相关产品推荐更多 >
万千商家帮你免费找货
0 人在求购买到急需产品
- 详细信息
- 文献和实验
- 技术资料
- 供应商:
上海联迈生物工程有限公司
- 库存:
大量
- 目录编号:
LM-3354R
- 克隆性:
多克隆
- 抗原来源:
Rabbit
- 保质期:
1年
- 抗体英文名:
Phospho-Pin1 (Ser16)
- 抗体名:
磷酸化肽基脯氨酞顺反异构酶Pinl抗体
- 宿主:
Rabbit
- 适应物种:
Human, Mouse, Rat, Dog, Cow,
- 免疫原:
KLH conjugated synthesised phosphopeptide derived from human Pin1 around the phosphorylation site of Ser16:RM(p-S)RS
- 亚型:
IgG
- 形态:
Lyophilized or Liquid
- 应用范围:
WB=1:500-2000 ELISA=1:500-1000 IHC-P=1:400-800 IHC-F=1:400-800 IF=1:100-500 (石蜡切片需做抗原修复)
- 浓度:
1mg/ml
- 保存条件:
Store at -20 °C
- 规格:
100ul
| 英文名称 | Phospho-Pin1 (Ser16) |
| 中文名称 | 磷酸化肽基脯氨酞顺反异构酶Pinl抗体 |
| 别 名 | DOD; NIMA interacting 1; Peptidyl prolyl cis trans isomerase NIMA interacting 1; Peptidyl prolyl cis/trans isomerase NIMA interacting; Pin 1; PPIase Pin1; Prolyl isomerase; Protein (peptidylprolyl cis/trans isomerase) NIMA interacting 1; Protein NIMA interacting 1; Rotamase Pin1; UBL 5; UBL5; PIN1_HUMAN. |
| 规格价格 | 100ul/1580元 购买 大包装/询价 |
| 说 明 书 | 100ul |
| 产品类型 | 磷酸化抗体 |
| 研究领域 | 肿瘤 免疫学 神经生物学 信号转导 干细胞 细胞凋亡 转录调节因子 激酶和磷酸酶 |
| 抗体来源 | Rabbit |
| 克隆类型 | Polyclonal |
| 交叉反应 | Human, Mouse, Rat, Dog, Cow, |
| 产品应用 | WB=1:500-2000 ELISA=1:500-1000 IHC-P=1:400-800 IHC-F=1:400-800 IF=1:100-500 (石蜡切片需做抗原修复) not yet tested in other applications. optimal dilutions/concentrations should be determined by the end user. |
| 分 子 量 | 18kDa |
| 细胞定位 | 细胞核 细胞浆 |
| 性 状 | Lyophilized or Liquid |
| 浓 度 | 1mg/ml |
| 免 疫 原 | KLH conjugated synthesised phosphopeptide derived from human Pin1 around the phosphorylation site of Ser16:RM(p-S)RS |
| 亚 型 | IgG |
| 纯化方法 | affinity purified by Protein A |
| 储 存 液 | 0.01M TBS(pH7.4) with 1% BSA, 0.03% Proclin300 and 50% Glycerol. |
| 保存条件 | Store at -20 °C for one year. Avoid repeated freeze/thaw cycles. The lyophilized antibody is stable at room temperature for at least one month and for greater than a year when kept at -20°C. When reconstituted in sterile pH 7.4 0.01M PBS or diluent of antibody the antibody is stable for at least two weeks at 2-4 °C. |
| PubMed | PubMed |
| 产品介绍 | background: Pin1 is a Peptidyl-prolyl isomerases (PPIase). Peptidyl-prolyl isomerases (PPIase) facilitate the cis-trans interconversion of the peptidyl-prolyl bond thereby affecting protein folding. Pin1 is a PPIase which specifically recognizes phosphorylated S/T-P bonds. Pin1 has been implicated in tau pathologies that underlie Alzheimer's Disease. Pin1 binds to tau phosphorylated specifically on the Thr231-Pro site and induces conformational changes in tau. Such conformational changes can directly restore the ability of phosphorylated Tau to bind microtubules and promote microtubule assembly and/or facilitate tau dephosphorylation. Pin1 expression inversely correlates with the predicted neuronal vulnerability in normally aged brain and also with actual neurofibrillary degeneration in AD brain. Pin1 could be pivotal for maintainance of normal neuronal function and preventing age-dependent neurodegeneration. Function: Essential PPIase that regulates mitosis presumably by interacting with NIMA and attenuating its mitosis-promoting activity. Displays a preference for an acidic residue N-terminal to the isomerized proline bond. Catalyzes pSer/Thr-Pro cis/trans isomerizations. Down-regulates kinase activity of BTK. Can transactivate multiple oncogenes and induce centrosome amplification, chromosome instability and cell transformation. Required for the efficient dephosphorylation and recycling of RAF1 after mitogen activation. Subunit: Interacts with STIL (By similarity). Interacts with KIF20B. Interacts with NEK6. Interacts (via WW domain) with PRKX. Interacts with BTK. Interacts (via PpiC domain) with DAPK1. Interacts