相关产品推荐更多 >
万千商家帮你免费找货
0 人在求购买到急需产品
- 详细信息
- 文献和实验
- 技术资料
- 供应商:
上海联迈生物工程有限公司
- 库存:
大量
- 目录编号:
LM-2550R
- 克隆性:
多克隆
- 抗原来源:
Rabbit
- 保质期:
1年
- 抗体英文名:
NAP2
- 抗体名:
中性粒细胞活性蛋白2/血小板碱性蛋白抗体
- 宿主:
Rabbit
- 适应物种:
Human, Mouse, Rat, Pig,
- 免疫原:
KLH conjugated synthetic peptide derived from mouse CXCL7:61-130/130
- 亚型:
IgG
- 形态:
Lyophilized or Liquid
- 应用范围:
WB=1:500-2000 ELISA=1:500-1000 IHC-P=1:400-800 IHC-F=1:400-800 IF=1:100-500 (石蜡切片需做抗原修复)
- 浓度:
1mg/ml
- 保存条件:
Store at -20 °C
- 规格:
50ul 100ul 200ul
| 英文名称 | NAP2 |
| 中文名称 | 中性粒细胞活性蛋白2/血小板碱性蛋白抗体 |
| 别 名 | B TG1; Beta TG; b-TG1; beta-TG; NAP-2; NAP2; NAP 2; Beta thromboglobulin; Chemokine (C X C motif) ligand 7; Connective tissue activating peptide III; CTAP 3; CTAP III; CTAP3; CTAPIII; CXC chemokine ligand 7; CXCL 7; CXCL7; LA PF 4; LA-PF4; LDGF; Leukocyte derived growth factor; Low affinity platelet factor IV; MDGF; NAP 2; NAP-2; NAP 2 L1; Neutrophil activating peptide 2; PBP; Platelet basic protein; Platelet basic protein precursor; PPBP; Pro platelet basic protein; SCYB7; Small inducible cytokine B7; Small inducible cytokine subfamily B member 7; TC1; TC2; TGB; TGB1; THBGB; THBGB1; Thrombocidin 1; Thrombocidin 2; Thromboglobulin beta 1. |
| 规格价格 | 50ul/780元 购买 100ul/1380元 购买 200ul/2200元 购买 大包装/询价 |
| 说 明 书 | 50ul 100ul 200ul |
| 研究领域 | 心血管 细胞生物 免疫学 信号转导 生长因子和激素 |
| 抗体来源 | Rabbit |
| 克隆类型 | Polyclonal |
| 交叉反应 | Human, Mouse, Rat, Pig, |
| 产品应用 | WB=1:500-2000 ELISA=1:500-1000 IHC-P=1:400-800 IHC-F=1:400-800 IF=1:100-500 (石蜡切片需做抗原修复) not yet tested in other applications. optimal dilutions/concentrations should be determined by the end user. |
| 分 子 量 | 14kDa |
| 细胞定位 | 分泌型蛋白 |
| 性 状 | Lyophilized or Liquid |
| 浓 度 | 1mg/ml |
| 免 疫 原 | KLH conjugated synthetic peptide derived from mouse CXCL7:61-130/130 |
| 亚 型 | IgG |
| 纯化方法 | affinity purified by Protein A |
| 储 存 液 | 0.01M TBS(pH7.4) with 1% BSA, 0.03% Proclin300 and 50% Glycerol. |
| 保存条件 | Store at -20 °C for one year. Avoid repeated freeze/thaw cycles. The lyophilized antibody is stable at room temperature for at least one month and for greater than a year when kept at -20°C. When reconstituted in sterile pH 7.4 0.01M PBS or diluent of antibody the antibody is stable for at least two weeks at 2-4 °C. |
| PubMed | PubMed |
| 产品介绍 | background: The protein encoded by this gene is a platelet-derived growth factor that belongs to the CXC chemokine family. This growth factor is a potent chemoattractant and activator of neutrophils. It has been shown to stimulate various cellular processes including DNA synthesis, mitosis, glycolysis, intracellular cAMP accumulation, prostaglandin E2 secretion, and synthesis of hyaluronic acid and sulfated glycosaminoglycan. It also stimulates the formation and secretion of plasminogen activator by synovial cells. [provided by RefSeq, May 2010]. Function: LA-PF4 stimulates DNA synthesis, mitosis, glycolysis, intracellular cAMP accumulation, prostaglandin E2 secretion, and synthesis of hyaluronic