相关产品推荐更多 >
万千商家帮你免费找货
0 人在求购买到急需产品
- 详细信息
- 文献和实验
- 技术资料
- 供应商:
上海联迈生物工程有限公司
- 库存:
大量
- 目录编号:
LM-1968R
- 克隆性:
多克隆
- 抗原来源:
Rabbit
- 保质期:
1年
- 抗体英文名:
KLK14
- 抗体名:
激肽释放酶14抗体
- 宿主:
Rabbit
- 适应物种:
Human, Mouse, Rat, Dog, Cow, Horse,
- 免疫原:
KLH conjugated synthetic peptide derived from human KLK14:201-267/267
- 亚型:
IgG
- 形态:
Lyophilized or Liquid
- 应用范围:
WB=1:500-2000 ELISA=1:500-1000 IHC-P=1:400-800 IHC-F=1:400-800 IF=1:100-500 (石蜡切片需做抗原修复)
- 浓度:
1mg/ml
- 保存条件:
Store at -20 °C
- 规格:
100ul 200ul
| 英文名称 | KLK14 |
| 中文名称 | 激肽释放酶14抗体 |
| 别 名 | Kallikrein 14; kallikrein-related peptidase 14; hK14; Kallikrein-like protein 6; KLK-L6; KLKL6; GK14; MGC157618. |
| 规格价格 | 100ul/1380元 购买 200ul/2200元 购买 大包装/询价 |
| 说 明 书 | 100ul 200ul |
| 研究领域 | 肿瘤 细胞生物 信号转导 激酶和磷酸酶 |
| 抗体来源 | Rabbit |
| 克隆类型 | Polyclonal |
| 交叉反应 | Human, Mouse, Rat, Dog, Cow, Horse, |
| 产品应用 | WB=1:500-2000 ELISA=1:500-1000 IHC-P=1:400-800 IHC-F=1:400-800 IF=1:100-500 (石蜡切片需做抗原修复) not yet tested in other applications. optimal dilutions/concentrations should be determined by the end user. |
| 分 子 量 | 25/29kDa |
| 细胞定位 | 细胞外基质 分泌型蛋白 |
| 性 状 | Lyophilized or Liquid |
| 浓 度 | 1mg/ml |
| 免 疫 原 | KLH conjugated synthetic peptide derived from human KLK14:201-267/267 |
| 亚 型 | IgG |
| 纯化方法 | affinity purified by Protein A |
| 储 存 液 | 0.01M TBS(pH7.4) with 1% BSA, 0.03% Proclin300 and 50% Glycerol. |
| 保存条件 | Store at -20 °C for one year. Avoid repeated freeze/thaw cycles. The lyophilized antibody is stable at room temperature for at least one month and for greater than a year when kept at -20°C. When reconstituted in sterile pH 7.4 0.01M PBS or diluent of antibody the antibody is stable for at least two weeks at 2-4 °C. |
| PubMed | PubMed |
| 产品介绍 | background: The human tissue Kallikrein gene family encodes 15 serine proteases. All Kallikreins share structural similarities including cysteine residues, a catalytic triad of His, Asp and Ser residues, typically five coding exons, and varied intron phases. Kallikreins are predominantly secreted as inactive zymogens prior to activation by cleavage of an N-terminal peptide and all function extracellularly. Kallikreins can be activated autocatalytically, via other Kallikreins, or additional proteases. While structurally similar, Kallikrein family members have distinct functions and have key roles in many physiological and pathological processes. Many human tissue Kallikreins also show promise as cancer biomarkers, which may facilitate earlier detection and characterization of many forms of cancer. Kallikrein 14, also known as kallikrein-like6 (KLK-L6), is a trypsin-like serine proteinase. Kallikrein 14 was discovered by cloning the kallikrein locus on chromosome 19 and was found to be similar to the other kallikrein family genes. Kallikrein 14 is produced by a number of tissues, including the brain, spinal cord, esophagus, salivary gland, breast, prostate, uterus, lung, thymus and thyroid. Like many of the kallikreins, Kallikrein 14 is also found in biological fluids like serum, breast milk, amniotic fluid, seminal plasma and cerebrospinal fluid. Kallikrein 14 