相关产品推荐更多 >
万千商家帮你免费找货
0 人在求购买到急需产品
- 详细信息
- 文献和实验
- 技术资料
- 供应商:
上海联迈生物工程有限公司
- 库存:
大量
- 目录编号:
LM-12875R
- 克隆性:
多克隆
- 抗原来源:
Rabbit
- 保质期:
1年
- 抗体英文名:
phospho-BNIP3 (Ser95)
- 抗体名:
磷酸化促凋亡调节蛋白BNIP3抗体
- 宿主:
Rabbit
- 适应物种:
Human, Dog, Cow, Horse, Sheep,
- 免疫原:
KLH conjugated synthesised phosphopeptide derived from human BNIP3 around the phosphorylation site of Ser95:SQ(p-S)EE
- 亚型:
IgG
- 形态:
Lyophilized or Liquid
- 应用范围:
WB=1:500-2000 ELISA=1:500-1000 IHC-P=1:400-800 IHC-F=1:400-800 ICC=1:100-500 IF=1:100-500 (石蜡切片需做抗原修复)
- 浓度:
1mg/ml
- 保存条件:
Store at -20 °C
- 规格:
100ul
| 英文名称 | phospho-BNIP3 (Ser95) |
| 中文名称 | 磷酸化促凋亡调节蛋白BNIP3抗体 |
| 别 名 | BNIP3 (phospho S95); p-BNIP3 (phospho S95); BCL2 Adenovirus E1B 19kDa Interacting Protein 3; BCL2/adenovirus E1B 19 kDa protein interacting protein 3; BCL2/adenovirus E1B 19 kDa protein-interacting protein 3; BNIP 3; BNIP3; BNIP3_HUMAN; NIP 3; NIP3. |
| 规格价格 | 100ul/1580元 购买 大包装/询价 |
| 说 明 书 | 100ul |
| 产品类型 | 磷酸化抗体 |
| 研究领域 | 肿瘤 细胞生物 细胞凋亡 新陈代谢 |
| 抗体来源 | Rabbit |
| 克隆类型 | Polyclonal |
| 交叉反应 | Human, Dog, Cow, Horse, Sheep, |
| 产品应用 | WB=1:500-2000 ELISA=1:500-1000 IHC-P=1:400-800 IHC-F=1:400-800 ICC=1:100-500 IF=1:100-500 (石蜡切片需做抗原修复) not yet tested in other applications. optimal dilutions/concentrations should be determined by the end user. |
| 分 子 量 | 22kDa |
| 细胞定位 | 细胞浆 细胞膜 |
| 性 状 | Lyophilized or Liquid |
| 浓 度 | 1mg/ml |
| 免 疫 原 | KLH conjugated synthesised phosphopeptide derived from human BNIP3 around the phosphorylation site of Ser95:SQ(p-S)EE |
| 亚 型 | IgG |
| 纯化方法 | affinity purified by Protein A |
| 储 存 液 | 0.01M TBS(pH7.4) with 1% BSA, 0.03% Proclin300 and 50% Glycerol. |
| 保存条件 | Store at -20 °C for one year. Avoid repeated freeze/thaw cycles. The lyophilized antibody is stable at room temperature for at least one month and for greater than a year when kept at -20°C. When reconstituted in sterile pH 7.4 0.01M PBS or diluent of antibody the antibody is stable for at least two weeks at 2-4 °C. |
| PubMed | PubMed |
| 产品介绍 | background: The adenovirus E1B protein is a viral homolog of the Bcl-2 family of proteins that are involved in regulating cell death. A family of interacting proteins, which are designated Nip or Bnip and include BNIP-1, BNIP-2, BNIP-3 and Nix, associate with both the E1B protein and Bcl-2 proteins to mediate apoptotic signaling. BNIP-1 contains a hydrophobic transmembrane domain, which enables its localization to the nuclear envelope, endoplasmic recticulum and mitochondria. BNIP-2, (previously designated Nip2 and Nip21 in human and mouse respectively), shares homology with the non-catalytic domain of Cdc42 GTPase-activating protein (Cdc42GAP). Through binding to Cdc42GAP, BNIP-2 enhances the GTPase activity of Cdc42GAP, facilitating the hydrolysis of GTP bound to Cdc42 and thereby, mediating the signaling pathways involving receptor kinases, small GTPases and apoptotic proteins. Nix, which is also designated Nip3L or Bnip3L, is highly related to BNIP-3, and both proteins localize to the mitochondria where they associate with Bcl-2 proteins. BNIP-3 preferentially binds to Bcl-xL