相关产品推荐更多 >
万千商家帮你免费找货
0 人在求购买到急需产品
- 详细信息
- 文献和实验
- 技术资料
- 供应商:
上海联迈生物工程有限公司
- 库存:
大量
- 目录编号:
LM-7525R
- 克隆性:
多克隆
- 抗原来源:
Rabbit
- 保质期:
1年
- 抗体英文名:
TNMD
- 抗体名:
腱调蛋白/软骨调节素样1蛋白抗体
- 宿主:
Rabbit
- 适应物种:
Human, Mouse, Rat, Dog, Pig, Cow, Horse, Rabbit, Sheep,
- 免疫原:
KLH conjugated synthetic peptide derived from human TNMD:151-250/317 <Extracellular>
- 亚型:
IgG
- 形态:
Lyophilized or Liquid
- 应用范围:
ELISA=1:500-1000 IHC-P=1:400-800 IHC-F=1:400-800 IF=1:100-500 (石蜡切片需做抗原修复)
- 浓度:
1mg/ml
- 保存条件:
Store at -20 °C
- 规格:
50ul 100ul 200ul
| 英文名称 | TNMD |
| 中文名称 | 腱调蛋白/软骨调节素样1蛋白抗体 |
| 别 名 | BRICD4; BRICHOS domain containing 4; CHM1 LIKE; CHM1L; Chondromodulin I like; Chondromodulin I like protein; Chondromodulin-1-like protein; Chondromodulin-I-like protein; hChM1L; hTeM; Myodulin; TEM; Tendin; Tenomodulin; Tenomodulin protein; TNMD; TNMD_HUMAN; UNQ771/PRO1565. |
![]() |
Specific References (2) | bs-7525R has been referenced in 2 publications. [IF=2.61] Shimada, Akemi, et al. "Efficient expansion of mouse primary tenocytes using a novel collagen gel culture method." Histochemistry and Cell Biology (2014): 1-11. Mouse. PubMed:24509807 [IF=2.93] Wada, Satoshi, et al. "H3K9MTase G9a is essential for the differentiation and growth of tenocytes in vitro." Histochemistry and Cell Biology (2015): 1-8. IHC-P ; Mouse. PubMed:25812847 |
| 规格价格 | 50ul/780元 购买 100ul/1380元 购买 200ul/2200元 购买 大包装/询价 |
| 说 明 书 | 50ul 100ul 200ul |
| 研究领域 | 心血管 血管内皮细胞 |
| 抗体来源 | Rabbit |
| 克隆类型 | Polyclonal |
| 交叉反应 | Human, Mouse, Rat, Dog, Pig, Cow, Horse, Rabbit, Sheep, |
| 产品应用 | ELISA=1:500-1000 IHC-P=1:400-800 IHC-F=1:400-800 IF=1:100-500 (石蜡切片需做抗原修复) not yet tested in other applications. optimal dilutions/concentrations should be determined by the end user. |
| 分 子 量 | 37kDa |
| 细胞定位 | 细胞核 细胞浆 细胞膜 |
| 性 状 | Lyophilized or Liquid |
| 浓 度 | 1mg/ml |
| 免 疫 原 | KLH conjugated synthetic peptide derived from human TNMD:151-250/317 <Extracellular> |
| 亚 型 | IgG |
| 纯化方法 | affinity purified by Protein A |
| 储 存 液 | 0.01M TBS(pH7.4) with 1% BSA, 0.03% Proclin300 and 50% Glycerol. |
| 保存条件 | Store at -20 °C for one year. Avoid repeated freeze/thaw cycles. The lyophilized antibody is stable at room temperature for at least one month and for greater than a year when kept at -20°C. When reconstituted in sterile pH 7.4 0.01M PBS or diluent of antibody the antibody is stable for at least two weeks at 2-4 °C. |
| PubMed | PubMed |
