相关产品推荐更多 >
万千商家帮你免费找货
0 人在求购买到急需产品
- 详细信息
- 询价记录
- 技术资料
- 服务名称:
口腔溃疡模型
- 提供商:
深圳市拓普生物科技有限公司
口腔内细菌、病毒的感染及某些全身性疾病均可导致口腔溃疡(ROU)的发生。由于ROU的病因及发病机制不明,发病率又在逐年提高,临床又无有效药物治疗。因此利用口腔溃疡动物模型对相关药物的研究就显得十分重要。
口腔溃疡模型建模常用方法为化学灼烧法或细菌感染方法。
检测指标
形态体重变化观察,溃疡面基本形态及面积观察等。 
拓普生物科技有限公司是一家致力于为生命科学研究和临床医学研究提供一站式专业服务的公司。在深圳西丽建有3000平方米的研发中心和300平方米的实验动物平台,可以提供动物的饲养繁殖、疾病动物模型构建、动物解剖学试验、病理学检测、药理学试验、生化指标检测、药效评价及药代动力学分析等一体化服务。拥有良好的实验动物平台,拓普生物极力拓展各种动物疾病模型建模服务,包括消化系统疾病模型,肿瘤模型,心血管系统模型和关节炎疾病模型等等。
拓普生物可根据客户的需求,灵活提供和定制各种疾病动物模型。欢迎广大客户前来咨询和洽谈!
口腔溃疡模型建模常用方法为化学灼烧法或细菌感染方法。
检测指标
形态体重变化观察,溃疡面基本形态及面积观察等。

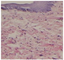
正常口腔黏膜组织 溃疡黏膜组织
拓普生物科技有限公司是一家致力于为生命科学研究和临床医学研究提供一站式专业服务的公司。在深圳西丽建有3000平方米的研发中心和300平方米的实验动物平台,可以提供动物的饲养繁殖、疾病动物模型构建、动物解剖学试验、病理学检测、药理学试验、生化指标检测、药效评价及药代动力学分析等一体化服务。拥有良好的实验动物平台,拓普生物极力拓展各种动物疾病模型建模服务,包括消化系统疾病模型,肿瘤模型,心血管系统模型和关节炎疾病模型等等。
拓普生物可根据客户的需求,灵活提供和定制各种疾病动物模型。欢迎广大客户前来咨询和洽谈!
风险提示:丁香通仅作为第三方平台,为商家信息发布提供平台空间。用户咨询产品时请注意保护个人信息及财产安全,合理判断,谨慎选购商品,商家和用户对交易行为负责。对于医疗器械类产品,请先查证核实企业经营资质和医疗器械产品注册证情况。
- 作者
- 内容
- 询问日期
技术资料暂无技术资料 索取技术资料
口腔溃疡模型
询价









