相关产品推荐更多 >
万千商家帮你免费找货
0 人在求购买到急需产品
- 详细信息
- 文献和实验
- 技术资料
- 供应商:
上海联迈生物工程有限公司
- 库存:
大量
- 目录编号:
LM-1398R
- 克隆性:
多克隆
- 抗原来源:
Rabbit
- 保质期:
1年
- 抗体英文名:
ELK1
- 抗体名:
细胞转录因子ELK1抗体
- 宿主:
Rabbit
- 适应物种:
Human, Mouse, Rat, Cow, Horse,
- 免疫原:
KLH conjugated synthetic peptide derived from human ELK1:301-428/428
- 亚型:
IgG
- 形态:
Lyophilized or Liquid
- 应用范围:
WB=1:500-2000 ELISA=1:500-1000 IHC-P=1:400-800 IHC-F=1:400-800 IF=1:100-500 (石蜡切片需做抗原修复)
- 浓度:
1mg/ml
- 保存条件:
Store at -20 °C
- 规格:
50ul 100ul 200ul
| 英文名称 | ELK1 |
| 中文名称 | 细胞转录因子ELK1抗体 |
| 别 名 | ELK 1; ELK1 member of ETS oncogene family; ELK1 protein; ELK2 member of ETS oncogene family; ETS domain containing protein Elk 1; ETS domain containing protein Elk1; ETS domain protein Elk1; Oncogene Elk1; ETS domain-containing protein Elk-1 isoform a; ETS domain-containing protein Elk-1; ETS-like gene 1; tyrosine kinase (ELK1) oncogene; ELK1_HUMAN. |
| 规格价格 | 50ul/780元 购买 100ul/1380元 购买 200ul/2200元 购买 大包装/询价 |
| 说 明 书 | 50ul 100ul 200ul |
| 研究领域 | 肿瘤 免疫学 转录调节因子 |
| 抗体来源 | Rabbit |
| 克隆类型 | Polyclonal |
| 交叉反应 | Human, Mouse, Rat, Cow, Horse, |
| 产品应用 | WB=1:500-2000 ELISA=1:500-1000 IHC-P=1:400-800 IHC-F=1:400-800 IF=1:100-500 (石蜡切片需做抗原修复) not yet tested in other applications. optimal dilutions/concentrations should be determined by the end user. |
| 分 子 量 | 47kDa |
| 细胞定位 | 细胞核 |
| 性 状 | Lyophilized or Liquid |
| 浓 度 | 1mg/ml |
| 免 疫 原 | KLH conjugated synthetic peptide derived from human ELK1:301-428/428 |
| 亚 型 | IgG |
| 纯化方法 | affinity purified by Protein A |
| 储 存 液 | 0.01M TBS(pH7.4) with 1% BSA, 0.03% Proclin300 and 50% Glycerol. |
| 保存条件 | Store at -20 °C for one year. Avoid repeated freeze/thaw cycles. The lyophilized antibody is stable at room temperature for at least one month and for greater than a year when kept at -20°C. When reconstituted in sterile pH 7.4 0.01M PBS or diluent of antibody the antibody is stable for at least two weeks at 2-4 °C. |
| PubMed | PubMed |
| 产品介绍 | background: This gene is a member of the Ets family of transcription factors and of the ternary complex factor (TCF) subfamily. Proteins of the TCF subfamily form a ternary complex by binding to the the serum response factor and the serum response element in the promoter of the c-fos proto-oncogene. The protein encoded by this gene is a nuclear target for the ras-raf-MAPK signaling cascade. This gene produces multiple isoforms by using alternative translational start codons and by alternative splicing. Related pseudogenes have been identified on chromosomes 7 and 14. [provided by RefSeq, Mar 2012]. Function: Stimulates transcription. Binds to purine-rich DNA sequences. Can form a ternary complex with the serum response factor and the ETS and SRF motifs of the fos serum response element. Subunit: Interacts in its sumoylated form with PIAS2/PIASX which enhances its transcriptional activator activity. Interacts with MAD2L2; the interaction is direct and promotes phosphorylation by the kinases MAPK8 and/or MAPK9. Subcellular Location: Nucleus. Tissue