相关产品推荐更多 >
万千商家帮你免费找货
0 人在求购买到急需产品
- 详细信息
- 文献和实验
- 技术资料
- 供应商:
上海联迈生物工程有限公司
- 库存:
大量
- 目录编号:
LM-3513R
- 克隆性:
多克隆
- 抗原来源:
Rabbit
- 保质期:
1年
- 抗体英文名:
Nur77
- 抗体名:
孤儿核受体蛋白Nur77抗体
- 宿主:
Rabbit
- 适应物种:
Human, Mouse, Rat, Dog, Cow, Horse,
- 免疫原:
KLH conjugated synthetic peptide derived from human Nur77/GFRP:351-450/598/
- 亚型:
IgG
- 形态:
Lyophilized or Liquid
- 应用范围:
WB=1:500-2000 ELISA=1:500-1000 IHC-P=1:400-800 IHC-F=1:400-800 IF=1:100-500 (石蜡切片需做抗原修复)
- 浓度:
1mg/ml
- 保存条件:
Store at -20 °C
- 规格:
50ul 100ul 200ul
| 英文名称 | Nur77 |
| 中文名称 | 孤儿核受体蛋白Nur77抗体 |
| 别 名 | GFRP 1; GFRP; GFRP1; Growth factor inducible nuclear protein N10; Growth Factor Inducible Nuclear Protein NP10; Growth Factor Response Protein 1; Hbr1; HMR; Hormone Receptor; MGC9485; N10; N10 nuclear protein; NAK 1; NAK1; NGFIB; NP 10; NP10; NR4A1; Nuclear hormone receptor NUR/77; Nuclear Hormone Receptor TR3; Nuclear Receptor Subfamily 4 Group A Member 1; NUR77; Orphan nuclear receptor HMR; Orphan nuclear receptor NR4A1; ST 59; ST59; Steroid receptor TR3; TR 3; TR3; TR3 orphan receptor; Early response protein NAK1. |
| 规格价格 | 50ul/780元 购买 100ul/1380元 购买 200ul/2200元 购买 大包装/询价 |
| 说 明 书 | 50ul 100ul 200ul |
| 研究领域 | 肿瘤 细胞生物 免疫学 染色质和核信号 神经生物学 信号转导 细胞凋亡 转录调节因子 糖尿病 |
| 抗体来源 | Rabbit |
| 克隆类型 | Polyclonal |
| 交叉反应 | Human, Mouse, Rat, Dog, Cow, Horse, |
| 产品应用 | WB=1:500-2000 ELISA=1:500-1000 IHC-P=1:400-800 IHC-F=1:400-800 IF=1:100-500 (石蜡切片需做抗原修复) not yet tested in other applications. optimal dilutions/concentrations should be determined by the end user. |
| 分 子 量 | 66kDa |
| 细胞定位 | 细胞核 |
| 性 状 | Lyophilized or Liquid |
| 浓 度 | 1mg/ml |
| 免 疫 原 | KLH conjugated synthetic peptide derived from human Nur77/GFRP:351-450/598/ |
| 亚 型 | IgG |
| 纯化方法 | affinity purified by Protein A |
| 储 存 液 | 0.01M TBS(pH7.4) with 1% BSA, 0.03% Proclin300 and 50% Glycerol. |
| 保存条件 | Store at -20 °C for one year. Avoid repeated freeze/thaw cycles. The lyophilized antibody is stable at room temperature for at least one month and for greater than a year when kept at -20°C. When reconstituted in sterile pH 7.4 0.01M PBS or diluent of antibody the antibody is stable for at least two weeks at 2-4 °C. |
| PubMed | PubMed |
| 产品介绍 | background: This gene encodes a member of the steroid-thyroid hormone-retinoid receptor superfamily. Expression is induced by phytohemagglutinin in human lymphocytes and by serum stimulation of arrested fibroblasts. The encoded protein acts as a nuclear transcription factor. Translocation of the protein from the nucleus to mitochondria induces apoptosis. Multiple transcript variants encoding different