相关产品推荐更多 >
万千商家帮你免费找货
0 人在求购买到急需产品
- 详细信息
- 文献和实验
- 技术资料
- 供应商:
上海联迈生物工程有限公司
- 库存:
大量
- 目录编号:
LM-20746R
- 克隆性:
多克隆
- 抗原来源:
Rabbit
- 保质期:
1年
- 抗体英文名:
GPR49/LGR5
- 抗体名:
G蛋白偶联受体49抗体
- 宿主:
Rabbit
- 适应物种:
Human, Mouse, Rat, Pig, Cow, Sheep,
- 免疫原:
KLH conjugated synthetic peptide derived from human GPR49/LGR5:331-430/907 <Extracellular>
- 亚型:
IgG
- 形态:
Lyophilized or Liquid
- 应用范围:
WB=1:500-2000 ELISA=1:500-1000 IHC-P=1:400-800 IHC-F=1:400-800 ICC=1:100-500 IF=1:100-500 (石蜡切片需做抗原修复)
- 浓度:
1mg/ml
- 保存条件:
Store at -20 °C
- 规格:
100ul 200ul
| 英文名称 | GPR49/LGR5 |
| 中文名称 | G蛋白偶联受体49抗体 |
| 别 名 | G protein coupled receptor 49; G-protein coupled receptor 49; G-protein coupled receptor 67; GPCR GPR49; G protein coupled receptor 67; FEX; g protein-coupled receptor fex; G-protein coupled receptor HG38; GPR 49; GPR 67; GPR49; GPR67; Leucine rich repeat containing G protein coupled receptor 5; LGR5; HG 38; HG38; LGR5; LGR5_HUMAN; MGC117008; Leucine-rich repeat-containing G-protein coupled receptor 5; LGR 5; Orphan G protein coupled receptor HG38. |
| 规格价格 | 100ul/1380元 购买 200ul/2200元 购买 大包装/询价 |
| 说 明 书 | 100ul 200ul |
| 研究领域 | 肿瘤 信号转导 干细胞 细胞凋亡 G蛋白偶联受体 G蛋白信号 |
| 抗体来源 | Rabbit |
| 克隆类型 | Polyclonal |
| 交叉反应 | Human, Mouse, Rat, Pig, Cow, Sheep, |
| 产品应用 | WB=1:500-2000 ELISA=1:500-1000 IHC-P=1:400-800 IHC-F=1:400-800 ICC=1:100-500 IF=1:100-500 (石蜡切片需做抗原修复) not yet tested in other applications. optimal dilutions/concentrations should be determined by the end user. |
| 分 子 量 | 98kDa |
| 细胞定位 | 细胞膜 |
| 性 状 | Lyophilized or Liquid |
| 浓 度 | 1mg/ml |
| 免 疫 原 | KLH conjugated synthetic peptide derived from human GPR49/LGR5:331-430/907 <Extracellular> |
| 亚 型 | IgG |
| 纯化方法 | affinity purified by Protein A |
| 储 存 液 | 0.01M TBS(pH7.4) with 1% BSA, 0.03% Proclin300 and 50% Glycerol. |
| 保存条件 | Store at -20 °C for one year. Avoid repeated freeze/thaw cycles. The lyophilized antibody is stable at room temperature for at least one month and for greater than a year when kept at -20°C. When reconstituted in sterile pH 7.4 0.01M PBS or diluent of antibody the antibody is stable for at least two weeks at 2-4 °C. |
| PubMed | PubMed |
| 产品介绍 | background: The protein encoded by this gene is a leucine-rich repeat-containing receptor (LGR) and member of the G protein-coupled, 7-transmembrane receptor (GPCR) superfamily. The encoded protein is a receptor for R-spondins and is involved in the canonical Wnt signaling pathway. This protein plays a role in the formation and maintenance of adult intestinal stem cells during postembryonic development. Several transcript variants encoding different isoforms have been found for this gene. [provided by RefSeq, Sep 2015] Function: Receptor for R-spondins that potentiates the canonical Wnt signaling pathway and acts as a stem cell marker of the intestinal epithelium and the hair follicle. Upon binding to R-spondins (RSPO1, RSPO2, RSPO3 or RSPO4), associates with phosphorylated LRP6 and