相关产品推荐更多 >
万千商家帮你免费找货
0 人在求购买到急需产品
- 详细信息
- 文献和实验
- 技术资料
- 供应商:
上海联迈生物工程有限公司
- 库存:
大量
- 目录编号:
LM-2887R
- 克隆性:
多克隆
- 抗原来源:
Rabbit
- 保质期:
1年
- 抗体英文名:
CYP2C9
- 抗体名:
细胞色素P450 2C9抗体
- 宿主:
Rabbit
- 适应物种:
Human, Mouse,
- 免疫原:
KLH conjugated synthetic peptide derived from human CYP2C9:351-450/490
- 亚型:
IgG
- 形态:
Lyophilized or Liquid
- 应用范围:
WB=1:500-2000 ELISA=1:2000-5000 IHC-P=1:200-800 IHC-F=1:50-200 IF=1:50-200 (石蜡切片需做抗原修复)
- 浓度:
1mg/ml
- 保存条件:
Store at -20 °C
- 规格:
100ul 200ul
| 英文名称 | CYP2C9 |
| 中文名称 | 细胞色素P450 2C9抗体 |
| 别 名 | Cytochrome P450 2C9; The Cytochrome P450 (P450) superfamily of enzymes is one of three enzyme CPC9; CYP2C; CYP2C10; CYP2C9; Cytochrome p4502C9; P450 MP; P450 PB 1; P450 PB1; P450IIC9; P450MP; S mephenytoin 4 hydroxylase; CP2C9_HUMAN. |
| 规格价格 | 100ul/1380元 购买 200ul/2200元 购买 大包装/询价 |
| 说 明 书 | 100ul 200ul |
| 研究领域 | 肿瘤 细胞生物 信号转导 生长因子和激素 新陈代谢 线粒体 |
| 抗体来源 | Rabbit |
| 克隆类型 | Polyclonal |
| 交叉反应 | Human, Mouse, |
| 产品应用 | WB=1:500-2000 ELISA=1:2000-5000 IHC-P=1:200-800 IHC-F=1:50-200 IF=1:50-200 (石蜡切片需做抗原修复) not yet tested in other applications. optimal dilutions/concentrations should be determined by the end user. |
| 分 子 量 | 56kDa |
| 细胞定位 | 细胞浆 细胞膜 线粒体 |
| 性 状 | Lyophilized or Liquid |
| 浓 度 | 1mg/ml |
| 免 疫 原 | KLH conjugated synthetic peptide derived from human CYP2C9:351-450/490 |
| 亚 型 | IgG |
| 纯化方法 | affinity purified by Protein A |
| 储 存 液 | 0.01M TBS(pH7.4) with 1% BSA, 0.03% Proclin300 and 50% Glycerol. |
| 保存条件 | Store at -20 °C for one year. Avoid repeated freeze/thaw cycles. The lyophilized antibody is stable at room temperature for at least one month and for greater than a year when kept at -20°C. When reconstituted in sterile pH 7.4 0.01M PBS or diluent of antibody the antibody is stable for at least two weeks at 2-4 °C. |
| PubMed | PubMed |
| 产品介绍 | background: This gene encodes a member of the cytochrome P450 superfamily of enzymes. The cytochrome P450 proteins are monooxygenases which catalyze many reactions involved in drug metabolism and synthesis of cholesterol, steroids and other lipids. This protein localizes to the endoplasmic reticulum and its expression is induced by rifampin. The enzyme is known to metabolize many xenobiotics, including phenytoin, tolbutamide, ibuprofen and S-warfarin. Studies identifying individuals who are poor metabolizers of phenytoin and tolbutamide suggest that this gene is polymorphic. The gene is located within a cluster of cytochrome P450 genes on chromosome 10q24. [provided by RefSeq, Jul 2008] Function: Cytochromes P450 are a group of heme-thiolate monooxygenases. In liver microsomes, this enzyme is involved in an NADPH-dependent electron transport pathway. It oxidizes a variety of structurally unrelated compounds, including steroids, fatty acids, and xenobiotics. This enzyme contributes to the wide pharmacokinetics variability of the metabolism of drugs such as S-warfarin, diclofenac, phenytoin, tolbutamide and losartan. Subcellular Location: Endoplasmic reticulum membrane; Peripheral membrane protein. Microsome membrane; Peripheral membrane protein. Similarity: Belongs to the cytochrome P450 family. SWISS: P11712 Gene ID: 1559 Database links: Entrez Gene: 1559 Human Omim: 601130 Human SwissProt: P11712 Human Unigene: 282624 Human Important Note: This product as supplied is intended for research use only, not for use in human, therapeutic or diagnostic applications. |
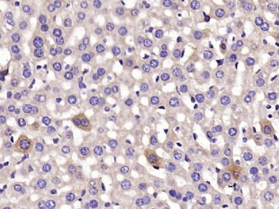
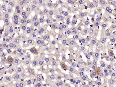
| 产品图片 | ![]() Sample: Liver (Mouse) Lysate at 40 ug Primary: Anti-CYP2C9 (bs-2887R) at 1/1000 dilution Secondary: IRDye800CW Goat Anti-Rabbit IgG at 1/20000 dilution Predicted band size: 56 kD Observed band size: 56 kD ![]() Paraformaldehyde-fixed, paraffin embedded (Mouse liver); Antigen retrieval by boiling in sodium citrate buffer (pH6.0) for 15min; Block endogenous peroxidase by 3% hydrogen peroxide for 20 minutes; Blocking buffer (normal goat serum) at 37°C for 30min; Antibody incubation with (CYP2C9) Polyclonal Antibody, Unconjugated (bs-2887R) at 1:400 overnight at 4°C, followed by a conjugated secondary antibody (sp-0023) for 20 minutes and DAB staining. |
风险提示:丁香通仅作为第三方平台,为商家信息发布提供平台空间。用户咨询产品时请注意保护个人信息及财产安全,合理判断,谨慎选购商品,商家和用户对交易行为负责。对于医疗器械类产品,请先查证核实企业经营资质和医疗器械产品注册证情况。
文献和实验nucleotide polymorphisms (SNPs) in the warfarin drug target VKORC1 and another ~12% by two non-synonymous SNPs (*2 , *3 ) in the cytochrome P450 warfarin-metabolizing gene CYP2C9 . We initially tested each of 325,997 GWAS SNPs for association with warfarin
小鼠细胞色素P450(Cytochrome P450)ELISA试剂盒 说明书
上海西唐生物科技有限公司 021-55229872, 65333639 www.westang.com 小鼠细胞色素P450 ( Cytochrome P450 )ELISA 试剂盒 原理 本实验采用双抗体夹心 ABC-ELISA 法。用抗小鼠 Cytochrome P450 单抗包被于酶标板上,标准品和样品中的 Cytochrome P450与单抗结合,加入生物素化的抗小鼠
存在于很多细胞的微粒体和副肾皮质的线粒体里的一种血红蛋白质,也简称 P- 450( p是色素 pigment的缩写)。在还原状态,和 CO牢固结合,形成在 450毫微米处最大的吸收光谱。如与膜结合进行可溶化,就变成最大吸收在 420毫微米处的 CO结合物的 P- 420的物质。 P- 450能自动氧化,通过分子态氧催化类固醇和芳香族胺等羟基化反应。这时需要 NADPH。它是经过一种黄素酶和铁氧还原蛋白( ferredoxin)一样的物质,在副肾皮质里是皮质铁氧
技术资料暂无技术资料 索取技术资料












