相关产品推荐更多 >
万千商家帮你免费找货
0 人在求购买到急需产品
- 详细信息
- 文献和实验
- 技术资料
- 供应商:
上海联迈生物工程有限公司
- 库存:
大量
- 目录编号:
LM-2525R
- 克隆性:
多克隆
- 抗原来源:
Rabbit
- 保质期:
1年
- 抗体英文名:
CD155
- 抗体名:
脊髓灰质炎病毒受体抗体
- 宿主:
Rabbit
- 适应物种:
Human, Mouse, Rat, Rabbit,
- 免疫原:
KLH conjugated synthetic peptide derived from human CD155:85-180/392 <Extracellular>
- 亚型:
IgG
- 形态:
Lyophilized or Liquid
- 应用范围:
WB=1:500-2000 ELISA=1:500-1000 IHC-P=1:400-800 IHC-F=1:400-800 IF=1:100-500 (石蜡切片需做抗原修复)
- 浓度:
1mg/ml
- 保存条件:
Store at -20 °C
- 规格:
50ul 100ul 200ul
| 英文名称 | CD155 |
| 中文名称 | 脊髓灰质炎病毒受体抗体 |
| 别 名 | Poliovirus receptor; poliovirus receptor isoform alpha; CD155; FLJ25946; HVED; Necl-5; NECL5; PVS; TAGE4; Taa1; CD155 antigen; Nectin like 5; Nectin like protein 5; Ortholog of mouse Tage4; PVR; PVR_HUMAN. |
| 规格价格 | 50ul/780元 购买 100ul/1380元 购买 200ul/2200元 购买 大包装/询价 |
| 说 明 书 | 50ul 100ul 200ul |
| 研究领域 | 细胞生物 免疫学 神经生物学 细胞膜受体 细菌及病毒 |
| 抗体来源 | Rabbit |
| 克隆类型 | Polyclonal |
| 交叉反应 | Human, Mouse, Rat, Rabbit, |
| 产品应用 | WB=1:500-2000 ELISA=1:500-1000 IHC-P=1:400-800 IHC-F=1:400-800 IF=1:100-500 (石蜡切片需做抗原修复) not yet tested in other applications. optimal dilutions/concentrations should be determined by the end user. |
| 分 子 量 | 47kDa |
| 细胞定位 | 细胞膜 分泌型蛋白 |
| 性 状 | Lyophilized or Liquid |
| 浓 度 | 1mg/ml |
| 免 疫 原 | KLH conjugated synthetic peptide derived from human CD155:85-180/392 <Extracellular> |
| 亚 型 | IgG |
| 纯化方法 | affinity purified by Protein A |
| 储 存 液 | 0.01M TBS(pH7.4) with 1% BSA, 0.03% Proclin300 and 50% Glycerol. |
| 保存条件 | Store at -20 °C for one year. Avoid repeated freeze/thaw cycles. The lyophilized antibody is stable at room temperature for at least one month and for greater than a year when kept at -20°C. When reconstituted in sterile pH 7.4 0.01M PBS or diluent of antibody the antibody is stable for at least two weeks at 2-4 °C. |
| PubMed | PubMed |
| 产品介绍 | background: The protein encoded by this gene is a transmembrane glycoprotein belonging to the immunoglobulin superfamily. The external domain mediates cell attachment to the extracellular matrix molecule vitronectin, while its intracellular domain interacts with the dynein light chain Tctex-1/DYNLT1. The gene is specific to the primate lineage, and serves as a cellular receptor for poliovirus in the first step of poliovirus replication. Multiple transcript variants encoding different isoforms have been found for this gene. [provided by RefSeq]. Function: Mediates NK cell adhesion and triggers NK cell effector functions. Binds two different NK cell receptors: CD96 and CD226. These interactions accumulates at the cell-cell contact site, leading to the formation of a mature immunological synapse between NK cell and target cell. This may trigger adhesion and secretion of lytic granules and IFN-gamma and activate cytoxicity of activated NK cells. May also promote NK cell-target cell modular exchange, and PVR transfer to the NK cell. This transfer is more important in some tumor cells expressing a lot of PVR, and