frizzled receptors that are activated by extracellular Wnt receptors, triggering the canonical Wnt signaling pathway to increase expression of target genes. In contrast to classical G-protein coupled receptors, does not activate heterotrimeric G-proteins to transduce the signal. Involved in the development and/or maintenance of the adult intestinal stem cells during postembryonic development. Subunit: Identified in a complex composed of RNF43, LGR5 and RSPO1. Subcellular Location: Cell membrane; Multi-pass membrane protein Tissue Specificity: Expressed in skeletal muscle, placenta, spinal cord, and various region of brain. Expressed at the base of crypts in colonic and small mucosa stem cells. In premalignant cancer expression is not restricted to the cript base. Overexpressed in cancers of the ovary, colon and liver. Similarity: Belongs to the G-protein coupled receptor 1 family. Contains 16 LRR (leucine-rich) repeats. Contains 1 LRRNT domain. SWISS: O75473 Gene ID: 8549 Database links: Entrez Gene: 8549 Human Entrez Gene: 14160 Mouse Entrez Gene: 299802 Rat Omim: 606667 Human SwissProt: O75473 Human SwissProt: Q9Z1P4 Mouse Unigene: 658889 Human Unigene: 42103 Mouse Unigene: 214063 Rat Important Note: This product as supplied is intended for research use only, not for use in human, therapeutic or diagnostic applications. Lgr5基因(Wnt细胞信号系统)是一种G蛋白偶联受体,已经被确定为几种成年组织和癌症中干细胞的一个独特标记。Lgr5最初是在结肠癌细胞中发现的,有报道称:在恶化前的小鼠腺瘤中也有发现,这说明Lgr5很可能也是其他组织成体干细胞和癌症干细胞的标志物。 |
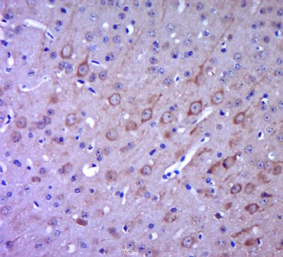
| 产品图片 | ![]() Sample: HepG2(Human) Cell Lysate at 40 ug Primary: Anti-LGR5 (bs-20476R) at 1/300 dilution Secondary: IRDye800CW Goat Anti-Rabbit IgG at 1/20000 dilution Predicted band size: 98 kD Observed band size: 115 kD ![]() Paraformaldehyde-fixed, paraffin embedded (mouse brain tissue); Antigen retrieval by boiling in sodium citrate buffer (pH6.0) for 15min; Block endogenous peroxidase by 3% hydrogen peroxide for 20 minutes; Blocking buffer (normal goat serum) at 37°C for 30min; Antibody incubation with (GPR49) Polyclonal Antibody, Unconjugated (bs-20746R) at 1:400 overnight at 4°C, followed by a conjugated secondary (sp-0023) for 20 minutes and DAB staining. |
风险提示:丁香通仅作为第三方平台,为商家信息发布提供平台空间。用户咨询产品时请注意保护个人信息及财产安全,合理判断,谨慎选购商品,商家和用户对交易行为负责。对于医疗器械类产品,请先查证核实企业经营资质和医疗器械产品注册证情况。
文献和实验rebeccagold 大家好。 最近在做建一个高表达某G蛋白偶联受体的CHO细胞株,载体是pEGFP-C1。 稳定筛选后,细胞的荧光表达很好。 但奇怪的问题是,该受体定位出现了问题。原本该定位在膜的G蛋白偶联受体,现在基本上呈全细胞分布,而且核尤其亮。百思不得其解。 请各位战友指点。 附图为该细胞的Confocal图,没有染核。 多谢大家啦! woxingwosu 呵呵,你的
rebeccagold 大家好。 最近在做建一个高表达某G蛋白偶联受体的CHO细胞株,载体是pEGFP-C1。 稳定筛选后,细胞的荧光表达很好。 但奇怪的问题是,该受体定位出现了问题。原本该定位在膜的G蛋白偶联受体,现在基本上呈全细胞分布,而且核尤其亮。百思不得其解。 请各位战友指点。 附图为该细胞的Confocal图,没有染核。 多谢大家啦! kern6549 会不会是该受体
【求助】欲寻找G蛋白偶联受体激酶对某一G蛋白偶联受体的磷酸化位点,其实验应该如何设计
ellen_hu 作为这方面的白痴,实在一团雾水,有没有高手指点一二,把其中的一般流程讲述一下,是我能够形成一个整体的印象,谢谢!!!!! 急切!!! chenlinjie686 上nature或者annualreview 查GRK的综述文献... chenlinjie686 丝氨酸苏氨酸的点突变咯 本文由丁香园论坛提供,想了解更多有用的、有意思的前沿资讯以及酷炫
技术资料暂无技术资料 索取技术资料












