相关产品推荐更多 >
万千商家帮你免费找货
0 人在求购买到急需产品
- 详细信息
- 文献和实验
- 技术资料
- 供应商:
上海联迈生物工程有限公司
- 库存:
大量
- 目录编号:
LM-3692R
- 克隆性:
多克隆
- 抗原来源:
Rabbit
- 保质期:
1年
- 抗体英文名:
Neurogenin 2
- 抗体名:
神经元素2抗体
- 宿主:
Rabbit
- 适应物种:
Human, Mouse, Rat, Chicken, Dog, Cow,
- 免疫原:
KLH conjugated synthetic peptide derived from human Neurogenin 2:101-200/272
- 亚型:
IgG
- 形态:
Lyophilized or Liquid
- 应用范围:
WB=1:500-2000 ELISA=1:500-1000 IHC-P=1:400-800 IHC-F=1:400-800 IF=1:100-500 (石蜡切片需做抗原修复)
- 浓度:
1mg/ml
- 保存条件:
Store at -20 °C
- 规格:
100ul 200ul
| 英文名称 | Neurogenin 2 |
| 中文名称 | 神经元素2抗体 |
| 别 名 | Atoh4; Math4A; MGC; MGC46562; NEUROG2; Neurogenin2; NGN2; Protein atonal homolog 4. |
| 规格价格 | 100ul/1380元 购买 200ul/2200元 购买 大包装/询价 |
| 说 明 书 | 100ul 200ul |
| 研究领域 | 细胞生物 免疫学 神经生物学 转录调节因子 |
| 抗体来源 | Rabbit |
| 克隆类型 | Polyclonal |
| 交叉反应 | Human, Mouse, Rat, Chicken, Dog, Cow, |
| 产品应用 | WB=1:500-2000 ELISA=1:500-1000 IHC-P=1:400-800 IHC-F=1:400-800 IF=1:100-500 (石蜡切片需做抗原修复) not yet tested in other applications. optimal dilutions/concentrations should be determined by the end user. |
| 分 子 量 | 30kDa |
| 细胞定位 | 细胞核 |
| 性 状 | Lyophilized or Liquid |
| 浓 度 | 1mg/ml |
| 免 疫 原 | KLH conjugated synthetic peptide derived from human Neurogenin 2:101-200/272 |
| 亚 型 | IgG |
| 纯化方法 | affinity purified by Protein A |
| 储 存 液 | 0.01M TBS(pH7.4) with 1% BSA, 0.03% Proclin300 and 50% Glycerol. |
| 保存条件 | Store at -20 °C for one year. Avoid repeated freeze/thaw cycles. The lyophilized antibody is stable at room temperature for at least one month and for greater than a year when kept at -20°C. When reconstituted in sterile pH 7.4 0.01M PBS or diluent of antibody the antibody is stable for at least two weeks at 2-4 °C. |
| PubMed | PubMed |
| 产品介绍 | background: Neurogenin 2 is a helix-loop-helix class of transcription factor. Transcription factors with bHLH motifs modulate critical events in the development of the mammalian neocortex. The transition from proliferation to neurogenesis involves a coordinate increase in the activity of proneural bHLH factors, including Neurogenin 2 and a decrease in the activity of Hes and Id factors. bHLH factors have key roles in corticogenesis, affecting the timing of differentiation and the specification of cell fate. Function: Transcriptional regulator. Involved in neuronal differentiation. Activates transcription by binding to the E box (5'-CANNTG-3'). Subunit: Efficient DNA binding requires dimerization with another bHLH protein. Subcellular Location: Nucleus. Similarity: Contains 1 basic helix-loop-helix (bHLH) domain. SWISS: Q9H2A3 Gene ID: 63973 Database links: Entrez Gene: 63973 Human Entrez Gene: 11924 Mouse Entrez Gene: 295475 Rat Omim: 606624 Human SwissProt: Q9H2A3 Human SwissProt: P70447 Mouse Unigene: 567563 Human Unigene: 42017 Mouse Important Note: This product as supplied is intended for research use only, not for use in human, therapeutic or diagnostic applications. |
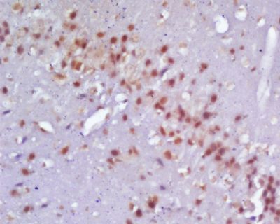
| 产品图片 | ![]() Sample: Cerebrum (Mouse) Lysate at 40 ug Primary: Anti-Neurogenin 2 (bs-3692R) at 1/1000 dilution Secondary: IRDye800CW Goat Anti-Rabbit IgG at 1/20000 dilution Predicted band size: 30 kD Observed band size: 30 kD ![]() Tissue/cell: rat brain tissue; 4% Paraformaldehyde-fixed and paraffin-embedded; Antigen retrieval: citrate buffer ( 0.01M, pH 6.0 ), Boiling bathing for 15min; Block endogenous peroxidase by 3% Hydrogen peroxide for 30min; Blocking buffer (normal goat serum,C-0005) at 37℃ for 20 min; Incubation: Anti-Neurogenin 2 Polyclonal Antibody, Unconjugated(bs-3692R) 1:200, overnight at 4°C, followed by conjugation to the secondary antibody(SP-0023) and DAB(C-0010) staining ![]() Paraformaldehyde-fixed, paraffin embedded (Mouse brain); Antigen retrieval by boiling in sodium citrate buffer (pH6.0) for 15min; Block endogenous peroxidase by 3% hydrogen peroxide for 20 minutes; Blocking buffer (normal goat serum) at 37°C for 30min; Antibody incubation with (Neurogenin 2) Polyclonal Antibody, Unconjugated (bs-3692R) at 1:400 overnight at 4°C, followed by operating according to SP Kit(Rabbit) (sp-0023) instructionsand DAB staining. |
风险提示:丁香通仅作为第三方平台,为商家信息发布提供平台空间。用户咨询产品时请注意保护个人信息及财产安全,合理判断,谨慎选购商品,商家和用户对交易行为负责。对于医疗器械类产品,请先查证核实企业经营资质和医疗器械产品注册证情况。
文献和实验人抗磷脂酶A2抗体(Anti-PLA2R)酶联免疫分析(ELISA)
人 抗磷脂酶 A2 抗体( Anti-PLA2R ) 酶联免疫分析( ELISA ) 试剂盒使用说明书 本试剂盒仅供研究使用。 使用目的: 本试剂盒用于测定人血清,血浆及相关液体样本中 抗磷脂酶 A2 抗体( Anti-PLA2R ) 含量。 实验原理 本试剂盒应用间接法测定标本中人 抗磷脂酶 A2 抗体( Anti-PLA2R ) 水平。用纯化的抗原包被微孔板,制成固相抗原,往包被单抗的微孔
人乙型肝炎病毒前S2抗体(HBV preS2Ab)酶联免疫分析
人 乙型肝炎病毒前S2抗体(HBV preS2Ab) 酶联免疫 分析( ELISA ) 试剂 盒使用说明书 本试剂仅供研究使用 目的:本试剂盒用于测定人血清,血浆,组织液及相关液体样本中 乙型肝炎病毒前S2抗体(HBV preS2Ab)的 含量。 实验原理 : 本试剂盒应用双 抗原 夹心法测定 标本 中 人 乙型肝炎病毒前S2 抗体 (HBV preS2Ab) 水平。用纯化的 抗原 包被微孔板,制成固相 抗原 ,往包被单抗的微孔中依次
浅析染色质免疫沉淀(ChIP)技术在 DNA 与蛋白质相互作用研究中的重要性
Tcf-4 直接参与到 enhance E 的调控中。此结果与 Hatzis 等人 [25] 对直肠癌细胞系 LS174T 做的 ChIP-CHIP 测得的结果一致,证实了一直以来研究者关于 myc 存在远端增强子的猜测。类似地,有研究表明 β-catenin 与 FGF2 相互作用,影响神经干细胞增殖或分化,然而具体如何协同调控增殖或分化进程尚未知,直到 Israsena 等人[10]用 ChIP 试验证明了 β-catenin 仅在 FGF2 存在时与 neurogenin 启动子直接结合
技术资料暂无技术资料 索取技术资料













