相关产品推荐更多 >
万千商家帮你免费找货
0 人在求购买到急需产品
- 详细信息
- 技术资料
- 供应商:
上海联迈生物工程有限公司
- 库存:
大量
- 目录编号:
LM-3145R
- 克隆性:
多克隆
- 抗原来源:
Rabbit
- 保质期:
1年
- 抗体英文名:
phospho-FOXO4 (Ser262)
- 抗体名:
磷酸化叉头蛋白4抗体
- 宿主:
Rabbit
- 适应物种:
Human, Mouse, Rat, Chicken, Dog, Pig, Cow, Horse,
- 免疫原:
KLH conjugated Synthesised phosphopeptide derived from human FOXO4 around the phosphorylation site of Ser262:SS(p-S)NA
- 亚型:
IgG
- 形态:
Lyophilized or Liquid
- 应用范围:
WB=1:500-2000 ELISA=1:500-1000 IHC-P=1:400-800 IHC-F=1:400-800 IF=1:100-500 (石蜡切片需做抗原修复)
- 浓度:
1mg/ml
- 保存条件:
Store at -20 °C
- 规格:
100ul
phospho-FOXO4 (Ser262)磷酸化叉头蛋白4抗体
| 英文名称 | phospho-FOXO4 (Ser262) |
| 中文名称 | 磷酸化叉头蛋白4抗体 |
| 别 名 | FOXO4 (phospho S262); p-FOXO4 (phospho S262); Fork head domain transcription factor AFX1; AFX; AFX1; Afxh; ALL1-fused gene from X chromosome; Fork head domain transcription factor AFX1; Forkhead box O4; Forkhead box protein O4; FOXO 4; Mixed lineage leukemia, translocated to, 7; MLLT7; Myeloid lymphoid or mixed lineage leukemia translocated to 7; Myeloid/lymphoid or mixed lineage leukemia, translocated to, 7; Putative fork head domain transcription factor AFX1. |
| 规格价格 | 100ul/1580元 购买 大包装/询价 |
| 说 明 书 | 100ul |
| 产品类型 | 磷酸化抗体 |
| 研究领域 | 肿瘤 免疫学 转录调节因子 |
| 抗体来源 | Rabbit |
| 克隆类型 | Polyclonal |
| 交叉反应 | Human, Mouse, Rat, Chicken, Dog, Pig, Cow, Horse, |
| 产品应用 | WB=1:500-2000 ELISA=1:500-1000 IHC-P=1:400-800 IHC-F=1:400-800 IF=1:100-500 (石蜡切片需做抗原修复) not yet tested in other applications. optimal dilutions/concentrations should be determined by the end user. |
| 分 子 量 | 56kDa |
| 细胞定位 | 细胞核 细胞浆 |
| 性 状 | Lyophilized or Liquid |
| 浓 度 | 1mg/ml |
| 免 疫 原 | KLH conjugated Synthesised phosphopeptide derived from human FOXO4 around the phosphorylation site of Ser262:SS(p-S)NA |
| 亚 型 | IgG |
| 纯化方法 | affinity purified by Protein A |
| 储 存 液 | 0.01M TBS(pH7.4) with 1% BSA, 0.03% Proclin300 and 50% Glycerol. |
| 保存条件 | Store at -20 °C for one year. Avoid repeated freeze/thaw cycles. The lyophilized antibody is stable at room temperature for at least one month and for greater than a year when kept at -20°C. When reconstituted in sterile pH 7.4 0.01M PBS or diluent of antibody the antibody is stable for at least two weeks at 2-4 °C. |
| PubMed | PubMed |
| 产品介绍 | background: This gene encodes a member of the O class of winged helix/forkhead transcription factor family. Proteins encoded by this class are regulated by factors involved in growth and differentiation indicating they play a role in these processes. A translocation involving this gene on chromosome X and the homolog of the Drosophila trithorax gene, encoding a DNA binding protein, located on chromosome 11 is associated with leukemia. Multiple transcript variants encoding different isoforms have been found for this gene. [provided by RefSeq, Jan 2010] Function: Transcription factor involved in the regulation of the insulin signaling pathway. Binds to insulin-response elements (IREs) and can activate transcription of IGFBP1. Down-regulates expression of HIF1A and suppresses hypoxia-induced transcriptional activation of HIF1A-modulated