and induces apoptosis by suppressing the anti-apoptosis activity of Bcl-xL. Function: Apoptosis-inducing protein that, which can overcome BCL2 suppression. May play a role in repartitioning calcium between the two major intracellular calcium stores in association with BCL2. Subunit: Homodimer. Binds to BCL2. Interacts with BNIP3L and ACAA2. Also can interact with adenovirus E1B 19 kDa protein or Epstein-Barr virus BHRF1. Interacts (via BH3 domain) with SPATA18 (via coiled-coil domains). Subcellular Location: Mitochondrion. Mitochondrion membrane. Coexpression with the EIB 19-kDa protein results in a shift in NIP3 localization pattern to the nuclear envelope. Colocalizes with ACAA2 in the mitochondria. Similarity: Belongs to the NIP3 family. SWISS: Q12983 Gene ID: 664 Database links: Entrez Gene: 664 Human Entrez Gene: 12176 Mouse Entrez Gene: 84480 Rat Omim: 603293 Human SwissProt: Q12983 Human SwissProt: O55003 Mouse Unigene: 144873 Human Unigene: 378890 Mouse Unigene: 2060 Rat Important Note: This product as supplied is intended for research use only, not for use in human, therapeutic or diagnostic applications. |
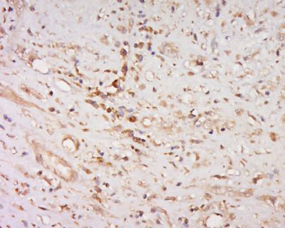
| 产品图片 | ![]() Tissue/cell: human liver carcinoma; 4% Paraformaldehyde-fixed and paraffin-embedded; Antigen retrieval: citrate buffer ( 0.01M, pH 6.0 ), Boiling bathing for 15min; Block endogenous peroxidase by 3% Hydrogen peroxide for 30min; Blocking buffer (normal goat serum,C-0005) at 37℃ for 20 min; Incubation: Anti-phospho-BNIP3(Ser95)Polyclonal Antibody, Unconjugated(bs-12875R) 1:500, overnight at 4°C, followed by conjugation to the secondary antibody(SP-0023) and DAB(C-0010) staining ![]() Paraformaldehyde-fixed, paraffin embedded (Human brain glioma); Antigen retrieval by boiling in sodium citrate buffer (pH6.0) for 15min; Block endogenous peroxidase by 3% hydrogen peroxide for 20 minutes; Blocking buffer (normal goat serum) at 37°C for 30min; Antibody incubation with (phospho-BNIP3 (Ser95)) Polyclonal Antibody, Unconjugated (bs-12875R) at 1:400 overnight at 4°C, followed by operating according to SP Kit(Rabbit) (sp-0023) instructionsand DAB staining. |
风险提示:丁香通仅作为第三方平台,为商家信息发布提供平台空间。用户咨询产品时请注意保护个人信息及财产安全,合理判断,谨慎选购商品,商家和用户对交易行为负责。对于医疗器械类产品,请先查证核实企业经营资质和医疗器械产品注册证情况。
文献和实验Using Phospho‐Motif Antibodies to Determine Kinase Substrates
the phosphorylation site; therefore, substrate?directed, phosphorylation?state?sensitive, motif?specific (?phospho?motif?) antibodies represent powerful tools to identify novel kinase substrates and to investigate mechanisms of substrate phosphorylation
5)、Bnip3.BimL;~[1Noxa等蛋白,它们只含有BH3结构域,具有促凋亡能力。 抑制凋亡的信号分子 如Bcl-2、Bcl-XL等大多存在于线粒体和其他细胞器 膜上,而促进细胞凋亡的Bcl-2家族蛋白分子 (如Bax、Bid等)大多存在于细胞浆中。在凋亡因子刺激下,促凋亡蛋白分子发生转录 水平增加(如p53介导的Bax、Noxa、Puma等)和翻 译后的激活和修饰。促凋亡分子的激活还包括Bax等蛋白的构象变化和多聚化、Bid等蛋 白的印割、Bad等分子的磷酸化与去磷酸化等。有意
【求助】P53的翻译后修饰都有哪些? 怎样验证其修饰后与靶标启动子的结合活性的变化?
xiaozhangwei2 P53的翻译后修饰都有哪些?听说有磷酸化和乙酰化。还有其他的吗? 怎样找出P53是发生了哪种修饰变化? 如何设计实验验证P53修饰后,与靶标启动子结合时,有没有产生结合活性的变化啊? 谢谢! 大鹏鸟 p53的修饰 正常细胞在非应激状态下p53的水平和活性都较低,受到应激作用时,p53通过一系列的翻译后修饰被活化,并能结合特异的DNA序列。翻译后修饰是调节蛋白
技术资料暂无技术资料 索取技术资料












