相关产品推荐更多 >
万千商家帮你免费找货
0 人在求购买到急需产品
- 详细信息
- 文献和实验
- 技术资料
- 供应商:
上海联迈生物工程有限公司
- 库存:
大量
- 目录编号:
LM-20485R
- 克隆性:
多克隆
- 抗原来源:
Rabbit
- 保质期:
1年
- 抗体英文名:
SIP1
- 抗体名:
Smad蛋白相互作用蛋白1抗体
- 宿主:
Rabbit
- 适应物种:
Human, Mouse, Rat, Dog, Pig, Cow, Horse, Sheep,
- 免疫原:
KLH conjugated synthetic peptide derived from human SIP1:721-820/1214
- 亚型:
IgG
- 形态:
Lyophilized or Liquid
- 应用范围:
WB=1:500-2000 ELISA=1:500-1000 IHC-P=1:400-800 IHC-F=1:400-800 ICC=1:100-500 IF=1:100-500 (石蜡切片需做抗原修复)
- 浓度:
1mg/ml
- 保存条件:
Store at -20 °C
- 规格:
100ul 200ul
| 英文名称 | SIP1 |
| 中文名称 | Smad蛋白相互作用蛋白1抗体 |
| 别 名 | Smad Interacting Protein 1 SIP 1; SIP1 SIP-1; Smad-interacting protein 1; SMADIP 1; SMADIP1; ZEB 2; ZEB2; ZEB2_HUMAN; Zfhx1b; ZFHX1B protein; Zfx1b; Zinc finger E box binding protein 2; Zinc finger E-box-binding homeobox 2; Zinc finger homeobox 1b; zinc finger homeobox protein 1; Zinc finger homeobox protein 1b. |
| 规格价格 | 100ul/1380元 购买 200ul/2200元 购买 大包装/询价 |
| 说 明 书 | 100ul 200ul |
| 研究领域 | 心血管 细胞生物 发育生物学 神经生物学 干细胞 细胞周期蛋白 转录调节因子 表观遗传学 |
| 抗体来源 | Rabbit |
| 克隆类型 | Polyclonal |
| 交叉反应 | Human, Mouse, Rat, Dog, Pig, Cow, Horse, Sheep, |
| 产品应用 | WB=1:500-2000 ELISA=1:500-1000 IHC-P=1:400-800 IHC-F=1:400-800 ICC=1:100-500 IF=1:100-500 (石蜡切片需做抗原修复) not yet tested in other applications. optimal dilutions/concentrations should be determined by the end user. |
| 分 子 量 | 136kDa |
| 细胞定位 | 细胞核 |
| 性 状 | Lyophilized or Liquid |
| 浓 度 | 1mg/ml |
| 免 疫 原 | KLH conjugated synthetic peptide derived from human SIP1:721-820/1214 |
| 亚 型 | IgG |
| 纯化方法 | affinity purified by Protein A |
| 储 存 液 | Preservative: 15mM Sodium Azide, Constituents: 1% BSA, 0.01M PBS, pH 7.4 |
| 保存条件 | Store at -20 °C for one year. Avoid repeated freeze/thaw cycles. The lyophilized antibody is stable at room temperature for at least one month and for greater than a year when kept at -20°C. When reconstituted in sterile pH 7.4 0.01M PBS or diluent of antibody the antibody is stable for at least two weeks at 2-4 °C. |
| PubMed | PubMed |
| 产品介绍 | background: SMAD regulates gene expression by interacting with different classes of transcription factors including DNA-binding multi-zinc finger proteins. SIP1, for SMAD interacting protein 1, is a member of the delta-EF1/Zfh1 family of 2-handed zinc finger/homeodomain proteins. SIP1 contains a SMAD-binding domain, a homeodomain and two clusters of zinc fingers on the N- and C-termini. SIP1, also known as SMADIP1, ZFHX1B and ZEB2 (zinc finger E-box-binding protein 2), can be induced by TGF∫ treatment. SIP1 plays a crucial role in normal embryonic development of neural structures and the neural crest. The human SIP1 gene maps to chromosome 2q22. Mutations in the SIP1 gene cause a form of Hirschsprung disease (HSCR). Patients with SIP1 mutations show mental retardation, delayed motor development, epilepsy, microcephaly, distinct facial features and/or congenital heart disease—all symptoms of HSCR. Function: Transcriptional inhibitor that binds to DNA sequence 5'-CACCT-3' in different promoters. Represses transcription of E-cadherin. Subunit: Binds activated SMAD1, activated SMAD2 and activated SMAD3; binding with SMAD4 is not detected (By similarity). Interacts with CBX4 and CTBP1. Subcellular Location: Nucleus. Post-translational modifications: Sumoylation on Lys-391 and Lys-866 is promoted by the E3 SUMO-protein ligase CBX4, and impairs interaction with CTBP1 and transcription repression activity. DISEASE: Defects in ZEB2 are the cause of Mowat-Wilson syndrome (MWIS) [MIM:235730]; also known as Hirschsprung disease-mental retardation syndrome. A complex developmental disorder characterized by mental retardation, delayed motor development, epilepsy, microcephaly and a wide spectrum of clinically heterogeneous features suggestive of neurocristopathies at the cephalic, cardiac, and vagal levels. Some patients manifest Hirschsprung disease. Affected patients show an easily recognizable facial appearance with deep set eyes and hypertelorism, medially divergent, broad eyebrows, prominent columella, pointed chin and uplifted, notched ear lobes. Similarity: Belongs to the delta-EF1/ZFH-1 C2H2-type zinc-finger family. Contains 7 C2H2-type zinc fingers. Contains 1 homeobox DNA-binding domain. SWISS: O60315 Gene ID: 9839 Database links: Entrez Gene: 9839 Human Entrez Gene: 24136 Mouse Entrez Gene: 311071 Rat Omim: 605802 Human SwissProt: O60315 Human SwissProt: Q9R0G7 Mouse Unigene: 34871 Human Unigene: 440702 Mouse Unigene: 59710 Rat Important Note: This product as supplied is intended for research use only, not for use in human, therapeutic or diagnostic applications. |
| 产品图片 |
Sample:
Hela (Human)cell Lysate at 40 ug 293T (Human)cell Lysate at 40 ug Primary: Anti-SIP1 (bs-20485R)at 1/300 dilution Secondary: IRDye800CW Goat Anti-RabbitIgG at 1/20000 dilution Predicted band size: 136kD Observed band size: 133kD
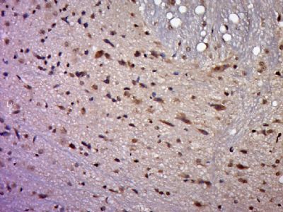
Paraformaldehyde-fixed, paraffin embedded (Rat brain); Antigen retrieval by boiling in sodium citrate buffer (pH6.0) for 15min; Block endogenous peroxidase by 3% hydrogen peroxide for 20 minutes; Blocking buffer (normal goat serum) at 37°C for 30min; Antibody incubation with (SIP1) Polyclonal Antibody, Unconjugated (bs-20485R) at 1:400 overnight at 4°C, followed by a conjugated secondary (sp-0023) for 20 minutes and DAB staining.
|
风险提示:丁香通仅作为第三方平台,为商家信息发布提供平台空间。用户咨询产品时请注意保护个人信息及财产安全,合理判断,谨慎选购商品,商家和用户对交易行为负责。对于医疗器械类产品,请先查证核实企业经营资质和医疗器械产品注册证情况。
文献和实验一、引言 在许多的细胞生命活动中,例如 DNA 复制、mRNA 转录与修饰以及病毒的感染等都涉及到 DNA 与蛋白质之间的相互作用的问题。 重组 DNA 技术的发展,人们已分离到了许多重要的基因。现在的关键问题是需要揭示环境因子及发育信号究竟是如何控制基因的转录活性。为此需要: 1. 鉴定分析参与基因表达调控的 DNA 元件。 2. 分离并鉴定这些顺式元件特异性结合的蛋白质因子。 这些问题的研究都涉及到 DNA 与蛋白质之间的相互作用。 研究 DNA-蛋白质相互作用的实验方法主要包括
1. Biacore 分析的基本实验流程 2.配体偶联方法的选择及优化 3.再生方法的选择及优化 4.结合动力学的分析方法
1. Biacore 分析的基本实验流程 2.配体偶联方法的选择及优化 3.再生方法的选择及优化 4.结合动力学的分析方法
技术资料暂无技术资料 索取技术资料