with the phosphorylated form of RAF1. Subcellular Location: Nucleus. Nucleus speckle. Cytoplasm. Tissue Specificity: The phosphorylated form at Ser-71 is expressed in normal breast tissue cells but not in breast cancer cells. Post-translational modifications: Phosphorylated upon DNA damage, probably by ATM or ATR. Phosphorylation at Ser-71 by DAPK1 results in inhibition of its catalytic activity, nuclear localization, and its ability to induce centrosome amplification, chromosome instability and cell transformation. Similarity: Contains 1 PpiC domain. Contains 1 WW domain. SWISS: Q13526 Gene ID: 5300 Database links: Entrez Gene: 5300 Human Entrez Gene: 23988 Mouse Entrez Gene: 298696 Rat Omim: 601052 Human SwissProt: Q13526 Human SwissProt: Q9QUR7 Mouse Unigene: 465849 Human Unigene: 7906 Mouse Unigene: 6291 Rat Important Note: This product as supplied is intended for research use only, not for use in human, therapeutic or diagnostic applications. 肽基脯氨酞顺反异构酶Pinl,是调节细胞有丝分裂相关蛋白酶,对细胞周期运行起着非常重要的调控作用。近年来研究表明,肽基脯氨酞顺反异构酶Pinl在多种肿瘤中过表达,是多个致癌信号通路的关键效应分子,可加强和催化多种致癌信号,使其无限放大,最终引起细胞转化和增殖失控。因次,肽基脯氨酞顺反异构酶Pinl越来越引起人们关注,被称为肿瘤发生发展的催化分子。近来该蛋白用于老年痴呆研究的也日渐增多。 |
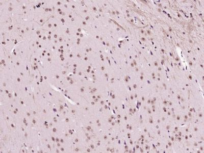
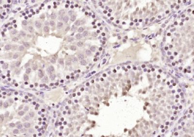
| 产品图片 | ![]() Paraformaldehyde-fixed, paraffin embedded (Human brain glioma); Antigen retrieval by boiling in sodium citrate buffer (pH6.0) for 15min; Block endogenous peroxidase by 3% hydrogen peroxide for 20 minutes; Blocking buffer (normal goat serum) at 37°C for 30min; Antibody incubation with (Phospho-Pin1 (Ser16)) Polyclonal Antibody, Unconjugated (bs-3354R) at 1:400 overnight at 4°C, followed by operating according to SP Kit(Rabbit) (sp-0023) instructionsand DAB staining. ![]() Paraformaldehyde-fixed, paraffin embedded (Rat testis); Antigen retrieval by boiling in sodium citrate buffer (pH6.0) for 15min; Block endogenous peroxidase by 3% hydrogen peroxide for 20 minutes; Blocking buffer (normal goat serum) at 37°C for 30min; Antibody incubation with (Phospho-Pin1 (Ser16)) Polyclonal Antibody, Unconjugated (bs-3354R) at 1:400 overnight at 4°C, followed by operating according to SP Kit(Rabbit) (sp-0023) instructionsand DAB staining. ![]() Paraformaldehyde-fixed, paraffin embedded (Mouse brain); Antigen retrieval by boiling in sodium citrate buffer (pH6.0) for 15min; Block endogenous peroxidase by 3% hydrogen peroxide for 20 minutes; Blocking buffer (normal goat serum) at 37°C for 30min; Antibody incubation with (Phospho-Pin1 (Ser16)) Polyclonal Antibody, Unconjugated (bs-3354R) at 1:400 overnight at 4°C, followed by operating according to SP Kit(Rabbit) (sp-0023) instructionsand DAB staining. |
风险提示:丁香通仅作为第三方平台,为商家信息发布提供平台空间。用户咨询产品时请注意保护个人信息及财产安全,合理判断,谨慎选购商品,商家和用户对交易行为负责。对于医疗器械类产品,请先查证核实企业经营资质和医疗器械产品注册证情况。
文献和实验【求助】P53的翻译后修饰都有哪些? 怎样验证其修饰后与靶标启动子的结合活性的变化?
、Ser376)则和p53降解的增加有关。 顺反异构化修饰 p53的活化涉及构象的改变,由肽脯氨酰-顺反异构酶︱(PIN1)引起的特定的脯氨酸残基的顺反异构化可导致构象的改变。PIN1的蛋白结合位点包括一个磷酸化的丝氨酸或苏氨酸及其后紧跟的一个脯氨酸,从而催化脯氨酸残基发生顺反异构化。目前对Ser127-Pro128、Thr150-Pro151基序是否受PIN1的靶向作用还不清楚。PIN1引起的p53构象的改变阻止了MDM2的结合和/或促进了MDM2的解离,从而使
Using Phospho‐Motif Antibodies to Determine Kinase Substrates
the phosphorylation site; therefore, substrate?directed, phosphorylation?state?sensitive, motif?specific (?phospho?motif?) antibodies represent powerful tools to identify novel kinase substrates and to investigate mechanisms of substrate phosphorylation
攻克「癌症之王」!哈佛大学卢坤平团队提出消除肿瘤新方法,这个
细胞和 CAFs 中高表达的 Pin1 又是通过什么机制发挥功能的呢?先前的研究发现,Pin1 是一种独特的脯氨酸异构酶,在各种癌症中,Pin1 的过度活化可以通过激活 60 多个癌蛋白,并使 30 多个肿瘤抑制因子失活,从而促进肿瘤的发生 [3, 4]。研究人员通过抑制 Pin1,观察到受 Pin1 调控的多种促癌蛋白的表达都显著降低,癌细胞和 CAFs 分泌的 IL-6、TGF-β 等多种促进肿瘤发展的细胞因子同样也显著降低。此外,研究人员还发现,敲除了 CAFs 中的 Pin1 后,CAFs 对肿瘤
技术资料暂无技术资料 索取技术资料













