相关产品推荐更多 >
万千商家帮你免费找货
0 人在求购买到急需产品
- 详细信息
- 文献和实验
- 技术资料
- 供应商:
上海联迈生物工程有限公司
- 库存:
大量
- 目录编号:
LM-1970R
- 克隆性:
多克隆
- 抗原来源:
Rabbit
- 保质期:
1年
- 抗体英文名:
LAMP1
- 抗体名:
溶酶体相关膜蛋白1抗体
- 宿主:
Rabbit
- 适应物种:
Human, Mouse, Rat,
- 免疫原:
KLH conjugated synthetic peptide derived from human LAMP-1:301-417/417
- 亚型:
IgG
- 形态:
Lyophilized or Liquid
- 应用范围:
WB=1:500-2000 ELISA=1:500-1000 IHC-P=1:400-800 IHC-F=1:400-800 Flow-Cyt=1μg /test ICC=1:100-500 IF=1:100-500 (石蜡切片需做抗原修复)
- 浓度:
1mg/ml
- 保存条件:
Store at -20 °C
- 规格:
50ul 100ul 200ul
| 英文名称 | LAMP1 |
| 中文名称 | 溶酶体相关膜蛋白1抗体 |
| 别 名 | CD107 antigen like family member A; CD107 antigen-like family member A; CD107a; CD107a antigen; LAMP 1; LAMP-1; LAMP1_HUMAN; LAMPA; LGP120; lgpA; Lysosomal membrane glycoprotein 120KD; Lysosomal Associated Membrane Protein 1; Lysosome associated membrane glycoprotein 1; Lysosome-associated membrane glycoprotein 1; Lysosome-associated membrane glycoprotein 1; Lysosome-associated membrane protein 1; OTTHUMP00000040663. |
![]() |
Specific References (5) | bs-1970R has been referenced in 5 publications. [IF=4.37] Guo, Hong, et al. "Niemann Pick type C2 deficiency impairs autophagy-lysosomal activity, mitochondrial function, and TLR signaling in adipocytes."Journal of Lipid Research (2016): jlr-M066522. WB ; Mouse. PubMed:27402802 [IF=9.11] Sun, Ming-Xia, et al. "Porcine reproductive and respiratory syndrome virus induces autophagy to promote virus replication." Autophagy 8.10 (2012): 1434-1447. IF(ICC) ; Monkey. PubMed:22739997 [IF=5.55] Bechor, Sapir, et al. "Adipose tissue conditioned media support macrophage lipid-droplet biogenesis by interfering with autophagic flux." Biochimica et Biophysica Acta (BBA)-Molecular and Cell Biology of Lipids (2017). WB ; Mouse. PubMed:28652194 [IF=6.43] Pan, Pan, et al. "Black Raspberries Enhance Natural Killer Cell Infiltration into the Colon and Suppress the Progression of Colorectal Cancer." Frontiers in Immunology 8 (2017): 997. IHC-P ; Mouse. PubMed:0 [IF=1.69] Jeong, Keun-Yeong, et al. "Combination of macrophage inflammatory protein 1 alpha with existing therapies to enhance the antitumor effects on murine hepatoma." Journal of Radiation Research (2014): rru077. WB ; Mouse. PubMed:25225286 |
| 规格价格 | 50ul/780元 购买 100ul/1380元 购买 200ul/2200元 购买 大包装/询价 |
| 说 明 书 | 50ul 100ul 200ul |
| 研究领域 | 肿瘤 免疫学 神经生物学 信号转导 干细胞 细胞类型标志物 新陈代谢 细胞膜蛋白 |
| 抗体来源 | Rabbit |
| 克隆类型 | Polyclonal |
| 交叉反应 | Human, Mouse, Rat, |
| 产品应用 | WB=1:500-2000 ELISA=1:500-1000 IHC-P=1:400-800 IHC-F=1:400-800 Flow-Cyt=1μg /test ICC=1:100-500 IF=1:100-500 (石蜡切片需做抗原修复) not yet tested in other applications. optimal dilutions/concentrations should be determined by the end user. |
| 分 子 量 | 42kDa |
| 细胞定位 | 细胞浆 细胞膜 |
| 性 状 | Lyophilized or Liquid |