may trigger fratricide NK cell activation, providing tumors with a mechanism of immunoevasion. Plays a role in mediating tumor cell invasion and migration. Serves as a receptor for poliovirus attachment to target cells. May play a role in axonal transport of poliovirus, by targeting virion-PVR-containing endocytic vesicles to the microtubular network through interaction with DYNLT1. This interaction would drive the virus-containing vesicle to the axonal retrograde transport. Subunit: Can form trans-heterodimers with PVRL3/nectin-3. The extracellular domain interacts with VTN, CD226 and CD96. The cytoplasmic domain interacts with DYNLT1. Interacts with HHV-5 UL141. Interacts with poliovirus capsid composed of VP1, VP2 and VP3, mainly through VP3. Binds with high affinity to TIGIT. Subcellular Location: Isoform Alpha: Cell membrane; Single-pass type I membrane protein. Isoform Delta: Cell membrane; Single-pass type I membrane protein. Isoform Beta: Secreted. Isoform Gamma: Secreted. Post-translational modifications: N-glycosylated. N-glycan at Asn-120: Hex5HexNAc4. Similarity: Belongs to the nectin family. Contains 2 Ig-like C2-type (immunoglobulin-like) domains. Contains 1 Ig-like V-type (immunoglobulin-like) domain. SWISS: P15151 Gene ID: 5817 Database links: Entrez Gene: 5817 Human Entrez Gene: 52118 Mouse Omim: 173850 Human SwissProt: P15151 Human Unigene: 171844 Human Unigene: 227506 Mouse Important Note: This product as supplied is intended for research use only, not for use in human, therapeutic or diagnostic applications. |
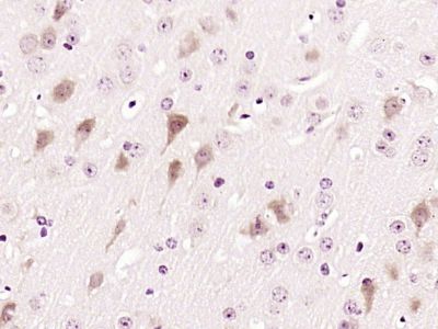
| 产品图片 | ![]() Paraformaldehyde-fixed, paraffin embedded (Mouse brain); Antigen retrieval by boiling in sodium citrate buffer (pH6.0) for 15min; Block endogenous peroxidase by 3% hydrogen peroxide for 20 minutes; Blocking buffer (normal goat serum) at 37°C for 30min; Antibody incubation with (CD155) Polyclonal Antibody, Unconjugated (bs-2525R) at 1:400 overnight at 4°C, followed by a conjugated secondary antibody (sp-0023) for 20 minutes and DAB staining. |
风险提示:丁香通仅作为第三方平台,为商家信息发布提供平台空间。用户咨询产品时请注意保护个人信息及财产安全,合理判断,谨慎选购商品,商家和用户对交易行为负责。对于医疗器械类产品,请先查证核实企业经营资质和医疗器械产品注册证情况。
文献和实验人可溶性CD155分子(sCD155)ELISA试剂盒 说明书
人可溶性CD155 分子 ( sCD155 )ELISA 试剂盒 ( 用于血清、血浆、细胞培养上清液和其它生物体液内 ) 原理 本实验采用双抗体夹心 ABC-ELISA 法。用抗人 sCD155 单抗包被于酶标板上,标准品和样品中的 sCD155与单抗结合,加入生物素化的抗人 sCD155 ,形成免疫复合物连接在板上,辣根过氧化物酶标记的 Streptavidin 与生物素结合,加入底物工作
和小鼠模型(每组至少 6-8 只小鼠) 样本分组:临床样本按 CD155 表达水平分为高表达组与低表达组 应用技术:单细胞 RNA/TCR 测序(scRNA/TCR-seq)、单细胞蛋白组学(CITE-seq)、单细胞染色质可及性测序(scATAC-seq)、bulkRNA 测序、bulkATAC 测序 研究背景 肝细胞癌(HCC)具有显著的细胞异质性,传统治疗疗效有限,免疫治疗在 HCC 中也面临应答率低等挑战。肿瘤起始细胞(Tumor-Initiating Cells,TICs)是一类具备
诱人的食用色素,却可能有害健康?何正祥等 Cell 子刊报道其促进肠炎发生的机制!
诱导之前就给予诱惑红,后续再用 IL-23 和诱惑红处理不会诱导肠炎的发生,这是因为在正常条件下,诱惑红可诱导 Treg 细胞介导耐受的发生,而 IL-23 表达的升高阻止了这一过程。 图片来源:Cell MetabolismIL-23 可以调节 CD4+ T 细胞产生细胞因子 IL-17、IL-22 和 IFN-γ。为了搞清楚这些细胞因子是否会影响肠炎的进程,作者利用抗体或基因缺陷小鼠进行了探究。结果发现分泌 IFN-γ 的 CD4+ T 细胞对肠炎的发生有着关键作用。 图片来源:Cell
技术资料暂无技术资料 索取技术资料