genes. Also involved in negative regulation of the cell cycle. Subunit: Interacts with CREBBP/CBP, CTNNB1, MYOCD, SIRT1, SRF and YWHAZ. Acetylated by CREBBP/CBP and deacetylated by SIRT1. Binding of YWHAZ inhibits DNA-binding. Interacts with USP7; the interaction is enhanced in presence of hydrogen peroxide and occurs independently of TP53. Interacts with NLK, and this inhibits monoubiquitination and transcriptional activity. Subcellular Location: Cytoplasm. Nucleus. Tissue Specificity: Heart, brain, placenta, lung, liver, skeletal muscle, kidney and pancreas. Isoform zeta is most abundant in the liver, kidney, and pancreas. Post-translational modifications: Acetylation by CBP, which is induced by peroxidase stress, inhibits transcriptional activity. Deacetylation by SIRT1 is NAD-dependent and stimulates transcriptional activity. Phosphorylation by PKB/AKT1 inhibits transcriptional activity and is responsible for cytoplasmic localization. Monoubiquitinated; monoubiquitination is induced by oxidative stress and reduced by deacetylase inhibitors; results in its relocalization to the nucleus and its increased transcriptional activity. Deubiquitinated by USP7; deubiquitination is induced by oxidative stress; enhances its interaction with USP7 and consequently, deubiquitination; increases its translocation to the cytoplasm and inhibits its transcriptional activity. Hydrogene-peroxide-induced ubiquitination and USP7-mediated deubiquitination have no major effect on its protein stability. DISEASE: Note=A chromosomal aberration involving FOXO4 is found in acute leukemias. Translocation t(X;11)(q13;q23) with MLL/HRX. The result is a rogue activator protein. Similarity: Contains 1 fork-head DNA-binding domain. SWISS: P98177 Gene ID: 4303 Database links: Entrez Gene: 4303 Human Entrez Gene: 54601 Mouse Entrez Gene: 302415 Rat Omim: 300033 Human SwissProt: P98177 Human SwissProt: Q9WVH3 Mouse Unigene: 584654 Human Unigene: 240299 Mouse Unigene: 19646 Rat Important Note: This product as supplied is intended for research use only, not for use in human, therapeutic or diagnostic applications. |
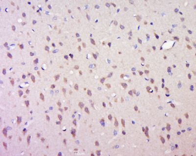
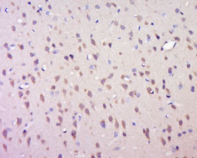
| 产品图片 | ![]() Sample: Hela(Human) Cell Lysate at 30 ug Primary: Anti-phospho-FOXO4 (Ser262) (bs-3145R) at 1/300 dilution Secondary: IRDye800CW Goat Anti-Rabbit IgG at 1/20000 dilution Predicted band size: 56 kD Observed band size: 56 kD ![]() Tissue/cell: Rat brain tissue; 4% Paraformaldehyde-fixed and paraffin-embedded; Antigen retrieval: citrate buffer ( 0.01M, pH 6.0 ), Boiling bathing for 15min; Block endogenous peroxidase by 3% Hydrogen peroxide for 30min; Blocking buffer (normal goat serum,C-0005) at 37℃ for 20 min; Incubation: Anti-AFX Polyclonal Antibody, Unconjugated(bs-3145R) 1:500, overnight at 4°C, followed by conjugation to the secondary antibody(SP-0023) and DAB(C-0010) staining |
风险提示:丁香通仅作为第三方平台,为商家信息发布提供平台空间。用户咨询产品时请注意保护个人信息及财产安全,合理判断,谨慎选购商品,商家和用户对交易行为负责。对于医疗器械类产品,请先查证核实企业经营资质和医疗器械产品注册证情况。
技术资料暂无技术资料 索取技术资料
phospho-FOXO4 (Ser262)磷酸化叉头蛋白4抗体
¥1580











