相关产品推荐更多 >
万千商家帮你免费找货
0 人在求购买到急需产品
- 详细信息
- 文献和实验
- 技术资料
- 供应商:
上海联迈生物工程有限公司
- 库存:
大量
- 目录编号:
LM-17857R
- 克隆性:
多克隆
- 抗原来源:
Rabbit
- 保质期:
1年
- 抗体英文名:
MSL1v1/CENP36
- 抗体名:
着丝粒蛋白36抗体
- 宿主:
Rabbit
- 适应物种:
Human, Mouse, Rat, Dog, Pig, Cow, Horse, Rabbit,
- 免疫原:
KLH conjugated synthetic peptide derived from human MSL1v1/CENP36:501-600/1105
- 亚型:
IgG
- 形态:
Lyophilized or Liquid
- 应用范围:
ELISA=1:500-1000 IHC-P=1:400-800 IHC-F=1:400-800 ICC=1:100-500 IF=1:100-500 (石蜡切片需做抗原修复)
- 浓度:
1mg/ml
- 保存条件:
Store at -20 °C
- 规格:
100ul 200ul
| 英文名称 | MSL1v1/CENP36 |
| 中文名称 | 着丝粒蛋白36抗体 |
| 别 名 | CENP-36; centromere protein 36; DKFZp686P06109; DKFZp727C091; hypothetical protein LOC284058; K1267_HUMAN; KIAA1267; male-specific lethal 1 homolog; MGC102843; MLL1/MLL complex subunit KIAA1267; MSL1v1; NSL1. |
| 规格价格 | 100ul/1380元 购买 200ul/2200元 购买 大包装/询价 |
| 说 明 书 | 100ul 200ul |
| 研究领域 | 细胞生物 免疫学 发育生物学 神经生物学 |
| 抗体来源 | Rabbit |
| 克隆类型 | Polyclonal |
| 交叉反应 | Human, Mouse, Rat, Dog, Pig, Cow, Horse, Rabbit, |
| 产品应用 | ELISA=1:500-1000 IHC-P=1:400-800 IHC-F=1:400-800 ICC=1:100-500 IF=1:100-500 (石蜡切片需做抗原修复) not yet tested in other applications. optimal dilutions/concentrations should be determined by the end user. |
| 分 子 量 | 121kDa |
| 细胞定位 | 细胞核 |
| 性 状 | Lyophilized or Liquid |
| 浓 度 | 1mg/ml |
| 免 疫 原 | KLH conjugated synthetic peptide derived from human MSL1v1/CENP36:501-600/1105 |
| 亚 型 | IgG |
| 纯化方法 | affinity purified by Protein A |
| 储 存 液 | 0.01M TBS(pH7.4) with 1% BSA, 0.03% Proclin300 and 50% Glycerol. |
| 保存条件 | Store at -20 °C for one year. Avoid repeated freeze/thaw cycles. The lyophilized antibody is stable at room temperature for at least one month and for greater than a year when kept at -20°C. When reconstituted in sterile pH 7.4 0.01M PBS or diluent of antibody the antibody is stable for at least two weeks at 2-4 °C. |
| PubMed | PubMed |
| 产品介绍 | background: This gene encodes a nuclear protein that is a subunit of two protein complexes involved with histone acetylation, the MLL1 complex and the NSL1 complex. The corresponding protein in Drosophila interacts with K(lysine) acetyltransferase 8, which is also a subunit of both the MLL1 and NSL1 complexes. [provided by RefSeq, Jun 2012] Function: As part of the NSL complex it is involved in acetylation of nucleosomal histone H4 on several lysine residues and therefore may be involved in the regulation of transcription. Subcellular Location: Expressed in the brain. Tissue Specificity: Expressed in the brain. SWISS: Q7Z3B3 Gene ID: 284058 Database links: Entrez Gene: 284058 Human Entrez Gene: 76719 Mouse SwissProt: Q7Z3B3 Human SwissProt: Q80TG1 Mouse Unigene: 648744 Human Unigene: 136418 Mouse Important Note: This product as supplied is intended for research use only, not for use in human, therapeutic or diagnostic applications. |
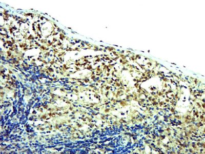
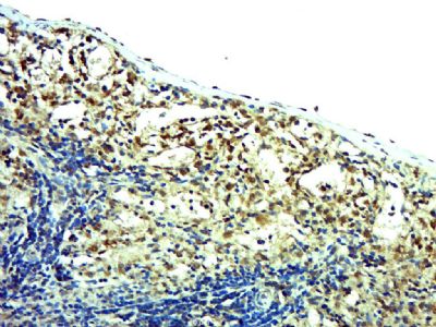
| 产品图片 | ![]() Paraformaldehyde-fixed, paraffin embedded (Rat spleen); Antigen retrieval by boiling in sodium citrate buffer (pH6.0) for 15min; Block endogenous peroxidase by 3% hydrogen peroxide for 20 minutes; Blocking buffer (normal goat serum) at 37°C for 30min; Antibody incubation with (MSL1v1) Polyclonal Antibody, Unconjugated (bs-17857R) at 1:500 overnight at 4°C, followed by a conjugated secondary (sp-0023) for 20 minutes and DAB staining. |
风险提示:丁香通仅作为第三方平台,为商家信息发布提供平台空间。用户咨询产品时请注意保护个人信息及财产安全,合理判断,谨慎选购商品,商家和用户对交易行为负责。对于医疗器械类产品,请先查证核实企业经营资质和医疗器械产品注册证情况。
文献和实验的作用是调控基因表达。例如组蛋白甲基化多导致基因沉默,去甲基化则相反;乙酰化一般是转录激活,去乙酰化则相反。当然,也可在此基础上产生复杂的生物学效应。例如组蛋白去乙酰化酶 HDAC 可影响免疫系统;H3K4me3、H3K9me2 能够调控记忆的形成, 而且 H3K 甲基化与 X 染色体失活、基因组印记和异染色质形成有关;H3 乙酰化通过多种机制调控以来 ATP 的染色质重塑 ,并参与炎症反应;H2A、H2B 泛素化则与 DNA 损害反应有关;而 H3S28 磷酸化与 H3K27 乙酰化可激活转录
三句话读懂一篇 CNS,酗酒背后的机制,环境-基因互作诱导肿瘤发生,Cas9 时钟...
大学、阿卜杜拉国王科技大学以及澳门大学的研究人员联合在 Nature 杂志发表论文 Elevated NSD3 histone methylation activity drives squamous cell lung cancer,研究揭示 组蛋白 H3 赖氨酸 36(H3K36) 甲基转移酶 NSD3(其基因位于 8p11-12 扩增子中) 是肺鳞癌(LUSC)肿瘤发生的关键调控因子。体外、体内实验及结构动力学实验表明 H3K36(H3K36me2)的二甲基化显示出增加的催化活性,即 NSD3(T
K4me3 则标记基因启动子。同时,K36 (H3K36me3) 的三甲基化是与基因转录区域相关的活化标志物。 相反,组蛋白 H3 K9 和 K27 (H3K9me3 和 H3K27me3) 上的三甲基化是具有独特功能的抑制信号: H3K27me3 是控制胚胎干细胞中发育调控因子(包括 Hox 和 Sox 基因)的启动子区域的一个临时信 号。同时,H3K9me3 是在具有串联重复结构的基因贫乏染色体区域形成异染色质的永久信号,如卫星 重复序列、端粒和近着丝粒区。它也标记反转录转座子和特定的锌指基因
技术资料暂无技术资料 索取技术资料