| 浓 度 | 1mg/ml |
| 免 疫 原 | KLH conjugated synthetic peptide derived from human LAMP-1:301-417/417 |
| 亚 型 | IgG |
| 纯化方法 | affinity purified by Protein A |
| 储 存 液 | 0.01M TBS(pH7.4) with 1% BSA, 0.03% Proclin300 and 50% Glycerol. |
| 保存条件 | Store at -20 °C for one year. Avoid repeated freeze/thaw cycles. The lyophilized antibody is stable at room temperature for at least one month and for greater than a year when kept at -20°C. When reconstituted in sterile pH 7.4 0.01M PBS or diluent of antibody the antibody is stable for at least two weeks at 2-4 °C. |
| PubMed | PubMed |
| 产品介绍 | background: Lysosome associated membrane protein (LAMP1), also known as lgp120 or lgpA, is a type 1 integral membrane protein that is transported from trans Golgi networks to endosomes and then lysosomes. Upon cell activation, LAMP1 transfer to the plasma membrane is dependent on a carboxyl terminal tyrosine based motif (YXXI). Perturbation in the spacing between the tyrosine based motif relative to the membrane abolishes lysosome localization of LAMP1. This mutant protein then cycles between the plasma membrane and the endosome. Cell surface LAMP1 and LAMP2 have been shown to promote adhesion of human peripheral blood mononuclear cells (PBMC) to vascular endothelium, therefore they are possibly involved in the adhesion of PBMCs to the site of inflammation. Function: Presents carbohydrate ligands to selectins. Also mplicated in tumor cell metastasis. Subcellular Location: Cell membrane; Single-pass type I membrane protein. Endosome membrane; Single-pass type I membrane protein. Lysosome membrane; Single-pass type I membrane protein. Note=This protein shuttles between lysosomes, endosomes, and the plasma membrane. Post-translational modifications: O- and N-glycosylated; some of the 18 N-linked glycans are polylactosaminoglycans. Similarity: Belongs to the LAMP family. SWISS: P11279 Gene ID: 3916 Database links: Entrez Gene: 3916 Human Entrez Gene: 16783 Mouse Entrez Gene: 25328 Rat Omim: 153330 Human SwissProt: P11279 Human SwissProt: P11438 Mouse SwissProt: P14562 Rat Unigene: 494419 Human Unigene: 16716 Mouse Unigene: 475822 Mouse Unigene: 40177 Rat Important Note: This product as supplied is intended for research use only, not for use in human, therapeutic or diagnostic applications. CD107a可很好的反映NK细胞活性,其表达水平的上调与NK分泌细胞因子的增多及NK对靶细胞的杀伤作用的增强高度相关,采用流式检测,CD107a还可鉴定出一群无细胞因子分泌的活性NK细胞。 |
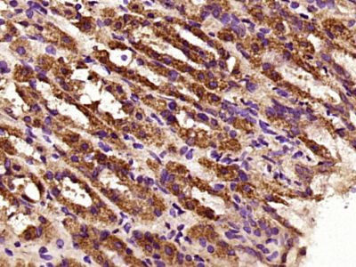