acid and sulfated glycosaminoglycan. It also stimulates the formation and secretion of plasminogen activator by human synovial cells. NAP-2 is a ligand for CXCR1 and CXCR2, and NAP-2, NAP-2(73), NAP-2(74), NAP-2(1-66), and most potent NAP-2(1-63) are chemoattractants and activators for neutrophils. TC-1 and TC-2 are antibacterial proteins, in vitro released from activated platelet alpha-granules. CTAP-III(1-81) is more potent than CTAP-III desensitize chemokine-induced neutrophil activation. Subunit: Beta-thromboglobulin is a homotetramer. Subcellular Location: Secreted. Post-translational modifications: Proteolytic removal of residues 1-9 produces the active peptide connective tissue-activating peptide III (CTAP-III) (low-affinity platelet factor IV (LA-PF4)). Proteolytic removal of residues 1-13 produces the active peptide beta-thromboglobulin, which is released from platelets along with platelet factor 4 and platelet-derived growth factor. NAP-2(1-66) is produced by proteolytical processing, probably after secretion by leukocytes other than neutrophils. NAP-2(73) and NAP-2(74) seem not be produced by proteolytical processing of secreted precursors but are released in an active form from platelets. Similarity: Belongs to the intercrine alpha (chemokine CxC) family. SWISS: N/A Gene ID: 57349 Database links: Entrez Gene: 5473 Human Omim: 121010 Human SwissProt: P02775 Human Unigene: 2164 Human Important Note: This product as supplied is intended for research use only, not for use in human, therapeutic or diagnostic applications. |
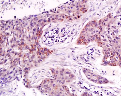
| 产品图片 | ![]() Tissue/cell: human lung carcinoma; 4% Paraformaldehyde-fixed and paraffin-embedded; Antigen retrieval: citrate buffer ( 0.01M, pH 6.0 ), Boiling bathing for 15min; Block endogenous peroxidase by 3% Hydrogen peroxide for 30min; Blocking buffer (normal goat serum,C-0005) at 37℃ for 20 min; Incubation: Anti-NAP2 Polyclonal Antibody, Unconjugated(bs-2550R) 1:200, overnight at 4°C, followed by conjugation to the secondary antibody(SP-0023) and DAB(C-0010) staining |
风险提示:丁香通仅作为第三方平台,为商家信息发布提供平台空间。用户咨询产品时请注意保护个人信息及财产安全,合理判断,谨慎选购商品,商家和用户对交易行为负责。对于医疗器械类产品,请先查证核实企业经营资质和医疗器械产品注册证情况。
文献和实验/α亚族,主要趋化中性粒细胞,包括IL-8、黑素瘤细胞生长刺激活性(GRO/MGSA)、血小板因子-4(PF-4)、血小板碱性蛋白、蛋白水解来源的产物CTAP-III和β-thromboglobulin、炎症蛋白10(IP-10)、ENA-78;(2)C-C/β亚族,主要趋化单核细胞,包括巨噬细胞炎症蛋白1α(MIP-1α)、MIP-1β、RANTES、单核细胞趋化蛋白-1(MCP-1/MCAF)、MCP-2、MCP-3和I-309。 7.其它细胞因子,如表皮生长因子(EGF)、血小板衍生
碱粒细胞增多。也可见到巨大血小板和巨核细胞碎片。中性粒细胞碱性磷酸酶积分增高是本病与慢性粒细胞白血病鉴别的依据之一。 2、骨髓象和骨髓活检“干抽”是本病骨髓穿刺的典型表现,穿刺不易成功。抽取标本片中常见大量纤维性的索状物和成团聚集的血小板。骨髓象,早期无特殊;后期80%的患者增生低下,但幼稚细胞和巨核细胞常增多,多部位穿刺可见灶性骨髓增生。 骨髓活检是确诊本病的重要方法。几乎所有患者均可见纤维组织增生和残存的造血灶,且随病情的进展,纤维组织逐渐增多而造血灶逐渐减少。 3、肝、脾
血细胞由红细胞,白细胞,血小板等组成.实验中常用白细胞来做研究,如炎症渗出,细胞迁移,识别等都涉及到白细胞.白细胞又分为:粒细胞,淋巴细胞,单核细胞等.它们具有不同的功能.实验中常需要分离血细胞方能进行。这里主要论述人外周白细胞的分离,主要是中性粒细胞(Neutrophil),淋巴细胞(Lymphocyte),单核细胞(Monocyte)的分离。其它骨髓,脾淋巴细胞等分离可参,不同种属间请注意分离液的选择。细胞分离中需要注意的几个问题1.如果您要做细胞培养,记住实验中所用的试剂(分离液,洗涤
技术资料暂无技术资料 索取技术资料