| 产品介绍 | background: This gene encodes a protein that is related to chondromodulin-I, which is a cartilage-specific glycoprotein that functions to stimulate chondrocyte growth and to inhibit tube formation of endothelial cells. This protein is also an angiogenesis inhibitor. Genetic variation in this gene is associated with a risk for type 2 diabetes, central obesity and serum levels of systemic immune mediators in a body size-dependent manner. This gene is also a candidate gene for age-related macular degeneration, though a direct link has yet to be demonstrated. [provided by RefSeq, Sep 2009]. Function: May be an angiogenesis inhibitor. Subcellular Location: Membrane; Single-pass type II membrane protein. Similarity: Belongs to the chondromodulin-1 family. Contains 1 BRICHOS domain. SWISS: Q9H2S6 Gene ID: 64102 Database links: Entrez Gene: 64102 Human Entrez Gene: 64103 Mouse Entrez Gene: 64104 Rat Omim: 300459 Human SwissProt: Q9H2S6 Human SwissProt: Q9EP64 Mouse SwissProt: Q9ESC2 Rat Unigene: 132957 Human Unigene: 46221 Mouse Unigene: 26691 Rat Important Note: This product as supplied is intended for research use only, not for use in human, therapeutic or diagnostic applications. |
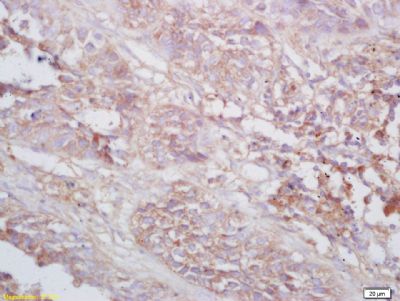
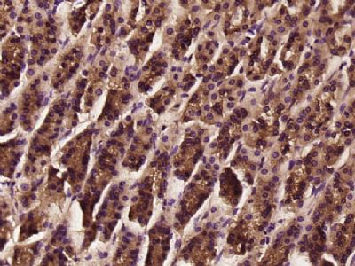
| 产品图片 | ![]() Tissue/cell: human lung carcinoma; 4% Paraformaldehyde-fixed and paraffin-embedded; Antigen retrieval: citrate buffer ( 0.01M, pH 6.0 ), Boiling bathing for 15min; Block endogenous peroxidase by 3% Hydrogen peroxide for 30min; Blocking buffer (normal goat serum,C-0005) at 37℃ for 20 min; Incubation: Anti-TNMD/tenomodulin Polyclonal Antibody, Unconjugated(bs-7525R) 1:200, overnight at 4℃, followed by conjugation to the secondary antibody(SP-0023) and DAB(C-0010) staining ![]() Paraformaldehyde-fixed, paraffin embedded (rat stomach tissue); Antigen retrieval by boiling in sodium citrate buffer (pH6.0) for 15min; Block endogenous peroxidase by 3% hydrogen peroxide for 20 minutes; Blocking buffer (normal goat serum) at 37°C for 30min; Antibody incubation with (TNMD) Polyclonal Antibody, Unconjugated (bs-7525R) at 1:400 overnight at 4°C, followed by operating according to SP Kit(Rabbit) (sp-0023) instructionsand DAB staining. |
风险提示:丁香通仅作为第三方平台,为商家信息发布提供平台空间。用户咨询产品时请注意保护个人信息及财产安全,合理判断,谨慎选购商品,商家和用户对交易行为负责。对于医疗器械类产品,请先查证核实企业经营资质和医疗器械产品注册证情况。
文献和实验-- 低密度脂蛋白HDL--高密度脂蛋白IDL--中间密度脂蛋白HL--肝性脂酶LPL--脂蛋白脂酶LCAT--胆固醇酰基转移酶 LTP--脂质转运蛋白FABP--脂肪酸结合蛋白郭清作用,增加调节。 2、简述一种脂蛋白受体的分子结构特征。 LDL 受体—配体结合域,EGF前体同源区,O-连接糖连,跨膜段,胞质域。 3、主要脂蛋白的密度分类、电泳分类、功能及缩写符号间的关系。 4、Apo可分哪些大类。至今已从人血浆中分离出的载脂蛋白有18 种之多.主要有Apo A、B、C、E 四大类 5、CM
/96T 2000/3000 进口分装 F00100 载脂蛋白 E(APO E) ELISA 48T/96T 2000/3000 进口分装 F00110 抗利尿激素 (AVP) ELISA 48T/96T 2000/3000 进口分装 F00111 肾上腺皮质素 (ADM) ELISA 48T/96T 2000/3000 进口分装 F00112 不对称性二甲基精氨酸 (ADMA) ELISA 48T/96T 2000/3000 进口分装 F00113 人 ADAM
ml)配制: 1)将D-Hanks(橙红色)液高压消毒灭菌,用NaHCO3液调节pH至7.2左右。 2)称取胰蛋白酶粉末置烧杯中,先用少许消毒的盐溶液调成糊状,然后再补足盐溶液,搅拌混匀,置室温4小时或冰箱内过夜,并不时搅拌振荡。 3)次日先用滤纸粗虑,再过滤除菌,分装入瓶中,低温冰箱或-20℃保存备用,常用浓度为0.25%或0.125%;胰蛋白酶溶液(深红色)偏酸,使用前用NaHCO3调pH至7.2左右。 D-Hanks液配制:KCl 0.4g/L, KH2PO4 0.06 g/L
技术资料暂无技术资料 索取技术资料