| 产品图片 | ![]() Sample: Placenta (mouse) Lysate at 40 ug Primary: Anti- LAMP1(bs-1970R)at 1/300 dilution Secondary: IRDye800CW Goat Anti-Rabbit IgG at 1/20000 dilution Predicted band size: 42kD Observed band size: 52 kD ![]() Protein: lung(mouse) lysate at 45ug; Primary: Anti-LAMP1 (bs-1970R) at 1:400; Secondary: HRP conjugated Goat Anti-Rabbit IgG(bs-0295G-HRP) at 1: 5000; ECL excitated the fluorescence; Predicted band size :42kD Observed band size : 42kD ![]() Paraformaldehyde-fixed, paraffin embedded (Rat stomach); Antigen retrieval by boiling in sodium citrate buffer (pH6.0) for 15min; Block endogenous peroxidase by 3% hydrogen peroxide for 20 minutes; Blocking buffer (normal goat serum) at 37°C for 30min; Antibody incubation with (LAMP1) Polyclonal Antibody, Unconjugated (bs-1970R) at 1:400 overnight at 4°C, followed by a conjugated secondary antibody (sp-0023) for 20 minutes and DAB staining. ![]() Tissue/cell: A549 cell; 4% Paraformaldehyde-fixed; Triton X-100 at room temperature for 20 min; Blocking buffer (normal goat serum, C-0005) at 37°C for 20 min; Antibody incubation with (LAMP1) Polyclonal Antibody, Unconjugated (bs-1970R) 1:100, 90 minutes at 37°C; followed by a conjugated Goat Anti-Rabbit IgG antibody (bs-0295G-cy3) at 37°C for 90 minutes, DAPI (5ug/ml, blue, C-0033) was used to stain the cell nuclei. ![]() Blank control (blue line): U937 (blue)(fixed with 2% paraformaldehyde for 10 min at room temperature). Primary Antibody (green line): Rabbit Anti-LAMP1 antibody (bs-1970R); Dilution: 0.2μg /10^6 cells; Isotype Control Antibody (orange line): Rabbit IgG . Secondary Antibody (white blue line): Goat anti-rabbit IgG-PE<; Dilution: 1μg /test. ![]() Blank control: RSC96(blue), the cells were fixed with 2% paraformaldehyde (10 min) and then permeabilized with ice-cold 90% methanol for 30 min on ice. Isotype Control Antibody: Rabbit IgG(orange) ; Secondary Antibody: Goat anti-rabbit IgG-PE(white blue), Dilution: 1:200 in 1 X PBS containing 0.5% BSA ; Primary Antibody Dilution: 1μg in 100 μL1X PBS containing 0.5% BSA(green). |
风险提示:丁香通仅作为第三方平台,为商家信息发布提供平台空间。用户咨询产品时请注意保护个人信息及财产安全,合理判断,谨慎选购商品,商家和用户对交易行为负责。对于医疗器械类产品,请先查证核实企业经营资质和医疗器械产品注册证情况。
文献和实验的。ATG5 在死亡肿瘤细胞中高表达,因此成为抗肿瘤治疗成功与否的重要指标,而 ATG12-ATG5-ATG16L 复合物的形成对自噬隔离膜的延伸是至关重要的。LC3 是 Atg8 在哺乳动物细胞中的同源物,LC3B-I(定位于胞浆) 与磷脂酰乙醇胺(PE)共价连接并插入到自噬体的双层膜中形成 LC3B II。LC3 偶联到自噬体上以及 LC3-I 转换成 LC3-II,已被用来作为自噬评价和测定的公认指标。自噬溶酶体形成自噬体与溶酶体的直接融合形成自噬溶酶体,形成过程中主要是 LAMP1、Rab
(RabS)作用下与溶酶体融合形成自噬溶酶体的过程,有些溶酶体相关蛋白也参与了其中,包括 LAMP1、LAMP2、UVRAG (紫外线抵抗相关肿瘤抑制基因)。而在降解阶段自噬体蛋白也发挥了重要作用,如 Atg22、Atg12、Atg15、Atg1、Atg13 等。细胞自噬的调节是一个多步骤的极其复杂的过程,目前机制尚未完全掌握,已知它主要是通过mTOR 信号通路、Beclin-1 信号通路、P53 信号通路三条途径来进行调控的。 1) mTOR 信号通路:mTOR 是是一个丝/苏氨酸
清理「垃圾」、延长寿命的溶酶体,科学家找到了它的全新修复机制,并以这所大学命名!
之处在于,PITT 途径的所有成分都已知存在,但之前并不知道它们以这个顺序相互作用,也不知道它们在溶酶体修复功能中发挥作用。我相信这些发现将对治疗衰老和与年龄相关的疾病带来影响。」 研究人员猜测,在健康人体中,溶酶体膜的微小破损会通过 PITT 途径迅速修复。但是,如果损伤太广泛或者修复途径由于衰老或疾病而受损,则会导致受损的溶酶体在细胞中积聚。 在阿尔茨海默氏症中,受损溶酶体中 tau 纤维的泄漏是疾病进展的关键步骤。当研究人员在细胞模型中敲除了编码 PITT 途径中第一种酶 PI
技术资料暂无技术资料 索取技术资料

















