相关产品推荐更多 >
万千商家帮你免费找货
0 人在求购买到急需产品
- 详细信息
- 文献和实验
- 技术资料
- 供应商:
上海联迈生物工程有限公司
- 库存:
大量
- 目录编号:
LM-3838R
- 克隆性:
多克隆
- 抗原来源:
Rabbit
- 保质期:
1年
- 抗体英文名:
TXNDC4
- 抗体名:
内质网蛋白44抗体
- 宿主:
Rabbit
- 适应物种:
Human, Mouse, Rat, Dog, Pig, Cow,
- 免疫原:
KLH conjugated synthetic peptide derived from human TXNDC4:251-350/409
- 亚型:
IgG
- 形态:
Lyophilized or Liquid
- 应用范围:
IHC-P=1:400-800 IHC-F=1:400-800 (石蜡切片需做抗原修复)
- 浓度:
1mg/ml
- 保存条件:
Store at -20 °C
- 规格:
100ul 200ul
| 英文名称 | TXNDC4 |
| 中文名称 | 内质网蛋白44抗体 |
| 别 名 | Endoplasmic reticulum resident protein 44; Endoplasmic reticulum resident protein 44 kDa; Endoplasmic reticulum resident protein ERp44; ER protein 44; ERP44; KIAA0573; PDIA10; Protein disulfide isomerase family A, member 10; Thioredoxin domain containing 4 (endoplasmic reticulum); Thioredoxin domain containing protein 4; UNQ532/PRO1075; ERP44; ERP44_HUMAN. |
| 规格价格 | 100ul/1380元 购买 200ul/2200元 购买 大包装/询价 |
| 说 明 书 | 100ul 200ul |
| 研究领域 | 细胞生物 免疫学 染色质和核信号 转录调节因子 |
| 抗体来源 | Rabbit |
| 克隆类型 | Polyclonal |
| 交叉反应 | Human, Mouse, Rat, Dog, Pig, Cow, |
| 产品应用 | IHC-P=1:400-800 IHC-F=1:400-800 (石蜡切片需做抗原修复) not yet tested in other applications. optimal dilutions/concentrations should be determined by the end user. |
| 分 子 量 | 44kDa |
| 细胞定位 | 细胞浆 |
| 性 状 | Lyophilized or Liquid |
| 浓 度 | 1mg/ml |
| 免 疫 原 | KLH conjugated synthetic peptide derived from human TXNDC4:251-350/409 |
| 亚 型 | IgG |
| 纯化方法 | affinity purified by Protein A |
| 储 存 液 | 0.01M TBS(pH7.4) with 1% BSA, 0.03% Proclin300 and 50% Glycerol. |
| 保存条件 | Store at -20 °C for one year. Avoid repeated freeze/thaw cycles. The lyophilized antibody is stable at room temperature for at least one month and for greater than a year when kept at -20°C. When reconstituted in sterile pH 7.4 0.01M PBS or diluent of antibody the antibody is stable for at least two weeks at 2-4 °C. |
| PubMed | PubMed |
| 产品介绍 | background: Mediates thiol-dependent retention in the early secretory pathway, forming mixed disulfides with substrate proteins through its conserved CRFS motif. Inhibits the calcium channel activity of ITPR1. May have a role in the control of oxidative protein folding in the endoplasmic reticulum. Required to retain ERO1L and ERO1LB in the endoplasmic reticulum. Function: Mediates thiol-dependent retention in the early secretory pathway, forming mixed disulfides with substrate proteins through its conserved CRFS motif. Inhibits the calcium channel activity of ITPR1. May have