相关产品推荐更多 >
万千商家帮你免费找货
0 人在求购买到急需产品
- 详细信息
- 文献和实验
- 技术资料
- 供应商:
上海联迈生物工程有限公司
- 库存:
大量
- 目录编号:
LM-2216R
- 克隆性:
多克隆
- 抗原来源:
Rabbit
- 保质期:
1年
- 抗体英文名:
IL-1RA
- 抗体名:
白介素-1受体拮抗剂抗体
- 宿主:
Rabbit
- 适应物种:
Human, Mouse, Rat, Dog, Pig, Cow, Sheep,
- 免疫原:
KLH conjugated synthetic peptide derived from human IL-1RA:26-120/178
- 亚型:
IgG
- 形态:
Lyophilized or Liquid
- 应用范围:
WB=1:500-2000 ELISA=1:500-1000 IHC-P=1:400-800 IHC-F=1:400-800 IF=1:100-500 (石蜡切片需做抗原修复)
- 浓度:
1mg/ml
- 保存条件:
Store at -20 °C
- 规格:
100ul 200ul
| 英文名称 | IL-1RA |
| 中文名称 | 白介素-1受体拮抗剂抗体 |
| 别 名 | Interleukin-1 receptor antagonist; ICIL 1RA; IL1 inhibitor; ICIL1RA; IL1F3; IL1RN; IRAP; IL1RA_HUMAN. |
| 规格价格 | 100ul/1380元 购买 200ul/2200元 购买 大包装/询价 |
| 说 明 书 | 100ul 200ul |
| 研究领域 | 免疫学 |
| 抗体来源 | Rabbit |
| 克隆类型 | Polyclonal |
| 交叉反应 | Human, Mouse, Rat, Dog, Pig, Cow, Sheep, |
| 产品应用 | WB=1:500-2000 ELISA=1:500-1000 IHC-P=1:400-800 IHC-F=1:400-800 IF=1:100-500 (石蜡切片需做抗原修复) not yet tested in other applications. optimal dilutions/concentrations should be determined by the end user. |
| 分 子 量 | 17kDa |
| 细胞定位 | 细胞浆 分泌型蛋白 |
| 性 状 | Lyophilized or Liquid |
| 浓 度 | 1mg/ml |
| 免 疫 原 | KLH conjugated synthetic peptide derived from human IL-1RA:26-120/178 |
| 亚 型 | IgG |
| 纯化方法 | affinity purified by Protein A |
| 储 存 液 | 0.01M TBS(pH7.4) with 1% BSA, 0.03% Proclin300 and 50% Glycerol. |
| 保存条件 | Store at -20 °C for one year. Avoid repeated freeze/thaw cycles. The lyophilized antibody is stable at room temperature for at least one month and for greater than a year when kept at -20°C. When reconstituted in sterile pH 7.4 0.01M PBS or diluent of antibody the antibody is stable for at least two weeks at 2-4 °C. |
| PubMed | PubMed |
| 产品介绍 | background: IL1RA is a member of the Interleukin 1 cytokine family. This protein inhibits the activities of Interleukin 1, alpha (IL1A) and Interleukin 1, beta (IL1B), and modulates a variety of Interleukin 1 related immune and inflammatory responses. This gene and five other closely related cytokine genes form a gene cluster spanning approximately 400 kb on chromosome 2. A polymorphism of this gene is reported to be associated with increased risk of osteoporotic fractures and gastric cancer. Four alternatively spliced transcript variants encoding distinct isoforms have been reported. Function: Inhibits the activity of interleukin-1 by binding to eceptor IL1R1 and preventing its association with the coreceptor IL1RAP for signaling. Has no interleukin-1 like activity. Binds functional interleukin-1 receptor IL1R1 with greater affinity than decoy receptor IL1R2; however, the physiological relevance of the latter association is unsure. Subcellular Location: Isoform 1: Secreted. Isoform 2, 3, 4: Cytoplasm. Tissue Specificity: The intracellular form of IL1RN is predominantly expressed in epithelial cells. DISEASE: Microvascular complications of diabetes 4 (MVCD4) [MIM:612628]: Pathological conditions that develop in numerous tissues and organs as a consequence of diabetes mellitus. They include diabetic retinopathy, diabetic nephropathy leading to end-stage renal disease, and diabetic