Specificity: Lung and testis. Post-translational modifications: Sumoylation represses transcriptional activator activity as it results in recruitment of HDAC2 to target gene promoters which leads to decreased histone acetylation and reduced transactivator activity. It also regulates nuclear retention. On mitogenic stimulation, phosphorylated on C-terminal serine and threonine residues by MAPK1. Ser-383 and Ser-389 are the preferred sites for MAPK1. In vitro, phosphorylation by MAPK1 potentiates ternary complex formation with the serum responses factors, SRE and SRF. Also phosphorylated on Ser-383 by MAPK8 and/or MAKP9. Phosphorylation leads to loss of sumoylation and restores transcriptional activator activity. Phosphorylated and activated by CAMK4, MAPK11, MAPK12 and MAPK14. Similarity: Belongs to the ETS family. Contains 1 ETS DNA-binding domain. SWISS: P19419 Gene ID: 2002 Database links: Entrez Gene: 2002 Human Entrez Gene: 13712 Mouse Entrez Gene: 314436 Rat Omim: 311040 Human SwissProt: P19419 Human SwissProt: P41969 Mouse Unigene: 181128 Human Unigene: 405823 Mouse Unigene: 30029 Rat Important Note: This product as supplied is intended for research use only, not for use in human, therapeutic or diagnostic applications. 转录调节因子(Transcriptin Regulators) 细胞转录因子ELK1是ETS致癌基因家族的一种。 |
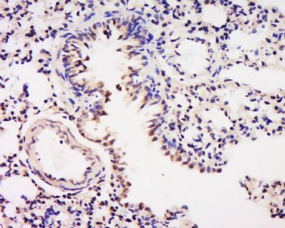
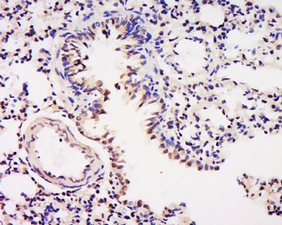
| 产品图片 | ![]() Sample: Brain (Mouse) Lysate at 40 ug Primary: Anti-ELK1 (bs-1398R) at 1/300 dilution Secondary: IRDye800CW Goat Anti-Rabbit IgG at 1/20000 dilution Predicted band size: 47 kD Observed band size: 47 kD ![]() Tissue/cell: Rat lung tissue; 4% Paraformaldehyde-fixed and paraffin-embedded; Antigen retrieval: citrate buffer ( 0.01M, pH 6.0 ), Boiling bathing for 15min; Block endogenous peroxidase by 3% Hydrogen peroxide for 30min; Blocking buffer (normal goat serum,C-0005) at 37℃ for 20 min; Incubation: Anti-ELK1 Polyclonal Antibody, Unconjugated(bs-1398R) 1:200, overnight at 4°C, followed by conjugation to the secondary antibody(SP-0023) and DAB(C-0010) staining |
风险提示:丁香通仅作为第三方平台,为商家信息发布提供平台空间。用户咨询产品时请注意保护个人信息及财产安全,合理判断,谨慎选购商品,商家和用户对交易行为负责。对于医疗器械类产品,请先查证核实企业经营资质和医疗器械产品注册证情况。
文献和实验原理: 将染色质和与之相互作用的转录因子和组蛋白通过甲醛等物质交联起来,然后通过超声将染色质打碎成小片段,加入针对特定转录因子或特殊修饰的组蛋白抗体,通过 Protein A/Protein G 微球或磁珠将抗体-转录因子-染色质复合物拖下来,通过 PCR 或测序的方法检测与目的蛋白相结合的 DNA 序列,进而研究这些转录因子在细胞发育或者生长中的作用位点。 ✦ ChIP-seq: ChIP-seq 将 ChIP 技术与二代测序相结合,将 ChIP 下来的 DNA 进行二代测序文库构建,能够获取
电极移动距离的大小是同其分子量的对数成反比。如果某种 DNA 分子结合上一种特殊的蛋白质,那么由于分子量的加大它在凝胶中的迁移作用便会受到阻滞,于是朝正极移动的距离也就相应的缩短,因而在凝胶中出现滞后的条带,这就是凝胶阻滞实验的基本原理。 3. 过程: 首先制备细胞蛋白质提取物(理论上其中含有某种特殊的转录因子) 用放射性同位素标记待检测的 DNA 片段(含有转录因子的结合位点) 这种被标记的探针 DNA 同细胞蛋白质提取物一起进行温育,于是产生DNA -蛋白质复合物,在控制使 DNA -蛋白质保持结合状态
CST Tech Tips - 「ChIP 实验」你的样本染色质需交联多长时间?
CST TECH TIPS 系列课程,欢迎关注「CST博士互助平台」 ChIP实验中,交联或固定是实验的第一步。您知道合适的交联时间是多长吗?快点击观看 Cell Signaling Technology(CST) ChIP 团队Fang Chen 博士的讲解。 点击看视频 交联是防止 DNA在 3 天的 ChIP 实验中从蛋白上脱落。否则,抗体只能让靶蛋白沉淀,而不能让 DNA 沉淀。交联对转录因子和辅因子尤为重要,因为与组蛋白相比,它们的丰度更低,与 DNA 的结合更弱。
技术资料暂无技术资料 索取技术资料












