相关产品推荐更多 >
万千商家帮你免费找货
0 人在求购买到急需产品
- 详细信息
- 文献和实验
- 技术资料
- 供应商:
上海康朗生物科技有限公司
- 库存:
大量
- 目录编号:
kl-4775R
- 克隆性:
多克隆
- 抗原来源:
Rabbit
- 保质期:
12个月
- 抗体英文名:
KCNMA1/BK channel antibody
- 抗体名:
钙激活钾通道蛋白α1抗体
- 宿主:
Rabbit
- 适应物种:
Human, Mouse, Rat, Chicken, Pig, Cow, Rabbit,
- 免疫原:
KLH conjugated synthetic peptide derived from human BKCA alpha:21-120/1236 <Extracellular>
- 亚型:
IgG
- 形态:
冻干粉或液体
- 应用范围:
WB=1:500-2000 ELISA=1:500-1000 IHC-P=1:400-800 IHC-F=1:400-800 ICC=1:100-500 IF=1:100-500
- 浓度:
1mg/ml
- 保存条件:
-20 °C
- 规格:
50ul 100ul 200ul
| 中文名称 | 钙激活钾通道蛋白α1抗体 |
| 别 名 | subfamily M subunit alpha-1; BK channel; BKCA alpha; BKCA alpha subunit; BKTM; Calcium-activated potassium channel; Calcium-activated potassium channel subunit alpha-1; Drosophila slowpoke like; hSlo; K(VCA)alpha; KCa1.1; KCMA1_HUMAN; KCNMA; KCNMA1; Maxi K channel; Maxi Potassium channel alpha; MaxiK; SAKCA; SLO alpha; SLO; Slo homolog; Slo-alpha; Slo1; Slowpoke homolog. |
| 规格价格 | 50ul/780元 购买 100ul/1380元 购买 200ul/2200元 购买 大包装/询价 |
| 说 明 书 | 50ul 100ul 200ul |
| 研究领域 | 肿瘤 心血管 细胞生物 免疫学 信号转导 通道蛋白 |
| 抗体来源 | Rabbit |
| 克隆类型 | Polyclonal |
| 交叉反应 | Human, Mouse, Rat, Chicken, Pig, Cow, Rabbit, |
| 产品应用 | WB=1:500-2000 ELISA=1:500-1000 IHC-P=1:400-800 IHC-F=1:400-800 ICC=1:100-500 IF=1:100-500 (石蜡切片需做抗原修复) not yet tested in other applications. optimal dilutions/concentrations should be determined by the end user. |
| 分 子 量 | 137kDa |
| 细胞定位 | 细胞膜 |
| 性 状 | Lyophilized or Liquid |
| 浓 度 | 1mg/ml |
| 免 疫 原 | KLH conjugated synthetic peptide derived from human BKCA alpha:21-120/1236 <Extracellular> |
| 亚 型 | IgG |
| 纯化方法 | affinity purified by Protein A |
| 储 存 液 | 0.01M TBS(pH7.4) with 1% BSA, 0.03% Proclin300 and 50% Glycerol. |
| 保存条件 | Store at -20 °C for one year. Avoid repeated freeze/thaw cycles. The lyophilized antibody is stable at room temperature for at least one month and for greater than a year when kept at -20°C. When reconstituted in sterile pH 7.4 0.01M PBS or diluent of antibody the antibody is stable for at least two weeks at 2-4 °C. |
| PubMed | PubMed |
| 产品介绍 | background: MaxiK channels are large conductance, voltage and calcium-sensitive potassium channels which are fundamental to the control of smooth muscle tone and neuronal excitability. MaxiK channels can be formed by 2 subunits: the pore-forming alpha subunit, which is the product of this gene, and the modulatory beta subunit. Intracellular calcium regulates the physical association between the alpha and beta subunits. Alternatively spliced transcript variants encoding different isoforms have been identified. [provided by RefSeq, Jul 2008]. Function: Potassium channel activated by both membrane depolarization or increase in cytosolic Ca(2+) that mediates export of K(+). It is also activated by the concentration of cytosolic Mg(2+). Its activation dampens the excitatory events that elevate the cytosolic Ca(2+) concentration and/or depolarize the cell membrane. It therefore contributes to repolarization of the membrane potential. Plays a key role in controlling excitability in a number of systems, such as regulation of the contraction of smooth muscle, the tuning of hair cells in the cochlea, regulation of transmitter release, and innate immunity. In smooth muscles, its activation by high level of Ca(2+), caused by ryanodine receptors in the sarcoplasmic reticulum, regulates the membrane potential. In cochlea cells, its number and kinetic properties partly determine the characteristic frequency of each hair cell and thereby helps to establish a tonotopic map. Kinetics of KCNMA1 channels are determined by alternative splicing, phosphorylation status and its combination with modulating beta subunits. Highly sensitive to both iberiotoxin (IbTx) and charybdotoxin (CTX). Subunit: Belongs to the potassium channel family. Calcium-activated (TC 1.A.1.3) subfamily. KCa1.1/KCNMA1 