neuropathy. Diabetic retinopathy remains the major cause of new-onset blindness among diabetic adults. It is characterized by vascular permeability and increased tissue ischemia and angiogenesis. Note=Disease susceptibility is associated with variations affecting the gene represented in this entry. Interleukin 1 receptor antagonist deficiency (DIRA) [MIM:612852]: A rare autoinflammatory disease of skin and bone resulting in sterile multifocal osteomyelitis, periostitis, and pustulosis from birth. The term autoinflammatory disease describes a group of disorders characterized by attacks of seemingly unprovoked inflammation without significant levels of autoantibodies and autoreactive T-cells. Note=The disease is caused by mutations affecting the gene represented in this entry. SWISS: P25085 Gene ID: 3557 Database links: Entrez Gene: 3557 Human Entrez Gene: 16181 Mouse Entrez Gene: 60582 Rat Omim: 147679 Human SwissProt: P18510 Human SwissProt: P25085 Mouse SwissProt: P25086 Rat Unigene: 81134 Human Unigene: 882 Mouse Unigene: 162640 Rat Important Note: This product as supplied is intended for research use only, not for use in human, therapeutic or diagnostic applications. IL-1受体拮抗剂(IL-1ra)是IL-1强有力的内生拮抗剂,通过与白细胞介素-1的Ⅰ型和Ⅱ型受体结合,特异性地阻断白细胞介素-1的生物学作用。白介素1受体拮抗剂(IL-1Ra)是体内天然的一种对IL-1有拮抗作用的细胞因子。 |
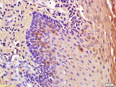
| 产品图片 | ![]() Sample: Lane1:Plasma(Mouse) Tissue Lysate at 30 ug Lane2:Hemocyte(Mouse) Tissue Lysate at 30 ug Primary: Anti-IL-1RA (bs-2216R)at 1/300 dilution Secondary: IRDye800CW Goat Anti-Rabbit IgG at 1/20000 dilution Predicted band size: 18 kD Observed band size: 23 kD ![]() Sample: Spleen(Mouse) Tissue Lysate at 30 ug Primary: Anti-IL-1RA (bs-2216R)at 1/300 dilution Secondary: IRDye800CW Goat Anti-Rabbit IgG at 1/20000 dilution Predicted band size: 18 kD Observed band size: 23 kD ![]() Tissue/cell: Human oral squamous cell carcinoma; 4% Paraformaldehyde-fixed and paraffin-embedded; Antigen retrieval: citrate buffer ( 0.01M, pH 6.0 ), Boiling bathing for 15min; Block endogenous peroxidase by 3% Hydrogen peroxide for 30min; Blocking buffer (normal goat serum,C-0005) at 37℃ for 20 min; Incubation: Anti-IL-1RA Polyclonal Antibody, Unconjugated(bs-2216R) 1:200, overnight at 4°C, followed by conjugation to the secondary antibody(SP-0023) and DAB(C-0010) staining |
风险提示:丁香通仅作为第三方平台,为商家信息发布提供平台空间。用户咨询产品时请注意保护个人信息及财产安全,合理判断,谨慎选购商品,商家和用户对交易行为负责。对于医疗器械类产品,请先查证核实企业经营资质和医疗器械产品注册证情况。
文献和实验2,表 1) 证实了其安全性和有效性 [1, 2]。 AAV 在骨科研究中的应用案例 应用案例 1:骨关节炎的 AAV 基因治疗[3] 研究背景:骨关节炎(OA)是一种全球性的重大健康问题,目前尚无疾病修饰疗法。白细胞介素-1(IL-1)是与 OA 病 理生理学相关的关键细胞因子,可通过 IL-1 受体拮抗剂(IL-1Ra)抑制。研究团队开发了一种自互补型重组 AAV 载体(sc-rAAV2.5IL-1Ra),用于将 IL-1Ra 基因递送至膝关节。 研究方法: 试验设计:这是一项开放标签、单
上海西唐生物科技有限公司 021-55229872, 65333639 www.westang.com 大鼠白介素 -1ra(IL-1ra)ELISA 试剂盒 ( 用于血清、血浆、细胞培养上清液和其它生物体液内 ) 原理 本实验采用双抗体夹心 ABC-ELISA 法。用抗大鼠 IL-1ra 单抗包被于酶标板上,标准品和样品中的 IL-1ra 与单抗结合,加入生物素化的抗大鼠 IL-1ra ,形成免疫
上海西唐生物科技有限公司 021-55229872, 65333639 www.westang.com 人白介素-1ra (IL-1ra)ELISA 试剂盒 ( 用于血清、血浆、细胞培养上清液和其它生物体液内 ) 原理 本实验采用双抗体夹心 ABC-ELISA 法。用抗人 IL-1ra 单抗包被于酶标板上,标准品和样品中的 IL-1ra与单抗结合,加入生物
技术资料暂无技术资料 索取技术资料