a role in the control of oxidative protein folding in the endoplasmic reticulum. Required to retain ERO1L and ERO1LB in the endoplasmic reticulum. Subunit: Forms mixed disulfides with both ERO1L and ERO1LB and cargo folding intermediates. Directly interacts with ITPR1 in a pH-, redox state- and calcium-dependent manner, but not with ITPR2 or ITPR3. The strength of this interaction inversely correlates with calcium concentration. Subcellular Location: Endoplasmic reticulum lumen. Similarity: Contains 1 thioredoxin domain. SWISS: Q9BS26 Gene ID: 23071 Database links: Entrez Gene: 23071 Human Entrez Gene: 506157 Cow Entrez Gene: 474781 Dog Entrez Gene: 76299 Mouse Entrez Gene: 100192437 Pig Entrez Gene: 298066 Rat Omim: 609170 Human SwissProt: Q3T0L2 Cow SwissProt: Q9BS26 Human SwissProt: Q9D1Q6 Mouse Unigene: 154023 Human Unigene: 317701 Mouse Unigene: 2459 Rat Important Note: This product as supplied is intended for research use only, not for use in human, therapeutic or diagnostic applications. |
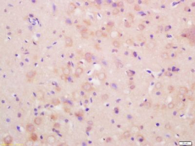
| 产品图片 | ![]() Tissue/cell: mouse brain tissue; 4% Paraformaldehyde-fixed and paraffin-embedded; Antigen retrieval: citrate buffer ( 0.01M, pH 6.0 ), Boiling bathing for 15min; Block endogenous peroxidase by 3% Hydrogen peroxide for 30min; Blocking buffer (normal goat serum,C-0005) at 37∩ for 20 min; Incubation: Anti-TXNDC4 Polyclonal Antibody, Unconjugated(bs-3838R) 1:200, overnight at 4∑C, followed by conjugation to the secondary antibody(SP-0023) and DAB(C-0010) staining |
风险提示:丁香通仅作为第三方平台,为商家信息发布提供平台空间。用户咨询产品时请注意保护个人信息及财产安全,合理判断,谨慎选购商品,商家和用户对交易行为负责。对于医疗器械类产品,请先查证核实企业经营资质和医疗器械产品注册证情况。
文献和实验组织化学分析。(图 C)使用Anti-Erk1/2 Mouse mAb 鼠单抗进行目的蛋白检测;(图 D) 使用p44/42 MAPK (Erk1/2)Rabbit mAb 兔单抗进行目的蛋白检测。 图 7 免疫组化实验检测Akt表达 注:使用 Anti-Akt (pan) Rabbit mAb 对正常小鼠肝组织进行免疫组织化学分析。(图 E)使用免疫组化试剂盒 M&R HRP/DAB Detection IHC Kit,抗体1:100 稀释;(图F)使用另一种试剂盒,抗体 1:100 稀释。
Science 背靠背!施一公、黄志伟团队同日揭开 B 细胞受体复合物的神秘面纱
载体上,同时使用共表达方式,通过表达内质网蛋白 pERp1,pERp1 可以促进 IgM 二硫键的形成,二硫键有助于 IgM-BCR 正确折叠和结构稳定。 在完成蛋白的表达和纯化后,在溶液中加入抗体偶联药物 Polatuzumab vedotin 的 Fab 片段,最后通过冷冻电镜解析了第一个人源 IgM 同种型 B 细胞受体复合物 3.3Å 的高分辨率结构。 这篇文章所获得的结构,包含了复合物几乎胞外结构域以及所有跨膜区域, 包含一个 mIgM 和一个 Igα/Igβ 异源二聚体复合物。除此之外
实验室中时常听到这样的困惑,「明明通过免疫荧光(IF)能看到目的蛋白表达在细胞核膜上的表达,但为什么不论用总蛋白还是核蛋白进行 WB 检测,都无法检测到目的蛋白?」 类似这样的问题,你是否也深有感触? 实际操作过程中,是否遇到过免疫荧光有结果而蛋白印迹却没条带的情况?什么原因导致了这种情况?又该如何处理? 一、IF & WB 免疫荧光(IF)和免疫印迹(WB)都是利用抗原和抗体的特异性结合对目的蛋白质进行检测。IF 采用抗体和荧光检测固定细胞或组织中目的蛋白
技术资料暂无技术资料 索取技术资料