isoforms have been found for this gene. [provided by RefSeq, Jan 2011] Subunit: Binds DNA as a monomer (By similarity). Interacts with GADD45GIP1. Subcellular Location: Nucleus. Tissue Specificity: Fetal muscle and adult liver, brain and thyroid. Similarity: Belongs to the nuclear hormone receptor family. NR4 subfamily. Contains 1 nuclear receptor DNA-binding domain. SWISS: P22736 Gene ID: 3164 Database links: Entrez Gene: 3164 Human Entrez Gene: 15370 Mouse Entrez Gene: 79240 Rat Omim: 139139 Human SwissProt: P22736 Human SwissProt: P12813 Mouse SwissProt: P22829 Rat Unigene: 524430 Human Unigene: 119 Mouse Unigene: 10000 Rat Important Note: This product as supplied is intended for research use only, not for use in human, therapeutic or diagnostic applications. 孤儿核受体蛋白Nur77是早期反应转录因子之一,多种刺激因子如缺氧可诱导其迅速表达,Nur77参与调控细胞增殖、存活、分化等过程。这类核受体是体内广泛分布的配体依赖性的转录因子,通过调控基因协调表达,在机体的生长发育、新陈代谢,细胞分化及体内许多生长发育过程中发挥重要作用,其功能障碍将导致一系列疾病的发生,如;癌症、糖尿病、肥胖、不孕不育等等。 |
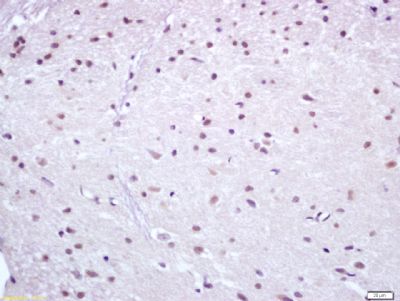
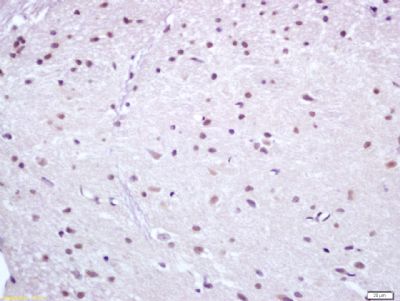
| 产品图片 | ![]() Sample: Muscle(Mouse) Lysate at 40 ug Primary: Anti-Nur77(bs-3513R) at 1/300 dilution Secondary: IRDye800CW Goat Anti-Rabbit IgG at 1/20000 dilution Predicted band size: 66 kD Observed band size: 66 kD ![]() Tissue/cell: rat brain tissue; 4% Paraformaldehyde-fixed and paraffin-embedded; Antigen retrieval: citrate buffer ( 0.01M, pH 6.0 ), Boiling bathing for 15min; Block endogenous peroxidase by 3% Hydrogen peroxide for 30min; Blocking buffer (normal goat serum,C-0005) at 37℃ for 20 min; Incubation: Anti-Nur77 Polyclonal Antibody, Unconjugated(bs-3513R) 1:200, overnight at 4°C, followed by conjugation to the secondary antibody(SP-0023) and DAB(C-0010) staining |
风险提示:丁香通仅作为第三方平台,为商家信息发布提供平台空间。用户咨询产品时请注意保护个人信息及财产安全,合理判断,谨慎选购商品,商家和用户对交易行为负责。对于医疗器械类产品,请先查证核实企业经营资质和医疗器械产品注册证情况。
文献和实验不只是 PD-1:CD96 正成为免疫治疗的下一个“必争之地”
CD8+ T 细胞表面交联 CD96 时,可诱导细胞活化、效应细胞因子产生以及增殖 [11]。这一激活作用主要通过 MEK-ERK 通路传导 [11]。通过该通路,CD96 能促进 NUR77 和 T-bet 等转录因子的表达,并增强 CD8+ T 细胞的细胞毒性效应,进而影响效应 T 细胞分化 [11]。 相关体内研究进一步表明,无论是抗体阻断 CD96 活性还是基因敲除 CD96,均会损害 CD8+ T 细胞的活化和效应功能 [11]。这说明,在特定细胞类型中,CD96 并非单纯抑制性受体
五、抗体与蛋白质阵列技术 六、免疫共沉淀技术 七、pull-down技术 ===================================== 后来又想,楼主问的还是有道理的,比如,转录酶复合体,核糖体,proteasome,核膜通道,这些巨大的蛋白质复合体的确不是受体配体这么简单,它既具有受体配体结合的特点(特异性,高亲和力,饱和性,可逆性,引发生理反应),又具有其他的特点,比如可调控,功能更
:1. 胞吐作用(运输小泡通过与细胞质膜的融合将内容物释放到细胞外基质的过程,被称为顺行运输)2. 内吞作用(是质膜上的蛋白转入细胞内再循环或重新调整活性的过程,称为逆行运输)3. 转胞吞作用(是把蛋白从质膜的一个位点转移到另一个位点的过程)。胞吐作用是蛋白通过内质网,高尔基体将蛋白转移到质膜,细胞外间隙,或胞浆中的其他细胞器的过程。内吞作用是生物分子包括蛋白被带进细胞的过程,内吞作用调节质膜运输和受体蛋白的数量和分布。转胞吞作用是蛋白在质膜上进行再分配的过程。 研究膜蛋白转运最常用的方法是组份
技术资料暂无技术资料 索取技术资料












