相关产品推荐更多 >
万千商家帮你免费找货
0 人在求购买到急需产品
- 详细信息
- 文献和实验
- 技术资料
- 供应商:
上海联迈生物工程有限公司
- 库存:
大量
- 目录编号:
LM-15391R
- 克隆性:
多克隆
- 抗原来源:
Rabbit
- 保质期:
1年
- 抗体英文名:
GPR89A
- 抗体名:
G蛋白偶联受体GPR89A蛋白抗体
- 宿主:
Rabbit
- 适应物种:
Human, Mouse, Rat, Dog, Cow, Rabbit, Sheep,
- 免疫原:
KLH conjugated synthetic peptide derived from human GPR89A:221-320/445
- 亚型:
IgG
- 形态:
Lyophilized or Liquid
- 应用范围:
WB=1:500-2000 ELISA=1:500-1000 IHC-P=1:400-800 IHC-F=1:400-800 ICC=1:100-500 IF=1:100-500 (石蜡切片需做抗原修复)
- 浓度:
1mg/ml
- 保存条件:
Store at -20 °C
- 规格:
100ul 200ul
| 英文名称 | GPR89A |
| 中文名称 | G蛋白偶联受体GPR89A蛋白抗体 |
| 别 名 | CGI-13; Golgi pH regulator A; Golgi pH regulator B; GPHR; GPHRA; GPHRB; GPR89; GPR89A; GPR89B; HSPC201; Protein GPR89A; Protein GPR89B; Putative MAPK-activating protein PM01; Putative NF-kappa-B-activating protein 90; SH120; UNQ192/PRO218; GPHRA_HUMAN. |
| 规格价格 | 100ul/1380元 购买 200ul/2200元 购买 大包装/询价 |
| 说 明 书 | 100ul 200ul |
| 研究领域 | 细胞生物 免疫学 信号转导 G蛋白偶联受体 G蛋白信号 |
| 抗体来源 | Rabbit |
| 克隆类型 | Polyclonal |
| 交叉反应 | Human, Mouse, Rat, Dog, Cow, Rabbit, Sheep, |
| 产品应用 | WB=1:500-2000 ELISA=1:500-1000 IHC-P=1:400-800 IHC-F=1:400-800 ICC=1:100-500 IF=1:100-500 (石蜡切片需做抗原修复) not yet tested in other applications. optimal dilutions/concentrations should be determined by the end user. |
| 分 子 量 | 53kDa |
| 细胞定位 | 细胞浆 |
| 性 状 | Lyophilized or Liquid |
| 浓 度 | 1mg/ml |
| 免 疫 原 | KLH conjugated synthetic peptide derived from human GPR89A:221-320/445 |
| 亚 型 | IgG |
| 纯化方法 | affinity purified by Protein A |
| 储 存 液 | 0.01M TBS(pH7.4) with 1% BSA, 0.03% Proclin300 and 50% Glycerol. |
| 保存条件 | Store at -20 °C for one year. Avoid repeated freeze/thaw cycles. The lyophilized antibody is stable at room temperature for at least one month and for greater than a year when kept at -20°C. When reconstituted in sterile pH 7.4 0.01M PBS or diluent of antibody the antibody is stable for at least two weeks at 2-4 °C. |
| PubMed | PubMed |
| 产品介绍 | background: GPR89A is a nearly identical copy of the GPR89B gene (MIM612806). Function: Voltage dependent anion channel required for acidification and functions of the Golgi apparatus that may function in counter-ion conductance. Subunit: Homotrimer. Subcellular Location: Golgi apparatus membrane; Multi-pass membrane protein. Tissue Specificity: Ubiquitous. Similarity: Belongs to the Golgi pH regulator (TC 1.A.38) family. SWISS: B7ZAQ6 Gene ID: 653519 Database links: Entrez Gene: 653519 Human Entrez Gene: 67549 Mouse Entrez Gene: 362003 Rat Omim: 612821 Human SwissProt: B7ZAQ6 Human SwissProt: Q8BS95 Mouse Important Note: This product as supplied is intended for research use only, not for use in human, therapeutic or diagnostic applications. |
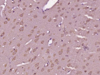
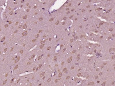
| 产品图片 | ![]() Paraformaldehyde-fixed, paraffin embedded (Rat brain); Antigen retrieval by boiling in sodium citrate buffer (pH6.0) for 15min; Block endogenous peroxidase by 3% hydrogen peroxide for 20 minutes; Blocking buffer (normal goat serum) at 37°C for 30min; Antibody incubation with (GPR89A) Polyclonal Antibody, Unconjugated (bs-15391R) at 1:400 overnight at 4°C, followed by operating according to SP Kit(Rabbit) (sp-0023) instructionsand DAB staining. |
风险提示:丁香通仅作为第三方平台,为商家信息发布提供平台空间。用户咨询产品时请注意保护个人信息及财产安全,合理判断,谨慎选购商品,商家和用户对交易行为负责。对于医疗器械类产品,请先查证核实企业经营资质和医疗器械产品注册证情况。
文献和实验rebeccagold 大家好。 最近在做建一个高表达某G蛋白偶联受体的CHO细胞株,载体是pEGFP-C1。 稳定筛选后,细胞的荧光表达很好。 但奇怪的问题是,该受体定位出现了问题。原本该定位在膜的G蛋白偶联受体,现在基本上呈全细胞分布,而且核尤其亮。百思不得其解。 请各位战友指点。 附图为该细胞的Confocal图,没有染核。 多谢大家啦! woxingwosu 呵呵,你的
rebeccagold 大家好。 最近在做建一个高表达某G蛋白偶联受体的CHO细胞株,载体是pEGFP-C1。 稳定筛选后,细胞的荧光表达很好。 但奇怪的问题是,该受体定位出现了问题。原本该定位在膜的G蛋白偶联受体,现在基本上呈全细胞分布,而且核尤其亮。百思不得其解。 请各位战友指点。 附图为该细胞的Confocal图,没有染核。 多谢大家啦! kern6549 会不会是该受体
【求助】欲寻找G蛋白偶联受体激酶对某一G蛋白偶联受体的磷酸化位点,其实验应该如何设计
ellen_hu 作为这方面的白痴,实在一团雾水,有没有高手指点一二,把其中的一般流程讲述一下,是我能够形成一个整体的印象,谢谢!!!!! 急切!!! chenlinjie686 上nature或者annualreview 查GRK的综述文献... chenlinjie686 丝氨酸苏氨酸的点突变咯 本文由丁香园论坛提供,想了解更多有用的、有意思的前沿资讯以及酷炫
技术资料暂无技术资料 索取技术资料










