体,借助于各种荧光染料(异硫氰基荧光素FITC,藻红蛋白PE等)测定一个细胞的多种参数,以正确地判断出该细胞的属性。各种血细胞系统都具有其独特的抗原,当形态学检查难以区别时,免疫表型参数对各种急性白血病的诊断和鉴别诊断有决定性作用。例如干细胞表达CD34,髓系表达CD13、CD14,B
技术资料暂无技术资料 索取技术资料