message has been reported to be decreased in some breast cancers and in ovarian cancers, similar to Kallikrein 10. Some cell lines express Kallikrein 14 in culture and like many of the kallikreins, the production is stimulated by hormones. Recombinant kallikrein 14 was profiled on peptide substrates and found to possess both trypsin-like and chymotrypsin-like activity. The ECM proteins lamanin and collagen-IV are thought to be substrates of Kallikrein 14. Endogenous inhibitors include kallistatin, protein-C inhibitor and alpha1-proteinase inhibitor, although Kallikrein 14 can be found complexed to a number of different proteinase inhibitors. Subunit: Interacts directly with BAK1, BID, BMF and BBC3 (By similarity). Interacts directly with BCL2L11/BIM. Interacts with BAX isoform Sigma. Subcellular Location: Secreted, extracellular space. Tissue Specificity: "Highly expressed in CNS, bone marrow and fetal liver. Similarity: Belongs to the Bcl-2 family. SWISS: Q9P0G3 Gene ID: 43847 Database links: Entrez Gene: 43847 Human Entrez Gene: 317653 Mouse Entrez Gene: 308562 Rat Omim: 606135 Human SwissProt: Q9P0G3 Human SwissProt: Q8CGR5 Mouse Unigene: 283925 Human Unigene: 247377 Mouse Important Note: This product as supplied is intended for research use only, not for use in human, therapeutic or diagnostic applications. KLK14目前认为在宫颈鳞癌和腺癌中都有表达,是很有意义的标志物。激肽释放酶KLK是激肽系统的主要限速酶,它是一组存在于多数组织和体液中的丝氨酸蛋白酶,是一种肽链内切酶。KLK又称血管舒缓素,包括15个家族成员。在不同的组织中广泛表达,具有蛋白水解酶的活性。它特异性的在碳末端切割底物肽,可裂解激肽原释放具有活性的激肽,由激肽发挥对心血管系统及肾脏功能的调节作用。 |
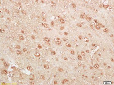
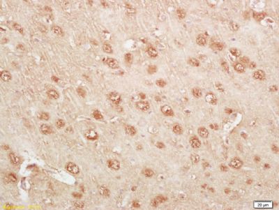
| 产品图片 | ![]() Sample:Cerebrum (Rat)Lysate at 40 ug Primary: Anti-KLK14(bs-1968R)at 1/300 dilution Secondary: IRDye800CW Goat Anti-RabbitIgG at 1/20000 dilution Predicted band size: 25'29kD Observed band size: 29kD ![]() Tissue/cell: rat brain tissue; 4% Paraformaldehyde-fixed and paraffin-embedded; Antigen retrieval: citrate buffer ( 0.01M, pH 6.0 ), Boiling bathing for 15min; Block endogenous peroxidase by 3% Hydrogen peroxide for 30min; Blocking buffer (normal goat serum,C-0005) at 37℃ for 20 min; Incubation: Anti-KLK14 Polyclonal Antibody, Unconjugated(bs-1968R) 1:200, overnight at 4°C, followed by conjugation to the secondary antibody(SP-0023) and DAB(C-0010) staining |
风险提示:丁香通仅作为第三方平台,为商家信息发布提供平台空间。用户咨询产品时请注意保护个人信息及财产安全,合理判断,谨慎选购商品,商家和用户对交易行为负责。对于医疗器械类产品,请先查证核实企业经营资质和医疗器械产品注册证情况。
文献和实验人激肽释放酶8(KLK-8) 酶联免疫分析(ELISA ) 试剂盒使用说明书 本试剂仅供研究使用 目的:本试剂盒用于测定人血清,血浆及相关液体样本中激肽释放酶8(KLK-8) 的 含量。 实验原理: 本试剂盒应用双抗体夹心法测定标本中人激肽释放酶 8(KLK-8) 水平。用纯化的人激肽释放酶 8(KLK-8) 抗体包被微孔板,制成固相抗体,往包被单抗的微孔中依次加入激肽释放酶 8(KLK
作用 (1)激肽系统:组织损伤首先激活血浆酶原Hageman因子(又称凝血因子Ⅻ),引起凝血酶级联反应。反应过程中首先是激肽释放酶(kallikrein)活化,然后产生炎症介质舒缓激肽(bradykinin)。这是激肽系统中一类血管活性碱性肽,可增加血管通透性,引起疼痛和平滑肌收缩。舒缓激肽(kinin)还可裂解C5,产生的C5a使肥大细胞释放炎症介质。 (2)凝血系统:始于血管损伤大量产生的凝血酶。凝血酶作用于血浆和组织液中的血纤蛋白原,产生血纤蛋白(fibrin)和血纤肽
凝血因子目前包括14个,除FⅢ存在于全身组织中,其余均存在于血浆中。根据理化性质分为四组。 (1)依赖维生素K凝血因子: 包括FⅡ、FⅦ、FⅨ和FⅩ,其共同特点是在各自分子结构的氨基末端含有数量不等的γ-羧基谷氨酸残基,在肝合成中必须依赖维生素K.依赖维生素K凝血因子(依K因子)通过γ-羧基谷氨酸与Ca2+结合,再与磷脂结合,这是依K因子参与凝血反应的基础。 (2)接触凝血因子: 包括经典FⅫ、FⅪ和激肽系统的激肽释放酶原(PK)、高分子量激肽原(HMWK
技术资料暂无技术资料 索取技术资料












