相关产品推荐更多 >
万千商家帮你免费找货
0 人在求购买到急需产品
- 详细信息
- 文献和实验
- 技术资料
- 供应商:
上海康朗生物科技有限公司
- 库存:
大量
- 目录编号:
kl-19932R
- 克隆性:
多克隆
- 抗原来源:
Rabbit
- 保质期:
12个月
- 抗体英文名:
TIMM50 antibody
- 抗体名:
线粒体内膜转位同源蛋白50抗体
- 宿主:
Rabbit
- 适应物种:
Human, Mouse, Rat,
- 免疫原:
KLH conjugated synthetic peptide derived from human TIMM50:261-353/353
- 亚型:
IgG
- 形态:
冻干粉或液体
- 应用范围:
WB=1:500-2000 ELISA=1:500-1000 IHC-P=1:400-800 IHC-F=1:400-800 ICC=1:100-500 IF=1:100-500
- 浓度:
1mg/ml
- 保存条件:
-20 °C
- 规格:
100ul 200ul
| 中文名称 | 线粒体内膜转位同源蛋白50抗体 |
| 别 名 | Homolog of yeast Tim50; Import inner membrane translocase subunit TIM 50; Import inner membrane translocase subunit TIM50; Import inner membrane translocase subunit TIM50 mitochondrial; MGC102733; Mitochondrial import inner membrane translocase subunit TIM50; TIM 50; TIM 50L; TIM50; Tim50 like protein; TIM50_HUMAN; TIM50L; TIMM 50; TIMM50; Translocase of inner mitochondrial membrane 50 homolog (yeast); Translocase of inner mitochondrial membrane 50 homolog. |
| 规格价格 | 100ul/1380元 购买 200ul/2200元 购买 大包装/询价 |
| 说 明 书 | 100ul 200ul |
| 研究领域 | 细胞生物 信号转导 转运蛋白 |
| 抗体来源 | Rabbit |
| 克隆类型 | Polyclonal |
| 交叉反应 | Human, Mouse, Rat, |
| 产品应用 | WB=1:500-2000 ELISA=1:500-1000 IHC-P=1:400-800 IHC-F=1:400-800 ICC=1:100-500 IF=1:100-500 (石蜡切片需做抗原修复) not yet tested in other applications. optimal dilutions/concentrations should be determined by the end user. |
| 分 子 量 | 35kDa |
| 细胞定位 | 细胞核 细胞浆 |
| 性 状 | Lyophilized or Liquid |
| 浓 度 | 1mg/ml |
| 免 疫 原 | KLH conjugated synthetic peptide derived from human TIMM50:261-353/353 |
| 亚 型 | IgG |
| 纯化方法 | affinity purified by Protein A |
| 储 存 液 | 0.01M TBS(pH7.4) with 1% BSA, 0.03% Proclin300 and 50% Glycerol. |
| 保存条件 | Store at -20 °C for one year. Avoid repeated freeze/thaw cycles. The lyophilized antibody is stable at room temperature for at least one month and for greater than a year when kept at -20°C. When reconstituted in sterile pH 7.4 0.01M PBS or diluent of antibody the antibody is stable for at least two weeks at 2-4 °C. |
| PubMed | PubMed |
| 产品介绍 | Function: Essential component of the TIM23 complex, a complex that mediates the translocation of transit peptide-containing proteins across the mitochondrial inner membrane. Has some phosphatase activity in vitro; however such activity may not be relevant in vivo. Isoform 2 may participate in the release of snRNPs and SMN from the Cajal body. Subunit: Component of the TIM23 complex at least composed of TIMM23, TIMM17 (TIMM17A or TIMM17B) and TIMM50; within this complex, directly interacts with TIMM23. The complex interacts with the TIMM44 component of the PAM complex and with DNAJC15. Subcellular Location: Mitochondrion inner membrane and Nucleus speckle. Nuclear and enriched in speckles with snRNPs. Tissue Specificity: Widely expressed. Expressed at higher level in brain, kidney and liver (at protein level). Similarity: Belongs to the TIM50 family. Contains 1 FCP1 homology domain. SWISS: Q3ZCQ8 Gene ID: 92609 Database links: Entrez Gene: 92609 Human Entrez Gene: 66525 Mouse Entrez Gene: 685725 Rat Omim: 607381 Human SwissProt: Q3ZCQ8 Human SwissProt: Q9D880 Mouse Unigene: 590956 Human Unigene: 597106 Human Unigene: 167913 Mouse Important Note: This product as supplied is intended for research use only, not for use in human, therapeutic or diagnostic applications. |
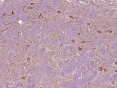
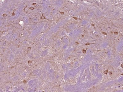
| 产品图片 | ![]() Paraformaldehyde-fixed, paraffin embedded (Mouse brain); Antigen retrieval by boiling in sodium citrate buffer (pH6.0) for 15min; Block endogenous peroxidase by 3% hydrogen peroxide for 20 minutes; Blocking buffer (normal goat serum) at 37°C for 30min; Antibody incubation with (TIMM50) Polyclonal Antibody, Unconjugated (bs-19932R) at 1:400 overnight at 4°C, followed by operating according to SP Kit(Rabbit) (sp-0023) instructionsand DAB staining. |
风险提示:丁香通仅作为第三方平台,为商家信息发布提供平台空间。用户咨询产品时请注意保护个人信息及财产安全,合理判断,谨慎选购商品,商家和用户对交易行为负责。对于医疗器械类产品,请先查证核实企业经营资质和医疗器械产品注册证情况。
文献和实验Generation of Antibody Molecules Through Antibody Engineering
been overcome to a large extent using genetic-engineering techniques to produce chimeric mouse/human and completely human antibodies. Such an approach is particularly suitable because of the domain structure of the antibody molecule ( 2 ), where functional
The importance of antibody molecules was first recognized in the 1890s, when it was shown that immunity to tetanus and diphtheria was caused by antibodies against the bacterial exotoxins (1 ). Around the same time, it was shown that antisera
General comments: Antibodies, like most proteins, do not like to be freeze-thawed. Avoid repetitive freezing of your solution. The best way to store your antibody is to keep a high protein concentration (>1 mg/ml), add some protease
技术资料暂无技术资料 索取技术资料