sub-subfamily. Contains 1 RCK N-terminal domain. Subcellular Location: Membrane. Tissue Specificity: Widely expressed. Except in myocytes, it is almost ubiquitously expressed. Post-translational modifications: Phosphorylated (Probable). Phosphorylation by kinases such as PKA and/or PKG. In smooth muscles, phosphorylation affects its activity. DISEASE: Defects in KCNMA1 are the cause of generalized epilepsy and paroxysmal dyskinesia (GEPD) [MIM:609446]. Epilepsy is one of the most common and debilitating neurological disorders. Paroxysmal dyskinesias are neurological disorders characterized by sudden, unpredictable, disabling attacks of involuntary movement often requiring life-long treatment. The coexistence of epilepsy and paroxysmal dyskinesia in the same individual or family is an increasingly recognized phenomenon. Patients manifest absence seizures, generalized tonic-clonic seizures, paroxysmal nonkinesigenic dyskinesia, involuntary dystonic or choreiform movements. Onset is usually in childhood and patients may have seizures only, dyskinesia only, or both. Similarity: Belongs to the potassium channel family. Calcium-activated (TC 1.A.1.3) subfamily. KCa1.1/KCNMA1 sub-subfamily. Contains 1 RCK N-terminal domain. SWISS: Q12791 Gene ID: 3778 Database links: Entrez Gene: 374065 Chicken Entrez Gene: 282573 Cow Entrez Gene: 403984 Dog Entrez Gene: 3778 Human Entrez Gene: 16531 Mouse Entrez Gene: 83731 Rat Omim: 600150 Human SwissProt: Q8AYS8 Chicken SwissProt: Q28204 Cow SwissProt: Q28265 Dog SwissProt: Q12791 Human SwissProt: Q08460 Mouse SwissProt: Q9BG98 Rabbit SwissProt: Q62976 Rat Unigene: 144795 Human Unigene: 343607 Mouse Unigene: 486347 Mouse Unigene: 30616 Rat Important Note: This product as supplied is intended for research use only, not for use in human, therapeutic or diagnostic applications. |
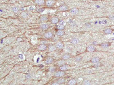
| 产品图片 | ![]() Paraformaldehyde-fixed, paraffin embedded (Rat brain); Antigen retrieval by boiling in sodium citrate buffer (pH6.0) for 15min; Block endogenous peroxidase by 3% hydrogen peroxide for 20 minutes; Blocking buffer (normal goat serum) at 37°C for 30min; Antibody incubation with (KCNMA1 BK channel) Polyclonal Antibody, Unconjugated (bs-4775R) at 1:400 overnight at 4°C, followed by a conjugated secondary antibody (sp-0023) for 20 minutes and DAB staining. ![]() Paraformaldehyde-fixed, paraffin embedded (Mouse brain); Antigen retrieval by boiling in sodium citrate buffer (pH6.0) for 15min; Block endogenous peroxidase by 3% hydrogen peroxide for 20 minutes; Blocking buffer (normal goat serum) at 37°C for 30min; Antibody incubation with (KCNMA1 BK channel) Polyclonal Antibody, Unconjugated (bs-4775R) at 1:400 overnight at 4°C, followed by a conjugated secondary antibody (sp-0023) for 20 minutes and DAB staining. |
风险提示:丁香通仅作为第三方平台,为商家信息发布提供平台空间。用户咨询产品时请注意保护个人信息及财产安全,合理判断,谨慎选购商品,商家和用户对交易行为负责。对于医疗器械类产品,请先查证核实企业经营资质和医疗器械产品注册证情况。
文献和实验Cloning of Potassium Channel Splice Variants from Tissues and Cells
families as exemplified by the gene (KCNMA1 ), which encodes large conductance calcium- and voltage-gated potassium (BK) channel α-subunits. Importantly, alternative pre-mRNA splicing is kept under spatiotemporal control by circulating hormones and cellular
Diagnostic Application of a Multiple-Channel Immunoblot Apparatus
of multiple-channel antibody-based detection schemes with a diagnostic emphasis will be discussed. The reader is also referred to Chapter 21 .
Antibody-Bearing Liposomes as Chloroquine Vehicles in Treatment of Murine Malaria
less chloroquine than those with sensitive parasites (6 ,7 ). Furthermore, inhibiting the chloroquine efflux by Ca2+ -channel blockers render the resistant cells fully sensitive to chloroquine (8 ), indicating that the antimalarial activity of the chloroquine
技术资料暂无技术资料 索取技术资料












